The case presented here illustratesthe diagnostic challengesand potential severity of a fungalinfection.
The case presented here illustrates the diagnostic challenges and potential severity of a fungal infection.
A 53-year-old man with a history of hypercholesterolemia presented to the hospital with fever (temperature of 38.6°C [101.5°F]) and productive cough. His illness started 4 months earlier when, after a long stay at his summer home in Canada, a cough developed. The cough initially was dry, and then became productive of scant, clear sputum.
Two weeks later, the patient began to experience low-grade fevers. Six weeks later, he presented to his primary care physician. A chest radiograph showed consolidation in the superior segment of the left lower lobe. He received sequential courses of azithromycin and levofloxacin for presumed community-acquired pneumonia (CAP), with only a transient improvement of symptoms. Follow-up chest radiography and CT scanning showed persistent consolidation.
Three weeks later, he underwent bronchoscopy, which showed no endobronchial lesions. Gram stain of the bronchoalveolar lavage (BAL) fluid yielded 2+ white blood cells (WBCs) and no bacteria. The BAL fluid was sent for bacterial, fungal, and mycobacterial cultures. Early culture results revealed 5000 colony-forming units of mixed respiratory flora, but the results were negative for Legionella pneumophila, Pneumocystis jiroveci, and acid-fast bacteria (AFB).
Five days after bronchoscopy, the patient was admitted to the hospital with fever, weakness, malaise, and dry cough. On physical examination, he was febrile with an oral temperature of 38.6°C (101.5ºF), a heart rate of 108 beats per minute, a respiration rate of 28 breaths per minute, and a blood pressure of 126/74 mm Hg. Pulse oximetry indicated an oxygen saturation of 95% on room air. Other physical examination findings were unremarkable except for mild obesity and inspiratory crackles over the left mid-lung.
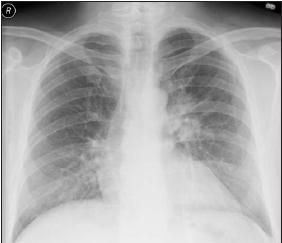
Laboratory test results showed leukocytosis (WBC count of 17,700/μL, with 72% neutrophils and 2.2% eosinophils), hemoglobin level of 12.2 g/dL, and platelet count of 419,000/μL. Results of a basic chemistry panel were normal. A chest radiograph displayed an improved perihilar infiltrate in the left lung (Figure 1).

Figure 1 – A left perihilar infiltrate with enlargement of the left hilum can be seen in this posteroanterior chest radiograph. The patient had fever, malaise, and cough.
Purified protein derivative (PPD) testing was done, ampicillin/sulbactam treatment was started, and a percutaneous ultrasonographyguided lung biopsy was scheduled. On day 3, the patient was still febrile and the PPD results were negative. The patient began to feel better and refused the lung biopsy. The following day, his fever intensified (temperature of 40ºC [104ºF]), cough worsened, and WBC count increased to 23,500/μL. The results of blood cultures were negative, and findings from transesophageal echocardiography were normal.
On day 6, results of an ultrasonography-guided fine-needle aspiration biopsy of the lung showed moderate acute inflammation, with benign bronchial cells and pulmonary macrophages. A stain of the aspirate was negative for AFB and fungi.
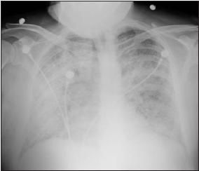
Later that day, the patient became more dyspneic with a concurrent drop in oxygen saturation, requiring an increase in oxygen supplementation. A chest radiograph revealed diffuse alveolar infiltrates (Figure 2).

Figure 2 – Bilateral diffuse alveolar airspace infiltrates are revealed on this portable chest radiograph.
The patient was transferred to the ICU, and his antibiotic regimen was switched to vancomycin, azithromycin, piperacillin/tazobactam, and itraconazole. Soon thereafter, he required noninvasive positive pressure ventilation.
