ABSTRACT: Pulmonary manifestations, such as pleural effusions,interstitial lung disease (ILD), and rheumatoid nodules, arecommon in patients with rheumatoid arthritis (RA). For thosewith pleural effusions, diagnostic thoracentesis is usually necessaryto rule out other causes. Larger effusions that cause dyspneamay require therapeutic thoracentesis or other interventions.The presentation of ILD is characterized by graduallyprogressive dyspnea on exertion and cough. An isolated decrementin carbon monoxide–diffusing capacity is often the earliestabnormality seen on pulmonary function testing. HighresolutionCT is an important tool for detecting ILD; commonfindings include ground-glass opacities and reticulation. It isimportant to keep in mind that in RA-associated ILD, morethan one pathological process-often several-may be seen inthe same patient. (J Respir Dis. 2008;29(7):274-280)
ABSTRACT:Pulmonary manifestations, such as pleural effusions, interstitial lung disease (ILD), and rheumatoid nodules, are common in patients with rheumatoid arthritis (RA). For those with pleural effusions, diagnostic thoracentesis is usually necessary to rule out other causes. Larger effusions that cause dyspnea may require therapeutic thoracentesis or other interventions. The presentation of ILD is characterized by gradually progressive dyspnea on exertion and cough. An isolated decrement in carbon monoxide–diffusing capacity is often the earliest abnormality seen on pulmonary function testing. Highresolution CT is an important tool for detecting ILD; common findings include ground-glass opacities and reticulation. It is important to keep in mind that in RA-associated ILD, more than one pathological process-often several-may be seen in the same patient. (J Respir Dis. 2008;29(7):274-280)
Rheumatoid arthritis (RA) is a chronic inflammatory disease characterized by morning stiffness and symmetrical polyarthritis, particularly of the hand and wrist joints.1 Additional elements include elevated levels of rheumatoid factor, the presence of rheumatoid nodules, and radiographic evidence of joint erosions and deformities. Bony changes seen on chest radiographs include resorption of the distal clavicles and erosive arthritis of the shoulders.
RA typically affects women 2 to 3 times more often than men. However, with a 1% prevalence worldwide, millions of men also suffer from the disease.2 Disease-modifying antirheumatic drugs are usually used for early and aggressive treatment of articular inflammation, with the goal of minimizing long-term disability. Newer biological agents, such as tumor necrosis factor α (TNF-α) antagonists, are increasingly being used as well.
In addition to joint disease, extra articular manifestations are common in patients with RA. In particular, the lung is affected and respiratory complaints may precede joint symptoms in some cases. The most common pulmonary manifestations include interstitial lung disease (ILD), rheumatoid nodules, and pleural effusions. However, any part of the respiratory system may be involved, from the upper airway to the alveoli (Table).

In a 2-part article, we will review the various pulmonary manifestations of RA. In part 1, we focus on pleural involvement and ILD. In part 2, we will discuss airway diseases, such as bronchiectasis, bronchiolitis obliterans, rheumatoid nodules, drug-induced lung diseases, and pulmonary infections.
When evaluating patients with RA who have pulmonary symptoms or radiographic abnormalities, a broad differential diagnosis should be maintained. RA-associated pleuropulmonary disease is often a diagnosis of exclusion. The possibility of infection, drug-induced lung disease, and other disease entities must be entertained. Since smoking appears to be related to the development of RA, underlying smoking-related diseases may be seen concomitantly with RA-related lung disease.3 Patients with RA also appear to be at increased risk for coronary artery disease, diastolic dysfunction, and congestive heart failure, making a cardiac cause of shortness of breath an important consideration.4,5
The initial evaluation includes a careful medical and exposure history, pulmonary function testing, and high-resolution CT (HRCT). Exercise studies may uncover milder disease in active patients. Invasive testing may be required for definitive diagnosis or to rule out infection before empiric treatment is begun.
