Ninety percent of adult cases of encephalitis are caused by herpes simplex virus (HSV) type 1, and HSV type 2 encephalitis is clinically indistinguishable from HSV-1 encephalitis.
Key words: Monoclonal gammopathy, Herpes simplex virus, Herpes encephalitis
Ninety percent of adult cases of encephalitis are caused by herpes simplex virus (HSV) type 1, and HSV type 2 encephalitis is clinically indistinguishable from HSV-1 encephalitis. There have been reports of HSV encephalitis in patients who have multiple myeloma and plasmacytoma,1-3 but this is the first case report describing HSV encephalitis in a patient with monoclonal gammopathy of unknown significance (MGUS).
Case report
A 73-year-old man with MGUS who had undergone surgical resection of a thymoma 2 years previously was brought to the emergency department (ED) by family members because he had experienced several minutes of bilateral arm and leg shaking followed by unresponsiveness. Two days before presenting to the ED, the patient complained of headache and fever. The following day, he exhibited bizarre language and memory difficulties. The morning of the day that he was admitted to the hospital, 2 seizures occurred.
On admission, his rectal temperature was 39.1°C (102.4°F). He was unresponsive, with a sustained left conjugate gaze and diffuse hyperreflexia with clonus. There was no nuchal rigidity, and the findings from the remainder of the physical examination were normal. The only laboratory abnormality was a white blood cell (WBC) count of 11,200/µL, with 69.8% neutrophils.

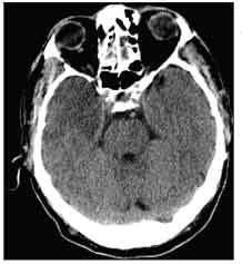
Figure 1 –This CT scan of the head shows a hypodense lesion of the right anterior temporal lobe.
Lorazepam (2 mg), vancomycin (2 g), ceftriaxone (2 g), and ampicillin (2 g) were administered intravenously. A CT scan of the patient’s head revealed a hypodense lesion of the right anterior temporal lobe (Figure 1). A cerebrospinal fluid (CSF) sample was clear, with a WBC count of 7/µL (4% neutrophils, 89% lymphocytes, and 7% monocytes), a red blood cell count of 15/µL, a serum glucose level of 84 mg/dL, and a serum protein level of 66 mg/dL. Gram stain results were negative. An electroencephalogram (EEG) showed periodic lateralized epileptiform discharges (PLEDs) at 2-second intervals in the right anterior temporal region with generalization.
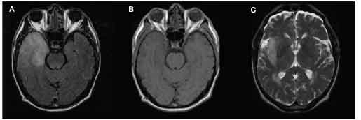
The patient was given a loading dose of intravenous phenytoin (1200 mg) and intravenous acyclovir at a dosage of 10 mg/kg every 8 hours for a total dose of 30 mg/kg/d. On hospital day 2, he withdrew from pain but was unresponsive to voice. A gadolinium-enhanced MRI scan of the brain revealed a hyperintense lesion of the right anterior temporal lobe on T2 fluid-attenuated inversion recovery (FLAIR), which was hypointense on T1 and extended into the adjacent inferior frontal lobe (Figure 2).

Figure 2 – A gadolinium-enhanced MRI scan of the head shows a hyperintense lesion of the right anterior temporal lobe on a T2 fluid-attenuated inversion recovery image (A), which was hypointense on T1 (B), and extended into the adjacent inferior frontal lobe on T2 (C).
On hospital day 3, the patient was awake but only oriented to persons, and he exhibited diffuse cognitive slowing. He recognized family members but had trouble recalling their names. He answered simple questions but responses were delayed, and he had marked memory loss. He was unable to perform calculations or spell “world” backwards. When asked to copy a simple pattern, he grasped a paper and pen but did not draw anything. With prompting, however, he drew a line.
At this time, results of cultures of CSF, a VDRL test, and a Lyme antibody serology test were negative. A polymerase chain reaction (PCR) assay for HSV-1 was positive. A diagnosis of HSV encephalitis was made. The patient’s cognitive function improved during 3 weeks of therapy with intravenous acyclovir. Minor deficits in short-term memory were seen.
