Acute mastoiditis, an infectious inflammatory process in the temporal bone, is an uncommon complication of otitis medi
Acute mastoiditis is rarely seen today; when it occurs, it typically affects very young or immunocompromised persons.1 Before the discovery of antibiotics, up to 20% of cases of acute otitis media evolved into acute mastoiditis that was frequently associated with severe intracranial complications2 and death.3 In this report, we present a case of advanced HIV infection in a patient in whom mastoiditis caused by Nocardia asteroides developed. His course was complicated by sigmoid sinus thrombosis-a rare but potentially fatal complication of mastoiditis.4
CASE SUMMARY
A 42-year-old black man with advanced HIV infection was hospitalized after 2 weeks of right ear pain and discharge. Pertinent physical findings included swelling and erythema in the right temporal area and purulent secretion in the right ear canal. The patient had been poorly adherent to his antiretroviral therapy, and his CD4+ cell count was less than 20/µL. His history included an episode of Cryptococcus meningitis 2 years before his present hospitalization and also presumptive Pneumocystis jiroveci pneumonia. He was allergic to sulfa drugs.

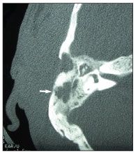
Figure 1.CT scan showing erosive changes of the right temporal bone and bony destruction in the temporal squamosa.
CT scans of the brain and temporal bones revealed focal collections in the subcutaneous tissue of the right temporal region and erosive changes of the right temporal bone with bony destruction in the temporal squamosa as well as in the mastoid portion (Figure 1). MRI angiography confirmed those findings and revealed a thrombosis of the right transverse and sigmoid sinuses. Cultures were obtained, and surgical debridement was scheduled.
The patient was treated with piperacillin/tazobactam 3.375 g intravenously every 6 hours for 10 days and then underwent mastoidectomy and drainage of the abscess. Samples of bone tissue and drainage were sent for microbiological studies. The Gram stain and initial cultures were negative, and the patient was discharged to a skilled nursing facility about 1 week after surgery. The plan was to continue his antibiotic therapy at the same dosage for several weeks, but the patient left after 1 week at the facility against medical advice. Two weeks after he left the nursing facility, his gait became unsteady, and his baseline mental status deteriorated. The patient became bedridden and was brought to our institution for further evaluation.
On physical examination at his second admission, he was alert and oriented to place and person only and was unable to follow complex commands. He had dysarthria. The strength on the right side of his body was 3/5 in both upper and lower extremities; the strength on the left side was normal. There was a decreased sensation on the right side of his body, including his face, with hyperreflexia.

Figure 2. CT scan of the brain demonstrating a right temporal ring-enhancing lesion and vasogenic edema.
A CT scan of the brain demonstrated a right temporal ring-enhancing lesion with vasogenic edema and mass effect but without midline shift (Figure 2). Cerebrospinal fluid examination showed 9 white blood cells/µL (normal, 0 to 5), 126 red blood cells/µL (normal, 0), glucose level of 35 mg/dL (normal, 40 to 70), and total protein level of 283 mg/dL (normal, 15 to 45). Results of India ink analysis were negative.
Therapy for presumptive CNS toxoplasmosis was started. The patient was treated with clindamycin 600 mg intravenously every 6 hours, pyrimethamine 75 mg orally once daily, and folinic acid 15 mg orally once daily based on his medical history, physical findings, the brain CT scan, his very low CD4 count, and a positive result for Toxoplasma antibodies in serum.
The patient's health did not improve with this therapy, and his neurocognitive function continued to deteriorate. New brain imaging studies were obtained 12 days after the initiation of his anti-Toxoplasma treatment: This brain CT scan showed multiple ring-enhancing lesions within the right temporal lobe and cerebellum. The MRI scans of the brain also showed multifocal ring-enhancing lesions within the brain and right mastoid region, with evidence of conglomeration within the right temporal region (Figure 3). These findings suggested bacterial abscesses. Both imaging studies showed that the lesions had progressed since the examination performed 12 days earlier despite treatment for toxoplasmosis.

