We describe a patient with intravascularpulmonary lymphomawho presented withprogressive dyspnea and hypoxemiawith normal chest radiographicfindings. After anunrevealing noninvasive evaluation,a high-grade B-cellintravascular lymphoma wasdiagnosed by bronchoscopywith transbronchial biopsy.Treatment with a modifiedCHOP regimen resulted in resolutionof the patient’s hypoxemiaand exercise limitation.Although intravascular pulmonarylymphoma rarely presentswith pulmonary symptoms,it should be consideredin the differential diagnosis ofpatients presenting with hypoxemiaand normal chest radiographicfindings.
We describe a patient with intravascular pulmonary lymphoma who presented with progressive dyspnea and hypoxemia with normal chest radiographic findings. After an unrevealing noninvasive evaluation, a high-grade B-cell intravascular lymphoma was diagnosed by bronchoscopy with transbronchial biopsy. Treatment with a modified CHOP regimen resulted in resolution of the patient's hypoxemia and exercise limitation. Although intravascular pulmonary lymphoma rarely presents with pulmonary symptoms, it should be considered in the differential diagnosis of patients presenting with hypoxemia and normal chest radiographic findings.
A 55-year-old female nonsmoker presented with a chief complaint of 6 weeks of progressive severe exertional dyspnea. She denied chest pain, cough, sputum production, hemoptysis, rash, arthralgias, fever, night sweats, and chills. Two weeks before presentation, the patient noted fatigue and weakness, with occasional diarrhea but no melena or hematochezia. Twenty years previously, she had been treated for tuberculosis with a 6-month 4-drug regimen.
The patient's physical examination findings were unremarkable. Her heart rate and respiration rate were normal at rest. Pulse oximetry showed an oxygen saturation of 88% on room air, and arterial blood gas analysis revealed a PaO2 of 58 mm Hg. Her oxygen saturation rose to 95% on 2 L of oxygen via nasal cannulae.
Chest radiographic and ECG findings were normal. The results of a ventilation-perfusion scan were interpreted as very low probability for pulmonary embolism, and spirometry demonstrated a mild obstructive defect. A high-resolution CT pulmonary angiogram showed minimal left apical scarring consistent with well-healed tuberculosis.
The results of routine laboratory tests, including liver function tests, were normal, except for a lactate dehydrogenase (LDH) level of 1409 U/L (normal, 185 to 290 U/L). Over the course of a few days, generalized edema developed. The patient's aspartate aminotransferase level increased to 115 U/L (normal, 10 to 47 U/L), and her albumin level decreased to 2.6 g/dL (normal, 3.6 to 4.8 g/dL). The results of a hepatitis profile and urinalysis were normal. An echocardiogram demonstrated normal ventricular function and chamber sizes with a patent foramen ovale, although a significant right-to-left shunt was not demonstrated.
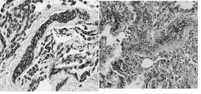
Worsening hypoxemia prompted fiberoptic bronchoscopy with transbronchial biopsy. This revealed an increased number of atypical cells within the blood vessels of the lung parenchyma, identified as a clonal B-cell lymphoma (Figure). A diagnosis of intravascular pulmonary lymphoma was made. A fluorodeoxyglucose positron emission tomography (FDGPET) scan revealed diffuse uptake in the lung.

Figure – Capillaries in the interalveolar septae are filled with large, atypical lymphocytes (hematoxylin-eosin stain, left). The immunohistochemical study shows atypical lymphocytes that are strongly positive for CD20 (right).
A modified CHOP (cyclophosphamide, doxorubicin, vincristine, prednisone) regimen was started, and the patient had dramatic clinical improvement. Her hypoxemia resolved, and she had no significant desaturation with exertion. The results of complete lung function tests were normal, and another FDG-PET scan showed resolution of the increased lung activity.