Symptomatic or progressive disease may respond to corticosteroids and other immunosuppressive medications, but careful follow-up is required. The role of screening for the presence of underlying respiratory disease in all patients with RA or in patients for whom the use of disease-modifying antirheumatic drugs is being considered is not clear at present, but when pulmonary manifestations occur, baseline parameters are helpful.
•Epidemiology: Pleural involvement, which includes pleural thickening and pleural effusion, is common in patients with RA and is seen at autopsy in up to 78% of patients.6 Although RA is more common in women, men are more likely to have pleuropulmonary manifestations.
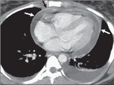
Pleuropulmonary involvement is often an early finding, but it is rarely the presenting manifestation of RA.7,8 Pleural effusion can appear at any point in the course of RA and may or may not be associated with flares of joint symptoms (Figure 1).9 Several causes of rheumatoid pleural effusion have been proposed, including chronic inflammation and fibrosis; the high protein content of the fluid, which leads to increased fluid retention in the pleural space; and the rupture of subpleural nodules with localized inflammation and fibrosis, which leads to capillary leak and obstruction of lymphatic drainage.9,10

Figure 1 – Pleural and pericardial effusions secondary to serositis were found in a 25-year-old woman with rheumatoid arthritis. The transverse CT image after administration of intravenous contrast demonstrates enhancement of the pericardium (arrows), which is typically seen with exudative effusions.
•Clinical features: The vast majority of pleural involvement that is seen in cases of RA is asymptomatic. However, when present, symptoms typically include pleuritic chest pain, fever, and dyspnea, which are the result of pleuritis and/or pleural effusion. Cough usually indicates the presence of underlying lung disease, which may warrant further investigation.11
Pleural effusions are most commonly unilateral, but bilateral or migratory effusions can be seen.9 Small to moderate-sized effusions are typical, but large effusions with respiratory compromise have been described.12 Rarely, rupture of a rheumatoid nodule can lead to a reactive pleural effusion, bronchopleural fistula, and eventual frank empyema.11
Diagnosis: Since fever and chest pain may be present in patients who have sterile rheumatoid effusions, the clinical presentation is not helpful in ruling out infection. Therefore, diagnostic thoracentesis is usually necessary to rule out other causes of the pleural effusion. In particular, the risk of empyema is increased in patients with RA, and tuberculous empyema can develop in patients treated with TNF-α antagonists.
On gross inspection, the fluid is often serous or greenish yellow. The fluid may be purulent, particularly in the case of an infectious empyema, although markedly inflammatory fluid in the setting of a necrotic rheumatoid nodule can have a similar appearance. Milky fluid can be seen in chylous or cholesterol effusions. Bloody pleural fluid is not seen with rheumatoid effusions and should prompt a workup that includes pleural biopsy in the search for other causes, such as tuberculosis or a malignant tumor.11
Rheumatoid pleural effusions are primarily exudative, with lactate dehydrogenase levels greater than 1000 U/L and total protein content greater than 3.5 g/dL.13 The fluid pH is typically lower than 7.2, often dipping as low as 7.0, which is thought to be secondary to decreased efflux of carbon dioxide from the pleural space. In addition, very low fluid glucose levels are seen, with values as low as 10 to 30 mg/dL, likely because of blockage of glucose uptake by the pleura.9,14
White blood cell counts are usually less than 10,000/µL, and cells may be polymorphonuclear or lymphocytic, depending on the acuity of the effusion. The finding of epithelioid cells, giant cells, cholesterol crystals, and amorphous granulated material in the pleural fluid, particularly with a lack of mesothelial cells, has been demonstrated to be specific for rheumatoid effusions.15 Other features of the pleural fluid that suggest the diagnosis of rheumatoid effusion include elevated rheumatoid factor and decreased complement levels.9