Figure 3.MRI scans of the brain showing multifocal ring enhancing lesions within the brain and right mastoid region.
Culture results obtained during surgery (about 60 days earlier) became available and were positive for N asteroides. The samples were collected from the retroauricular abscess, ear discharge, and right mastoid (after mastoidectomy). The patient began therapy for CNS nocardiosis with intravenous amikacin 450 mg every 12 hours and intravenous imipenem/cilastatin 500 mg every 6 hours because of his history of allergy to sulfa drugs.
Unfortunately, his condition further deteriorated despite antibiotic therapy, and 5 days later, multiorgan failure developed. The patient was then transferred to a hospice care facility and died after 3 days.
DISCUSSION
Acute mastoiditis is an inflammatory process of the mastoid bone and is usually, but not necessarily, preceded by an episode of acute suppurative or subacute otitis media.5 The evolution of acute mastoiditis begins when the mucosal lining of the pneumatized cells become inflamed and produce an exudate. Serosanguineous fluid eventually becomes mucopurulent. The cellular walls of the pneumatized cells subsequently become demineralized because of increased osteoclastic activity, pressure of the purulent exudate on the thin bony septa, and ischemia of the septa secondary to reduced blood flow. As the bony septa break down, small abscess cavities form leading to coalescence. Finally, the coalescent cells form an empyema, or pus under pressure, which then escapes to surrounding areas.
Typically, the organisms involved in mastoiditis are the same as those involved in acute otitis media3,6,7: Streptococcus pneumoniae, Haemophilus influenzae, and Moraxella catarrhalis. However, atypical pathogens, such as in this case, may also be involved. Diagnosis is usually made via CT of the temporal bones, which shows temporal bone abnormalities and occasionally intracranial complications.
Treatment of acute mastoiditis depends on the pathological stage at which it is encountered and the causative organism. Nevertheless, it is generally accepted that surgery and antibiotic therapy are the cornerstones for the management of mastoiditis-associated intracranial complications.2,4,6,7
Since the beginning of the HIV epidemic, HIV infection has become one of the most common underlying conditions to predispose to nocardiosis.8 In a study from our institution,9 19 of the 25 cases of nocardiosis seen over 6 years were in HIV-infected patients, and similar to this case, all involved advanced HIV disease with CD4+ cell counts less than 100/µL.
CNS involvement typically occurs through hematogenous spread, but in some cases it can occur through contiguous spread, most likely, as in this case, from ear and mastoid infections. The mortality from Nocardia brain abscess is high, ranging from 40% to 87% despite adequate therapy.10 Delay of treatment is also associated with a poor outcome. Unfortunately, delays in therapy are not unusual, in part, because of relatively infrequent occurrence of this type of infection, the time required to culture the organism, and the lack of a "typical" presentation.
Sulfonamides, particularly sulfadiazine and sulfisoxazole, have been the antimicrobial agents of choice since they were introduced more than 50 years ago.8 Trimethoprim/sulfamethoxazole (TMP/ SMX) is the most frequently used combination to treat this infection despite the absence of conclusive data supporting the need for this combination (1 part TMP to 5 parts SMX). Treatment should be aggressive and prolonged if there is CNS involvement or if the patient is immunosuppressed because the relapse rate is high.
Alternative antimicrobial agents should be considered only for patients who are intolerant of or fail to respond to sulfonamide therapy. The parenteral drugs currently most active in vitro against the largest percentage of Nocardia isolates are amikacin and imipenem. Other active drugs include ampicillin/sulbactam, certain cephalosporins (eg, ceftriaxone and cefotaxime), and linezolid.11
The optimal length of therapy is also unknown, but a common recommendation is that intravenous antibiotics should be given for at least 6 weeks, then switched to oral treatment for a total of 12 months. Some experts suggest that intravenous antibiotic therapy be continued for 12 months, particularly in immunocompromised patients or when the CNS is involved.8,11,12
Clinicians should include mastoiditis in the differential diagnosis for all patients who have severe ear pain-especially those who are immunocompromised-because unusual pathogens, such as Nocardia species, can cause life-threatening infections.
No potential conflict of interest relevant to the article was reported by the authors.
References1. Rathbun KC, Kendall MS. Mastoiditis in an immunocompetent adult. Case report. South Med J. 2005;98:577-578.
2. Spratley J, Silveira H, Alvarez I, Pais-Clemente M. Acute mastoiditis in children: review of the current status. Int J Pediatr Otolaryngol. 2000;56:33-40.
3. Robinson RF, Koranyi K, Mahan JD, Nahata MC. Increased frequency of acute mastoiditis in children. Am J Health Syst Pharm. 2004;61:304, 306.
4. Ozdemir D, Cakmakci H, Ikiz AO, et al. Sigmoid sinus thrombosis following mastoiditis: early diagnosis enhances good prognosis. Pediatr Emerg Care. 2005;21:606-609.
5. Nadol JB, Eavey RD. Acute and chronic mastoiditis: clinical presentation, diagnosis, and management. Curr Clin Trop Infect Dis. 1995;15:204-229.
6. Katz A, Leibovitz E, Greenberg D, et al. Acute mastoiditis in Southern Israel: a twelve year retrospective study (1990 through 2001). Pediatr Infect Dis J. 2003;22:878-882.
7. Nussinovitch M, Yoei R, Elishkevitz K, Varsano I. Acute mastoiditis in children: epidemiologic, clinical, microbiologic, and therapeutic aspects over past years. Clin Pediatr (Phila). 2004;43:261-267.
8. Lerner PI. Nocardiosis. Clin Infect Dis. 1996;22:891-903.
9. Castro JG, Espinoza L. Nocardia species infections in a large county hospital in Miami: 6 years experience. J Infect. 2007;54:358-361.
10. Lederman ER, Crum NF. A case series and focused review of nocardiosis: clinical and microbiologic aspects. Medicine (Baltimore). 2004;83:300-313.
11. Antony S, Stivers M, Rivera J. Endocarditis/endovascular infection associated with Nocardia. Infect Med. 2006;23:262-266.
12. Gombert ME. Susceptibility of Nocardia asteroides to various antibiotics, including newer beta-lactams, trimethoprim-sulfamethoxazole, amikacin, and N-formimidoyl thienamycin. Antimicrob Agents Chemother. 1982;21:1011-1012.