Disseminated echinococcal disease can present complex management issues that require a multidisciplinary approach to care. We describe a patient with hydatid disease who had multiple cysts in the liver, lungs, and pulmonary artery that were caused by Echinococcus granulosus infection.
Echinococcosis (hydatid disease), a zoonotic infection with worldwide distribution, is caused by the larval form of the canine tapeworm, Echinococcus. Two species, Echinococcus granulosus and Echinococcus multilocularis, are responsible for most human disease. Dogs and other canines are definitive hosts; sheep, cattle, goats, horses, pigs, camels, and humans serve as intermediate hosts.
The adult tapeworm lives in the small intestine of canines. Eggs are shed in the stool. Humans ingest the eggs, and embryos are released in the intestines and enter the portal circulation. The embryos most frequently enter the liver or lungs, although virtually any organ may be involved. They mature into cystic metacestodes containing fluid and protoscolices that have reproductive potential.
The clinical features of infection are variable and depend on the size, location, and number of cysts; the interaction of the cyst with surrounding host tissue; and whether the cyst has ruptured, has undergone instrumentation, or has become secondarily infected. Management must be individualized and may include observation alone or anthelmintic drugs and surgical intervention. We describe a patient with echinococcosis involving the liver, lungs, and pulmonary artery and highlight the difficulties in management of disseminated infection and the need for a collaborative approach among infectious diseases practitioners, radiologists, and surgeons.
Case report
A 32-year-old man was admitted to our medical center with vomiting, chest pain, and a nonproductive cough. At age 15, the patient had immigrated to the United States from Peru, where he had lived on a farm and was exposed to dogs, goats, and sheep. He had a history of echinococcal disease that involved the liver and then spread to other organs. Echinococcosis was first diagnosed in 1999. The patient received 18 months of therapy with albendazole, but he admitted that he frequently missed doses or stopped taking the drug for days to weeks at a time.
A year after albendazole therapy was discontinued, hemoptysis developed. A CT scan of the chest revealed cysts in the left lower lung and thrombosis of the inferior vena cava. The patient was again given albendazole therapy. He subsequently underwent surgical resection of the left lower lobe. He received intermittent albendazole therapy for the next 4 years.
In 2005, he experienced fatigue and abdominal pain and multiple cysts were found in the liver. Surgical resection was recommended, but the patient was reluctant to undergo surgery again and did not keep his follow-up appointments. Two years later, he presented to our institution.

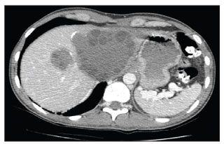
Figure 1 – A contrast CT scan of the abdomen demonstrates a large echinococcal cyst with multiple daughter cysts occupying most of the left lobe of the liver and a smaller cyst in the right dome of the liver.

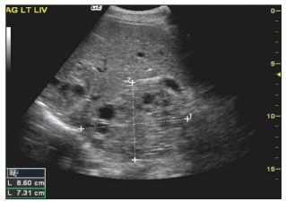
Figure 2 – An ultrasonogram of the liver shows a large echinococcal cyst in the left lobe.
He was afebrile, and findings from his physical examination were remarkable only for a well-healed posterior thoracic scar on the left side and tender hepatomegaly. Laboratory tests revealed a white blood cell count of 8500/µL, with a total eosinophil count of 510/µL; normal electrolyte, bilirubin, and aspartate aminotransferase levels; and a mildly elevated alanine aminotransferase level. Results of a serum antibody test for E granulosus were positive. The chest radiographic findings were normal. A CT scan (Figure 1) and an ultrasonogram (Figure 2) of the abdomen demonstrated multiple daughter cysts in both the left and right lobes of the liver. Magnetic resonance angiography (MRA) of the chest showed multiple intraluminal echinococcal cysts in the right pulmonary artery extending to apical branches of the right upper lobe pulmonary artery (Figure 3).
Therapy with oral albendazole 400 mg twice daily was initiated on admission. Ten days later, the patient underwent an exploratory laparotomy with cholecystectomy and partial hepatic lobe resection (Figure 4). Hypertonic saline solution (15%) was instilled in the liver cysts (Figure 5), and they were decompressed, evacuated (Figure 6), and marsupialized.
Histopathology of the resected liver demonstrated dense fibrotic tissue with focal chronic and eosinophilic inflammation. Fragments of chitin with no brood cysts were seen from the evacuated contents of the hydatid cysts.

Figure 3 – A magnetic resonance angiogram of the chest demonstrates filling defect (arrow) in the right pulmonary artery extending to the apical branch of the right upper lobe pulmonary artery consistent with the presence of multiple echinococcal cysts. Multiple liver cysts are also seen.
The postoperative course of the patient was complicated by ventricular tachycardia that responded to antiarrhythmic medication. The patient was not a candidate for cardiothoracic surgery. The chief concern was that the pulmonary artery would be extremely friable and the attendant operative risk prohibitive. The associated perioperative ventricular arrhythmia also increased the patient’s risk for subsequent surgery. The patient was discharged home 2 weeks after surgery and was to continue oral albendazole indefinitely with close medical observation.
Discussion
Our patient had long-standing echinococcal disease involving the liver and lung because of E granulosus infection. Previous lung resection probably caused spillage of scolices and resulted in further extension of his disease, including involvement of the pulmonary artery. His history of poor adherence to albendazole therapy was probably also a factor in the progression of disease. Ultrasonography, CT, and MRA helped define the extent of the patient’s disease preoperatively.

