We present a case of a 20-year oldman with massive hemoptysisresulting from pulmonarysequestration that involved 2lobes (the right lower and middlelobes). Preoperative embolizationand subsequent surgicalbilobectomy were performed.Although the patienthad a difficult and prolongedpostoperative course, he eventuallyhad a full recovery.
We present a case of a 20-year old man with massive hemoptysis resulting from pulmonary sequestration that involved 2 lobes (the right lower and middle lobes). Preoperative embolization and subsequent surgical bilobectomy were performed. Although the patient had a difficult and prolonged postoperative course, he eventually had a full recovery.
A 20-year-old man with a history of asthma and tobacco use presented with massive hemoptysis and shortness of breath over the course of a few hours. He was hypotensive and tachycardic but afebrile.
On physical examination, dullness and decreased breath sounds were observed at the base of the right lung. Findings from the remainder of the physical examination were unremarkable.
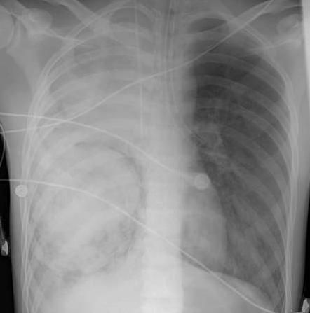
The patient's hemoglobin level was 7.1 g/dL. His symptoms progressively worsened to the extent that he required volume resuscitation, packed red blood cell transfusion, and intubation. A chest radiograph showed a dense infiltrate in the right lower and middle lobes and increased opacity of the right upper lobe (Figure 1). Malignancy, necrotizing pneumonia, and arteriovenous malformation were all considered.

Figure 1 – A dense infiltrate can be seen in the right lower and middle lobes (with a circular rim around it) in this chest radiograph. Also, increased opacity is noted in the right upper lobe.
A CT scan of the chest showed a right hemothorax, a lower lobe mass that extended to the middle lobe, cystic areas surrounding the mass, and what appeared to be a vessel coming off the descending aorta adjacent to the celiac axis and feeding into the mass (Figure 2). After bronchoscopy failed to control the bleeding, urgent aortic angiography with subsequent embolization of the feeding artery was performed, and the crisis abated (Figure 3).

Figure 2 – This CT scan shows a right hemothorax, a lower lobe mass extending to the middle lobe, cystic areas surrounding the mass, and what appears to be a vessel coming off the descending aorta adjacent to the celiac axis and feeding into the mass.

Figure 3 – An aortic angiogram shows the feeding artery to the sequestration (A) and subsequent embolization of the feeding artery (B).
On the next day, surgical bilobectomies of the right lower and middle lobes were performed. The pathology report confirmed the presence of intralobar pulmonary sequestration involving both resected lobes.
Although the patient was observed to be stable at the end of surgery, extubation was unsuccessful. Acute respiratory distress syndrome developed, and the patient's clinical status progressively worsened. Tracheostomy, high-frequency mechanical ventilation, and extracorporeal membrane oxygenation were required.
Four weeks later, the patient began to show signs of slow improvement. The tracheotomy tube was removed, and a tracheostomy button was safely put in place. The patient continued to improve, and his chest radiograph showed resolution (Figure 4). He was discharged for rehabilitation after almost 8 weeks of hospitalization. At followup visits, he was noted to have achieved a full recovery without any functional limitations.

Figure 4 –
This anteroposterior chest radiograph
confirms complete resolution before the patient's discharge.
Pulmonary sequestration consists of a nonfunctioning mass of lung tissue that lacks normal communication with the tracheobronchial tree. This anomaly is characterized by location, connection to other structures, vascular supply, and association with other abnormalities.
Pulmonary sequestration can be either intralobar or extralobar. Extralobar sequestrations may present as a subdiaphragmatic or retroperitoneal mass. Although the incidence varies among small series, extralobar sequestration almost always involves the left hemithorax. Most intralobar sequestrations occur in the lower lobes. In approximately 60% of cases, the sequestrations are located in the posterior basal segment of the left lower lobe. Rare instances of bilateral pulmonary sequestration have been reported.1
Pulmonary sequestration receives its arterial blood supply from the systemic circulation; in rare cases, the arterial source is from the coronary arteries.2 In intralobar sequestration, the arterial supply usually is derived from the lower thoracic or upper abdominal aorta. Venous drainage to the left atrium is usually normal, although abnormal connections to the vena cava, azygos vein, or right atrium may occur. In general, the arterial supply of extralobar sequestration comes from an aberrant vessel arising from the thoracic aorta.
Pulmonary sequestration is exceedingly uncommon, representing 0.15% to 6.4% of all congenital pulmonary malformations.2 In adults,it is usually asymptomatic, and hemoptysis is rarely the presenting symptom. Recurrent infection is more common on presentation. However, our patient presented with hemoptysis and shortness of breath. The hemoptysis was so severe that intubation was required. Since the bleeding source was identified to be from the right lung, single- lumen intubation was performed to better protect and ventilate the left lung.
The diagnosis of pulmonary sequestration in adults is confirmed by CT scanning of the chest to define the lesion and the aberrant artery. CT angiography has become the diagnostic modality of choice, replacing the need for arteriography to identify the vascular supply before surgical resection. In our case, the arterial supply was a single artery arising from the aorta.
In asymptomatic patients, elective resection is usually recommended to prevent complications.3 In symptomatic patients, pulmonary sequestration is usually treated by surgical excision, which is normally curative,4,5 but treatment with arterial embolization has beenreported as well.6 In our patient, embolization was used to control bleeding and stabilize him until surgery was undertaken. Vigilance, awareness, and high suspicion in the right clinical setting can help prevent undesired morbidity and potentially fatal complications.
REFERENCES
1.
John PR, Beasley SW, Mayne V. Pulmonary sequestration and related congenital disorders. A clinico-radiological review of 41 cases.
Pediatr Radiol.
1989;20:4-9.
2.
Arsalane A, Parrot A, Assouad J, et al. Spontaneous hemothorax: a rare but serious complication of intralobular pulmonary sequestration.
Rev Pneumol Clin.
2006;62:30-33.
3.
Samuel M, Burge, DM. Management of antenatally diagnosed pulmonary sequestration associated with congenital cystic adenomatoid malformation.
Thorax.
1999;54:701-706.
4.
Haller JA, Golladay ES, Pickard LR, et al. Surgical management of lung bud anomalies: lobar emphysema, bronchogenic cyst, cystic adenomatoid malformation, and intralobar pulmonary sequestration.
Ann Thorac Surg.
1979;28:33-43.
5.
Tokel K, Boyvat F, Varan B. Coil embolization of pulmonary sequestration in two infants: a safe alternative to surgery.
AJR.
2000;175:993-995.
6.
Park ST, Yoon CH, Sung KB, et al. Pulmonary sequestration in a newborn infant: treatment with arterial embolization.
J Vasc Interv Radiol.
1998;9:648-650.