ABSTRACT: Patients with rheumatoid arthritis (RA) often havepulmonary manifestations, such as interstitial lung disease.The most common cause of upper airway obstruction is cricoarytenoidarthritis. Patients often complain of a pharyngeal foreign-body sensation or hoarseness, but some present with severestridor. Bronchiolitis obliterans is characterized by a rapidonset of dyspnea and dry cough, with inspiratory rales andsqueaks on examination. This presentation, particularly in middle-aged women with seropositive disease, distinguishes bronchiolitisobliterans from other pulmonary manifestations ofRA. High-resolution CT may be more sensitive than pulmonaryfunction tests for detecting small-airways disease, and it frequentlyshows moderate to severe air trapping on expiratoryimages. (J Respir Dis. 2008;29(8):318-324)
ABSTRACT:Patients with rheumatoid arthritis (RA) often have pulmonary manifestations, such as interstitial lung disease. The most common cause of upper airway obstruction is cricoarytenoid arthritis. Patients often complain of a pharyngeal foreign- body sensation or hoarseness, but some present with severe stridor. Bronchiolitis obliterans is characterized by a rapid onset of dyspnea and dry cough, with inspiratory rales and squeaks on examination. This presentation, particularly in middle- aged women with seropositive disease, distinguishes bronchiolitis obliterans from other pulmonary manifestations of RA. High-resolution CT may be more sensitive than pulmonary function tests for detecting small-airways disease, and it frequently shows moderate to severe air trapping on expiratory images. (J Respir Dis. 2008;29(8):318-324)
Pleuropulmonary involvement in patients with rheumatoid arthritis (RA) is more common than has been believed. Although much of this involvement is asymptomatic, progressive disease can be disabling and even fatal. When patients present with respiratory symptoms, the diagnostic evaluation is complicated by issues such as increased risk of infection, use of drugs that have pulmonary toxicities, and the known frequency of lung disease related to RA itself.
In the July 2008 issue of The Journal of Respiratory Diseases, we reviewed RA-related pleural disease and interstitial lung disease (ILD). In this article, we discuss airway diseases such as bronchiectasis, drug related lung disease, rheumatoid nodules, and pulmonary infections.
AIRWAYS DISEASE
Upper airway disease
The most common cause of upper airway obstruction in patients with RA is cricoarytenoid arthritis, which tends to be more common in women than in men. The cricoarytenoid joint is a true diarthrodial articulation. Inflammation, with eventual ankylosis of that joint may lead to symptoms referable to the head and neck.1 On the basis of diagnosis by laryngoscopy or CT, the incidence of cricoarytenoid arthritis may be as high as 75%, but only about 25% of patients have laryngeal symptoms.2-4
Most commonly, patients complain of a pharyngeal foreign-body sensation or hoarseness, but dyspnea, pain radiating to the ears, stridor, dysphagia, odynophagia, and pain with speech have been described.5 Sore throat and difficulty in drawing a full breath during inspiration predict mucosal and functional abnormalities seen on indirect laryngoscopy.4
Radiographic abnormalities of the joint may include cricoarytenoid erosion, cricoarytenoid luxation, cricoarytenoid prominence, and abnormal position of the true vocal cord.2 Examination of flow-volume loops on spirometry may suggest upper airway obstruction.