•Treatment: Despite the frequency of pleural effusion in patients with RA, no data beyond the level of case series are available to guide therapy. On the basis of clinical experience, most experts recommend observation alone for asymptomatic, small to moderate-sized rheumatoid effusions. Most effusions resolve spontaneously without sequelae, although rarely, trapped lung can develop.6
For larger effusions causing dyspnea, multiple modalities have been proposed, such as therapeutic thoracentesis alone; intrapleural instillation of corticosteroids or fibrinolytic agents; and augmentation of systemic immunosuppression, including use of oral corticosteroids. No single method has been shown to have superior outcomes.9 Refractory effusions may require pleurodesis.Pleural fibrosis with lung entrapment is treated with decortication to relieve dyspnea caused by restrictive lung disease.16
With the rupture of a rheumatoid nodule, spontaneous pneumothorax can occur. If bronchopleural fistula occurs, prolonged chest tube drainage may be necessary. Pneumothorax has been reported to develop after the initiation of therapy with methotrexate, although a causative link has not been proved.17
Estimates of the incidence of ILD in patients with RA vary according to the method used to detect it and the patient population studied. The combination of symptoms, chest radiographic findings, and abnormalities on pulmonary function testing is relatively insensitive, identifying evidence of ILD in fewer than 5% of patients.18 With more sensitive modalities, such as HRCT, ILD has been detected in 33% of asymptomatic patients with RA.19 This confirms the findings from autopsy series in which more than one-third of patients with advanced RA had evidence of ILD.20,21
Risk factors for the development of ILD include increasing age, male sex, and a history of cigarette smoking.6 Recent evidence proposes a role for methotrexate use as a risk factor for disease progression.19
As suggested by the above-described studies, much of RA-associated ILD is asymptomatic until progressive disease affects functioning. It typically presents in a fashion similar to that of the idiopathic interstitial pneumonias, with gradually progressive dyspnea on exertion and cough. Chest pain and fever are less common.
Late signs on physical examination may include clubbing, bibasilar crackles, and evidence of pulmonary hypertension. In patients with RA, ILD may be masked by the limited functional status based on joint disease, thereby leading to late assessment of pulmonary impairment.
Generally, the diagnosis of RA precedes the onset of ILD. However, simultaneous onset of pulmonary and joint symptoms may occur, and lung disease may precede the diagnosis of RA in as many as 20% of patients. The delay between the onset of lung disease and that of the joint disease can be as long as 6 years.6,22
An isolated decrement in carbon monoxide–diffusing capacity (DLCO) is often the earliest abnormality seen on pulmonary function testing. Before this becomes apparent, mild oxyhemoglobin desaturation during exercise may occur. However, this is infrequently uncovered because exercise testing is rarely used as a screening modality.
Later in the course of ILD, restriction is common and is observed as decreased forced vital capacity and total lung capacity. DLCO abnormalities may become severe, and hypoxemia at rest becomes apparent later in the course of disease.
Chest radiographic findings are often normal, particularly in patients with early disease, and HRCT is an important tool for uncovering the presence of ILD. The HRCT findings in RA-associated ILD are indistinguishable from those of the idiopathicinterstitial pneumonias and are frequently used to predict pathological characteristics.23
The appearance of the lungs on HRCT depends on which interstitial pneumonia pattern predominates. Common features include ground glass opacities, which are hazy areas of increased parenchymal density that do not obscure the underlying vasculature, and reticulation.24 The differential diagnosis includes all of the inflammatory pneumonias, such as usual interstitial pneumonia (UIP), nonspecific interstitial pneumonia (NSIP), desquamative interstitial pneumonia, and cryptogenic organizing pneumonia (COP).
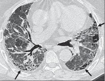
Reticulation, which is a pattern of linear scarring seen predominantly at the periphery of the lung, can be seen in association with other signs of fibrosis, including architectural distortion, traction bronchiectasis, and honeycombing. This radiographic constellation of features is more commonly associated with the pathological UIP pattern (Figure 2).

