Vaccines have substantially reduced the incidence ofpediatric pneumonias caused by Haemophilus influenzae type band certain serotypes of Streptococcus pneumoniae. However,other organisms are being identified more frequently, includingmethicillin-resistant Staphylococcus aureus (MRSA) and serotypesof S pneumoniae that are not covered by the pneumococcalvaccine. Although chest radiographs are still a basic componentof the assessment of pneumonia, CT scans are increasinglybeing used to differentiate effusion from empyema and consolidationand to evaluate for pleural fluid loculations, lung abscesses,and lung necrosis. ß-Lactams, particularly extendedspectrumcephalosporins, remain an important cornerstone ofthe treatment of complicated pneumonia. In areas where community-acquired MRSA is a concern, empirical coverage for thispathogen should be considered in patients with a severe ornecrotizing pneumonia. (J Respir Dis. 2008;29(2):85-92)
ABSTRACT:Vaccines have substantially reduced the incidence of pediatric pneumonias caused by Haemophilus influenzae type b and certain serotypes of Streptococcus pneumoniae. However, other organisms are being identified more frequently, including methicillin-resistant Staphylococcus aureus (MRSA) and serotypes of S pneumoniae that are not covered by the pneumococcal vaccine. Although chest radiographs are still a basic component of the assessment of pneumonia, CT scans are increasingly being used to differentiate effusion from empyema and consolidation and to evaluate for pleural fluid loculations, lung abscesses, and lung necrosis. -Lactams, particularly extendedspectrum cephalosporins, remain an important cornerstone of the treatment of complicated pneumonia. In areas where community-acquired MRSA is a concern, empirical coverage for this pathogen should be considered in patients with a severe or necrotizing pneumonia. (J Respir Dis. 2008;29(2):85-92)
Pneumonia is common in childhood-the incidence is 40 per 1000 among children younger than 5 years, with a gradual decline to 7 per 1000 in the early teenage years.1 Discussion of pneumonia in children is complicated by several factors, such as the overlap in clinical signs and symptoms of bronchiolitis, differences in definitions used in various studies, and the absence of a gold standard diagnostic test.
Pneumonia is commonly defined as the presence of fever or acute respiratory symptoms and evidence of parenchymal infiltrates on a chest radiograph.2 Indicators of severe pneumonia among children older than 1 year include hypoxemia (arterial oxygen saturation [SaO2] of 92% or lower), temperature greater than 38.5°C (101.3°F), respiration rate greater than 50 breaths per minute, severe difficulty in breathing, nasal flaring, grunting respiration, and signs of dehydration.3
The criteria in infants are similar, except for a respiration rate greater than 70 breaths per minute, moderate to severe retractions, intermittent apnea, and poor feeding. These findings, and the inability of the patient's family to provide adequate observation or supervision, are considered to be indications for hospital admission.3
In this article, we focus on community-acquired pneumonia in previously healthy children who are at least 4 months of age and meet the criteria for severe disease.
The causes of pediatric pneumonia vary greatly by age and epidemiological risk factors (Table 1).2,4,5 The cause of pneumonia can be established in up to 85% of patients in the research setting when multiple diagnostic methods are used.6 Viral pathogens are particularly important causes of bronchiolitis or pneumonia among children between 4 months and 5 years of age. Important viral pathogens that have been frequently identified include influenza virus, respiratory syncytial virus (RSV), and parainfluenza virus (particularly type 3). Adenovirus occasionally has been associated with severe pneumonia, including recent reports of severe pneumonia secondary to adenovirus 14 infection in previously healthy adults and children.7-9

It is uncertain whether some of the viruses identified-particularly rhinoviruses detected by polymerase chain reaction (PCR) assay-actually caused lower respiratory tract infection or may have predisposed the patient to bacterial infection.6 However, it is certain that previous influenza predisposes children to pneumococcal pneumonia; a case-controlled study demonstrated an odds ratio of 12.4 for influenza-like illness occurring 1 to 4 weeks before hospitalization for severe pneumococcal pneumonia.10 Several recent reports also note an association between influenza and severe Staphylococcus aureus pneumonia-particularly that caused by methicillin-resistant S aureus (MRSA).11,12
