A 35-year-old woman presented to the emergency department (ED) with vague abdominal complaints. The patient had a complex medical history that included diverticulosis and relapsing polychondritis. Initially, her polychondritis was limited to involvement of the ears and nose. Within the past few years, however, her polychondritis flares had been associated with progressive dyspnea, which prompted intermittent and then long-term use of high-dose oral corticosteroids.
A 35-year-old woman presented to the emergency department (ED) with vague abdominal complaints. The patient had a complex medical history that included diverticulosis and relapsing polychondritis. Initially, her polychondritis was limited to involvement of the ears and nose. Within the past few years, however, her polychondritis flares had been associated with progressive dyspnea, which prompted intermittent and then long-term use of high-dose oral corticosteroids.
Despite the addition of methotrexate and cyclosporine, the patient continued to experience progressive dyspnea and hoarseness. This prompted a formal chest CT evaluation to assess for airway involvement, which was done shortly before her presentation to the ED. Although there was no evidence of air

way involvement associated with relapsing polychondritis, the CT scan demonstrated pneumomediastinum, an unsuspected finding of uncertain etiology (Figure 1).
The patient was discharged home with scheduled short-term follow-up in the pulmonary outpatient clinic for further assessment. At that visit, she reported left flank and abdominal pain, for which she had been taking oral narcotics several times a day with only partial relief. She also reported night sweats, presyncope, nausea, anorexia, and subjective fevers, as well as slightly darker and more foul-smelling stools. She had no rectal bleeding.
Because of her progressive abdominal symptoms, the patient was immediately referred to the ED. On physical examination, her blood pressure was 110/80 mm Hg and her heart rate and respiration rate were normal. Her oxygen saturation on room air was 97%. She had no palpable crepitus. Her lungs were clear to auscultation and percussion, without wheezes, rhonchi, or rales. Heart sounds were normal with no murmur, rub, or gallop.
The patient's abdomen was focally tender in the left lower quadrant with shake and rebound tenderness, and there was a suggestion of a firm collection in the left lower quadrant. Bowel sounds were normal. The re

st of her physical examination was unremarkable.
Laboratory data were remarkable for an elevated white blood cell count (23,000/µL, with a differential of 91% neutrophils, without bandemia). Her hematocrit value was 33%, and platelet count was 473,000/µL. The lactate dehydrogenase level was normal at 191 U/L. Her erythrocyte sedimentation rate was elevated at 66 mm/h, antineutrophilic cytoplasmic antibody test results were negative, and C-reactive protein level was 83 mg/L.
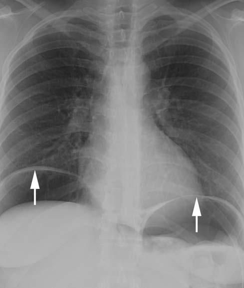
A chest radiograph was obtained for further assessment and is shown left (Figure 2).
How would you interpret these findings?
How would you proceed?
Making the diagnosis
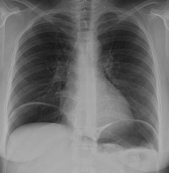
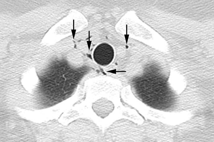
The patient's CT scan of the chest demonstrated small collections of gas in the mediastinum, consistent with pneumomediastinum (Figure 1). The chest radiograph showed a large amount of free air below both hemidiaphragms (Figure 2). Cardiac and mediastinal contours were within normal limits. The lungs were clear, and there was no pleural effusion.

Figure 1 – CT scan (lung windows) of the
upper thorax demonstrates small collections of
gas (arrows) in the mediastinum, consistent with pneumomediastinum.
The differential diagnosis for pneumomediastinum is relatively limited. A diagnosis to consider is spontaneous pneumomediastinum, which can be the result of increased intra-abdominal pressure caused by coughing or vomiting (sometimes associated with illicit drug use), Boerhaave syndrome (esophageal rupture during vomiting), Valsalva maneuvers, vigorous crying or shouting, strenuous athletic activity, and childbirth (Hamman syndrome). Additional diagnoses include respiratory illnesses complicated by alveolar rupture, which can occur in a variety of acute (acute respiratory distress syndrome) and chronic (emphysema, idiopathic pu