Figure 2 –High-resolution CT (HRCT) revealed a pattern of usual interstitial pneumonia in a 60-year-old man with rheumatoid arthritis. The transverse HRCT image shows the presence of a basilar, peripheral predominant reticular pattern, as well as subpleural cysts/honeycombing (arrows)./p
Both UIP and NSIP patterns tend to have a peripheral and basilar predominant distribution. Often, NSIP is described as having areas of subpleural sparing as opposed to the immediate subpleural fibrosis and honeycombing of UIP (Figure 3). Distinguishing UIP from NSIP radiographically can be quite difficult, even for expert radiologists; however, when the typical features of the UIP pattern are present, the ability of HRCT to help predict pathological UIP is generally quite good.25-27
Figure 3 –Nonspecific interstitial pneumonia (NSIP) was detected in a 35-year-old woman who had rheumatoid arthritis. Transverse high-resolution CT demonstrates peribronchovascular and basilar predominant distribution of ground-glass opacity with associated traction bronchiectasis (white arrows). The areas of immediate subpleural sparing (black arrows) are specific to the radiological appearance of NSIP.
In patients who have RA, it is not unusual for multiple patterns to coexist and for airways disease or rheumatoid nodules to be seen concomitantly with ILD. Other patterns frequently seen include "tree-in-bud" opacities (from infectious or follicular bronchiolitis), traction bronchiectasis (secondary to underlying fibrosis), and ground-glass nodules (which can be seen with follicular bronchiolitis or COP).28
Bronchoalveolar lavage (BAL) has not been found to be as useful in patients with RA as in patients with other connective-tissue diseases.There has been a poor correlation between BAL fluid cellularity and clinical features of ILD, such as reticulation on an HRCT scan.29 Patients with RA who do not have documented ILD tend to have a lymphocytic alveolitis, while those with ILD tend to have a predominance of neutrophils and macrophages in BAL fluid.6 Whether this translates into clinically applicable information, such as predicting prognosis or response to treatment, remains to be proved.
At this point, BAL may be more important as a method of ruling out infection in patients already receiving immunosuppressive therapy and of supporting the diagnosis of methotrexate toxicity than as a primary diagnostic modality for RA-associated ILD.30
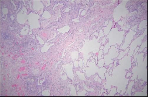
UIP and NSIP are common patterns in RA-associated ILD and are indistinguishable from patterns observed in idiopathic ILD. UIP is typically described as temporally and spatially heterogeneous, in which areas of normal lung are interspersed with areas of developing fibrosis, where fibroblastic foci and microscopic honeycombing are found (Figure 4).

Figure 4 –
This lung biopsy specimen from a patient with rheumatoid arthritis shows a usual interstitial pneumonia pattern. Heterogeneous lung tissue is present, in which normal lung is adjacent to areas of active fibrosis with scattered foci of fibroblast proliferation. Interstitial inflammation may be patchy, with alveolar septal infiltrate of lymphocytes, plasma cells, and histiocytes, accompanied by type II pneumocyte hyperplasia. Microscopic honeycombing consists of cystic air spaces, which are frequently lined by bronchiolar epithelium and filled with mucin. Smooth muscle hyperplasia may be seen in areas of fibrosis and honeycombing. (Image courtesy of Dr Robert Homer, Yale University School of Medicine.)
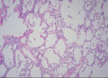
In contrast, NSIP is composed of a spatially homogeneous expansion of the interstitium by a mixture of mononuclear cells and/or fibrosis. The cellular form of NSIP typically demonstrates lymphocytes and plasma cell infiltrate with minimal fibrosis, while fibrotic NSIP shows either a mixture of inflammatory cells and fibrosis or fibrosis alone. Fibroblastic foci and organizing pneumonia are infrequent (Figure 5). Fibrotic NSIP, especially when advanced, can be difficult to differentiate from UIP, as reflected by a low intraobserver agreement even among expert pathologists.31

Figure 5 –A lymphocytic infiltrate diffusely involves the alveolar septa, and no normal lung is evident. This pattern characterizes cellular nonspecific interstitial pneumonia. The specimen shown here is from a 42-year-old patient with rheumatoid arthritis. (Image courtesy of Dr Robert Homer, Yale University School of Medicine.)
