ABSTRACT: Pulmonary arterial hypertension (PAH) is an increasinglyrecognized cause of dyspnea in elderly patients. Theinitial workup typically includes electrocardiography, chest radiography,echocardiography, and pulmonary function tests. Ifechocardiography shows signs of PAH, the diagnosis should beconfirmed by right heart catheterization. Radiographic evidenceof long-standing PAH includes enlargement of the centralpulmonary arteries with abrupt narrowing of the more distalbranches, giving a "pruned-tree" appearance, and right ventricular(RV) enlargement. The classic radiographic signs of RVenlargement include increased transverse diameter of theheart, elevation of the cardiac border on the posteroanteriorview, and narrowing or loss of the retrosternal airspace on thelateral projection. (J Respir Dis. 2008;29(11):443-450)
ABSTRACT: Pulmonary arterial hypertension (PAH) is an increasingly recognized cause of dyspnea in elderly patients. The initial workup typically includes electrocardiography, chest adiography, echocardiography, and pulmonary function tests. If echocardiography shows signs of PAH, the diagnosis should be confirmed by right heart catheterization. Radiographic evidence of long-standing PAH includes enlargement of the central pulmonary arteries with abrupt narrowing of the more distal branches, giving a "pruned-tree" appearance, and right ventricular (RV) enlargement. The classic radiographic signs of RV enlargement include increased transverse diameter of the heart, elevation of the cardiac border on the posteroanterior view, and narrowing or loss of the retrosternal airspace on the lateral projection. (J Respir Dis. 2008;29(11):443-450)
Dyspnea has been defined as a "subjective experience of breathing discomfort that consists of qualitatively distinct sensations that vary in intensity."1 It is a common complaint that becomes more frequent with age, with an incidence ranging from 17.4% in patients younger than 45 years to 38% in those older than 65 years.1 Dyspnea has been associated with poor perceived health, increased anxiety and depressive symptoms, impaired daily functioning, and reduced happiness. 2 Furthermore, moderate to severe dyspnea was associated with an increased risk of death in a cohort of 124 patients who were older than 70 years.2
Dyspnea is associated with a variety of diagnoses in the elderly, most commonly obstructive lung disease (emphysema, asthma), restrictive lung disease (pulmonary fibrosis), and cardiac disease (congestive heart failure). An aggressive evaluation to determine the cause of dyspnea is necessary. A simple history and physical examination with screening tests can often determine the cause. However, persistent dyspnea despite an extensive evaluation can be puzzling for both the clinician and the patient.
Pulmonary hypertension (PH) has been increasingly recognized as a cause of insidious dyspnea in the elderly and should be added to the differential diagnosis when common causes of this symptom are absent. Advances in recognition, diagnosis, and management of PH have led to earlier intervention and improved prognosis over the past decade. Of course, successful therapy first requires a suspicion for the disease followed by an appropriate evaluation.
In part 1 of this article, we will review the diagnostic evaluation of PH in elderly patients. In part 2, we will focus on management.
PH is defined as a mean pulmonary artery pressure (PAP) of greater than 25 mm Hg.3 It can be an insidious cause of dyspnea and is increasingly discovered as a result of the ease of obtaining a screening echocardiogram.
In 2003, PH was reclassified to group similar pathophysiological mechanisms of disease.4 Previously, it had been divided into primary PH, which is now denoted as idiopathic pulmonary arterial hypertension (IPAH), and secondary PH, which is PH linked to a specific condition. In the current schema, PH is divided into pulmonary arterial hypertension (PAH) (idiopathic; familial; associated with collagen-vascular disease, portal hypertension, congenital shunts, HIV infection, drugs and toxins, metabolic disorders, or capillary or venous involvement), PH resulting from left-sided heart disease, PH associated with parenchymal lung disease or hypoxemia, and PH resulting from embolic disease (Table).