Discussion
HSV infection should be considered in every patient with encephalitis, especially if seizures or behavioral changes are present. The mortality rate among untreated patients is 70%, which falls to 20% among treated patients, half of whom will have long-term neurological sequelae.4
The most important predictors of outcome are neurological status on admission and early initiation of intravenous acyclovir.4 Acyclovir should be given at a dosage of 10 mg/kg every 8 hours for 7 to 14 days. Treatment for less than 10 days confers a 5% risk of recurrence.4 Because of the risk of recurrence, some experts advocate continuing treatment with an oral agent (acyclovir or valacyclovir) for up to 21 days after intravenous therapy. A clinical trial is currently under way to evaluate the benefit of this prolonged oral valacyclovir regimen after intravenous therapy.5
Corticosteroid therapy is controversial but sometimes advocated if severe brain edema is present. The rationale is based on improved outcomes in animal studies and findings from a small clinical trial.6-8 A clinical trial of adjunctive therapy with dexamethasone and acyclovir is under way.9
Electroencephalography will demonstrate a characteristic background slowing, with temporal PLEDs, in 80% of patients. MRI of the brain and electroencephalography provide faster results than CT. The most common findings on MRI scans are a hyperintense signal on T2 and FLAIR with a hypointense signal on T1. Gradient echo imaging may reveal small areas of hemorrhage. More than 90% of patients will show temporal changes, but occipital, parietal, and transverse myelitis lesions can occur.
PCR assays for detection of HSV in the CSF have a sensitivity of 96% and a specificity of 99% when performed between 48 hours and 10 days of symptom onset. A higher false-negative rate is associated with PCR assay results from CSF samples that are acquired less than 48 hours after symptom onset. Repeated sampling may be necessary. Acyclovir therapy does not affect the yield of HSV in CSF if the sample for the PCR assay is taken within 7 days of the start of therapy. Analysis of CSF typically shows lymphocytic leukocytosis and a protein level of more than 50 mg/dL and occasionally shows red blood cells or xanthochromia. Unlike other viral encephalitides, HSV encephalitis does not always raise CSF glucose levels; glucose levels may be normal or low.4
More than 90% of persons have latent HSV-1 in sensory neurons. During latency, HSV gene transcripts are present, indicating partial activity of the viral genome. CD8+ cells and interferon gamma (IFN-γ) have been implicated in the maintenance of latency. The recurrence of active viral replication has been associated with stress, immunosuppression, exposure to UV light, and nerve damage.4,10
MGUS occurs in 5% of persons older than 70 years. It is defined as a serum monoclonal protein level of less than 3 g/dL; a bone marrow to plasma cell ratio of less than 10%; and an absence of anemia, hypercalcemia, renal failure, or the lytic bone lesions of multiple myeloma. The risk of conversion from MGUS to multiple myeloma is 1% per year. Mortality in patients with MGUS is largely caused by unrelated chronic conditions.11 Patients with multiple myeloma with or without preceding MGUS have recurrent bacterial infections and impaired CD8+ cell responses to viral antigens.12 Patients with MGUS have immunological abnormalities that allow the tumor to escape immune surveillance and also have increased susceptibility to infection.
MGUS is characterized by elevated serum interleukin-6 (IL-6) and IL-6 receptor levels.13-15 IL-6 suppresses T-cell IFN-γ production16 and could hamper IFN-γ control of latent HSV infection. High levels of IL-6 induce inflammation of the CNS.17,18 β2-Microglobulin levels also are elevated, resulting in immunosuppression by interrupting dendritic cell maturation and inducing T-cell and natural killer cell apoptosis.15,19
Other immune abnormalities in patients with MGUS that may interact with HSV include decreased FOXP3 and CTLA–4 messenger RNA expression and methylation silencing of SOCS1 and SYK genes that influence Janus tyrosine kinase–signal transducer and activator of transcription signal transduction pathway.20 T regulatory cells from patients with MGUS fail to suppress CD3-mediated T-cell proliferation.21 Dendritic cell–mediated helper T-cell activity and antibody production are important in controlling HSV infection, and both are impaired in MGUS. Tumor necrosis factor-α (TNF-α) levels are increased.14 TNF-α has inhibitory effects on HSV replication, but it also contributes to inflammation.22
Herpes encephalitis should be considered in any patient who presents with new-onset seizures, and acyclovir should be initiated immediately to decrease mortality and neurological sequelae. Clinical trials currently are aimed at establishing whether prolonged therapy with oral valacyclovir or adjunctive therapy with dexamethasone can decrease recurrence rates or improve long-term clinical outcomes.5,9
REFERENCES
1. Chim CS, Ho PL, Yuen KY, Pieres JS. Herpes simplex encephalitis in multiple myeloma. Aust N Z J Med. 1999;29:381-382.
2. Klingelhöfer J, Prange HW, Schipper HI. Herpes simplex encephalitis and plasmacytoma: chance coincidence or causal relation? [in German]. Nervenarzt. 1984;55:86-89.
3. Schütt P, Ebeling P, Buttkereit U, et al. Thalidomide in combination with dexamethasone for pretreated patients with multiple myeloma: serum level of soluble interleukin-2 receptor as a predictive factor for response rate and for survival. Ann Hematol. 2005;84:594-600.
