A 74-year-old woman with a history of breast cancer and cutaneous sarcoidosis was admitted after a fall from bed that resulted in a left hip fracture.
Lymphomatoid granulomatosis is a B-cell proliferative disorder primarily of the lungs, with occasional cutaneous and neurological involvement. We describe a case of this disease in a 74-year-old woman who presented with possible postobstructive pneumonia and diffuse pulmonary masses. This case is unusual because of the patient's age, the lack of identifiable immunodeficiency, the necrotic nature of the masses, and the presence of an intramuscular mass in the patient's leg.
The case
A 74-year-old woman with a history of breast cancer and cutaneous sarcoidosis was admitted after a fall from bed that resulted in a left hip fracture. In addition to left hip pain, she complained of chronic dyspnea on exertion, right-sided chest pain, and a recent onset of subjective fevers and cough productive of whitish sputum.
The initial evaluation in the emergency department demonstrated a well-nourished elderly woman in no acute distress with an oxygen saturation of 99% on 4 L of oxygen via nasal cannula, although the emergency medical service initially found her oxygen saturation to be 85% on room air. Examination revealed a right mastectomy with no palpable cervical, supraclavicular, axillary, or inguinal lymphadenopathy. Initial pulmonary auscultation revealed no wheezing, crackles, or rhonchi. However, after the patient was given nebulized albuterol for suspected postobstructive pneumonia, she had improved air movement, and wheezing was then heard on auscultation.
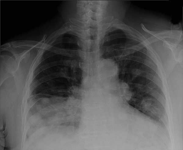
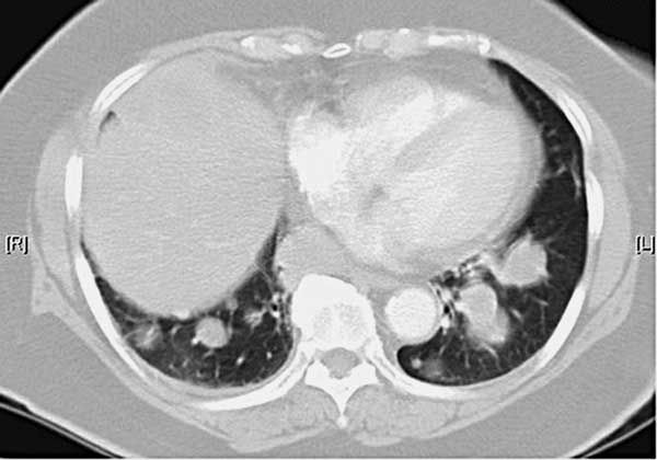
The initial chest radiograph showed multiple pulmonary masses of varying sizes with a large right middle lobe opacity and hilar adenopathy (Figure 1). A CT scan of the chest confirmed a 9.5 × 8.3-cm right middle lobe mass, 3.7 × 2.9-cm and 3.1 × 2.2-cm right lower lobe masses, a 3.6 × 2.0-cm left upper lobe mass, and innumerable diffuse smaller nodules throughout the lung fields (Figure 2).

Figure 1–Multiple pulmonary masses of varying sizes and hilar adenopathy can be seen in this chest radiograph.
The initial laboratory evaluation was notable for an elevated white blood cell count of 17,000/µL, with 83% segmented neutrophils, and an elevated alkaline phosphatase level of 134 U/L that were attributed to the patient’s hip fracture. Blood and sputum culture results were negative.

Figure 2–Multiple “cannonball”-type lesions are seen on this CT scan of the chest.
The pulmonary consultation service was notified, and because of diffuse expiratory wheezing on lung examination, the initial biopsy of the pulmonary masses was done via CT-guided transthoracic fine-needle aspiration. Five core biopsy specimens were taken from the left lower lobe mass, which revealed complete replacement of the lung tissue by a dense lymphohistiocytic infiltrate with focal suppurative necrosis. Immunohistochemical staining was negative for pancytokeratin, S100, and Epstein-Barr virus (EBV), but it was positive for T cells, B cells, and histiocytic markers CD3, CD20, and CD68 in approximately equal numbers.
After treatment and the resolution of wheezing, the patient underwent bronchoscopy with transbronchial biopsies and bronchoalveolar lavage (BAL). Visual inspection of the airways demonstrated extrinsic compression of the left lower lobe lateral segment, but it was otherwise normal. Transbronchial biopsy specimens from the right middle lobe yielded predominantly necrotic cellular debris and were suboptimal for evaluation because of extensive necrosis. The results of cytology, special stains, and cultures of BAL fluid were negative.
Positron emission tomography/CT performed after bronchoscopy demonstrated a lower lobe predominance with increased 18-fluorodeoxyglucose activity in the lower lobe and a maximum standardized uptake value (SUV) of 24.4. An unexpected finding was a soft tissue mass within the anterior musculature of the left thigh measuring 4.4 × 7.4 cm with a maximum SUV of 3.2 (Figure 3). A CT scan of the head without contrast was also obtained at this time and showed no evidence of metastatic lesions.