In addition to chronic symptoms of upper airway obstruction, cricoarytenoid arthritis may present acutely, with severe stridor requiring emergent airway management and tracheostomy. Early diagnosis and management are ideal to avoid situations in which the diagnosis is made in the postoperative setting, with airway emergency associated with vocal cord trauma or laryngeal edema.6 Management of chronic symptoms may include systemic or intra-articular corticosteroids.1 Surgical management, including tracheostomy, arytenoidectomy, or arytenoidopexy, may be necessary in patients with progressive airway obstruction despite medical treatment.5
Other manifestations of RA in the head and neck may include rheumatoid nodules, which can present as submucosal masses mimicking squamous cell carcinoma, as well as subluxation of the atlantoaxial joint and arthritis of the temporomandibular joint, which lead to obstructive sleep apnea.5,7
Bronchiectasis
High-resolution CT (HRCT) often reveals bronchiectasis in patients with RA; the reported incidence is usually about 30%, but it has been observed to be as high as 58% in nonsmoking patients with RA.8,9 The reasons for the increased frequency of bronchiectasis among patients with RA are not well understood. Theories include susceptibility to recurrent respiratory infections and genetic predisposition.10
It has also been suggested that heterozygosity for the ΔF508 cystic fibrosis transmembrane conductance regulator gene may confer risk for diffuse bronchiectasis in RA.11 Some hypothesize that bronchiectasis itself may be a risk factor for the development of RA.12
Despite the frequent finding of bronchiectasis on imaging studies, symptomatic bronchiectasis is not common.13 Clinical manifestations of bronchiectasis include productive cough, recurrent infections, dyspnea, hemoptysis, and respiratory failure. Mortality from bronchiectasis has been observed to result from progressive respiratory failure.13
Bronchiectasis tends to develop late in RA, although it precedes the articular disease in a subset of patients who have less severe joint symptoms and less severe disease overall.13 In patients with RA, symptomatic bronchiectasis should be managed in a manner similar to that for other forms of bronchiectasis, with airway clearance, aggressive treatment of pulmonary infections, and use of bronchodilators.
Airways obstruction
Chronic obstructive lung disease, observed physiologically by a decreased ratio of forced expiratory volume in 1 second to forced vital capacity on spirometry, is common in patients who have RA. Smoking history is associated with an increased risk of RA developing, but even when matched for smoking history, patients with RA have increased rates of airflow obstruction.14,15 These patients have increased rates of bronchial reactivity to methacholine challenge, but the exact pathogenesis of obstructive lung disease remains obscure.16
Patients who have obstructive lung disease may present with dyspnea, cough, and sputum production. Treatment with inhaled corticosteroids and bronchodilators may be useful in these patients.
Bronchiolitis obliterans
The rapid onset and progression of bronchiolitis obliterans, particularly in middle-aged women with seropositive RA, distinguishes this entity from other pulmonary manifestations of RA. A rapid onset of dyspnea and dry cough, with inspiratory rales and squeaks on examination, is typical.17 Suggested causes include penicillamine use, coexistent chronic eosinophilic pneumonia, and Sjgren syndrome.17-19
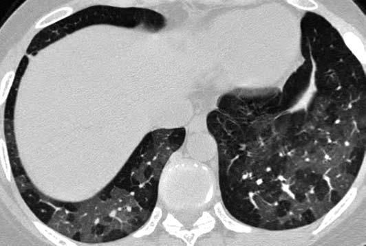
HRCT may be more sensitive than pulmonary function tests for detecting small-airways disease, and it frequently shows moderate to severe air trapping on expiratory images (Figure 1).9 Obstruction, hyperinflation, and air trapping can be demonstrated on pulmonary function testing, but both restrictive and obstructive physiology may be observed in later stages of disease.

Figure 1 – Bronchiolitis obliterans developed in a 32-year-old woman with rheumatoid arthritis. Transverse high-resolution CT image shows heterogeneous/ mosaic lung attenuation with multifocal air trapping (demonstrated on expiratory images).
The histological pattern is that of constrictive bronchiolitis, with ulceration and scarring of terminal bronchioles. A lymphoplasmacytic infiltrate frequently accompanies the change, but it is not clear whether this is a secondary finding.17
Bronchiolitis obliterans generally has a poor prognosis, with inexorable progression; however, some response to treatment with corticosteroids and other immunosuppressive medications has been reported, so a trial of such therapy is usually attempted.20,21 Because of their anti-inflammatory properties, macrolide antibiotics have been used, with modest success, in the treatment of bronchiolitis obliterans that occurs after lung transplantation, as well as in diffuse panbronchiolitis. 22 No similar data exist in the setting of RA, but occasionally these agents are used empirically.