When aggressively looked for, concomitant viral and bacterial infections are identified in more than 30% of patients.6 In a study of 254 hospitalized children, the most commonly identified bacterial pathogen was Streptococcus pneumoniae (in 37%), followed by Haemophilus influenzae (in 9%, type not reported) and Mycoplasma pneumoniae (in 7%).6 Although more than 50% of cases of pneumonia may be attributed to Mycoplasma or Chlamydiophilia in children older than 5 years, more than 90% of these children are treated as outpatients. 13 Up to one third of children with M pneumoniae infections are coinfected with S pneumoniae.13
Although the pathogens that cause pneumonia vary in the different age groups, the pathogens associated with effusions or empyema are limited.5 In 1984, a review of 227 children with effusion or empyema found that S aureus was the causal agent in 29%, S pneumoniae in 22%, and H influenzae (primarily type b) in 18%.5 Effusions and empyema were more common in the winter and spring, and pneumatoceles and pneumothorax were more common in children with S aureus infection.5 An increased mortality rate was associated with age under 1 year and with S aureus infection.5
Implementation of the H influenzae type b and pneumococcal conjugate vaccines has clearly affected the epidemiology of pediatric pneumonia. A review of 230 children with pneumonia from 1993 through 2002 showed that H influenzae type b had almost disappeared as a pathogen among children in the United States.14 In a study conducted primarily before the implementation of the pediatric pneumococcal conjugate vaccine, the most common pneumococcal serotypes identified in patients with complicated pneumonia included 1, 3, 6, 14, and 19.15 After implementation of the pediatric pneumococcal conjugate vaccine, hospital admissions for empyema dropped from 23 to 12.6 per 10,000 admissions, and the percentage of cases of pneumonia caused by S pneumoniae fell from 66% to 27%.14 (This vaccine contains 7 pneumococcal serotypes-4, 6B, 9V, 14, 18C, 19F, and 23F. Some of these are sub serotypes previously identified as common causes of complicated pneumonia.
Streptococcus pyogenes is an important cause of severe pneumonia with a high rate of pleural effusion (86% to 91%), but it is infrequently isolated after initiation of -lactam antibiotics.5S aureus has been particularly prominent in children younger than 1 year and became the most common isolate identified in all children by 2001 through 2002.14 Although regional differences exist, in one recent study from Texas, 78% of S aureus isolates were methicillin-resistant.14 In addition, severe community-acquired MRSA (CAMRSA) pneumonia is increasingly being described.11,12
Cryptococcus species; endemic fungi such as Histoplasma capsulatum, Blastomyces dermatitidis, and Coccidioides immitis; and Mycobacterium tuberculosis are important causes of subacute to chronic pneumonia in patients who have risk factors (such as residence in or travel to an area where these pathogens are endemic).
Although wheezing detected on physical examination suggests a viral cause, no history or physical examination findings reliably differentiate between viral and bacterial pneumonia.16 Features more consistent with bacterial infection include a temperature of 38.4°C (101.12°F) or higher within 72 hours of admission and the presence of a pleural effusion.17
Exposures to uncommon pathogens (such as M tuberculosis) should be elicited and diagnostic workup pursued when risk factors exist (such as prior residence in or travel to an area where these pathogens are endemic and contact with persons who are homeless or have recently been incarcerated).
Although a randomized controlled trial of children with pneumonia treated as outpatients did not demonstrate that the use of chest radiography was associated with an improvement in outcomes,18 chest radiography is useful in confirming the diagnosis and identifying complicated pneumonia (necrotizing pneumonia, lung abscess, loculated pleural fluid, or empyema) in children requiring hospital admission.15 It can also be useful in excluding an occult pneumonia and in assessing for alternative explanations for the patient's presenting symptoms. It is important to remember that radiographic changes generally lag behind the patient's clinical condition, particularly in the setting of volume depletion.
Lobar or alveolar infiltrates, particularly in the presence of a large effusion, are classically associated with a bacterial pneumonia, while interstitial or peribronchial infiltrates are more often associated with viral pneumonia. However, these classic patterns are not always seen.
On chest radiographs, pleural effusions appear in the dependent regions (inferiorly on posteroanterior radiographs, posteriorly on chest CT scans). Lateral decubitus radiographs can help determine the quantity of pleural fluid and whether it is free-flowing; the presence of free-flowing pleural fluid suggests effusion, whereas established empyemas are loculated and do not move to the dependent regions of the chest with changes in position. Ultrasonography can help determine whether pleural fluid is free-flowing or loculated, and it can assist with chest tube placement.