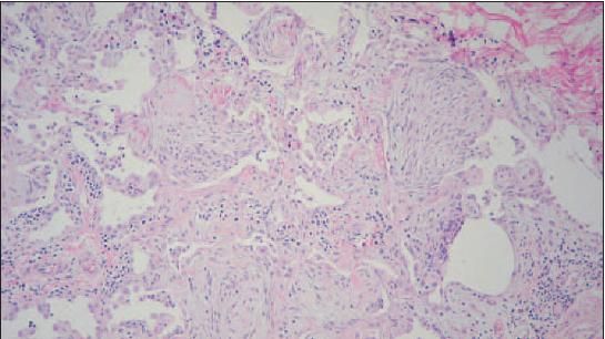
One key element of RA-associated ILD is that more than one pathological process-often several- may be seen in the same patient (Figure 6).32 RA is also associated with lymphoid hyperplasia, which can be either localized, typically around airways, as in follicular bronchiolitis, or diffuse, as in lymphoid interstitial pneumonitis (LIP). LIP differs from cellular NSIP in the much greater extent of the infiltrate. Other patterns of ILD also are seen, including the organizing pneumonia pattern in which granulation tissue fills distal lung (terminal airways, alveolar ducts, and alveolar parenchyma) and the pattern of acute interstitial pneumonia, which is histologically equivalent to diffuse alveolar damage.

Figure 6 – Cryptogenic organizing pneumonia pattern is seen in this specimen from the same patient described in Figure 5. Findings include organizing pneumonia with patchy areas of organizing fibrosis and plugs of organizing fibroblastic tissue in the distal bronchioles, surrounded by chronic inflammatory cells. It is common for more than one pathological pattern to be evident in the lungs of patients with rheumatoid arthritis and interstitial lung disease. (Image courtesy of Dr Robert Homer, Yale University School of Medicine.)
Often, patients with RA-associated ILD are not referred for surgical lung biopsy but instead are treated empirically with immunosuppressive medication. This strategy must be individualized because specific pathological patterns may help determine overall prognosis and response to treatment, thereby guiding future therapies.
In general, prognosis is linked to histological pattern in the idiopathic ILDs. UIP has a poor prognosis, with a median survival of less than 3 years from the time of diagnosis. 33 NSIP, particularly the cellular form, has a significantly better overall prognosis.34,35 Whether patients with collagen-vascular disease–associated ILD have a better prognosis overall than those with idiopathic ILD is unclear, although the most recent data suggest that they do.23,36,37
The course of ILD associated with RA can be extremely variable. In general, the course of disease tends to be slowly progressive and autopsy reports show that fewer than 10% of patients die of respiratory failure.21 However, the overall mortality for patients with RA-associated ILD is increased.
Once respiratory disease is severe enough to warrant hospitalization, mortality estimates are much higher, with a mean survival of only 3.5 years.38 In fact, survival for patients with RA-associated UIP may be no different from that for patients with idiopathic UIP (idiopathic pulmonary fibrosis).36
Guidelines for treatment are confounded by the problems of classification and prognosis in RA-associated ILD. Many asymptomatic patients have radiographic evidence of lung disease, and it is unclear whether treatment will alter their course. If treatment is given for progressive lung disease, no studies exist to guide the choice of drug or to clarify whether morbidity or mortality is improved with the use of immunosuppressive agents, each of which carry a unique adverse effect profile. In many patients, progressive lung disease develops while they are being treated with medications for joint disease, which makes the differentiation between primary lung disease and drug toxicity difficult.
Despite these issues, progressive lung disease is typically aggressively treated because reports of response to therapy do exist, including treatment with corticosteroids, azathioprine, cyclosporine, and cyclophosphamide. 10,39 Concern for possible drug reactions should not prevent the use of appropriate immunosuppressive therapies to halt the advance of life-threatening pulmonary disease.
