Progressive disseminated histoplasmosis (PDH) ismost likely to occur in patients with AIDS. Typical signs andsymptoms include fever, night sweats, anorexia, malaise, dyspnea,weight loss, hepatosplenomegaly, lymphadenopathy, skinlesions, and neurological deficits. The diagnosis of histoplasmosiscan be confirmed by tissue culture and stains and byserological studies. Bronchoscopy with bronchoalveolar lavage(BAL) often plays a pivotal role in the workup, particularly inpatients with respiratory symptoms and abnormal chest radiographicfindings. In some cases, transbronchial biopsy in conjunctionwith BAL can improve the diagnostic yield. Liposomalamphotericin B or amphotericin B lipid complex is recommendedfor the initial treatment of moderately severe to severePDH. Itraconazole may be appropriate for those with mild tomoderate PDH and is recommended for maintenance therapy.(J Respir Dis. 2008;29(1):37-40)
ABSTRACT:Progressive disseminated histoplasmosis (PDH) is most likely to occur in patients with AIDS. Typical signs and symptoms include fever, night sweats, anorexia, malaise, dyspnea, weight loss, hepatosplenomegaly, lymphadenopathy, skin lesions, and neurological deficits. The diagnosis of histoplasmosis can be confirmed by tissue culture and stains and by serological studies. Bronchoscopy with bronchoalveolar lavage (BAL) often plays a pivotal role in the workup, particularly in patients with respiratory symptoms and abnormal chest radiographic findings. In some cases, transbronchial biopsy in conjunction with BAL can improve the diagnostic yield. Liposomal amphotericin B or amphotericin B lipid complex is recommended for the initial treatment of moderately severe to severe PDH. Itraconazole may be appropriate for those with mild to moderate PDH and is recommended for maintenance therapy. (J Respir Dis. 2008;29(1):37-40)
Histoplasmosis involving the lung is a common fungal infection in both immunocompetent and immunosuppressed persons. It may present as primary pulmonary histoplasmosis, in which the severity of illness depends largely on inoculum size; chronic cavitary histoplasmosis, which is associated with abnormal lung structure; or progressive disseminated histoplasmosis (PDH), which may present in a chronic, indolent fashion or as a fulminating, life-threatening illness. In HIV-infected patients who have low CD4 counts, histoplasmosis most often presents as PDH; however, the presentation of, as well as the diagnostic and treatment options for, PDH is different in HIV-infected patients than in immunocompetent patients.
In this article, we review the presentation, diagnosis, and treatment of PDH in patients who are infected with HIV.
Samuel Darling first described histoplasmosis in 1905 in a Panama Canal Zone worker. The etiological agent of histoplasmosis is Histoplasma capsulatum, a dimorphic fungus found in soil. This fungus is endemic in the river valleys of southern and central United States. Growth of H capsulatum is favored by moderate humidity, certain types of soil, and the excrement of bats and birds.1
When soil containing H capsulatum is disturbed, spores are inhaled and convert to the yeast phase in the alveoli. A neutrophilic tissue response occurs with subsequent phagocytosis by alveolar macrophages.2 Yeast forms multiply within the macrophages and spread to the hilar lymph nodes and further disseminate via the reticuloendothelial system to distant organs, forming metastatic foci.3
In an immunocompetent person, a lymphocyte-mediated cellular immune response occurs about 2 weeks after initial exposure. Interactions among lymphocytes; macrophages; and mediators, such as interleukin-12 and tumor necrosis factor α, lead to tissue necrosis and granuloma formation.3 As lesions heal, peripheral fibrosis and central calcification may occur. Despite an intact immune system, yeast forms that are within a granuloma can cause disease months to years later.
Disease severity depends on the size of the inoculum and the person's immune status. In most cases of exposure, immunocompetent persons are asymptomatic. However, with larger inoculum sizes, the disease may range from flu-like illness to life-threatening acute respiratory distress syndrome.