Follicular bronchiolitis
Pathologically, follicular bronchiolitis is an airways disorder that involves external compression of the bronchioles by surrounding lymphocytic and plasmacytic infiltrate, with hyperplastic lymphoid follicles and reactive germinal centers distributed along the bronchioles. However, clinically, this disorder presents with HRCT findings that are more typical of an ILD. Usual findings include ground-glass opacities or diffuse, small, centrilobular nodules without the mosaic attenuation pattern seen with bronchiolitis obliterans.23
All patients with follicular bronchiolitis present with dyspnea. Many also have fever and cough. Often, rheumatoid factor is present at very high levels (in the thousands). Pulmonary function testing may show a combination of restrictive and obstructive patterns with carbon monoxide–diffusing capacity abnormalities. Response to immunosuppressive therapy is variable. The use of erythromycin has been described.24
DRUG-INDUCED LUNG DISEASE
Drug reactions involving the lung have been described with the use of many of the standard disease-modifying antirheumatic drugs, and new reports of possible drug-induced toxicity relating to the new biological agents highlight the impact these drugs may have on baseline lung function. In addition, choosing antirheumatic agents for patients who have underlying lung disease may become increasingly complicated.
Gold and penicillamine
Several of the older drugs that are used in the treatment of RA have been associated with lung toxicity. Gold-induced pneumonitis manifests typically with cough, fever, and dyspnea, usually within the first 6 months of therapy and with a rapid onset.25 Symptoms may occur with cumulative doses as low as 30 mg, but on average, after the ingestion of approximately 700 mg.
Radiographic findings are nonspecific and may include diffuse ground-glass opacities, patchy and peripheral nonsegmental areas of ground-glass opacity, and peribronchial ground-glass opacities. Features that may help differentiate gold-induced pneumonitis from RA-associated ILD include female sex, the presence of rash, peripheral eosinophilia, liver dysfunction, proteinuria, and bronchoalveolar lavage (BAL) fluid lymphocytosis with a low CD4:CD8 ratio.25 On blood lymphocyte stimulation testing, proliferation on exposure to gold salts may be observed.26
Pathological features of non-specific interstitial pneumonia, eosinophilic pneumonia, and cryptogenic organizing pneumonia have been reported.25 Corticosteroids and the withdrawal of gold have been reported to improve outcomes, but no controlled studies have addressed this complication of therapy.27
Penicillamine has been associated with several forms of lung toxicity: ILD, bronchiolitis obliterans, and a pulmonary-renal syndrome with alveolar hemorrhage.28 As with other drug reactions in patients with RA, it is difficult to assess the degree to which the findings are caused by the therapy or by the underlying RA-associated lung disease. The ILD reported in patients with RA is thought to involve hypersensitivity because it is associated with peripheral eosinophilia, elevated serum IgE levels, and recurrence of disease with reexposure to the medication.29
Methotrexate
Methotrexate is a central agent in the strategy of early disease-modifying antirheumatic therapy. Because of its frequency of use, the incidence of methotrexate-induced lung disease is increasing-estimated at up to 7% with a mortality rate of approximately 20%.30
Risk factors for the development of methotrexate pulmonary toxicity include older age, diabetes mellitus, underlying RA-related ILD, previous use of other disease-modifying antirheumatic drugs (sulfasalazine, gold, or penicillamine), and hypoalbuminemia.31 On average, methotrexate-induced lung disease has developed after 18 months of therapy; however, in a large minority of patients, symptoms develop within the first several months, which suggests an idiosyncratic or immune reaction to the medication.32
The clinical presentation of methotrexate toxicity is characterized by fever, dry cough, and dyspnea. Chest CT findings include diffuse interstitial opacities, predominantly of ground-glass density, with occasional fibrosis.32 The evaluation includes bronchoscopy to rule out opportunistic infection, particularly Pneumocystis jiroveci or viral infection. BAL typically demonstrates lymphocytosis, but the CD4:CD8 ratio has not consistently predicted methotrexate toxicity.33 A surgical lung biopsy specimen may reveal cellular interstitial infiltrates, granulomas, or a diffuse alveolar damage pattern with concomitant perivascular inflammation.34
The mainstay of treatment is withdrawal of the offending agent. In severe cases, immunosuppressive therapy, typically with corticosteroids, may be used. Rechallenge with methotrexate is not recommended, since it has been associated with a 50% mortality rate.32
Biologicals
Case reports have associated drugs that inhibit or block tumor necrosis factor α (TNF-α), including etanercept, infliximab, and adalimumab, with the onset of ILD.35-37 In many of these cases, underlying ILD preceded the acute worsening. Currently, data are too sparse to draw direct conclusions regarding the safety of these medications, but there is the potential for adverse pulmonary effects, including the fatal worsening of underlying lung disease.