lmonary fibrosis) lung diseases.
Figure 2 – A large amount of free air under the diaphragm (arrows) can be seen in this portable chest radiograph obtained in the emergency department.
A number of causes of external pressure changes (barotraumas) may be associated with pneumomediastinum, especially mechanical and foreign-body aspiration. In addition, traumatic injury to the chest can result in pneumomediastinum. It is also important to recognize that the mediastinum communicates with structures in the neck superiorly and with the retroperitoneum and pelvis inferiorly. A variety of abnormalities arising in the head and neck (upper airway perforation, facial fractures, dental procedures) and abdomen (perforation of bowel) may result in pneumomediastinum.
Thus, the assessment of a patient with pneumomediastinum should include a careful consideration of both intrathoracic and extrathoracic causes. In this case, the subsequent development of a large amount of free intraperitoneal air on the chest radiograph raises concern for a perforated abdominal viscus as the most likely cause.
Although this patient had no history to support an intrathoracic cause of pneumomediastinum, she did have a history of diverticulosis and was taking immunosuppressive medications, including corticosteroids, as well as narcotic medications for pain control. Her history of diverticulosis in the setting of long-term corticosteroid use for polychondritis made her presentation most consistent with the presence of a perforated diverticulum secondary to exposure to exogenous corticosteroids.
The patient subsequently underwent a dedicated abdominal and pelvic CT scan in the ED, which confirmed the suspected diagnosis of perforated diverticulitis with associated extensive intraperitoneal free air and adjacent inflammation. After the CT scan, she was rushed to the operating room to undergo emergent laparotomy.
Discussion
Diverticular disease is extremely common, affecting 30% of persons older than 60 years and up to 65% older than 80 years. Diverticula are sac-like protrusions of the colonic wall and are predominantly left-sided. Complications include diverticular bleeding, inflammation resulting in diverticulitis, and perforation with or without abscess formation. However, perforation is infrequent when diverticular disease is the only risk factor.1
Corticosteroids are frequently used as long-term treatment for a wide range of diseases, including chronic obstructive pulmonary disease, idiopathic pulmonary fibrosis, inflammatory bowel disease, vasculitides, and systemic arthritides. Corticosteroids have many systemic adverse effects. The potential GI effects of long-term use include gastritis, peptic ulcer disease, and GI bleeding, as well as visceral rupture and hepatic steatosis.
Perforation of diverticula in the setting of corticosteroid use is a well-described phenomenon in the literature and is most common in patients who have a history of chronic diverticular disease. Corticosteroids, NSAIDs, and opiate narcotics have been shown to be independent risk factors for perforation in patients with colonic diverticular disease.2,3 The incidence of corticosteroid use in patients with diverticular perforation is almost 20%.
Studies have suggested that the higher the dose of corticosteroids used, the longer the delay from symptom onset to diagnosis and treatment.4 In fact, patients who are treated with corticosteroids often have subtler presentations with significantly fewer symptoms of peritonitis associated with bowel perforation because of the suppression of the inflammatory response. This can lead to delay in diagnosis and development of a more complicated infection with abscess formation and a higher mortality rate.5
Pneumomediastinum as an initial presentation of a perforated diverticulum has been described in individual case reports, but its actual incidence is unknown. In the case presented here, the patient had a delay in diagnosis secondary to atypical symptoms of peritonitis resulting from corticosteroidrelated immunosuppression; this probably allowed time for the pneumoperitoneum to track into the mediastinum.
Clearly, the danger in using corticosteroids in patients with a history of diverticular disease is the risk of perforation with atypical symptoms at presentation, which increases the risk of abscess formation and death from sepsis. Caution should always be used when prescribing long-term corticosteroids for a patient with known diverticular disease and, to ensure rapid diagnosis, clinicians must maintain a high level of vigilance for recognizing the signs and symptoms of a possible diverticular rupture. Given the potential for corticosteroids to mask the signs and symptoms of aperforated viscus, any findings on initial imaging that suggest perforation must be evaluated further.
The outcome in this case
The patient was taken to the operating room for drainage of an intraperitoneal abdominal abscess, end-sigmoid colostomy and the Hartmann pouch procedure, and peritoneal washout with antibiotics. Her postoperative course was complicated by abscess re-formation, which required the placement of a percutaneous drain and home intravenous antibiotics, and by incomplete intestinal obstruction. She is currently awaiting reanastomosis, but this will require a transition to a different immunosuppressive agent to ensure proper healing.
REFERENCES
1. Warshaw AL, Welch JP, Ottinger LW. Acute perforation of the colon associated with chronic corticosteroid therapy. Am J Surg. 1976;131:442-446.
2. Mpofu S, Mpofu CM, Hutchinson D, et al. Steroids, non-steroidal anti-inflammatory drugs, and sigmoid diverticular abscess perforation in rheumatic conditions. Ann Rheum Dis. 2004;63:588-590.
3. Morris CR, Harvey IM, Stebbings WS, et al. Anti-inflammatory drugs, analgesics and the risk of perforated colonic diverticular disease. Br J Surg. 2003;90:1267-1272.
4. ReMine SG, McIlrath DC. Bowel perforation in steroid-treated patients. Ann Surg. 1980;192:581-586.
5. Weiner HL, Rezai AR, Cooper PR. Sigmoid diverticular perforation in neurosurgical patients receiving high-dose corticosteroids. Neurosurgery. 1993;33:40-43.
FDA Approves Updated Indication Statement for Upadacitinib in Inflammatory Bowel Disease Treatment
October 14th 2025FDA approves updated indication for upadacitinib in ulcerative colitis and Crohn disease treatment, allowing use after one systemic therapy when TNF blockers are clinically inadvisable.
Clinical Tips for Using Antibiotics and Corticosteroids in IBD
January 5th 2013The goals of therapy for patients with inflammatory bowel disorder include inducing and maintaining a steroid-free remission, preventing and treating the complications of the disease, minimizing treatment toxicity, achieving mucosal healing, and enhancing quality of life.