PAH is characterized by vascular proliferation and remodeling of the small pulmonary arteries, vasoconstriction, and thrombosis in situ, which cause increased pulmonary vascular resistance, ultimately resulting in right ventricular (RV) failure. While it is a quite devastating disease, substantial advances have been made in treatment over the past decade. Before 1996, the median survival after diagnosis was only 2.8 years; the mean age at death was 34 years, only 2 to 8 years after the onset of symptoms.5
As the World Health Organization classification indicates, there are many causes of PH, which vary greatly depending on age.4,6 A single center review of patients referred for evaluation of PH showed that in patients who were younger than 60 years, IPAH (20%) was the most common, while diastolic heart failure (12%) was less common (Figure 1).7 Connective-tissue diseases (19%) and portopulmonary hypertension (13%) were also causes for PH referral.

Figure 1 – The causes of pulmonary hypertension (PH) are shown here for patients 60 years and older and those younger than 60 years. Diastolic dysfunction is the most common cause in older patients. Younger patients are more likely to have idiopathic pulmonary arterial hypertension (IPAH) and IPAH associated with connective-tissue disease (CTD). (Pul Dx, pulmonary diagnosis; CTEPH, chronic thromboembolic pulmonary hypertension; CHF, congestive heart failure; PPHTN, portopulmonary hypertension; CHD, coronary heart disease.) (Adapted from Carrillo M et al. Chest. 2005.7)
In contrast, in patients 60 years and older, the most common cause was diastolic heart failure (31%), while connective-tissue disease (15%) and pulmonary disease (13%) were less common.7 Interestingly, IPAH was diagnosed 15% of the time, which is more frequently than previously recognized. Since diastolic heart failure may be the most common cause of PH in the elderly, it must be thoroughly evaluated before diagnosing IPAH in an elderly patient.
It is important to identify the cause of PH because treatment should be aimed at the underlying diagnosis. In patients with connective-tissue disease, treatment with immunosuppressive agents may improve outcomes. For those with thromboembolic disease, anticoagulants must be used. Surgical thromboendarterectomy can be performed in select patients with chronic thromboembolic PH. Patients who have chronic obstructive pulmonary disease may require supplemental oxygen, inhaled corticosteroids, anticholinergics, and/or β-agonists, while those with obstructive sleep apnea may need a weight loss program or nocturnal continuous positive airway pressure therapy.
It is not uncommon to encounter a combination of factors contributing to PH. A frequent combination includes obesity, diastolic heart failure, and obstructive sleep apnea. Aggressive management of each contributing cause may help improve the patient's quality of life.
Although the diagnosis of IPAH is more prevalent in young women in their third to fourth decade, its presence has been increasingly recognized in the elderly.8 In one series, PAH could not be explained by secondary causes in 8 of 63 elderly patients (12%) discharged from the hospital with a mean PAP greater than 25 mm Hg.9 In another series, 14 patients received the diagnosis of IPAH at a mean age of 70 years and had a median survival of only 43 months.10 The NIH Registry on Primary Pulmonary Hypertension reported that 9% of patients with IPAH were older than 60 years,5 while a contemporary registry in France found 9% of patients with IPAH were older than 70 years.11
With increased recognition and the ease of identification by echocardiography, the incidence of PH has increased in recent years. Shapiro and colleagues12 reported an 11% incidence of presumed IPAH in elderly patients referred to a PH specialty center from 1987 to 1995, compared with 27% from 1996 to 2003. Overall, 24% of patients referred to this center were 65 years or older; however, 56% of this subgroup had a pulmonary capillary wedge pressure of 15 mm Hg or higher, which suggested the possibility of diastolic heart failure, leaving 10% of the elderly patients with IPAH.12
While IPAH is increasingly being recognized in the elderly, it is unclear why it is more common in young persons. Since this disease is associated with exertional dyspnea and decreased physical fitness, which are common concerns among elderly persons, there could be a selection bias favoring echocardiography in younger patients with unexplained dyspnea. Furthermore, a trend to not perform right cardiac catheterization in older patients because of the associated risks may contribute to the underdiagnosis of PH in the elderly.13