Leflunomide, a pyrimidine synthesis inhibitor, has been associated with the fatal exacerbation of underlying lung disease as well as with the development of more unusual presentations, such as diffuse nodulosis and pulmonary alveolar proteinosis.38,39 It is possible that these risks are related to the use of leflunomide as a drug of last resort in patients with underlying lung disease, but this issue is still controversial.30,40
RHEUMATOID NODULES
Rheumatoid nodules, also called necrobiotic nodules, have been thought to be quite rare. However, similar to other pulmonary manifestations of RA, rheumatoid nodules are observed more frequently when more sensitive modalities are used. In one review, lung biopsy specimens showed rheumatoid nodules in 32% of patients with RA.41 In a review of HRCT findings, 49% of patients with RA were found to have nodules.42
Pathologically, the nodules contain a central area of irregular fibrinoid necrosis surrounded by palisading mononuclear cells. Chronic inflammatory cells and granulation tissue may persist in the periphery.28 Since the histological features of the rheumatoid nodule markedly overlap those of granulomatous infection and Wegener granulomatosis, the interpretation of biopsy results, especially of core biopsies, requires careful clinical correlation.43
As a result of the frequent distribution of rheumatoid nodules in subpleural areas or the interlobular septae, complications can include pneumothorax, empyema, pleural effusions, and bronchopleural fistula.28 In addition, nodules may cavitate, leading to hemoptysis and pulmonary infections. Despite these potentially dire consequences, rheumatoid nodules are typically asymptomatic and may regress either spontaneously or in response to systemic therapy for the articular disease. Cutaneous and airway nodules have been reported to regress with corticosteroid injection.44,45
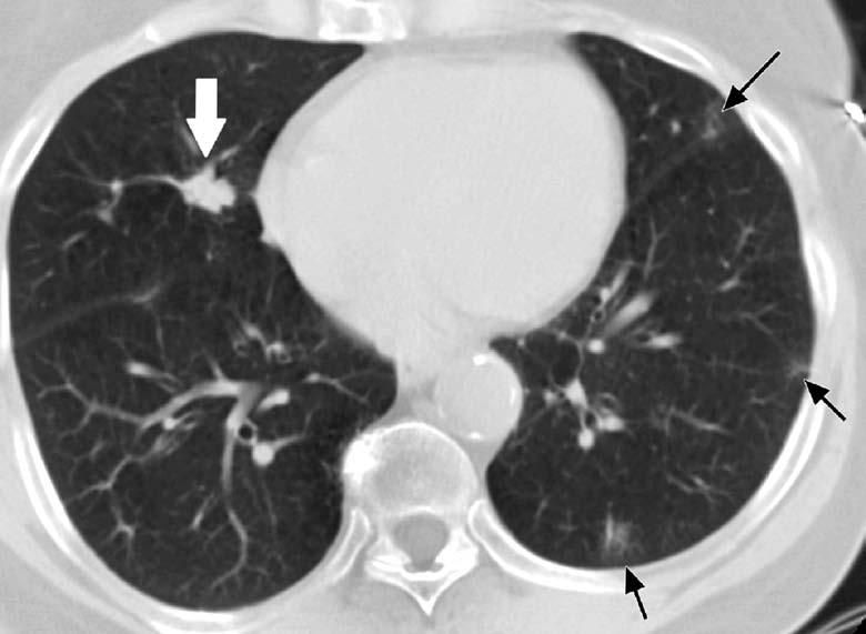
In patients with RA, nodules that do not regress should be evaluated in a manner similar to that for solitary or multiple pulmonary nodules in other patients (Figure 2). The differential diagnosis includes infection, malignancy, and other inflammatory disease (Table). In particular, fungal infection may be seen in patients who receive immunosuppressive agents to control their joint symptoms, and the reactivation of latent tuberculosis has been reported with the use of the newer anti–TNF-α agents.46

Figure 2 – A lung nodule was detected in a 63-year-old woman who had a long-standing history of rheumatoid arthritis and who presented with dry cough. Abnormal chest radiographic findings prompted a CT scan of the chest, which showed a 1-cm nodule with irregular margins in the right middle lobe (white arrow). Peripheral, patchy, ground-glass nodular densities consistent with underlying interstitial lung disease are also seen (black arrows). At surgery, a 1-cm squamous cell carcinoma, T1N0, was resected. The nonneoplastic lung revealed follicular bronchiolitis.