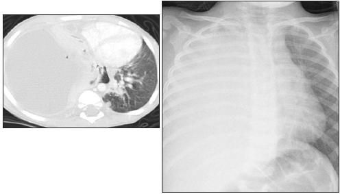
Features suggestive of a necrotizing pneumonia include cystic changes and pneumatoceles. On a CT scan, necrotic lung can appear as hypodense areas within regions of consolidation. In contrast, lung abscesses usually appear as smoothwalled cavitary lesions associated with an air-fluid level and adjacent parenchymal consolidation.19 CT scans are increasingly being used to differentiate effusion from empyema and consolidation, assess for pleural fluid loculations, evaluate for lung abscesses or necrosis, and guide drainage of the pleural space ( Figure 1).

Figure 1 – A 3-year-old boy was admitted with increasing cough and fatigue after completing a course of oral antibiotics for a right lower lobe pneumonia. The chest radiograph showed complete opacification of the right hemithorax with a shift of the mediastinum to the left. A CT scan of the chest demonstrated dense consolidation of the entire right lung, a large pleural effusion, and enhancement of the pleura consistent with empyema. Video-assisted thoracotomy revealed empyema, and
Streptococcus pneumoniae
was identified. The patient responded to drainage and a 3-week course of parenteral ceftriaxone.
Obtaining expectorated sputum specimens is rarely successful in children before adolescence. Data from studies of adults suggest that the presence of more than 25 white blood cells per high-power field (HPF) and fewer than 10 epithelial cells/HPF represents a good sample and that more than 10 Grampositive lancet-shaped diplococci/HPF correlates with pneumococcal pneumonia.20
If appropriate risk factors exist, a purified protein derivative skin test or testing for Legionella, Histoplasma, and Blastomyces urinary antigens may be beneficial. Serological testing is rarely clinically helpful, except when looking for M pneumoniae. Although blood cultures are infrequently positive, they are considered useful in patients who require hospital admission4; the yield improves in patients with S pneumoniae or S aureus parapneumonic effusion or empyema.5
Viral pathogens have been identified by use of paired serologies, viral culture, and rapid viral antigen detection (RSV and influenza virus). PCR has greatly improved the sensitivity in detecting viral pathogens in the research setting. It is anticipated that real-time PCR will eventually be routinely used for the detection of most viral pathogens.
An important caveat is that PCR detects nucleic acid of pathogens present only from the site of collection, which is usually the upper airways. Thus, it cannot reliably determine whether a pathogen is also present in the lower respiratory tract. Since bacterial coinfections are common, clinical judgment is necessary in interpreting the results of PCR. Although infrequently observed, a dramatically elevated level of procalcitonin, C-reactive protein, or interleukin-6 suggests a bacterial pneumonia.21
A urinary antigen test for S pneumoniae has been approved for use in adults since 1999. Testing in children has revealed that the sensitivity on a non-concentrated urine specimen ranges from 87% to 100% in proven invasive pneumococcal disease, but the specificity is much lower (57% to 81%) as a result of pneumococcal colonization of the upper airways-particularly in young children.22-25
Thoracentesis, with or without chest tube placement, can provide both diagnostic and therapeutic benefits. Culture of pleural fluid appears to have better diagnostic yield than blood culture, and with use of both modalities, a pathogen can be identified in about 40% of patients.14 Culture can be important in identifying unanticipated pathogens, such as CA-MRSA.14 When pleural drainage is achieved, cultures frequently do not yield a pathogen because antimicrobial therapy is usually initiated before obtaining pleural fluid for culture. Direct inoculation of pleural fluid into blood culture bottles may improve bacterial recovery. Testing of pleural fluid for bacterial antigens can also be helpful using commercially available assays.
The current treatment strategies for pediatric pneumonia have been affected by the development of antibiotic resistance among pneumococci and S aureus. Although rates of antibiotic resistance among strains of S pneumoniae increased steadily during the 1990s, they decreased in all age groups in the early 2000s after implementation of the pediatric heptavalent pneumococcal conjugate vaccine.26-29 It is likely that the vaccine prevented clonal transmission of these drug-resistant-and often multidrug-resistant-isolates. S pneumoniae resistance to non–-lactam antimicrobials frequently occurs in isolates that are resistant to -lactams.30
Serotypes not covered by the pneumococcal conjugate vaccine, particularly serotypes 11A, 15, 19A, 29, and 33, appear to be increasing in frequency among children.26,27,31,32 Increasing resistance to -lactams and clindamycin has been noted among some of these serotypes, particularly 15, 19A, and 29.31
The rates of in vitro resistance among pneumococci affect prescribing practices in the treatment of pneumonia. Although some epidemiological studies have detected higher mortality rates in association with penicillin-resistant pneumococci,33 such studies have not included data on treatment or severity of illness.34,35 Despite in vitro resistance to penicillin among some pneumococcal isolates, in vivo clinical failures of adequately dosed -lactam antibiotics have not been clearly demonstrated.