Figure 3–An unexpected finding on a positron emission tomography/CT scan was a soft tissue mass within the anterior musculature of the left thigh measuring 4.4 × 7.4 cm with a maximum standardized uptake value of 3.2.
A Tru-Cut biopsy specimen of the left thigh mass revealed skeletal muscle with focal attached fibroadipose tissue containing a lymphoplasmacytic infiltrate with a larger fragment of necrotic tissue. Because of inadequate tissue for diagnosis, an open excisional biopsy was performed; it revealed necrotic tissue with a border of viable skeletal muscle with a lymphoplasmacytic and histiocytic infiltrate suggesting lymphoid malignancy (Figure 4). The immunophenotypic analysis was nondiagnostic.

Figure 4–This CD20 stain of a muscle biopsy specimen highlights B cells.
Because lymphoid malignancy was suspected, a bone marrow biopsy was performed. The biopsy specimen identified a small lymphoid population that was composed predominantly of T lymphocytes with normal phenotype and polyclonal B lymphocytes. Endoscopic, ultrasound-guided lymph node biopsy was also performed but was nondiagnostic. Another CT-guided biopsy of the smaller left lower lobe mass was attempted. Cellular foci demonstrated a mixed inflammatory background with predominantly CD3-positive T lymphocytes and smaller numbers of large CD20-positive B lymphocytes. In addition, EBV-encoded RNA was positive in the large B lymphocytes (Figure 5), resulting in the final diagnosis of lymphomatoid granulomatosis.

Figure 5–Epstein-Barr virus–encoded RNA stained positive in the large B cells. This lung biopsy finding led to the diagnosis of lymphomatoid granulomatosis.Discussion
First described by Liebow and associates1 in 1972, lymphomatoid granulomatosis is a unique disease of pulmonary angiitis and granulomatosis that involves the lungs as well as other extranodal sites, such as the skin, CNS, and kidneys.2,3 In most cases, it is an EBV-positive, B-cell lymphoproliferative disorder that is frequently seen with a cytotoxic T-cell infiltrate and is thought to be a form of malignant lymphoma. The small number of cases that are EBV-negative may represent a distinct form of T-cell lymphoma.4
The male to female predominance is 2:1 to 3:1.5,6 The disease occurs typically between the fourth and sixth decades of life, but it can also appear in immunodeficient children.2,3 In adults, it is most commonly seen in immunodeficient states, such as post–organ transplant, HIV infection, immunosuppression caused by chemotherapy or other immunosuppressive medications, Wiskott-Aldrich syndrome, or other lymphoproliferative disorders. The lack of an identifiable immunodeficiency is another unique feature of our case.
Patients with lymphomatoid granulomatosis often present with cough (60%), dyspnea (30%), chest pain (15%), and normal findings on physical examination of the lungs.5 Radiographic findings of pulmonary nodules of various sizes in the mid to lower lung fields are common. Lymphomatoid granulomatosis is difficult to diagnose via transbronchial biopsies, which are diagnostic in only 30% of cases.7 As a result, open lung biopsy or biopsy of the extrapulmonary site is recommended for diagnosis.3
The differential diagnosis of lymphomatoid granulomatosis includes Wegener granulomatosis and other malignant lymphomas, such as Hodgkin lymphoma and anaplastic large-cell lymphoma. Thus, the diagnosis of lymphomatoid granulomatosis cannot be made on clinical presentation alone and requires histopathological confirmation of polymorphic lymphoid infiltrates, transmural infiltration of arteries and veins by lymphoid cells, and focal areas of necrosis within lymphoid infiltrates. Histological findings in lymphomatoid granulomatosis are characterized by varying numbers of large atypical CD20-positive B cells within an inflammatory background of small lymphocytes, plasma cells, histiocytes, and larger reactive lymphocytes, with numerous CD3-positive T cells common.
Our case is unusual because of the presence of a necrotizing lesion in the skeletal muscle. Lymphomatoid granulomatosis typically involves the lungs, and the most common extrapulmonary sites (from most to least common) are skin, nervous system, lymph nodes and nasopharynx (Table).5,6,8-14