Editor's note: In a coming issue of The Journal of Respiratory Diseases, Drs Antin-Ozerkis and Rubinowitz will continue their review of RA-associated lung disease.
REFERENCES
1.
Arnett FC, Edworthy SM, Bloch DA, et al. The American Rheumatism Association 1987 revised criteria for the classification of rheumatoid arthritis.
Arthritis Rheum.
1988;31:315-324.
2.
Spector TD. Rheumatoid arthritis.
Rheum Dis Clin North Am.
1990;16:513-537.
3.
Costenbader KH, Feskanich D, Mandl LA, Karlson EW. Smoking intensity, duration, and cessation, and the risk of rheumatoid arthritis in women.
Am J Med.
2006;119:503.e1-503.e9.
4.
Wolfe F, Freundlich B, Straus WL. Increase in cardiovascular and cerebrovascular disease prevalence in rheumatoid arthritis.
J Rheumatol.
2003;30:36-40.
5.
Meune C, Wahbi K, Assous N, et al. Myocardial dysfunction in rheumatoid arthritis: a controlled tissue- Doppler echocardiography study.
J Rheumatol.
2007;34:2005-2009.
6.
Freemer M, King TE. Connective tissue diseases. In: Schwarz MI, King TE, eds.
Interstitial Lung Disease.
4th ed. London: BC Decker Inc; 2003:535-598.
7.
Metafratzi ZM, Georgiadis AN, Ioannidou CV, et al. Pulmonary involvement in patients with early rheumatoid arthritis.
Scand J Rheumatol.
2007;36:338-344.
8.
Allan JS, Donahue DM, Garrity JM. Rheumatoid pleural effusion in the absence of arthritic disease.
Ann Thorac Surg.
2005;80:1519-1521.
9.
Balbir-Gurman A, Yigla M, Nahir AM, Braun- Moscovici Y. Rheumatoid pleural effusion.
Semin Arthritis Rheum.
2006;35:368-378.
10.
Gauhar UA, Gaffo AL, Alarcón GS. Pulmonary manifestations of rheumatoid arthritis.
Semin Respir Crit Care Med.
2007;28:430-440.
11.
Tanoue LT. Pulmonary manifestations of rheumatoid arthritis.
Clin Chest Med.
1998;19:667-685, viii.
12.
Pritikin JD, Jensen WA, Yenokida GG, et al. Respiratory failure due to a massive rheumatoid pleural effusion.
J Rheumatol.
1990;17:673-675.
13.
Joseph J, Sahn SA. Connective tissue diseases and the pleura.
Chest.
1993;104:262-270.
14.
Dodson WH, Hollingsworth JW. Pleural effusion in rheumatoid arthritis. Impaired transport of glucose.
N Engl J Med.
1966;275:1337-1342.
15.
Engel U, Aru A, Francis D. Rheumatoid pleurisy. Specificity of cytological findings.
Acta Pathol Microbiol Immunol Scand [A].
1986;94:53-56.
16.
Yarbrough JW, Sealy WC, Miller JA. Thoracic surgical problems associated with rheumatoid arthritis.
J Thorac Cardiovasc Surg.
1975;69:347-354.
17.
Gotsman I, Goral A, Nusair S. Secondary spontaneous pneumothorax in a patient with pulmonary rheumatoid nodules during treatment with methotrexate.
Rheumatology (Oxford).
2001;40:350-351.
18.
Morrison SC, Mody GM, Benatar SR, Meyers OL. The lungs in rheumatoid arthritis-a clinical, radiographic and pulmonary function study.
S Afr Med J.
1996;86:829-833.
19.
Gochuico BR, Avila NA, Chow CK, et al. Progressive preclinical interstitial lung disease in rheumatoid arthritis.
Arch Intern Med.
2008;168:159-166.
20.
Dawson JK, Fewins HE, Desmond J, et al. Fibrosing alveolitis in patients with rheumatoid arthritis as assessed by high resolution computed tomography, chest radiography, and pulmonary function tests.