Many authors note no difference in outcomes in the treatment of pneumonia in patients with penicillin-sensitive versus penicillin resistant isolates.35-37 In contrast, clinical failures and the development of bacteremia have been demonstrated with in vitro resistance to macrolides.38 Fluoroquinolones have also failed in vivo in patients in whom in vitro resistance was detected, although data are available only for adults.39
Since S pneumoniae plays such an important role in pediatric pneumonia, empirical therapy should be a cephalosporin with enhanced activity against this pathogen for most patients who require hospitalization (Table 2).40,41 Oral -lactams, even those with extended activity against penicillin-resistant pneumococci, may fail in patients with undrained empyemas or infection caused by pneumococci with decreased penicillin sensitivity. This may be the result of an inability to achieve sufficient drug levels at the site of infection with oral administration. In general, most parenterally administered -lactams, when prescribed in appropriate dosages, should be effective against S pneumoniae with a minimal inhibitory concentration of 4 μg/mL or lower.37

Over the past 10 years, CA-MRSA has become commonplace in many communities. CA-MRSA, which often carries the gene Panton-Valentine leukocidin, has been associated with pneumonia, particularly necrotizing pneumonia and empyema (Figure 2).14,42,43 Unlike nosocomial MRSA, CA-MRSA often remains susceptible to trimethoprim/sulfamethoxazole and clindamycin.44,45

Figure 2 – A 6-month-old girl was admitted with acute onset of fever and respiratory distress. A chest radiograph revealed almost complete opacification of the left hemithorax. A CT scan of the chest demonstrated consolidation of the left lung with low density within the lung, consistent with necrosis, and a large loculated pleural effusion. Drainage of the empyema was performed, and methicillin-resistant
Staphylococcus aureus
was identified as the pathogen.
Resistance to clindamycin can occur in some CA-MRSA isolates in which an inducible enzyme modifies the ribosomal drug-binding site. CA-MRSA isolates that are erythromycin-resistant and clindamycinsensitive should be screened for the presence of this enzyme using a "D test," or double-diffusion test.45 If inducible resistance exists, clindamycin should be avoided in patients with severe infections.45
If CA-MRSA is frequently encountered in a geographic area, empirical coverage for it should be considered in patients with a severe or necrotizing pneumonia. Some authors suggest empirical therapy for MRSA in patients with empyema or pleural effusions in communities in which more than 10% of community-acquired S aureus isolates are methicillin-resistant.14
The management of an uncomplicated pneumonia in a patient who requires hospitalization typically involves stabilizing the patient and providing supportive care (such as hydration and oxygen) while administering appropriate parenteral antibiotics at adequate dosages (Table 2). Patients with uncomplicated pneumonias are usually ready to be discharged when respiratory distress has resolved and they can ambulate (if they were ambulating before the onset of illness), maintain adequate SaO2 without supplemental oxygen, and take oral antibiotics without vomiting. If a pathogen is identified, antimicrobial therapy should be narrowed to cover it.
In recent series, as many as 40% to 50% of children with pneumococcal pneumonia met the criteria for a complicated pneumonia.15,46 Pneumococcal serotype 1 was found to be more frequently associated with complicated disease.15,47 Patients with complicated pneumonia are more likely to present with respiratory distress.46 In addition, complicated pneumococcal pneumonias are associated with a greater fall in hemoglobin level from the time of admission, longer time to defer escence (9.2 days vs 2.3 days), and a longer duration of hospitalization (13.2 days vs 5.3 days).46
The management of complicated pneumonias is more challenging. It should be anticipated that radiographic and clinical progression may not occur for the first 24 to 48 hours after initiation of therapy. Persistent fevers, particularly in complicated pneumonia, are frequently seen.4 In most children with complicated pneumonias, chest radiographic findings at 1 year of follow-up will appear near-normal or normal.