Smoking is associated with the development of rheumatoid nodules.47 Because many patients with RA have a strong history of smoking, close attention should be paid to the follow-up and evaluation of lung nodules. Depending on the clinical situation, serial radiographic follow-up, needle biopsy, or resection may be considered. However, the documentation of one pathologically confirmed rheumatoid nodule does not ensure the benign nature of other nodules in the same patient.48
The presence of multiple nodules involving the lung, skin, tendons, and other areas has been termed "rheumatoid nodulosis." Generally, this is described with only low-grade activity of the concomitant joint disease. Reports have suggested a relationship with both methotrexate and etanercept use, but this has not been proved.49,50
In the evaluation of patients who have rheumatoid nodulosis, occupational dust exposure should be excluded. Caplan syndrome is a related entity, described among Welsh coal miners in the 1950s, in which miners with RA had a rapid onset of lung nodules that were often cavitary. It is uncommon in the United States.17
LUNG INFECTIONS
The risk of lung infections is increased in patients with RA. It is unclear whether this is because of underlying lung disease or a defect in immunity caused by the disease itself. In addition, patients who receive immunosuppressive medications are more susceptible to infection and have poorer outcomes as a result of an inability to mount a proper response to infectious pathogens. The risk factors for infection include increasing age, the presence of extra-articular manifestations of RA, leukopenia, and comorbidities (chronic lung disease, alcoholism, organic brain disease, and diabetes mellitus), as well as the use of corticosteroids.51
In addition to the routine bacterial and opportunistic infections seen in patients with RA, mycobacterial and fungal infections have been associated with the use of TNF-α inhibitors. On the basis of current evidence, rates of tuberculosis infection are markedly increased in association with TNF-α inhibition.
Tuberculosis resulting from TNF- α inhibitors can have unusual presentations. In addition to pulmonary tuberculosis, extrapulmonary infections, including lymphadenitis, tuberculous arthritis, meningitis, and peritonitis, have been described.52 Treatment of latent tuberculosis decreases the risk of reactivation. It is not yet clear how long latent tuberculosis must be treated before the initiation of TNF-α antagonists, whether isoniazid alone is optimal treatment, and whether treatment should be continued after TNF-α antagonists are initiated.46
The incidence of fungal infections has not been definitively shown to be increased with the use of TNF-α inhibitors, but fungal infections have been reported in postmarketing surveillance data. Fungal infections should be considered in patients who present with fever, particularly in the early phase of treatment with these agents (within the first 3 months).46
PULMONARY VASCULAR DISEASE
Diffuse alveolar hemorrhage resulting from pulmonary capillaritis has been associated with RA.53 From the paucity of reports, this appears to be an extremely rare complication; however, in some patients, alveolar hemorrhage may be the initial presentation of rheumatological disease, years before the diagnosis of RA is made.54 It is possible that some milder cases of alveolar hemorrhage are missed.