Thorax.
2001;56:622-627.
21.
Suzuki A, Ohosone Y, Obana M, et al. Cause of death in 81 autopsied patients with rheumatoid arthritis.
J Rheumatol.
1994;21:33-36.
22.
Akira M, Sakatani M, Hara H. Thin-section CT findings in rheumatoid arthritis-associated lung disease: CT patterns and their courses.
J Comput Assist Tomogr.
1999;23:941-948.
23.
Kocheril SV, Appleton BE, Somers EC, et al. Comparison of disease progression and mortality of connective tissue disease-related interstitial lung disease and idiopathic interstitial pneumonia.
Arthritis Rheum.
2005;53:549-557.
24.
Tanaka N, Kim JS, Newell JD, et al. Rheumatoid arthritis-related lung diseases: CT findings.
Radiology.
2004;232:81-91.
25.
Flaherty KR, Thwaite EL, Kazerooni EA, et al. Radiological versus histological diagnosis in UIP and NSIP: survival implications.
Thorax.
2003;58:143-148.
26.
Lynch DA, David Godwin J, Safrin S, et al. High-resolution computed tomography in idiopathic pulmonary fibrosis: diagnosis and prognosis.
Am J Respir Crit Care Med.
2005;172:488-493.
27.
Hunninghake GW, Zimmerman MB, Schwartz DA, et al. Utility of a lung biopsy for the diagnosis of idiopathic pulmonary fibrosis.
Am J Respir Crit CareMed.
2001;164:193-196.
28.
Devaraj A, Wells AU, Hansell DM. Computed tomographic imaging in connective tissue diseases.
Semin Respir Crit Care Med.
2007;28:389- 397.
29.
Biederer J, Schnabel A, Muhle C, et al. Correlation between HRCT findings, pulmonary function tests and bronchoalveolar lavage cytology in interstitial lung disease associated with rheumatoid arthritis.
Eur Radiol.
2004;14:272-280.
30.
Zisman DA, McCune WJ, Tino G, Lynch JP 3rd. Drug-induced pneumonitis: the role of methotrexate. Sarcoidosis Vasc Diffuse Lung Dis. 2001;18:243-252.
31.
Nicholson AG, Addis BJ, Bharucha H, et al. Inter- observer variation between pathologists in diffuse parenchymal lung disease.
Thorax.
2004;59:500-505.
32.
Leslie KO, Trahan S, Gruden J.
Pulmonary pathology of the rheumatic diseases. Semin Respir Crit Care Med.
2007;28:369-378.
33.
Bjoraker JA, Ryu JH, Edwin MK, et al. Prognostic significance of histopathologic subsets in idiopathic pulmonary fibrosis.
Am J Respir Crit Care Med.
1998;157:199-203.
34.
Riha RL, Duhig EE, Clarke BE, et al. Survival of patients with biopsy-proven usual interstitial pneumonia and nonspecific interstitial pneumonia.
Eur Respir J.
2002;19:1114-1118.
35.
Flaherty KR, Toews GB, Travis WD, et al. Clinical significance of histological classification of idiopathic interstitial pneumonia.
Eur Respir J.
2002;19:275-283.
36.
Park JH, Kim DS, Park IN, et al. Prognosis of fibrotic interstitial pneumonia: idiopathic versus collagen vascular disease-related subtypes.
Am J Respir Crit Care Med.
2007;175:705-711.
37.
Tansey D, Wells AU, Colby TV, et al. Variations in histological patterns of interstitial pneumonia between connective tissue disorders and their relationship to prognosis.
Histopathology.
2004;44:585-596.
38.
Hakala M. Poor prognosis in patients with rheumatoid arthritis hospitalized for interstitial lung fibrosis.
Chest.
1988;93:114-118.
39.
Chang HK, Park W, Ryu DS. Successful treatment of progressive rheumatoid interstitial lung disease with cyclosporine: a case report.
J Korean Med Sci.
2002;17:270-273.