Interestingly, 50% of patients with IPAH also have systemic hypertension, and these patients have higher systolic systemic arterial pressures, pulse pressures, and pulmonary capillary wedge pressures than matched controls.10,12 These measurements have been found to be significantly higher in elderly patients than in younger patients with unexplained PH.12
Finkelhor and colleagues14 found that patients with unexplained PH had significantly higher mean systolic blood pressure (154 mm Hg vs 138 mm Hg) but not significantly higher diastolic blood pressure. This raises the possibility that there is an association between systemic arterial hypertension and PH as a result of an exaggerated endothelial response to vasoconstrictor stimuli. These authors postulate that left ventricular (LV) diastolic dysfunction may lead to upstream activation of vasoconstrictors, resulting in PH.14
When defined as "breathlessness at rest during the day at anytime in the past 12 months," dyspnea is reported in 21% of patients 65 years or older.15 Dyspnea described as "breathlessness when hurrying on level ground or a slight hill" is reported in 38%.16
Pedersen and colleagues17 surveyed patients aged 60 to 79 years from 4 general practitioner groups in Denmark and found that 71% reported some dyspnea, while 37% had moderate to severe dyspnea. When 129 of 205 respondents were examined for the cause of dyspnea, 53% were found to have lung disease, 18% had obesity, 11% had cardiac disease, and 10% had PH and/or LV hypertrophy (Figure 2).17

Figure 2 – The major causes of dyspnea are shown here for 129 elderly patients recruited from 4 general practitioners in Denmark. Lung disease accounted for the largest percentage. (LVH, left ventricular hypertrophy; PH, pulmonary hypertension.) (Adapted from Pedersen F et al. Am J Med. 2005.17)
The evaluation for the more common causes of dyspnea begins with a thorough history and physical examination, chest radiography, electrocardiography, pulmonary function testing, and common laboratory testing. Anemia, hypothyroidism, renal insufficiency, cardiac ischemia, congestive heart failure, cardiac arrhythmia, and obstructive or restrictive lung disease can be detected by this evaluation. If the results of initial testing are not revealing, consider a 6-minute walk test and a ventilation-perfusion scan or pulmonary embolism–protocol CT. Hypoxemia at rest or with exercise should increase the urgency of the evaluation.
This diagnostic approach should detect the cause of dyspnea in most patients. If the cause remains unidentified, a screening echocardiogram is useful for detecting LV dysfunction, pericardial effusion, cardiac valve abnormalities, and PH.
The diagnosis of PH can be quite challenging given the insidious nature of the presenting symptoms. Thus, a careful history and physical examination are quite important. The key portions of the history include family history; sleep habits; symptoms of arthralgias or arthritis; Raynaud phenomenon; rash; history of liver disease, cardiac disease or congenital heart disease, or anorexigen use; HIV risk factors; underlying lung disease; and venous thromboembolic disease. This information may help clarify the cause of PH.
On physical examination, jugular venous distention, a loud pulmonic sound, a right-sided S4, a murmur of tricuspid regurgitation, an RV heave, hepatomegaly, ascites, and peripheral edema are indications of right sided heart failure. However, findings can be quite subtle-for example, an accentuated pulmonic sound, a murmur of tricuspid insufficiency, and an RV S3 gallop can be easily mistaken for a loud A2, a mitral regurgitant murmur, and an LV S3, respectively. Cyanosis or digital clubbing is sometimes seen in patients with PH, as is sclerodactyly or digital ulcerations, which can provide a clue to the diagnosis of Eisenmenger syndrome and limited scleroderma, respectively.
Given the nonspecific nature of the history and physical examination findings, additional diagnostic testing is required. A first step, which can be accomplished during an office visit, includes electrocardiography, chest radiography, echocardiography, and pulmonary function tests. Signs of PH can be easily missed in the history and physicalexamination and on the ECG. An ECG may show RV hypertrophy with atrial enlargement and right axis deviation.
