Delusional parasitosis and factitious disorder are psychiatric illnesses that are often encountered by clinicians. The differential diagnosis can be tricky, but treatment, which may include referral to a mental health specialist, may be trickier.
Key words: Delusional parasitosis, Formication, Factitious disorder, Factitious dermatitis, Neurotic excoriation
Delusional parasitosis and factitious disorder are psychiatric illnesses that are often encountered by clinicians. The differential diagnosis can be tricky, but treatment, which may include referral to a mental health specialist, may be trickier.
Persons with delusional parasitosis falsely believe that they are infested with parasites and may experience formication, a hallucinatory crawling sensation on the skin that they attribute to the presence of insects, mites, or other vermin. Persons with factitious disorder manifesting as factitious dermatitis intentionally excoriate or cause other kinds of damage to skin structures and then present to health care providers for diagnosis and treatment of feigned or imagined disease. Factitious dermatitis also may take the form of neurotic excoriation in which the patient scratches, gouges, or picks at the skin as a nervous or compulsive habit and then seeks medical care for treatment of the damage or imagined disease.
Infections and other complications obviously can result from behaviors related to delusional parasitosis and factitious dermatitis, which may include a broad range of self-mutilating behaviors and techniques. Clinicians are tasked with performing a thorough workup to rule out organic disease or drug psychosis, and then they must treat the wound(s)-including any secondary infection-and either treat the underlying psychiatric cause with an appropriate pharmacological agent or refer the patient to a mental health provider. Unfortunately, many patients are resistant to receiving a diagnosis other than the one they have devised and are lost to follow-up.
Delusional parasitosis
Delusional parasitosis is typically seen in women 50 years or older.1,2 “Folie deux” is a delusional parasitosis that is shared by 2 persons; it also has been reported to occur with the index case followed by 1 or more secondary cases.3,4

Figure 1 – This ziplock sandwich bag contains debris that a patient believed was evidence of parasitosis. Presentation of such objects by patients is called the matchbox sign. (Image and overview supplied by Veronica T. Tucci, JD, BS, John N. Greene, MD, and Albert L. Vincent, PhD.)
Some patients can describe the offending agents and may name or classify them. They may report symptoms of itching, biting, burning, or crawling, and they may be convinced that their entire house is infested with the offending entity. Objective clinical findings include chemical burns and fingernail excoriations and deeper wounds inflicted by tweezers, knives, or other sharp implements. Material collected by the patient as evidence of infestation and presented for clinical inspection includes dust, dirt, lint, plant fibers, and scabs and other debris excoriated from the skin. Presentation of this material in a matchbox, on adhesive tape, or in a ziplock bag (Figure 1), is known as the matchbox sign.
Affected persons may self-treat with all types of home remedies and over-the-counter health products, balms, detergents, and even poisons. Like persons with other somatoform psychiatric disorders, these patients may endure long, frustrating searches for relief, turning from one seemingly unhelpful reso

urce to another. They may become increasingly antagonistic toward clinicians who imply that the problem is “in their heads.” The patient who presents with the matchbox sign is especially vulnerable to being marked for dismissal without adequate examination or appropriate referral.5
However, failure to take concerns of presumed parasitosis seriously is a clinical mistake. Drug intoxication and numerous organic maladies can cause formication and delusions of parasitosis (Table). The physician should acquire a thorough case history and perform skin biopsies and scrapings, complete blood cell counts, blood chemistry panels that include measurement of liver enzymes, and endocrine and thyroid function tests, and he or she should measure iron and vitamin B12 levels to rule out organic disease.
Drug use and delusional parasitosis
Formication is commonly associated with psychostimulant drug use and was first reported in long-term cocaine users in 1889.6 Formication associated with drug use has been referred to as “coke bugs,” “meth mites,” and “amphetamites,” depending on the drug responsible for the hallucinations.
The lesions, caused by intense picking and scratching of the skin, may appear as multiple well circumscribed, erythematous papules and partially healed scabs in easy-to-reach areas, such as the face, scalp, neck, anterior thighs, and arms (lesions on the dorsal forearms are often worse on the side opposite the patient’s dominant hand). Patients often claim that they see “bugs” or “worms” crawling under or out of their skin.

