A previously healthy 58-year-old man presented to the emergency department with a 4-week history of gradually progressive dyspnea, facial flushing, and night sweats. Three weeks before presentation, he received the diagnosis of acne rosacea from an outside physician and was given topical treatments, with no relief in symptoms. One week before presentation, he began to notice swelling of the face, neck, and right arm and dysphagia (initially with solids, then progressing to liquids).
A previously healthy 58-year-old man presented to the emergency department with a 4-week history of gradually progressive dyspnea, facial flushing, and night sweats. Three weeks before presentation, he received the diagnosis of acne rosacea from an outside physician and was given topical treatments, with no relief in symptoms. One week before presentation, he began to notice swelling of the face, neck, and right arm and dysphagia (initially with solids, then progressing to liquids).
On physical examination, his vital signs included a temperature of 36.7°C (98.1°F), pulse of 76 beats per minute, blood pressure of 132/79 mm Hg, respiration rate of 21 breaths per minute, and arterial oxygen saturation of 95% while breathing ambient air. The patient had a hoarse voice and facial plethora.
Neck examination (while upright) revealed fullness in the right supraclavicular fossa and internal jugular vein distention to the angle of the mandible. The patient's right hand and forearm were asymmetrically larger than the left, and skin examination revealed distended veins across his chest. The cardiopulmonary examination findings were normal.
Admission laboratory data revealed normal complete blood cell count and differential, and normal basic metabolic panel and liver function test results. ECG findings suggested a prior anterior myocardial infarction.
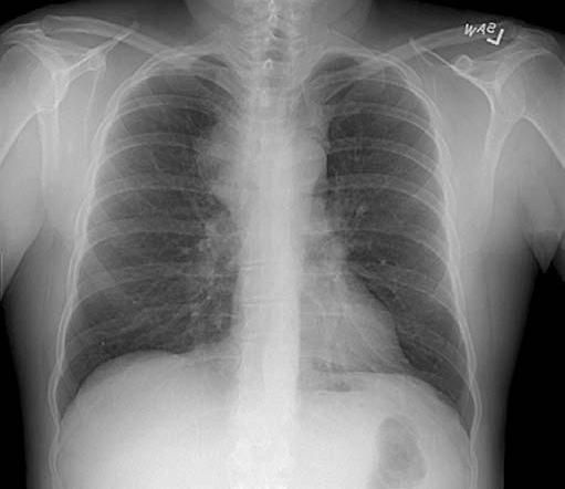
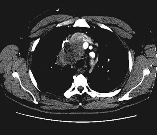
The patient's chest radiograph (Figure 1) and CT scan of the chest after administration of intravenous contrast material (Figure 2) are shown below.


Figure 1 Figure 2
Discussion on next page.
The chest radiograph revealed fullness in the superior mediastinum with the trachea remaining midline. The margins of the aorta remained visible, suggesting that the mass was not in the posterior mediastinum, but was in either the anterior or middle mediastinum.
The CT scan of the patient's chest showed a soft tissue attenuation mass in the middle mediastinum, causing marked compression of the superior vena cava (SVC). Tracheal compression and hypodense lesions suggesting malignancy in the left kidney and bilateral adrenal glands were also present.
Flexible bronchoscopy with transbronchial needle biopsy was performed; however, samples revealed only inflammatory cells. A CT-guided transthoracic needle biopsy obtained tissue that was consistent with small-cell carcinoma. The diagnosis was SVC syndrome secondary to small-cell carcinoma of the lung.
This classic syndrome in thoracic medicine consists of a variety of signs and symptoms stemming from mediastinal pathology that reflect the upstream complications of obstructing the venous return of the upper torso, extremities, and head. The most prevalent symptoms and signs include swelling of the neck as well as of the face and upper extremities, dyspnea, cough, dilated veins across the chest, and facial plethora.1 As in our patient, the symptoms are more severe with complete azygous obstruction before collateralization.
The individual symptoms of SVC syndrome are not as valuable as the overall picture created by obstruction of the superior venous return to the heart, although data indicate that certain symptoms are more predominant in malignant causes. For example, dyspnea at rest, cough, chest or shoulder pain, hyponatremia, and weight loss are seen more frequently in patients who have malignancy as the underlying cause.
In addition, the average time from symptom onset to diagnosis is 3.2 weeks in patients with malignancies compared with 42 months in those with benign causes. Dizziness is the only symptom found to be more common in patients with benign causes.1,2
The most common finding on chest radiographs is mediastinal widening, followed by pleural effusion and a right paratracheal mass. In one analysis of 86 patients with SVC syndrome, 16% had normal chest radiographic findings.2
SVC syndrome has gone through an etiological, diagnostic, and therapeutic evolution since it was first described. Before antibiotics, infectious sequelae were the most common causes of the syndrome. Now, malignancy is the cause in 60% to 78% of patients.1,2
Among patients with malignancy, bronchogenic carcinoma is the most common (77%), now withan equal distribution between small-cell and non–small-cell carcinoma.1 Lymphoma is the next most common malignant cause of SVC syndrome.