Figure 4 – A purse-string suture is placed in the wall of the large echinococcal cyst in the left lobe of the liver to control potential spillage of cyst contents.
The patient had multiple large liver cysts that required conventional open surgery with instillation of a scolicidal agent-in this case, hypertonic saline-before evacuation and obliteration of the cysts. Of greater concern was the extensive involvement of the right lung and pulmonary artery. Pulmonary artery involvement is a rare and potentially life-threatening complication of echinococcal disease, and there are only anecdotal reports of strategies for surgical management.
Koksal and colleagues1 describe successful management of right lung and pulmonary artery echinococcal cysts using a 2-stage operative approach consisting of a longitudinal arteriotomy along the right pulmonary artery followed by a right pneumonectomy 2 weeks later. In another instance, a longitudinal arteriotomy followed by a left lower lobe common basal segmentectomy was performed to treat a patient with a distal left interlobar pulmonary artery cyst.2

Figure 5 – Aspiration of the large echinococcal liver cyst was done before instillation of 15% hypertonic saline into the cyst cavity.
Surgical treatment, when feasible, is the modality that is most likely to be curative for hydatid disease, but it may not be suitable for some patients. The puncture-aspiration-instillation-reaspiration (PAIR) procedure is an alternative to surgery in select patients, particularly those with inoperable cysts or those at high operative risk.3 The procedure uses ultrasound to guide percutaneous puncture of the cyst, followed by aspiration of cyst fluid, injection of a scolicidal agent, and reaspiration of the contents.
A meta-analysis of 21 PAIR studies suggests that when combined with chemotherapy, the PAIR procedure is associated with greater efficacy and lower rates of morbidity than conventional surgery for the therapy for hepatic cysts.4 The procedure also has been used successfully for the treatment of pulmonary and renal hydatid cysts.5,6 Nonetheless, the procedure has the potential for serious complications, including those associated with puncture and spillage of the contents of the cysts.

Figure 6 –These multiple daughter cysts were evacuated from the large echinococcal cyst in the left lobe of the liver.
Albendazole, an oral benzimidazole anthelmintic, is the agent of choice for the medical treatment of echinococcal disease. It is indicated for patients with inoperable primary infection of the lungs and liver, those with multiple cysts in 2 or more organs, and those with peritoneal cysts.3 It should not be given to patients with inactive or calcified cysts. Albendazole is also used to prevent secondary infection that may result from spillage of cyst contents during surgery or drainage procedures.
Albendazole therapy is initiated in the preoperative period and is usually continued for weeks to months. The usual dosage is 10 to 15 mg/kg/d in 2 divided doses given in cycles of 4 weeks followed by a 2-week interruption in therapy. This regimen is continued for several cycles depending on the extent of disease and the clinical response to therapy. Therapy may be more effective when given continuously.3,7
Mebendazole is an alternative benzimidazole, but it is not as well absorbed as albendazole and appears to be less effective.7 Praziquantel, an isoquinoline anthelmintic, is a potent protoscolicidal agent in vitro. The combination of albendazole and praziquantel may be more effective than albendazole alone, but data are limited.7,8 Benzimidazoles are usually well tolerated but may be associated with adverse GI effects, elevated serum transaminase levels, and bone marrow suppression. They are potentially teratogenic and should not be given during pregnancy.
Our case exemplifies some of the difficulties in the management of disseminated echinococcal disease and the need for a team approach to care. Given the extent and location of the patient’s cysts, he was not a candidate for a PAIR procedure and underwent open surgical resection of his liver cysts. Resection of the patient’s pulmonary artery cyst was considered but would have been technically difficult, with high risk of morbidity and mortality, and ultimately, it would not have cured his infection. Our patient will be maintained on albendazole indefinitely and will require close medical follow-up and serial imaging studies.
REFERENCES
1. Koksal C, Baysungur V, Okur E, et al. A two-stage approach to a patient with hydatid cyst inside the right pulmonary artery and multiple right lung involvement.
Ann Thorac Cardiovasc Surg.
2006;12:349-351.
2. Tanju S, Toker A, Ãnal ES, et al. Hydatid cyst in the distal pulmonary artery: a case report.
Turk Respir J.
2005;6:102-104.
3. Guidelines for treatment of cystic and alveolar echinococcus in humans. WHO Informal Working Group on Echinococcosis.
Bull World Health Organ.
1996;74:231-242.
4. Smego RA Jr, Bhatti S, Khaliq AA, Beg MA. Percutaneous aspiration-injection-reaspiration drainage plus albendazole or mebendazole for hepatic cystic echinococcosis: a meta-analysis.
Clin Infect Dis.
2003;37:1073-1083.
5. Akhan O, Ozmen MN, Dinçer A, et al. Percutaneous treatment of pulmonary hydatid cysts.
Cardiovasc Intervent Radiol.
1994;17:271-275.
6. Akhan O, Ustünsöz B, Somuncu I, et al. Percutaneous renal hydatid cyst treatment: long-term results.
Abdom Imaging
. 1998;23:209-213.
7. El-On J. Benzimidazole treatment of cystic echinococcosis.
Acta Trop.
2003;85:243-252.
8. Cobo F, Yarnoz C, Sesma B, et al. Albendazole plus praziquantel versus albendazole alone as a pre-operative treatment in intra-abdominal hydatisosis caused by
Echinococcus granulosus. Trop Med Int Health.
1998;3:426-466.