Primary synovial sarcoma presenting as an endobronchial mass
Endobronchial primary synovialsarcoma is an extremelyrare pulmonary tumor. We reportthe case of a 58-yearoldman who presented witha right-sided endobronchialmass, which was diagnosed asprimary synovial sarcoma onthe basis of histological appearanceand immunohistochemicalstaining. To the bestof our knowledge, this is onlythe third case report of endobronchialprimary synovialsarcoma.
Endobronchial primary synovial sarcoma is an extremely rare pulmonary tumor. We report the case of a 58-yearold man who presented with a right-sided endobronchial mass, which was diagnosed as primary synovial sarcoma on the basis of histological appearance and immunohistochemical staining. To the best of our knowledge, this is only the third case report of endobronchial primary synovial sarcoma.
The case
A 58-year-old man presented with a cough and a weight loss of about 10 lb in 3 months. His medical history was significant for pneumonia, which was treated with antibiotics, 3 months before presentation. He had a 40-pack-year history of smoking.
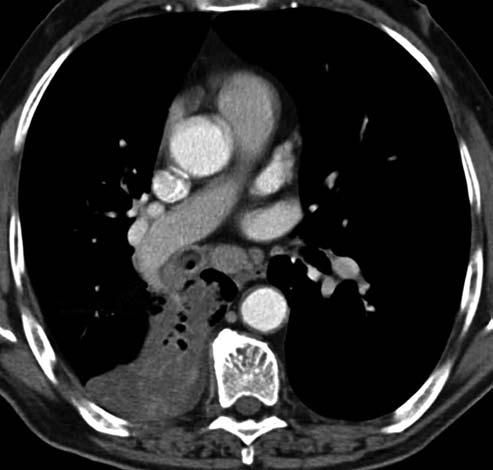
The initial physical examination showed the following: heart rate, 100 beats per minute; blood pressure, 108/65 mm Hg; oxygen saturation, 94% on room air (measured by pulse oximetry); and normal temperature. Chest auscultation revealed diminished breath sounds over the right hemithorax and bilateral expiratory wheeze. The patient's chest radiograph showed a right lower lobe infiltrate. A CT scan of the chest showed a right sided endobronchial mass and right lower lobe atelectasis (Figure 1). The patient was treated with intravenous piperacillin/tazobactam and inhaled bronchodilators.

Figure 1 – CT scan of the lungs shows an endobronchial mass (arrow) on the right side with right lower lobe atelectasis.
Flexible bronchoscopy showed an irregular, polypoidal, whitish mass occluding the bronchus intermedius (Figure 2). The pathology results were nonconclusive, and culture results were negative. Rigid bronchoscopy and a biopsy specimen of the mass showed spindle cells with scant dense stroma, suggesting synovial sarcoma.

Figure 2 –
Flexible bronchoscopy shows an irregular, polypoidal, whitish mass occluding the bronchus intermedius.
A mediastinoscopy was done, and the lymph nodes sampled were negative for malignancy. A positron emission tomography scan was negative for primary malignancy elsewhere in the body. The patient's pneumonia worsened, and postobstructive necrotizing pneumonia developed despite treatment with broad-spectrum antibiotics.
A right pneumonectomy with mediastinal lymph node resection was done. The pneumonectomy specimen demonstrated a 6.5 × 4.5 × 4-cm mass surrounding the bronchus intermedius and extending to the right lower lobe. The tumor was diagnosed as an infiltrating synovial sarcoma involving the diaphragm and mediastinum, but the mediastinal lymph nodes and surgical margins were free of the tumor.
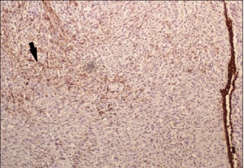
The specimen stained positive for vimentin, epithelial membrane antigen (EMA), cytokeratin antibody (AE1/AE3), smooth muscle actin, CK19, CD99, and BCL2. The specimen's histological appearance and strongly supportive immunohistochemistry confirmed the diagnosis of biphasic synovial sarcoma (Figure 3).