Patients who have this disorder typically present with dyspnea and occasional fever. Hemoptysis may or may not be present. HRCT findings, which typically include diffuse ground-glass opacities, are relatively nonspecific, and their appearance can be similar to the appearance of pulmonary edema, diffuse infection, or a drug reaction. Bronchoscopy with BAL reveals blood-tinged fluid; however, in the absence of bronchoscopy, alveolar hemorrhage could easily be misdiagnosed as another ILD.
Pulmonary arterial hypertension has been associated with collagenvascular diseases, such as scleroderma, and mixed connective-tissue disease; however, its incidence in patients with RA is believed to be low. Secondary pulmonary hypertension in those with advanced ILD may be more common, but it is generally without clinically significant progression.28 Treatment of both alveolar hemorrhage syndromes and pulmonary hypertension in patients with RA is similar to that in patients with other rheumatological disorders.
REFERENCES
1. Dockery KM, Sismanis A, Abedi E. Rheumatoid arthritis of the larynx: the importance of early diagnosis and corticosteroid therapy. South Med J. 1991;84:95-96.
2. Brazeau-Lamontagne L, Charlin B, Levesque RY, Lussier A. Cricoarytenoiditis: CT assessment in rheumatoid arthritis. Radiology. 1986;158:463-466.
3. Lofgren RH, Montgomery WW. Incidence of laryngeal involvement in rheumatoid arthritis. N Engl J Med. 1962;267:193-195.
4. Lawry GV, Finerman ML, Hanafee WN, et al. Laryngeal involvement in rheumatoid arthritis. A clinical, laryngoscopic, and computerized tomographic study. Arthritis Rheum. 1984;27:873-882.
5. Chen JJ, Branstetter BF IV, Myers EN. Cricoarytenoid rheumatoid arthritis: an important consideration in aggressive lesions of the larynx. AJNR. 2005;26:970-972.
6. Segebarth PB, Limbird TJ. Perioperative acute upper airway obstruction secondary to severe rheumatoid arthritis. J Arthroplasty. 2007;22:916-919.
7. Redlund-Johnell I. Upper airway obstruction in patients with rheumatoid arthritis and temporomandibular joint destruction. Scand J Rheumatol. 1988;17:273-279.
8. Metafratzi ZM, Georgiadis AN, Ioannidou CV, et al. Pulmonary involvement in patients with early rheumatoid arthritis. Scand J Rheumatol. 2007;36:338-344.
9. Perez T, Remy-Jardin M, Cortet B. Airways involvement in rheumatoid arthritis: clinical, functional, and HRCT findings. Am J Respir Crit Care Med. 1998;157(5, pt 1):1658-1665.
10. Toussirot E, Despaux J, Wendling D. Increased frequency of HLA-DRB1*0401 in patients with RA and bronchiectasis. Ann Rheum Dis. 2000;59:1002-1003.
11. Puéchal X, Fajac I, Bienvenu T, et al. Increased frequency of cystic fibrosis deltaF508 mutation in bronchiectasis associated with rheumatoid arthritis. Eur Respir J. 1999;13:1281-1287.
12. Kaushik VV, Hutchinson D, Desmond J, et al. Association between bronchiectasis and smoking in patients with rheumatoid arthritis. Ann Rheum Dis. 2004;63:1001-1002.
13. Shadick NA, Fanta CH, Weinblatt ME, et al. Bronchiectasis. A late feature of severe rheumatoid arthritis. Medicine (Baltimore). 1994;73:161-170.