However, these findings can sometimes be difficult to interpret. For example, the changes associated with RV hypertrophy (right axis deviation, R wave in V1 greater than 5 mV or an R/S ratio in V1 greater than 1, and a persistent S wave in V5 through V6) can be misinterpreted as evidence of left posterior hemiblock, posterior myocardial infarction (MI), anterior MI with right bundle-branch block, or lateral wall MI (Figure 3). Right axis deviation and RV hypertrophy are often found in patients with PAH, but the sensitivity of each for detecting disease has been shown to be low at 73% and 55%, respectively, with a specificity of 70% for both.18

Figure 3 – This ECG shows evidence of right axis deviation and ventricular hypertrophy as a result of pulmonary hypertension. Note the R wave in V1 is greater than 5 mV, the R/S ratio in V1 is greater than 1, and there is a persistent S wave in V5 through V6.
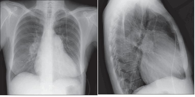
Radiographic evidence of longstanding PH includes enlargement of the central pulmonary arteries with abrupt narrowing of the more distal branches, giving a "prunedtree appearance," and RV enlargement (Figure 4).19 The classic radiographic changes characteristic of RV enlargement include increased transverse diameter of the heart, elevation of the cardiac border on the posteroanterior view, and narrowing or loss of the retrosternal airspace on the lateral projection. All or some of these findings can be found in patients with IPAH but lack sensitivity for the diagnosis. Also, there is no correlation between the extent of these abnormalities and the degree of PH.20

Figure 4 – Cardiomegaly and prominent bilateral pulmonary arteries in the hilar areas can be seen in the posteroanterior chest radiograph from a patient with idiopathic pulmonary arterial hypertension. The lateral view also reveals enlarged pulmonary arteries and cardiomegaly without any evidence of congestive heart failure.
Echocardiography not only assists the diagnosis of PH but also helps determine the cause, especially if the PH is secondary to cardiac disease, such as valve disease, congenital heart disease, atrial or ventricular septal defect, or LV failure. The systolic pressure in the pulmonary artery often can be estimated by continuous-wave Doppler echocardiography through analysis of tricuspid regurgitant peak flow velocity (Figure 5).

Figure 5 – Echocardiographic and Doppler evaluations for pulmonary hypertension (PH) and right ventricular dysfunction are shown here. The tricuspid regurgitation jet with Doppler ultrasound is used to evaluate pulmonary arterial systolic pressure (PAsP) (A). PAsP equals the right atrial pressure (usually estimated as 10 mm Hg) plus the systolic pressure gradient between the right ventricle and right atrium (ΔP × 43 tricuspid regurgitation flow velocity2) (PAsP = RA + 4v2). Normal is 30 mm Hg or less. The apical 4-chamber view of the heart is from a patient with severe PH (B). Note the very enlarged right ventricle on the left side of the image. (RA, right atrium; RV, right ventricle; LA, left atrium; LV, left ventricle.)
The pulmonary acceleration time is a more accurate measurement of the systolic pressure in the pulmonary artery, but it is technically more difficult to obtain and is infrequently reported.21 The size of the right atrium and the right ventricle can be measured, and the contractile state of the right ventricle can be estimated. The addition of saline contrast to enhance the study can help assess the possibility of an intracardiac right-to-left shunt and should always be part of the patient's evaluation.
While an echocardiogram is an excellent initial screening study, right heart catheterization is considered the gold standard for the diagnosis of PH. A comparison study of echocardiography and right heart catheterization in liver transplant candidates found that the echocardiogram had a sensitivity of 100% and a specificity of 88% for the detection of portopulmonary hypertension.21
Arcasoy and colleagues22 reported that 48% of potential lung transplant recipients were misclassified as having PH by echocardiography when compared with right heart catheterization findings. However, estimation of pulmonary pressures by echocardiography was possible only 44% of the time, and 52% of the pressure estimations were found to be inaccurate (greater than 10 mm Hg difference compared with the measured pressure).