On day 7, the fungal culture specimen obtained via bronchoscopy 12 days earlier grew a small colony of fungi identified as Blastomyces. All antibiotics were discontinued, and amphotericin B was started at a dosage of 0.7 mg/kg/d. The next day, the patient was intubated because of hypoxemic respiratory failure.
The patient required high levels of oxygen (fraction of inspired oxygen, 0.5 to 0.6) and positive endexpiratory pressures of 10 to 15 cm H2O before he clinically improved over a period of 2 weeks. Mild renal failure and central line–related bacteremia developed, and on day 21, the patient underwent a tracheostomy because of persistent respiratory failure.
He was quickly weaned off mechanical ventilation. On day 25, amphotericin B was stopped and itraconazole, 200 mg/d, was started. On day 29, the patient was discharged home. He continued to receive itraconazole for 10 additional weeks, at which time he was seen in follow-up and declared to have fully recovered. A chest radiograph showed the resolution of the pulmonary edema and consolidation. The patient decided to stop his itraconazole treatment at that point.
Blastomycosis is caused by Blastomyces dermatitidis, a dimorphic fungus found in moist, acidic soil rich with organic debris.1Blastomyces is endemic in North America along the Ohio and Mississippi River basins and extends up through northern Minnesota and Wisconsin to include the Canadian provinces that border the Great Lakes.2
Infection occurs most commonly via inhalation of mycelial fragments but can occur by inoculation or reactivation of latent disease.3,4 A patient's history often includes time spent in close proximity to water and/or wooded areas. Sporadic cases of blastomycosis are most common in men with heavy exposure to woods and streams, either recreationally or vocationally. Frequently, the patient is unable to pinpoint the time of exposure. Some cases are thought to be recurrences of a previous subclinical infection.2
Blastomycosis has diverse clinical presentations. Patients can be asymptomatic or have symptoms of pneumonia, or they may have extrapulmonary manifestations.5 This diverse clinical spectrum at presentation is postulated to reflect variable virulence among different strains of Blastomyces.6
The symptoms of blastomycosis are nonspecific and undistinguishable from those of viral, bacterial, mycotic, and even parasitic infections.7 Mildly symptomatic patients present with brief flu-like symptoms, including fever, chills, myalgias, and a nonproductive cough.
An acute pulmonary infection often mimics bacterial pneumonia with a rather sudden onset of high fever, productive cough, and pleuritic chest pain and is frequently treated as bacterial CAP. This commonly leads to a delay in diagnosis of blastomycosis, averaging over 4 months; such a delay has been associated with higher mortality.3
The clinical picture associated with subacute or chronic, sporadic blastomycosis can resemble that of tuberculosis or even lung cancer, in which the patient has low-grade fever, productive cough, night sweats, and weight loss that may be associated with a lung mass. Chronic pneumonia is the most common clinical manifestation, occurring in 60% to 90% of patients with proven blastomycosis.1
Involvement outside of the lung occurs in more than 50% of patients with chronic blastomycosis. The most common sites are the skin and subcutaneous tissues, which are affected in 40% to 80% of cases. A typical lesion is a verrucous plaque or cutaneous ulcer with a purplish hue surrounding the lesion.1
The next most common manifestation of extrapulmonary blastomycosis is osteoarticular involvement, which occurs in 10% to 50% of patients and most often affects the ribs, cranium, or the vertebral bodies.1 Spread to the soft tissue is common and can result in a psoas abscess or muscular extension.1 Other extrapulmonary sites of involvement include the genitourinary tract and the CNS.
The most severe presentation of blastomycosis, which occurs in fewer than 10% of patients with blastomycosis, is characterized by high fevers, diffuse pulmonary infiltrates, and hypoxemic respiratory failure.1,2 This represents fulminant infectious acute respiratory distress syndrome (ARDS) and extrapulmonary dissemination. This manifestation occurs in both immunocompetent and immunocompromised persons.