In HIV-infected patients with low CD4 counts, defective macrophage responses to H capsulatum may occur, 4 and weakened lymphocyte-mediated cellular immunity may result in unchecked dissemination. As CD4 counts decrease, a reactivation of H capsulatum disease from a previous exposure may occur.
In the vast majority of AIDS patients with histoplasmosis, the disease presents as PDH, with fever, night sweats, anorexia, malaise, and weight loss of several weeks' duration, which may be more pronounced than in immunocompetent patients. Respiratory symptoms are nonspecific and occur in about half of affected patients.5
The physical examination findings may include fever, hepatosplenomegaly, lymphadenopathy, skin lesions, and neurological deficits. Respiratory examination findings may be unremarkable.
Involvement of the bone marrow, GI tract and, less frequently, adrenal glands (resulting in adrenal insufficiency) may occur in some patients. Up to 13% of AIDS patients with PDH may present with multiple organ system dysfunction, including respiratory, hepatic, and renal failure; shock; and disseminated intravascular coagulation.5
While PDH may occur in immunocompetent persons, most cases occur in patients with AIDS.6 The median CD4+ cell count in AIDS patients with PDH is 50/μL.7 PDH that occurs in an HIV-positive patient is an AIDS-defining illness.
A review of chest radiographs from 50 AIDS patients with documented disseminated histoplasmosis revealed abnormalities in 23 patients, most commonly diffuse nodular, linear, or irregular opacities.8 Less commonly, airspace opacities, small pleural effusions, adenopathy, and Kerley B lines were identified. In 27 patients, the chest radiographic findings were considered normal despite clinical or laboratory evidence of pulmonary disease in 4 of these patients.8
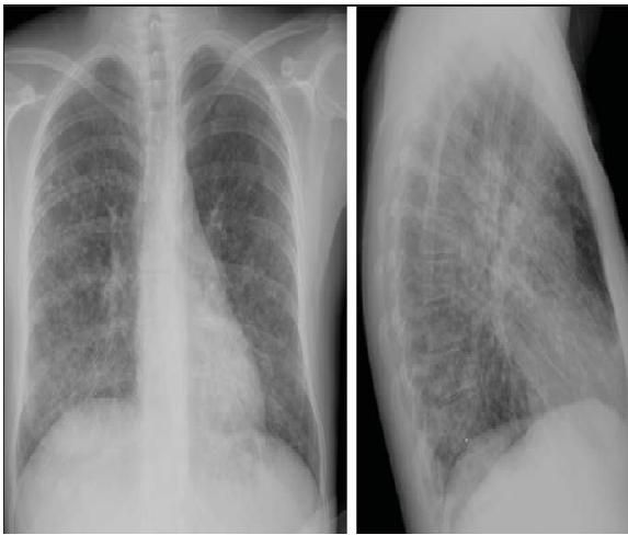
Chest radiographs from a patient with disseminated histoplasmosis are shown in the Figure.

Figure – Reticulonodular infiltrates are evident in these chest radiographs from an HIV-infected patient with disseminated histoplasmosis.
Arterial blood gas analysis may reveal gas exchange abnormalities, including hypoxemia and an elevated alveolar-arterial gradient. A complete blood cell count may show anemia, leukopenia, and thrombocytopenia, which are characteristic of bone marrow involvement. High elevation of serum lactate dehydrogenase levels9 and serum ferritin levels over 10,000 ng/mL10 have been described in patients with PDH. These findings are nonspecific, and mycological studies, including tissue culture and stains, and serological studies are more useful for the diagnosis of histoplasmosis.
In AIDS patients with PDH, the parasitic burden is characteristically high, which facilitates diagnosis by many of these techniques. Culture of blood by lysis-centrifugation or of bone marrow may yield a definitive diagnosis in about 85% of patients.1 Cultures of bronchoalveolar lavage (BAL) fluid also are often positive. However, cultures are of limited clinical utility, since they may require up to 6 weeks for growth.
Silver stains of a peripheral blood smear yield a rapid diagnosis in up to 50% of AIDS patients with PDH. Staining of BAL fluid in patients with pulmonary involvement may have similar results.