These measurements also varied by pretransplant diagnosis. The pulmonary arterial systolic pressure could be estimated in only 38% of patients with emphysema but in 67% of patients with pulmonary vascular disease; the accuracy was best in patients with obstructive disease (56%) and lowest in those with pulmonary vascular disease (20%).22 Thus, right heart catheterization must be performed when the diagnosis or cause of PH is not clear.
Confirmation of PAH by heart catheterization requires not only the finding of a mean PAP of greater than 25 mm Hg but also a pulmonary capillary wedge pressure or left end-diastolic pressure of 15 mm Hg or less.23 An elevation of LV pressure as a result of systolic or diastolic cardiac dysfunction, cardiac valve disease, or an intracardiac shunt results in a change of diagnosis as well as management. Therefore, it is imperative that right heart catheterization with cardiac output be performed when PH is suspected and when initiation of long-term medical therapy is considered.
Vasodilator testing should be done at the time of right heart catheterization if PAH is confirmed. When challenged with adenosine, inhaled nitric oxide, or intravenous prostacyclin, a reduction in mean PAP of 10 mm Hg or more to a mean PAP of 40 mm Hg or lower, with an unchanged or increased cardiac output, predicts an improved prognosis and good response to long-term therapy with oral calcium channel blockers (CCBs).24 However, this vasodilator response is rare and is limited to patients with IPAH. Sitbon and associates25 reported a 13% response to vasodilator challenge in a contemporary cohort of patients with IPAH, with only 7% of all patients improving with oral CCBs.
Patients with florid right-sided heart failure manifested by a right atrial pressure of greater than 15 mm Hg and/or a cardiac index of less than 2 L/min/m2 have a high risk of hemodynamic collapse after exposure to acute vasodilating agents. Therefore, caution is advised before proceeding to a vasodilator challenge when these conditions are encountered.
Given the multiple causes of PH, a diagnosis of IPAH can be made only if other causes are eliminated (Figure 6). Pulmonary function tests, including spirometry, lung volumes, carbon monoxide–diffusing capacity, and arterial blood gas analysis, can evaluate a pulmonary parenchymal cause of the PH. If the results suggest restrictive lung disease, a high-resolution CT scan of the chest can help determine whether interstitial lung disease is present.

Ventilation-perfusion scanning or CT angiography is warranted to look for thromboembolic disease. If the results of these studies are indeterminate, pulmonary angiography is appropriate. Symptoms suggestive of sleep-disordered breathing warrant polysomnography to evaluate for sleep apnea and nocturnal hypoxemia.
Serological screening for connective-tissue diseases, such as scleroderma, rheumatoid arthritis, and systemic lupus erythematosus, and HIV testing are also indicated. Hemoglobin electrophoresis should be performed if sickle cell disease is suspected
REFERENCES
1.
Mahler DA, Fierro-Carrion G, Baird JC. Evaluation of dyspnea in the elderly.
Clin Geriatr Med.
2003;19:19-33, v.
2.
Huijnen B, van der Horst F, van Amelsvoort L, et al. Dyspnea in elderly family practice patients. Occurrence, severity, quality of life and mortality over an 8-year period.
Fam Pract.
2006;23:34-39.
3.
Rubin LJ; American College of Chest Physicians. Introduction: diagnosis and management of pulmonary arterial hypertension: ACCP evidencebased clinical practice guidelines.
Chest.
2004;126(1 suppl):7S-10S.
4.
Simonneau G, Galiè N, Rubin LJ, et al. Clinical classification of pulmonary hypertension.
J Am Coll Cardiol.
2004;43(12 suppl S):5S-12S.
5.
D'Alonzo GE, Barst RJ, Ayres SM, et al. Survival in patients with primary pulmonary hypertension. Results from a national prospective registry.
Ann Intern Med.
1991;115:343-349.
6.
Nataro S, Strasser T, eds.
Primary Pulmonary Hypertension: Report of WHO Meeting.