Figure 3 – Spindle cells (arrow) with positive cytokeratin staining can be seen in this histopathological specimen.
The patient's postoperative course was uneventful, and he was discharged home. He is doing well after approximately 9 months of outpatient follow-up.
Discussion
Pulmonary sarcomas are divided into 4 categories: leiomyosarcomas, fibrosarcomas, hemangiopericytomas, and synovial sarcomas. Pulmonary sarcomas are usually parenchymal and metastatic in origin. Primary pulmonary synovial sarcoma is an extremely rare tumor that may arise from the lung parenchyma, bronchial tree, or pulmonary artery. This type of sarcoma was underdiagnosed before the use of immunohistochemistry and electron microscopy.
This tumor usually presents as a lung parenchymal mass. In the largest case series on thoracic sarcomas, most tumors presented as mediastinal, pulmonary, or pleural masses. Published cases of pulmonary parenchymal synovial sarcoma showed the tumor size to be between 2 and 16 cm.1-9
Most synovial sarcomas demonstrate epithelial markers, such as vimentin, cytokeratin, EMA, and CD99. Our patient's biopsy specimen also stained positive for BCL2. The biological significance of BCL2 protein expression in synovial sarcoma is that BCL2 is believed to be involved in regulating apoptosis in the tumor.
Cytogenetic detection of the chimeric fusion gene SYT-SSX is a newer method of diagnosing synovial sarcoma. Reverse transcriptase polymerase chain reaction assays can be used for RNA extraction and gene amplification for identification of SYT-SSX gene.5
To the best of our knowledge, only 2 cases of endobronchial primary pulmonary sarcoma have been previously reported in the medical literature.10,11 The first reported case (published in German) described a 54-year-old man whopresented with a polypoidal endobronchial mass in the right upper lobe.10 Histological and immunohistochemical analysis showed a biphasic synovial sarcoma.
Niwa and associates11 described a 42-year-old Japanese woman who presented with hemoptysis and was found to have a left-sided mainstem endobronchial mass. A final diagnosis of monophasic endobronchial pulmonary synovial sarcoma was made after histological and immunohistochemical testing. The patient underwent surgical resection of the tumor; this was followed by adjuvant chemotherapy.
Patients with endobronchial lesions theoretically have a better prognosis because of early symptoms and presentation.8 Most pulmonary parenchymal sarcomas reported in the literature were treated with surgical resection. Lobectomy or pneumonectomy was done depending on the size of the tumor and the extent of involvement. Chemotherapy and/or radiotherapy was given postoperatively in few cases.1 The tumor is poorly responsive to chemotherapy, and recurrence is common.
References:
REFERENCES
1.
Okamato S, Hisaoka M, Daa T, et al. Primary pulmonary synovial sarcoma: a clinicopathologic, immunohistochemical, and molecular study of 11 cases.
Hum Pathol.
2004;35:850-856.
2.
Chen HH, Huang WT, Kang WY, et al. Primary pulmonary synovial sarcoma: a case report.
Kaohsiung J Med Sci.
2006; 22:590-594.
3.
Sekeres M, Vasconcelles MJ, McMenamin M, et al. Two patients with sarcoma. Case 1. Synovial cell sarcoma of the lung.
J Clin Oncol.
2000;18:2341-2342.
4.
Matsuo Y, Sakai S, Yabuuchi H, et al. A case of pulmonary synovial sarcoma diagnosed with detection of chimera gene: imagingfindings.
Clin Imaging.
2006;30:60-62.
5.
Hosono T, Hironaka M, Kobayashi A, et al. Primary pulmonary synovial sarcoma confirmed by molecular detection of SYTSSX1 fusion gene transcripts: a case report and review of literature.
Jpn J Clin Oncol.
2005;35:274-279.
6.
Cascales P, Góomez-Caro AA, Ferri-NÃguez B, et al. Poorly differentiated primary monophasic synovial sarcoma of the lung.
Asian Cardiovasc Thorac Ann.
2006;14:511-513.
7.
Bégueret H, Galateau-Salle F, Guillou L, et al. Primary intrathoracic synovial sarcoma: a clinicopathologic study of 40 t(X; 18)-positive cases from the French Sarcoma Group and the Mesopath Group.
Am J Surg Pathol.
2005;29:339-346.
8.
Terasaki H, Niki T, Hasegawa T, et al. Primary synovial sarcoma of the lung: a case report confirmed by molecular detection of SYT-SSX fusion gene transcripts.
Jpn J Clin Oncol.
2001;31:212-216.
9.
Kaplan MA, Goodman MD, Satish J, et al. Primary pulmonary sarcoma with morphologic features of monophasic synovial sarcoma and chromosome translocation t(X; 18).
Am J Clin Pathol.
1996;105:195-199.
10.
Kuhnen C, Mentzel T, Haas V. Primary synovial sarcoma of the lung [in German].
Pathologe.
1999;20:130-134.
11.
Niwa H, Masuda S, Kobayashi C, Oda Y. Pulmonary synovial sarcoma with polypoid endobronchial growth: a case report, immunohistochemical and cytogenetic study.
Pathol Int.
2004;54:611-615.
Obesity Linked to Faster Alzheimer’s Disease Progression in Longitudinal Blood Biomarker Analysis
December 2nd 2025Biomarker trajectories over 5 years in study participants with AD show steeper rises in pTau217, NfL, and amyloid burden among those with obesity, highlighting risk factor relevance.