Although older literature suggests that 40% of children with complicated pneumococcal pneumonias undergo decortication,15 many centers now increasingly rely on interventional radiology to perform thoracentesis or chest tube placement. The use of decortication is very site-dependent, although one study suggests that use of videoassisted thoracic surgical debridement within 48 hours of admission in children with empyema is associated with a shorter duration of hospitalization (11.5 days vs 15.2 days).14 This suggests that drainage of the effusion during the exudative phase when the fluid is free-flowing may be more effective than drainage later during the fibropurulent or organizing phases when the fluid has become septated or a rind has formed.4
In the largest study of adults with chest tubes, routine administration of streptokinase was not associated with improvement in outcomes and was associated with more severe adverse events.48 The generalizability of these results has been questioned.49 One observational pediatric study suggested that early administration of tissue plasminogen activator helped decrease the duration of chest tube placement.50 In clinical practice, administration of a fibrinolytic agent can be beneficial, particularly in children with small chest tubes in which drainage can be impaired by clots within the catheter.
Aggressive management of pain in patients with chest tubes is important. Administration of an NSAID, such as ketorolac tromethamine, on a scheduled basis and/or an opiate-based patient-controlled analgesia can be very effective in blunting pain. Techniques to improve pulmonary function and prevent or improve atelectasis, such as incentive spirometry and chest percussion, are frequently used but without proven benefit.
Treatment duration depends on the severity of the pneumonia and has not been carefully studied in clinical trials. In most uncomplicated pneumonias, 10 to 14 days is considered sufficient,4 although recent data from adults suggest that a shorter duration of therapy may be possible with some drugs.51 Three to 4 weeks of therapy has been recommended for S aureus and mixed bacterial empyemas; shorter courses may be possible for H influenzae and S pneumoniae.5
A peripherally inserted central venous catheter often facilitates intravenous administration of antibiotics at home. The total duration of therapy is often approximately 2 weeks after the patient becomes afebrile; however, prolonged treatment is often required in patients who have lung abscesses.
The mortality rate associated with pneumococcal pneumonia among children is low. In 3 large studies, mortality rates ranged from 2.3% to 2.7%, with death directly attributable to pneumococcal pneumonia in fewer than 1%.15,33,34 The mortality rate in children younger than 2 years was 3.5% but fell to 1.7% in children between the ages of 2 and 17 years.33
REFERENCES
1.
Murphy TF, Henderson FW, Clyde WA Jr, et al. Pneumonia: an eleven-year study in a pediatric practice.
Am J Epidemiol.
1981;113:12-21.
2.
McIntosh K. Community-acquired pneumonia in children.
N Engl J Med.
2002;346:429-437.
3.
British Thoracic Society Standards of Care Committee. British Thoracic Society Guidelines for the Management of Community Acquired Pneumonia in Childhood.
Thorax.
2002;57(suppl 1):i1-i24.
4.
Sandora TJ, Harper MB. Pneumonia in hospitalized children.
Pediatr Clin North Am.
2005;52:1059-1081.
5.
Freij BJ, Kusmiesz H, Nelson JD, Mc- Cracken GH Jr. Parapneumonic effusions and empyema in hospitalized children: a retrospective review of 227 cases.
Pediatr Infect Dis.
1984;3:578-591.
6.
Juvén T, Mertsola J, Waris M, et al. Etiology of community-acquired pneumonia in 254 hospitalized children.
Pediatr Infect Dis J.
2000;19:293-298.
7.
Lewis P, Schmidt M, Thomas A, et al. Adenovirus 14: a new cause of severe community-acquired pneumonia. ISDA Annual Meeting; 2007; San Diego. Abstract LB-5.
8.
Tate J, Widdowson M, Anderson L, et al. Adenovirus 14 infection among basic military trainees. IDSA Annual Meeting; 2007; San Diego. Abstract LB-14.
9.
Centers for Disease Control and Prevention (CDC). Acute respiratory disease associated with adenovirus serotype 14-four states, 2006-2007.
MMWR.
2007;56:1181-1184.
10.
O’Brien KL, Walters MI, Sellman J, et al. Severe pneumococcal pneumonia in previously healthy children: the role of preceding influenza infection.
Clin Infect Dis.
2000;30:784-789.
11.
Centers for Disease Control and Prevention (CDC). Severe methicillin-resistant
Staphylococcus aureus
community-acquired pneumonia associated with influenza-Louisiana and Georgia, December 2006-January 2007.
MMWR.
2007;56:325-329.
12.
