We present a case of a 52-year oldwoman with exudativepleural effusion. Her workuprevealed an ovarian tumor,and the effusion completely resolvedafter resection of the tumor.Pathology revealed granulosacell tumor, which is anunusual cause of Meigs syndrome.This case shows theimportance of considering abdominopelvicpathology in unsolvedcases of pleural effusion.
We present a case of a 52-year old woman with exudative pleural effusion. Her workup revealed an ovarian tumor, and the effusion completely resolved after resection of the tumor. Pathology revealed granulosa cell tumor, which is an unusual cause of Meigs syndrome. This case shows the importance of considering abdominopelvic pathology in unsolved cases of pleural effusion.
A 52-year-old woman had worsening shortness of breath for 4 months and a weight loss of 50 lb. She did not have cough, fever, or chest pain. She had a history of hypertension, which was well controlled with amlodipine. She was a lifetime nonsmoker, with no significant alcohol or drug use. She had no significant risk factors for tuberculosis or significant exposure to inhalants or animals.
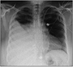
Physical examination revealed an obese woman with markedly decreased air entry over the mid and lower right hemithorax. A chest radiograph (Figure 1) and a CT scan showed a large right-sided pleural effusion with atelectasis of the right lower lobe.

Figure 1 – A large right sided pleural effusion with atelectasis of the right lower lobe can be seen in this chest radiograph. The patient had presented with worsening shortness of breath and a 50-lb weight loss.
Thoracentesis was performed, with drainage of 1200 mL of straw colored clear fluid. Analysis revealed an exudate with a total protein level of 5.1 g/dL, a normal cell differential, and cytological tests negative for malignant cells.
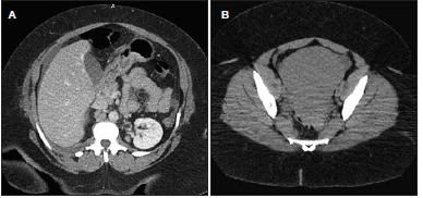
The presence of significant perihepatic ascites on the lower cuts of the chest CT scan (Figure 2A) suggested a concomitant abdominal pathological condition. A CT scan of the abdomen revealed a large pelvic mass (10 × 12 cm) anterior to the uterus, with non-visualization of the right ovary (Figure 2B).

Figure 2 – Perihepatic ascites on the chest CT scan suggested an abdominal pathology (A). A CT scan of the abdomen revealed a large pelvic mass anterior to the uterus (B).
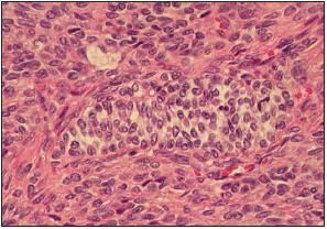
Exploratory laparotomy was performed with tumor excision, total abdominal hysterectomy, and bilateral salpingo-oophorectomy. Pathological examination revealed a granulosa cell tumor of the right ovary (Figure 3).

Figure 3 – Biopsy confirmed a granulosa cell tumor of the ovary.
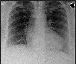
A chest radiograph obtained 5 weeks later showed complete resolution of the effusion (Figure 4).

Figure 4 – This chest radiograph obtained 5 weeks after excision of the patient's ovarian tumor shows resolution of the pleural effusion.
Meigs syndrome is the triad of benign ovarian fibroma, pleural effusion, and ascites. Pseudo-Meigs syndrome is characterized by the same triad, but with ovarian tumors other than fibroma that are usually primary malignancies or ovarian metastasis.1 In both syndromes, resolution of the fluid collection after tumor resection is crucial to making the diagnosis.
The cause of the fluid accumulations remains unclear, although it appears to be related to lymphatic obstruction leading to ascites and diffusion to the pleural space, usually at the right side, through transdiaphragmatic lymphatics.2 Most of these ovarian tumors have a diameter of more than 6 cm, and the amount of pleural fluid correlates more closely with the size of the tumor than with the pathological type. The fluid is usually transudative, but it can be exudative and occasionally hemorrhagic.3
Granulosa cell tumors of the ovary are rare neoplasms, usually occurring in postmenopausal women. They account for approximately 1.5% to 3% of all ovarian malignancies. Although considered malignant, they have an indolent course with very slow growth. About 90% are diagnosed in stage I, and the 5-year survival for patients is more than 90%.4 Late recurrence occurs in about 25% of patients, often 10 to 20 years after tumor resection.
Granulosa cell tumor as part of pseudo-Meigs syndrome has been reported in very few cases.4
Abdominopelvic pathology should be suspected when ascites accompanies pleural effusions. Pseudo-Meigs syndrome should be considered as a rare possibility in the differential diagnosis for pleural effusion and ascites with ovarian tumors. Resolution of pleural effusion is a requisite for the diagnosis.
REFERENCES
1.
Amatya A, Gurung RG. Pseudo Meigs’ syndrome-a case report.
J Ins Med.
2006;28:77-99.
2.
Nagakura S, Shirai Y, Hatakeyama K. Pseudo-Meigs’ syndrome caused by secondary ovarian tumors from gastrointestinal cancer. A case report and review of the literature.
Dig Surg.
2000;17:418-419.
3.
Kazanov L, Ander DS, Enriquez E, Jaggi FM. Pseudo-Meigs’ syndrome.
Am J Emerg Med.
1998;16:404-405.
4.
Chua IS, Tan KT, Lim-Tan SK, Ho TH. A clinical review of granulosa cell tumours of the ovary cases in KKH.
Singapore Med J.
2001;42:203-207.