Geneva: World Health Organization; 1975:1-45.
7.
Carrillo M, Cajigas H, Greenbaum A, Chan KM. Pulmonary hypertension in the elderly: demo-graphics and outcomes following therapy with bosentan [abstract].
Chest.
2005;128:175S-176S.
8.
Phipps B, Wong G, Chang CH, Dunn M. Unexplained severe pulmonary hypertension in the old age group.
Chest.
1983;84:399-402.
9.
Braman SS, Eby E, Kuhn C, Rounds S. Primary pulmonary hypertension in the elderly.
Arch Intern Med.
1991;151:2433-2438.
10.
Yigla M, Kramer MR, Bendayan D, et al. Unexplained severe pulmonary hypertension in the elderly: report on 14 patients.
Isr Med Assoc J.
2004;6:78-81.
11.
Humbert M, Sitbon O, Chaouat A, et al. Pulmonary arterial hypertension in France: results from a national registry.
Am J Respir Crit Care Med.
2006;173:1023-1030.
12.
Shapiro BP, McGoon MD, Redfield MM. Unexplained pulmonary hypertension in elderly patients.
Chest.
2007;131:94-100.
13.
Martin-Duran R, Larman M, Trugeda A, et al. Comparison of Doppler-determined elevated pulmonary arterial pressure with pressure measured at cardiac catherization.
Am J Cardiol.
1986;57:859-863.
14.
Finkelhor RS, Yang SX, Bosich RM, Bahler RC. Unexplained pulmonary hypertension is associated with systolic arterial hypertension in patients undergoing routine Doppler echocardiography.
Chest.
2003;123:711-715.
15.
Dow L, Coggon D, Osmond C, Holgate ST. A population survey of respiratory symptoms in the elderly.
Eur Respir J.
1991;4:267-272.
16.
Horsley JR, Sterling IJ, Waters WE, Howell JB. Respiratory symptoms among elderly people in the New Forest area as assessed by postal questionnaire.
Age Ageing.
1991;20:325-331.
17.
Pedersen F, Raymond I, Mehlsen J, et al. Prevalence of diastolic dysfunction as a possible cause of dyspnea in the elderly.
Am J Med.
2005;118:25-31.
18.
Ahearn GS, Tapson VF, Rebeiz A, Greenfield JC Jr. Electrocardiography to define clinical status in primary pulmonary hypertension and pulmonary arterial hypertension secondary to collagen vascular disease.
Chest.
2002;122:524-527.
19.
Ravin CE, Greenspan RH, McLoud TC, et al. Redistribution of pulmonary blood flow secondary to pulmonary arterial hypertension.
Invest Radiol.
1980;15:29-33.
20.
McGoon M, Gutterman D, Steen V, et al; American College of Chest Physicians. Screening, early detection, and diagnosis of pulmonary arterial hypertension. ACCP evidence-based clinical practice guidelines.
Chest.
2004;126(1 suppl):14S-34S.
21.
Torregrosa M, Genesca J, Gonzalez A, et al. Role of Doppler echocardiography in the assessment of portopulmonary hypertension in liver transplantation candidates.
Transplantation.
2001;71:572-574.
22.
Arcasoy SM, Christie JD, Ferrari VA, et al. Echocardiographic assessment of pulmonary hypertension in patients with advanced lung disease.
Am J Respir Crit Care Med.
2003;167:735-740.
23.
Barst RJ, McGoon M, Torbicki A, et al. Diagnosis and differential assessment of pulmonary arterial hypertension.
J Am Coll Cardiol.
2004;43(12 suppl S):40S-47S.
24.
Badesch DB, Abman SH, Simonneau G, et al. Medical therapy for pulmonary arterial hypertension: updated ACCP evidence-based clinical practice guidelines.
Chest.
2007;131:1917-1928.
25.
Sitbon O, Humbert M, Jaïs X, et al. Long-term response to calcium channel blockers in idiopathic pulmonary arterial hypertension.
Circulation.
2005;111:3105-3111.