Complement fixation and immunodiffusion assay have been used to diagnose histoplasmosis. Drawbacks include a 2- to 6-week interval required to develop antibodies, cross-reactivity to other fungal infections and, in patients with AIDS, decreased sensitivity.5
Urine testing for Histoplasma antigen is a rapid diagnostic method; the results are positive in more than 90% of patients with PDH.11 We routinely order this test for any AIDS patient presenting with bilateral infiltrates on a chest radiograph.
Although histoplasmosis can be diagnosed relatively noninvasively, fiberoptic bronchoscopy may play a pivotal role in the workup of an HIV-infected patient who presents with respiratory symptoms and abnormal chest radiographic findings. This is most evident in areas where histoplasmosis is not endemic and, therefore, the index of suspicion may be low.
In addition, in patients with radiographic evidence of diffuse disease, it is not uncommon to find more than one disease entity. Pneumocystis jiroveci pneumonia; mycobacterial disease, including disseminated infection with Mycobacterium avium complex and miliary tuberculosis; other fungal infections; viral infections; and noninfectious states, such as nonspecific or lymphocytic pneumonitides, may mimic histoplasmosis, both clinically and radiographically.
BAL should be performed in the area of the lung that is of greatest concern based on radiographic findings. In patients with diffuse disease, BAL is usually performed in a subsegmental bronchus of the right middle lobe or lingula because these sites have been reported to yield the greatest BAL fluid return as a result of the supine positioning of the patient. Bilobar or bilateral BAL, which includes the anterior or apical segment of an upper lobe, is recommended for improved detection of P jiroveci.12,13
Sequential aliquots of 30 to 50 mL of sterile normal saline are instilled, up to a total volume of 200 mL, with a return of fluid of 40% to 50%, yielding at least 50 mL. BAL fluid should be tested for Histoplasma polysaccharide antigen, fungal stain, and culture.
Transbronchial biopsy in conjunction with BAL can improve the bronchoscopic diagnosis of histoplasmosis.14 In patients with non-localizing radiographic findings, transbronchial biopsy is usually performed in the lateral basal segment of the right lower lobe. The ideal number of specimens to be taken remains unclear.12 Fungal culture should be requested. In patients with radiographic evidence of hilar or mediastinal lymphadenopathy, transbronchial needle aspiration of the suspected nodes should be considered.
Two phases of treatment are required for AIDS patients with PDH. An induction phase, usually lasting 12 weeks, reverses symptoms and end-organ damage. This is followed by a maintenance phase to prevent recurrence. Ideally, initiation of treatment is based on microbiological confirmation of histoplasmosis; however, empirical treatment is appropriate when histoplasmosis is strongly suspected, pending laboratory confirmation.
Because of the higher prevalence of pulmonary pathogens other than H capsulatum, empirical antimicrobial therapy for pneumonia in AIDS patients does not usually include antifungal agents. If the patient's condition does not improve or deteriorates after several days of treatment, antifungal therapy usually should be initiated while awaiting test results.7
In a study by Johnson and associates,15 liposomal amphotericin B had an 88% success rate compared with 64% for amphotericin B deoxycholate in the induction phase of treatment of moderate to severe histoplasmosis in AIDS patients. Renal toxicity and mortality rates were greater in patients who received conventional amphotericin B. As a result, these authors recommend liposomal amphotericin B for the treatment of severe PHD.
The Infectious Diseases Society of America recently published practice guidelines for the management of histoplasmosis that recommend a 1- to 2-week course of either liposomal amphotericin B or amphotericin B lipid complex for the initial treatment of moderately severe to severe PDH.16 Amphotericin B deoxycholate may be used if a patient is considered at lower risk for renal toxicity.16 Once clinical response is achieved, induction therapy can be completed with itraconazole.
In cases of mild to moderate PHD, itraconazole may suffice for initial treatment.16,17 Itrac is recommended for maintenance therapy and has been recommended for life in AIDS patients. However, it may be safely discontinued if 1 year of treatment has been completed in addition to at least 6 months of highly active antiretroviral therapy and the patient's CD4+ cell count is greater than 150/μL.18
AIDS patients with CD4+ cell counts less than 150/μL who do not have histoplasmosis but who reside in areas with a significant incidence of this disease should receive prophylactic itraconazole therapy.16
REFERENCES
1.