Patients may present with a localized, pneumonia-like process that progresses to diffuse lung involvement, or they may have a primary diffuse presentation. Fever, cough, dyspnea, elevated WBC count, bilateral lung infiltrates, and hypoxemia dominate the clinical picture.8 In some cases, extrapulmonary involvement provides a clue to the diagnosis.9
Patients with ARDS associated with blastomycosis typically require intensive supportive therapies, including mechanical ventilation and broad-spectrum antibiotics. Since blastomycosis is not usually suspected initially, empirical therapy may not include antifungals. According to current guidelines, amphotericin B, usually the liposomal form because it is better tolerated, is a mainstay of therapy for severe blastomycosis.10
Early treatment with antifungals is essential. In their review of 10 cases of blastomycosis and ARDS, Meyer and associates4 reported an overall mortality of 50%. All 10 patients received intravenous amphotericin B in a daily dose of 0.7 to 1.0 mg/kg, and 4 of the 5 survivors received 1 mg/kg within the first 24 hours of therapy.4 Amphotericin B can be switched to an azole derivative, usually itraconazole, when the patient improves clinically. Itraconazole is typically continued for at least 6 months.
ARDS secondary to blastomycosis is associated with a very high mortality rate.1,8 Overwhelming pulmonary disease with worsening respiratory failure is the most common cause of death.4 Advanced age, concurrent underlying lung disease or cancer, and delay in antifungal therapy have all been associated with poor prognosis.4,10 Similarly, patients who are immunocompromised (from HIV/AIDS or immunosuppression via corticosteroids, chemotherapeutic agents, calcineurin inhibitors, or tumor necrosis factor inhibitors) are more likely to have severe clinical manifestations of blastomycosis, including ARDS, CNS involvement, and multiorgan disease.1
Our case illustrates the rare but potentially fatal complication of blastomycosis leading to ARDS. A high diagnostic suspicion, particularly in areas where B dermatitidis is endemic; early aggressive measures to establish the diagnosis; and early appropriate antifungal treatment are essential in successful management of this entity.
REFERENCES
1.
Pappas PG. Blastomycosis.
Semin Respir Crit Care Med.
2004;25:113-121.
2.
Davies SF, Sarosi GA. Epidemiological and clinical features of pulmonary blastomycosis.
Semin Respir Infect.
1997;12:206-218.
3.
Dworkin MS, Duckro AN, Proia L, et al. The epidemiology of blastomycosis in Illinois and factors associated with death.
Clin Infect Dis.
2005;41:e107-e111.
4.
Meyer KC, McManus EJ, Maki DG. Overwhelming pulmonary blastomycosis associated with the adult respiratory distress syndrome.
N Engl J Med.
1993;329:1231-1236.
5.
Sarosi GA, Davies SF. Blastomycosis.
Am Rev Respir Dis.
1979;120:911-938.
6.
Lemos LB, Baliga M, Guo M. Acute respiratory distress syndrome and blastomycosis: presentation of nine cases and review of the literature.
Ann Diagn Pathol.
2001;5:1-9.
7.
Bialek R, Gonzalez GM, Begerow D, Zelck UE. Coccidioidomycosis and blastomycosis: advances in molecular diagnosis.
FEMS Immunol Med Microbiol.
2005;45:355-360.
8.
Thompson CA, McEachern R, Norman JR. Blastomycosis as an etiology of acute lung injury.
South Med J.
1998;91:861-863.
9.
Craft PP. A case report of disseminated blastomycosis and adult respiratory distress syndrome.
J Fam Pract.
1995;40:597-600.
10.
Chapman SW, Lin AC, Hendricks KA, et al. Endemic blastomycosis in Mississippi: epidemiological and clinical studies.
Semin Respir Infect.
1997;12:219-228.
AI-Powered Diabetes Prevention Program Intervention Matches Human Coaching in Landmark Trial
October 27th 2025After 1 year of coaching by the AI app or a DPP-associated coach, reductions in weight and HbA1c and increases in physical activity were equal, an outcome with great promise for scalability.