Hageman JC, Uyeki TM, Francis JS, et al. Severe community-acquired pneumonia due to
Staphylococcus aureus,
2003-04 influenza season.
Emerg Infect Dis.
2006;12:894-899.
13.
Korppi M, Heiskanen-Kosma T, Kleemola M. Incidence of community-acquired pneumonia in children caused by
Mycoplasma pneumoniae
: serological results of a prospective, populationbased study in primary health care.
Respirology.
2004;9:109-114.
14.
Schultz KD, Fan LL, Pinsky J, et al. The changing face of pleural empyemas in children: epidemiology and management.
Pediatrics.
2004;113:1735-1740.
15.
Tan TQ, Mason EO Jr, Wald ER, et al. Clinical characteristics of children with complicated pneumonia caused byÂ
Streptococcus pneumoniae. Pediatrics.
2002;110(1, pt 1):1-6.
16.
Turner RB, Lande AE, Chase P, et al. Pneumonia in pediatric outpatients: cause and clinical manifestations.
J Pediatr.
1987;111:194-200.
17.
Michelow IC, Olsen K, Lozano J, et al. Epidemiology and clinical characteristics of community- acquired pneumonia in hospitalized children.
Pediatrics.
2004;113:701-707.
18.
Swingler GH, Hussey GD, Zwarenstein M. Randomisedcontrolled trial of clinical outcome after chest radiograph in ambulatory acute lower-respiratory infection in children.
Lancet.
1998;351:404-408.
19.
Tarver RD, Teague SD, Heitkamp DE, Conces DJ Jr. Radiology of community-acquired pneumonia.
Radiol Clin North Am.
2005;43:497-512, viii.
20.
Rein MF, Gwaltney JM Jr, O’Brien WM, et al. Accuracy of Gram’s stain in identifying pneumococci in sputum.
JAMA.
1978;239:2671-2673.
21.
Toikka P, Irjala K, Juvén T, et al. Serum procalcitonin, C-reactive protein and interleukin-6 for distinguishing bacterial and viral pneumonia in children.
Pediatr Infect Dis J.
2000;19:598-602.
22.
Dowell SF, Garman RL, Liu G, et al. Evaluation of Binax NOW, an assay for the detection of pneumococcal antigen in urine samples, performed among pediatric patients.
Clin Infect Dis.
2001;32:824-825.
23.
Esposito S, Bosis S, Colombo R, et al. Evaluation of rapid assay for detection of
Streptococcus pneumoniae
urinary antigen among infants and young children with possible invasive pneumococcal disease.
Pediatr Infect Dis J.
2004;23:365-367.
24.
Dominguez J, Blanco S, Rodrigo C, et al. Usefulness of urinary antigen detection by an immunochromatographic test for diagnosis of pneumococcal pneumonia in children.
J Clin Microbiol.
2003;41:2161-2163.
25.
Charkaluk ML, Kalach N, Mvogo H, et al. Assessment of a rapid urinary antigen detection by an immunochromatographic test for diagnosis of pneumococcal infection in children.
Diagn Microbiol Infect Dis.
2006;55:89-94.
26.
Kyaw MH, Lynfield R, Schaffner W, et al. Effect of introduction of the pneumococcal conjugate vaccine on drug-resistant
Streptococcus pneumoniae. N Engl J Med.
2006;354:1455-1463.
27.
Kaplan SL, Mason EO Jr, Wald ER, et al. Decrease of invasive pneumococcal infections in children among 8 children’s hospitals in the United States after the introduction of the 7-valent pneumococcal conjugate vaccine.
Pediatrics.
2004;113(3, pt 1):443-449.
28.
Whitney CG, Farley MM, Hadler J, et al. Decline in invasive pneumococcal disease after the introduction of protein-polysaccharide conjugate vaccine.
N Engl J Med.
2003;348:1737-1746.
29.
Stephens DS, Zughaier SM, Whitney CG, et al. Incidence of macrolide resistance in
Streptococcus pneumoniae
after introduction of the pneumococcal conjugate vaccine: population-based assessment. Lancet. 2005;365:855-863.
30.
Whitney CG, Farley MM, Hadler J, et al. Increasing prevalence of multidrug-resistant
Streptococcus pneumoniae
in the United States. N Engl J Med. 2000;343:1917-1924.
31.
>Huang SS, Platt R, Rifas-Shiman SL, et al. Post-PCV7 changes in colonizing pneumococcal serotypes in 16 Massachusetts communities, 2001 and 2004.