Wheat LJ, Kauffman CA. Histoplasmosis.
Infect Dis Clin North Am.
2003;17:1-19.
2.
Procknow JJ, Page MI, Loosli CG. Early pathogenesis of experimental histoplasmosis.
Arch Pathol.
1960;69:413-426.
3.
Zhou P, Miller G, Seder RA. Factors involved in regulating primary and secondary immunity to infection with
Histoplasma capsulatum:
TNF-alpha plays a critical role in maintaining immunity in the absence of IFN-gamma.
J Immunol.
1998;160:1359-1368.
4.
Chaturvedi S, Frame P, Newman SL. Macrophages from human immunodeficiency virus-positive persons are defective in host defense  against Histoplasma capsulatum.
J Infect Dis.
1995;171:320-327.
5.
Wheat LJ, Connolly-Stringfield PA, Baker RL, et al. Disseminated histoplasmosis in the acquired immune deficiency syndrome: clinical findings, diagnosis and treatment, and review of the literature.
Medicine (Baltimore).
1990;69:361-374.
6.
Johnson PC, Hamill RJ, Sarosi GA. Clinical review: progressive disseminated histoplasmosis in the AIDS patient.
Semin Respir Infect.
1989;4:139-146.
7.
Belleza WG, Browne B. Pulmonary considerations in the immunocompromised patient.
Emerg Med Clin North Am.
2003;21:499-531.
8.
Conces DJ Jr, Stockberger SM, Tarver RD, Wheat LJ. Disseminated histoplasmosis in AIDS: findings on chest radiographs.
AJR.
1993;160;15-19.
9.
Corcoran GR, Al-Abdely H, Flanders CD, et al. Markedly elevated serum lactate dehydrogenase levels are a clue to the diagnosis of disseminated histoplasmosis in patients with AIDS.
Clin Infect Dis.
1997;24:942-944.
10.
Kirn DH, Fredericks D, McCutchan JA, et al. Marked elevation of serum ferritin is highly specific for disseminated histoplasmosis in AIDS.
AIDS.
1995;9:1204-1205.
11.
Wheat LJ. Improvements in the diagnosis of histoplasmosis.
Expert Opin Biol Ther.
2006;6:1207-1221.
12.
Narayanswami G, Salzman S. Bronchoscopy in the human immunodeficiency virusinfectedpatient.
Semin Respir Infect.
2003;18:80-86.
13.
Meduri GU, Stover DE, Greeno RA, et al. Bilateral bronchoalveolar lavage in the diagnosis of opportunistic pulmonary infections.
Chest.
1991;100:1272-1276.
14.
Salzman SH, Smith RL, Aranda CP. Histoplasmosis in patients at risk for the acquired immunodeficiency syndrome in a nonendemic setting.
Chest.
1988;93:916-921.
15.
Johnson PC, Wheat LJ, Cloud GA, et al. Safety and efficacy of liposomal amphotericin B compared with conventional amphotericin B for induction therapy of histoplasmosis in patients with AIDS.
Ann Intern Med.
2002;137:105-109.
16.
Wheat LJ, Freifeld AG, Kleiman MB, et al. Clinical practice guidelines for the management of patients with histoplasmosis: 2007 update by the Infectious Diseases Society of America.
Clin Infect Dis.
2007;45:807-825.
17.
Wheat J, Hafner R, Korzun AH, et al. Itraconazole treatment of disseminated histoplasmosis in patients with the acquired immunodeficiency syndrome. AIDS Clinical Trial Group.
Am J Med.
1995;98:336-342.
18.
Goldman M, Zackin R, Fichtenbaum CJ, et al. Safety of discontinuation of maintenance therapy for disseminated histoplasmosis after immunologic response to antiretroviral therapy.
Clin Infect Dis.
2004;38:1485-1489.