14. Klareskog L, Padyukov L, Alfredsson L. Smoking as a trigger for inflammatory rheumatic diseases. Curr Opin Rheumatol. 2007;19:49-54.
15. Vergnenégre A, Pugnere N, Antonini MT, et al. Airway obstruction and rheumatoid arthritis. Eur Respir J. 1997;10:1072-1078.
16. Hassan WU, Keaney NP, Holland CD, Kelly CA. Bronchial reactivity and airflow obstruction in rheumatoid arthritis. Ann Rheum Dis. 1994;53:511-514.
17. Freemer M, King TE Jr. Connective tissue diseases. In: Schwarz MI, King TE Jr, eds. Interstitial Lung Diseases. 4th ed. London: BC Decker Inc; 2003:535-598.
18. Schlesinger C, Veeraraghavan S, Koss MN. Constructive (obliterative) bronchiolitis. Curr Opin Pulm Med. 1998;4:288-293.
19. Cooney TP. Interrelationship of chronic eosinophilic pneumonia, bronchiolitis obliterans, and rheumatoid disease: a hypothesis. J Clin Pathol. 1981;34:129-137.
20. Penny WJ, Knight RK, Rees AM, et al. Obliterative bronchiolitis in rheumatoid arthritis. Ann Rheum Dis. 1982;41:469-472.
21. van de Laar MA, Westermann CJ, Wagenaar SS, Dinant HJ. Beneficial effect of intravenous cyclophosphamide and oral prednisone on D-penicillamine-associated bronchiolitis obliterans. Arthritis Rheum. 1985;28:93-97.
22. Gerhardt SG, McDyer JF, Girgis RE, et al. Maintenance azithromycin therapy for bronchiolitis obliterans syndrome: results of a pilot study. Am J Respir Crit Care Med. 2003;168:121-125.
23. Howling SJ, Hansell DM, Wells AU, et al. Follicular bronchiolitis: thin-section CT and histologic findings. Radiology. 1999;212:637-642.
24. Hayakawa H, Sato A, Imokawa S, et al. Bronchiolar disease in rheumatoid arthritis. Am J Respir Crit Care Med. 1996;154:1531-1536.
25. Tomioka R, King TE Jr. Gold-induced pulmonary disease: clinical features, outcome, and differentiation from rheumatoid lung disease. Am J Respir Crit Care Med. 1997;155:1011-1020
26. Romagnoli P, Spinas GA, Sinigaglia F. Gold-specific T cells in rheumatoid arthritis patients treated with gold. J Clin Invest. 1992;89:254-258.
27. Blancas R, Moreno JL, Martin F, et al. Alveolar-interstitial pneumopathy after gold-salts compounds administration, requiring mechanical ventilation. Intensive Care Med. 1998;24:1110-1112.
28. Tanoue LT. Pulmonary manifestations of rheumatoid arthritis. Clin Chest Med. 1998;19:667-685, viii.
29. Zitnik RJ, Cooper JA, Jr. Pulmonary disease due to antirheumatic agents. Clin Chest Med. 1990;11:139-150.
30. Saravanan V, Kelly C. Drug-related pulmonary problems in patients with rheumatoid arthritis. Rheumatology (Oxford). 2006;45:787-789.
31. Alarcón GS, Kremer JM, Macaluso M, et al. Risk factors for methotrexate-induced lung injury in patients with rheumatoid arthritis. A multicenter, case-control study. Methotrexate-Lung Study Group. Ann Intern Med. 1997;127:356-364.
32. Kremer JM, Alarcón GS, Weinblatt ME, et al. Clinical, laboratory, radiographic, and histopathologic features of methotrexate-associated lung injury in patients with rheumatoid arthritis: a multicenter study with literature review. Arthritis Rheum. 1997;40:1829-1837.
33. Fuhrman C, Parrot A, Wislez M, et al. Spectrum of CD4 to CD8 T-cell ratios in lymphocytic alveolitis associated with methotrexate-induced pneumonitis. Am J Respir Crit Care Med. 2001;164:1186-1191.