Figure 2 –Formication and visual hallucinations secondary to methamphetamine abuse resulted in the self-infliction of these papular and scabbed lesions. The patient believed that “bugs” were in her skin. (Image and case supplied by Rocky Benoit, MD, and Jeffrey Suchard, MD.)
The patient in Figure 2 complained of “bugs” in her skin. In addition to her face, she had lesions on her arms, shoulders, and neck. She had a history of methamphetamine use, which was concurrent with her alleged infestation. The patient in Figure 3 complained of a worm infestation in his neck. He used a pair of scissors to excise the imagined worms. The toxicology screening of this patient was positive for cocaine, opiates, and benzodiazepines.

Figure 3 –A patient who believed that worms had burrowed into his neck tried to excise them with a pair of household scissors, resulting in this wound. A toxicology screening was positive for cocaine, opiates, and benzodiazepines. (Image and case supplied by Rocky Benoit, MD, and Jeffrey Suchard, MD.)
Neurotic excoriations
Neurotic excoriation is a type of factitious dermatitis. Although lesions are self-inflicted, self-harm is largely unintentional and is associated with anxiety, depression, or obsessive-compulsive disorder. Skin lesions as a sign of factitious disorder, on the other hand, are associated with pathological attention seeking behavior and mental illnesses such as personality disorder and psychosis.

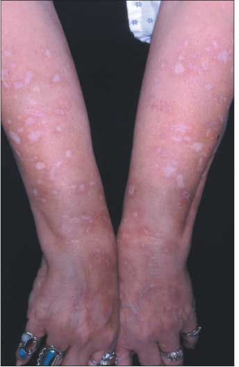
Figure 4 –Characteristic disciform papules and scarring on the arms of this 43-year-old woman are suggestive of neurotic excoriation. Scarring is a telltale sign of chronicity. The shape and size of the lesions are clues to whether they are inflicted with fingernails or sharp objects. (Image and case supplied by Joe R. Monroe, PA-C, MPAS.)
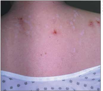
Lesions confined to easily reached areas strongly suggest neurotic excoriations. The presence of multiple old scars is a clue to the chronicity of the condition, as evidenced in a middle-aged woman who presented with excoriated papules and scarring on the arms (Figure 4) and back (Figure 5).

Figure 5 –Papules and scarring on the upper back are seen in the same patient illustrated in Figure 4. (Image and case supplied by Joe R. Monroe, PA-C, MPAS.)
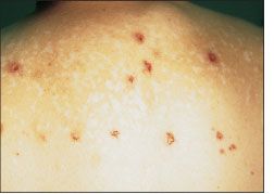
Because neurotic excoriations generally are caused by the patient’s fingernails, they have a uniform disciform size and shape. This helps distinguish them from intentionally inflicted lesions, which may be made with foreign objects such as fingernail files, forks, knives, and other sharp objects, as previously mentioned. Patients with factitious disorder typically present with fewer lesions than patients with neurotic excoriations, and the lesions vary in size and shape (Figure 6).

Figure 6 –The lesions in this case of factitious dermatitis in a 30-year-old woman are less uniform in size and shape and less voluminous than those seen in cases of neurotic excoriation. The patient had a history of psychiatric intervention, which was extensive, and amphetamine use. (Image and case supplied by Joe R. Monroe, PA-C, MPAS.)
The differential diagnosis of these self-induced conditions includes scarring dermatoses such as lupus, particularly discoid lupus. Treatment options for neurotic excoriations include anxiolytic drugs. Patients with factitious disease-and parasitosis-usually require more potent psychotropic agents.
REFERENCES
1. Wenning MT, Davy LE, Catalano G, Catalano MC. Atypical antipsychotics in the treatment of delusional parasitosis. Ann Clin Psychiatry. 2003;15:233-239.
2. Wilson FC, Uslan DZ. Delusional parasitosis. Mayo Clin Proc. 2004;79:1470.
3. Kim C, Kim J, Lee M, Kang M. Delusional parasitosis as “folie à deux.” J Korean Med Sci. 2003;18:462-465.
4. Daniel E, Srinivasan TN. Folie à Famille: delusional parasitosis affecting all the members of a family. Indian J Dermatol Venereol Leprol. 2004;70:296-297.
5. Lee WR. Matchbox sign. Lancet. 1983;2:457-458.
6. de Leon J, Antelo RE, Simpson G. Delusion of parasitosis or chronic tactile hallucinosis: hypothesis about their brain physiopathology. Compr Psychiatry. 1992;33:25-33.
AI-Powered Diabetes Prevention Program Intervention Matches Human Coaching in Landmark Trial
October 27th 2025After 1 year of coaching by the AI app or a DPP-associated coach, reductions in weight and HbA1c and increases in physical activity were equal, an outcome with great promise for scalability.