We reviewed the literature from Liebow and associates’1 initial description of lymphomatoid granulomatosis in 1972 to the present. Of the 292 cases reviewed, only 6 (2%) had skeletal muscle involvement. In Katzenstein and associates’5 series of 152 patients, which included 36 from Liebow’s initial group, only 2 had skeletal muscle involvement. Biopsy-proven lymphomatoid granulomatosis was found in the femoral muscle of our patient and in a 46-year-old Japanese man described by Suzuki and colleagues.12
Schmalzl and associates11 described a 34-year-old woman in whom the initial manifestation of lymphomatoid granulomatosis was in the striated muscle. The muscles involved included the latissimus dorsi, pectoralis major, trapezius, masseter, and various muscles of the upper extremities. She did not have recognizable pulmonary involvement until 6 months after the first muscular infiltrate was identified.
The clinical course of lymphomatoid granulomatosis ranges from remission without treatment (20%) in cases of reversal of immunosuppression to disease progression with a mortality rate exceeding 50% and a median survival time after diagnosis of 14 to 72 months.5,14 Standard treatments have not been established; however, modalities that have been studied include corticosteroids and single-agent or, in aggressive cases, combination chemotherapy such as R-CHOP (rituximab, cyclophosphamide, doxorubicin, vincristine, and prednisone).3 Interferon alfa-2b has also shown promising results.15
The dilemma faced by Schmalzl and associates11 was a lack of response to corticosteroids; chemotherapy with single-agent therapy using azathioprine, cyclophosphamide, and vincristine and then mechlorethamine, vincristine, procarbazine, and prednisone-and even radiation therapy-resulted in only a transitory decrease in tumors.
Our patient, who had stage IV grade II lymphomatoid granulomatosis, was offered oral cytaribine and prednisone. However, she declined therapy because of concern about adverse effects.
These findings, the question of the place of lymphomatoid granulomatosis in the spectrum of malignant lymphoma, the need to distinguish it from other forms of malignant lymphomas, and the inconsistent correlation of histopathological grading with outcome make this a uniquely difficult disease to diagnose and treat.
REFERENCES1. Liebow AA, Carrington CR, Friedman PJ. Lymphomatoid granulomatosis. Hum Pathol. 1972;3:457-558.
2. Jaffe ES, Wilson WH. Lymphomatoid granulomatosis: pathogenesis, pathology and clinical implications. Cancer Surv. 1997;30:233-248.
3. Lundell RB, Weenig RH, Gibson LE. Lymphomatoid granulomatosis. Cancer Treat Res. 2008;142:265-272.
4. Myers JL, Kurtin PJ, Katzenstein AL, et al. Lymphomatoid granulomatosis. Evidence of immunophenotypic diversity and relationship to Epstein-Barr virus infection. Am J Surg Pathol. 1995;19:1300-1312.
5. Katzenstein AL, Carrington CB, Liebow AA. Lymphomatoid granulomatosis: a clinicopathologic study of 152 cases. Cancer. 1979;43:360-373.
6. Koss MN, Hocholzer L, Langloss JM, et al. Lymphomatoid granulomatosis: a clinicopathologic study of 42 patients. Pathology. 1986;18:283-288.
7. Koss MN. Malignant and benign lymphoid lesions of the lung. Ann Diagn Pathol. 2004;8:167-187.
8. Fauci AS, Haynes BF, Costa J, et al. Lymphomatoid granulomatosis. Prospective clinical and therapeutic experience over 10 years. N Engl J Med. 1982;306:68-74.
9. Israel HL, Patchefsky AS, Saldana MJ. Wegener’s granulomatosis, lymphomatoid granulomatosis, and benign lymphocytic angiitis and granulomatosis of lung. Recognition and treatment. Ann Intern Med. 1977;87:691-699.
10. Beaty MW, Toro J, Sorbara L, et al. Cutaneous lymphomatoid granulomatosis: correlation of clinical and biologic features. Am J Surg Pathol. 2001;25:1111-1120.
11. Schmalzl F, Gasser RW, Weiser G, Zur Nedden D. Lymphomatoid granulomatosis with primary manifestation in the skeletal muscular system. Klin Wochenschr. 1982;60:311-316.
12. Suzuki H, Takeda H, Kishi H, et al. Reactivation of Epstein-Barr virus is involved in the pathogenesis of lymphomatoid granulomatosis [in Japanese]. Nihon Kokyuki Gakkai Zasshi. 2006;44:492-498.
13. Saldana MJ, Patchefsky AS, Israel HI, Atkinson GW. Pulmonary angiitis and granulomatosis. The relationship between histological features, organ involvement, and response to treatment. Hum Pathol. 1977;8:391-409.
14. Pisani RJ, DeRemee RA. Clinical implications of the histopathologic diagnosis of pulmonary lymphomatoid granulomatosis. Mayo Clin Proc. 1990;65:151-163.
15. Wilson WH, Kingma DW, Raffeld M, et al. Association of lymphomatoid granulomatosis with Epstein-Barr viral infection of B lymphoctyes and response to interferon-alpha 2b. Blood. 1996;87:4531-4537.
Â