Nonmalignant causes, such as fibrosing mediastinitis, have been extensively reported as contributing to as many as 15% to 40% of cases of SVC syndrome.1-3 However, the increasing use of indwelling central venous catheters (CVCs) has created another impetus for SVC thrombus formation; thus, CVC use is quickly gaining on malignancy as a leading cause of this syndrome. In a review of 78 cases of SVC syndrome, 28% were found to be iatrogenic as a result of intravascular devices, with implantable CVCs being the most common.1
Transbronchial needle biopsy has had a diagnostic yield of up to 96% in patients with a mediastinal neoplasm and SVC syndrome; only minor bleeding and no pneumothoraces were reported.4 Although cervical mediastinoscopy is more invasive, its potential yield approaches 100%, with complications usually involving only insignificant bleeding.5 Use of general anesthesia to aid in diagnosis can be complicated by airway obstruction from a mass effect and malignant pericardial effusions leading to tamponade and hemodynamic collapse.3
In an analysis of 660 patients undergoing CT-guided cutting needle biopsies of thoracic lesions, including mediastinal masses, pneumothorax was seen in 23% of patients; however, only 9 patients (1%) required chest tubes and only 1 patient had a severe pneumothorax.6 Bleeding was seen in 30% of the patients, but only 1 patient had severe bleeding causing a mild hemothorax.6 A separate analysis of 60 patients who underwent fine-needle aspiration reported the occurrence of only 1 pulmonary hematoma and 1 pneumothorax.7
The management of SVC syndrome depends on the underlying pathology; however, the acute treatment of patients with malignant causes of vena cava obstruction has evolved. Isolated SVC obstruction has not been shown to be a medical emergency, with an average time of 15 weeks between symptom onset and presentation to a physician.3 However, compromise of surrounding structures, such as the trachea, carries ominous implications that may require prompt intervention with radiotherapy.
Corticosteroids, chemotherapy, radiotherapy, stenting, and even diuretics have been used to achieve symptomatic and/or therapeutic ends. Chemotherapy alone has been shown to relieve symptoms in approximately 75% of patients with small-cell lung cancer, rates similar to those seen with radiotherapy. Combination chemoradiation improves the rate of symptom relief to 83%.
Aside from being used as an adjunct in radiotherapy, there is no evidence that corticosteroids alone are effective in acute management. Although relatively new, stent placement in the SVC promises to be a more rapid approach to symptom relief.8
After the diagnosis was established, the patient received carboplatin and etoposide, with significant relief in his facial plethora and dyspnea. He continues to receive radiotherapy and has not had a recurrence of symptoms.
The authors are affiliated with Vanderbilt University School of Medicine, Nashville, Tennessee. Dr Janz is an intern in the department of internal medicine. Dr Ely is professor of medicine in the division of allergy, pulmonary, and critical care medicine.
REFERENCES
1.
Rice TW, Rodriguez RM, Light RW. The superior vena cava syndrome: clinical characteristics and evolving etiology.
Medicine (Baltimore).
2006;85:37-42.
2.
Parish JM, Marschke RF, Dines DE, Lee RE. Etiologic considerations in superior vena cava syndrome.
Mayo Clin Proc.
1981;56:407-413.
3.
Schraufnagel DE, Hill R, Leech JA, Pare JA. Superior vena caval obstruction. Is it a medical emergency?
Am J Med.
1981;70:1169-1174.
4.
Selçuk ZT, Firat P. The diagnostic yield of transbronchial needle aspiration in superior vena cava syndrome.
Lung Cancer.
2003;42:183-188.
5.
Mineo TC, Ambrogi V, Nofroni I, Pistolese C. Mediastinoscopy in superior vena cava obstruction: analysis of 80 consecutive patients.
Ann Thorac Surg.
1999;68:223-226.
6.
Yeow KM, Su IH, Pan KT, et al. Risk factors of pneumothorax and bleeding: multivariate analysis of 660 CT-guided coaxial cutting needle lungbiopsies.
Chest.
2004;126:748-754.
7.
Morrissey B, Adams H, Gibbs AR, Crane MD. Percutaneous needle biopsy of the mediastinum: review of 94 procedures.
Thorax.
1993;48:632-637.
8.
Rowell NP, Gleeson FV. Steroids, radiotherapy, chemotherapy and stents for superior vena caval obstruction in carcinoma of the bronchus: a systematic review.
Clin Oncol (R Coll Radiol).
2002;14:338-351.