A clinical complex of dyspnea, hypoxemia, and normal chest radiographic findings is frequently encountered by physicians. The history, physical examination, and basic noninvasive evaluation usually establish the diagnosis. Common diseases with this presentation include reactive airway diseases, chronic obstructive pulmonary disease, and pulmonaryembolism. Less common entities include hemoglobinopathies, right-to-left shunts, and early interstitial lung disease.
Our patient presented with exertional dyspnea, oxygen desaturation, and normal imaging findings. Her echocardiographic and CT angiographic findings made intrapulmonary or intracardiac shunting unlikely. The normal chest CT findings made interstitial lung disease improbable.1
The patient's evaluation did not include measurement of carbon monoxide–diffusing capacity (DLCO). Her DLCO probably would have been reduced, but a reduced DLco would not have discriminated interstitial lung disease from pulmonary vascular disease. An FDGPET scan confirmed a metabolically active diffuse process within the lung, and transbronchial biopsy revealed the diagnosis of an intravascular lymphoma.
Intravascular lymphoma is a rare extranodal lymphoma characterized by the proliferation of lymphocytes within the vascular lumen. It is usually a B-cell lymphoma and is classified as high-grade. Intravascular lymphoma was initially thought to be of endothelial origin and named angioendotheliomatosis proliferans systematica. Advances in cell-specific markers demonstrated its lymphocytic origin.2,3 Clinical signs and symptoms are predominantly neurological and dermatological and result from the eventual obliteration of specific vascular beds.
The diagnosis of intravascular lymphoma is challenging because the symptoms and signs are nonspecific and heterogeneous. Primary pulmonary symptoms are exceedingly rare.4 In one report, the patient had dyspnea, fatigue, fever, an increased LDH level, and what appeared to be atelectasis on a CT scan, and the diagnosis of intravascular lymphoma was based on biopsy results.5
Another patient presented with pulmonary hypertension and nonspecific pulmonary infiltrates, which resolved with treatment.4 Intravascular lymphoma should be considered in the differential diagnosis of pulmonary hypertension when more common causes have been ruled out. Other pulmonary radiographic manifestations include air trapping with a mosaic pattern on a CT scan and diffuse interstitial markings.
The current treatment of intravascular lymphoma is a modified CHOP regimen. In one case series, 32% of patients who received a modified CHOP regimen had an overall survival of 3 years.6 Within 1 month of receiving this regimen, our patient no longer required supplemental oxygen and her edema resolved. Subsequent LDH levels and FDG-PET scan results have remained normal, and she is back at work.
We believe that this is a unique presentation of intravascular pulmonary lymphoma with solely pulmonary symptoms, hypoxemia, and no radiographic abnormalities. Therefore, this entity should be included as a rare cause of the frequently encountered combination of dyspnea, hypoxemia, and normal radiographic findings.
REFERENCES
1.
Orens JB, Kazerooni EA, Martinez FJ, et al. The sensitivity of high-resolution CT in detecting idiopathic pulmonary fibrosis proved by open lung biopsy. A prospective study.
Chest.
1995;108:109-115.
2.
Willemze R, Kruyswijk MR, De Bruin CD, et al. Angiotropic (intravascular) large cell lymphoma of the skin previously classified as malignant angioendotheliomatosis.
Br J Dermatol.
1987;116:393-399.
3.
Molina A, Lombard C, Donlon T, et al. Immunohistochemical and cytogenetic studies indicate that malignant angioendotheliomatosis is a primary intravascular (angiotropic) lymphoma.
Cancer.
1990;66:474-479.
4.
Owa M, Koyama J, Asakawa K, et al. Intravascular lymphomatosis presenting as reversible severe pulmonary hypertension.
Int J Cardiol.
2000;75:283-284.
5.
Chim CS, Choy C, Ooi GC, et al. Two unusual lymphomas. Case 2: pulmonary intravascular lymphomatosis.
J Clin Oncol.
2000;18:3733-3735.
6.
Ferreri AJ, Campo E, Seymour JF, et al. Intravascular lymphoma: clinical presentation, natural history, management and prognostic factors in a series of 38 cases, with special emphasis on the "cutaneous variant."
Br J Haematol.
2004;127:173-183.