4. Raschilas F, Wolff M, Delatour F, et al. Outcome of and prognostic factors for herpes simplex encephalitis in adult patients: results of a multicenter study. Clin Infect Dis. 2002;35:254-260.
5. National Institute of Allergy and Infectious Diseases. A phase III double-blind, placebo-controlled trial of long term therapy of herpes simplex encephalitis (HSE): an evaluation of valacyclovir (CASG-204). ClinicalTrials.gov. http://clinicaltrials.gov/ct/show/NCT00031486?order=1. Accessed December 12, 2008.
6. Meyding-Lamadé UK, Oberlinner C, Rau PR, et al. Experimental herpes simplex virus encephalitis: a combination therapy of acyclovir and glucocorticoids reduces long-term magnetic resonance imaging abnormalities. J Neurovirol. 2003;9:118-125.
7. Sergerie Y, Boivin G, Gosselin DS, Rivest S. Delayed but not early glucocorticoid treatment protects the host during experimental herpes simplex virus encephalitis in mice. J Infect Dis. 2007;195:817-825.
8. Kamei S, Sekizawa T, Shiota H, et al. Evaluation of combination therapy using aciclovir and corticosteroid in adult patients with herpes simplex virus encephalitis. J Neurol Neurosurg Psychiatry. 2005;76:1544-1549.
9. Martinez-Torres F, Menon S, Pritsch M, et al; GACHE Investigators. Protocol for German trial of acyclovir and corticosteroids in herpes-simplex virus encephalitis (GACHE): a multicenter, multinational, randomized, double-blind, placebo-controlled German, Austrian and Dutch trial. BMC Neurol. 2008;8:40.
10. Decman V, Freeman ML, Kinchington PR, Hendricks RL. Immune control of HSV-1 latency. Viral Immunol. 2005;18:466-473.
11. Rajkumar SV. MGUS and smoldering multiple myeloma: update on pathogenesis, natural history, and management. Hematology Am Soc Hematol Educ Program. 2005:340-345.
12. Maecker B, Anderson KS, von Bergwelt-Baildon MS, et al. Viral antigen-specific CD8+ T-cell responses are impaired in multiple myeloma. Br J Haematol. 2003;121:842-848.
13. Dogane A, Eigenbrod T, Krug N, et al. The IL-6R alpha chain controls lung CD4+CD25+ Treg development and function during allergic airway inflammation in vitro [published correction appears in J Clin Invest. 2005;115:1388]. J Clin Invest. 2005;115:313-325.
14. Bladé J, Filella X, Montoto S, et al. Interleukin 6 and tumour necrosis factor alpha serum levels in monoclonal gammopathy of undetermined significance. Br J Haematol. 2002;117:387-389.
15. Pérez-Andrés M, Almeida J, MartÃnâAyuso M, et al. Clonal plasma cells from monoclonal gammopathy of undetermined significance, multiple myeloma and plasma cell leukemia show different expression profiles of molecules involved in the interaction with the immunological bone marrow microenvironment. Leukemia. 2005;19:449-455.
16. Frassanito MA, Cusmai A, Dammacco F. Deregulated cytokine network and defective Th1 immune response in multiple myeloma. Clin Exp Immunol. 2001;125:190-197.
17. Campbell IL, Stalder AK, Chiang CS, et al. Transgenic models to assess the pathogenic actions of cytokines in the central nervous system. Mol Psychiatry. 1997;2:125-129.
18. Kaplin AI, Deshpande DM, Scott E, et al. Interleukin 6 induces regionally selective spinal cord injury in patients with the neuroinflammatory disorder transverse myelitis. J Clin Invest. 2005;10:2731-2741.
19. Xie J, Wang Y, Freeman ME 3rd, et al. Beta 2-microglobulin as a negative regulator of the immune system: high concentrations of the protein inhibit in vitro generation of functional dendritic cells. Blood. 2003;101:4005-4012.
20. Reddy J, Shivapurkar N, Takahasi T, et al. Differential methylation of genes that regulate cytokine signaling in lymphoid and hematopoietic tumors. Oncogene. 2005;24:732-736.
21. Prabhala RH, Neri P, Bae JE, et al. Dysfunctional T regulatory cells in multiple myeloma. Blood. 2006;107:301-304.
22. Lokensgard JR, Hu S, Sheng W, et al. Robust expression of TNF-alpha, IL-1beta, RANTES, and IP-10 by human microglial cells during nonproductive infection with herpes simplex virus. J Neurovirol. 2001;7:208-219.
AI-Powered Diabetes Prevention Program Intervention Matches Human Coaching in Landmark Trial
October 27th 2025After 1 year of coaching by the AI app or a DPP-associated coach, reductions in weight and HbA1c and increases in physical activity were equal, an outcome with great promise for scalability.