Pediatrics.
2005;116:e408-e413.
32.
Hanage WP, Huang SS, Lipsitch M, et al. Diversity and antibiotic resistance among nonvaccine serotypes ofÂ
Streptococcus pneumoniae
carriage isolates in the post-heptavalent conjugate vaccine era.
J Infect Dis.
2007;195:347-352.
33.
Feikin DR, Schuchat A, Kolczak M, et al. Mortality from invasive pneumococcal pneumonia in the era of antibiotic resistance, 1995-1997.
Am J Public Health.
2000;90:223-229.
34.
Yu VL, Baddour LM. Infection by drug-resistant
Streptococcus pneumoniae
is not linked to increased mortality.
Clin Infect Dis.
2004;39:1086-1087.
35.
Chiou CC. Does penicillin remain the drug of choice for pneumococcal pneumonia in view of emerging in vitro resistance?
Clin Infect Dis.
2006;42:234-237.
36.
Tan TQ, Mason EO Jr, Barson WJ, et al. Clinical characteristics and outcome of children with pneumonia attributable to penicillin-susceptible and penicillin-nonsusceptible
Streptococcus pneumoniae. Pediatrics.
1998;102:1369-1375.
37.
Peterson LR. Penicillins for treatment of pneumococcal pneumonia: does in vitro resistance really matter?
Clin Infect Dis.
2006;42:224-233.
38.
Rzeszutek M, Wierzbowski A, Hoban DJ, et al. A review of clinical failures associated with macrolide-resistant
Streptococcus pneumoniae. Int J Antimicrob Agents.
2004;24:95-104.
39.
Low DE. Quinolone resistance among pneumococci: therapeutic and diagnostic implications.
Clin Infect Dis.
2004;38(suppl 4):S357-S362.
40.
Chien S, Wells TG, Blumer JL, et al. Levofloxacin pharmacokinetics in children.
J Clin Pharmacol.
2005;45:153-160.
41.
Kaplan SL, Patterson L, Edwards KM, et al. Linezolid for the treatment of community-acquired pneumonia in hospitalized children. Linezolid Pediatric Pneumonia Study Group. Pediatr Infect Dis J. 2001;20:488-494.
42.
Tseng MH, Wei BH, Lin WJ, et al. Fatal sepsis and necrotizing pneumonia in a child due to community-acquired methicillin-resistant
Staphylococcus aureus
: case report and literature review.
Scand J Infect Dis.
2005;37:504-507.
43.
Gillet Y, Issartel B, Vanhems P, et al. Association between
Staphylococcus aureus
strains carrying gene for Panton-Valentine leukocidin and highly lethal necrotising pneumonia in young immunocompetent patients.
Lancet.
2002;359:753-759.
44.
Herold BC, Immergluck LC, Maranan MC, et al. Community-acquired methicillin-resistant
Staphylococcus aureus
in children with no identified predisposing risk.
JAMA.
1998;279:593-598.
45.
Lewis JS 2nd, Jorgensen JH. Inducible clindamycin resistance in Staphylococci: should clinicians and microbiologists be concerned?
Clin Infect Dis.
2005;40:280-285.
46.
Wexler ID, Knoll S, Picard E, et al. Clinical characteristics and outcome of complicated pneumococcal pneumonia in a pediatric population.
Pediatr Pulmonol.
2006;41:726-734.
47.
Byington CL, Spencer LY, Johnson TA, et al. An epidemiological investigation of a sustained high rate of pediatric parapneumonic empyema: risk factors and microbiological associations.
Clin Infect Dis.
2002;34:434-440.
48.
Maskell NA, Davies CW, Nunn AJ, et al. U.K. controlled trial of intrapleural streptokinase for pleural infection.
N Engl J Med.
2005;352:865-874.
49.
Heffner JE. Multicenter trials of treatment for empyema-after all these years.
N Engl J Med.
2005;352:926-928.
50.
Weinstein M, Restrepo R, Chait PG, et al. Effectiveness and safety of tissue plasminogen activator in the management of complicated parapneumonic effusions.
Pediatrics.
2004;113 (3, pt 1):e182-185.
51.
Mandell LA, Wunderink RG, Anzueto A, et al. Infectious Diseases Society of America/American Thoracic Society Consensus Guidelines on the Management of Community-Acquired Pneumonia in Adults.
Clin Infect Dis.
2007;44(suppl 2):S27- S72.Â