34. Imokawa S, Colby TV, Leslie KO, Helmers RA. Methotrexate pneumonitis: review of the literature and histopathological findings in nine patients. Eur Respir J. 2000;15:373-381.
35. Tournadre A, Ledoux-Eberst J, Poujol D, et al. Exacerbation of interstitial lung disease during etanercept therapy: two cases. Joint Bone Spine. 2008;75:215-218.
36. Huggett MT, Armstrong R. Adalimumab-associated pulmonary fibrosis. Rheumatology (Oxford). 2006;45:1312-1313.
37. Villeneuve E, St-Pierre A, Haraoui B. Interstitial pneumonitis associated with infliximab therapy. J Rheumatol. 2006;33:1189-1193.
38. Rozin A, Yigla M, Guralnik L, et al. Rheumatoid lung nodulosis and osteopathy associated with leflunomide therapy. Clin Rheumatol. 2006;25:384-388.
39. Wardwell NR Jr, Miller R, Ware LB. Pulmonary alveolar proteinosis associated with a disease-modifying antirheumatoid arthritis drug. Respirology. 2006;11:663-665.
40. Suissa S, Hudson M, Ernst P. Leflunomide use and the risk of interstitial lung disease in rheumatoid arthritis. Arthritis Rheum. 2006;54:1435-1439.
41. Yousem SA, Colby TV, Carrington CB. Lung biopsy in rheumatoid arthritis. Am Rev Respir Dis. 1985;131:770-777.
42. Tanaka N, Kim JS, Newell JD, et al. Rheumatoid arthritisârelated lung diseases: CT findings. Radiology. 2004;232:81-91.
43. Leslie KO, Trahan S, Gruden J. Pulmonary pathology of the rheumatic diseases. Semin Respir Crit Care Med. 2007;28:369-378.
44. Baan H, Haagsma CJ, van de Laar MA. Corticosteroid injections reduce size of rheumatoid nodules. Clin Rheumatol. 2006;25:21-23.
45. Voulgari PV, Papazisi D, Bai M, et al. Laryngeal involvement in rheumatoid arthritis. Rheumatol Int. 2005;25:321-325.
46. Lin J, Ziring D, Desai S, et al. TNF-α blockade in human diseases: an overview of efficacy and safety. Clin Immunol. 2008;126:13-30.
47. Gauhar UA, Gaffo AL, Alarcón GS. Pulmonary manifestations of rheumatoid arthritis. Semin Respir Crit Care Med. 2007;28:430-440.
48. Baruch AC, Steinbronn K, Sobonya R. Pulmonary adenocarcinomas associated with rheumatoid nodules: a case report and review of the literature. Arch Pathol Lab Med. 2005;129:104-106.
49. Patatanian E, Thompson DF. A review of methotrexate-induced accelerated nodulosis. Pharmacotherapy. 2002;22:1157-1162.
50. van Ede A, den Broeder A, Wagenaar M, et al. Etanercept-related extensive pulmonary nodulosis in a patient with rheumatoid arthritis. J Rheumatol. 2007;34:1590-1592.
51. Doran MF, Crowson CS, Pond GR, et al. Predictors of infection in rheumatoid arthritis. Arthritis Rheum. 2002;46:2294-2300.
52. Mohan AK, Coté TR, Block JA, et al. Tuberculosis following the use of etanercept, a tumor necrosis factor inhibitor. Clin Infect Dis. 2004;39:295-299.
53. Schwarz MI, Zamora MR, Hodges TN, et al. Isolated pulmonary capillaritis and diffuse alveolar hemorrhage in rheumatoid arthritis and mixed connective tissue disease. Chest. 1998;113:1609-1615.
54. Lemley DE, Katz P. Rheumatoid-like arthritis presenting as idiopathic pulmonary hemosiderosis: a report and review of the literature. J Rheumatol. 1986;13:954-957.