Clostridium difficile infections account for most cases of antibiotic-associated colitis.1 However, there is increasing evidence that Klebsiella oxytoca infection contributes to the development of C difficile–negative antibiotic-associated hemorrhagic colitis. Most cases have been reported in France,2-12
Clostridium difficile infections account for most cases of antibiotic-associated colitis.1 However, there is increasing evidence that Klebsiella oxytoca infection contributes to the development of C difficile–negative antibiotic-associated hemorrhagic colitis. Most cases have been reported in France,2-12 followed by Japan13-15 and Austria,16 with 1 case reported in the United States.17Klebsiella organisms are resistant to penicillins and are frequently resistant to ureidopenicillins because of a gene encoding a penicillin-specific β-lactamase, and K oxytoca colitis has been reported to develop a few days after initiation of penicillin therapy16; however, it may also develop after the use of cephalosporins,3 fluoroquinolones,13 or NSAIDs.6
Researchers suggest that a cytotoxin causes K oxytoca colitis. Beaugerie and colleagues4 reported that most Klebsiella strains isolated from patients with colitis produced cytotoxin, whereas Hgenauer and colleagues16 reported that all Klebsiella strains did so.
K oxytoca colitis may be hemorrhagic, with segmental or pancolonic involvement,2,3,16 but it typically spares the rectum.17 The colitis is usually mild to moderate in severity and has been reported to resolve promptly after discontinuation of antibiotic therapy, but in some patients, it may be severe and require treatment.17Case report
A 39-year-old previously healthy Amish woman was admitted to the burn unit after she sustained burns on 56% of the total body surface area. These burns involved the back, arms, abdomen, and thighs, and most were third-degree burns. She was initially treated with silver sulfadiazine cream. Three days later, the upper extremities were surgically excised. Therapy with piperacillin/tazobactam and vancomycin was initiated because the patient had neutropenia (neutrophil count, 3100/µL) and a left shift of 60%.
When the woman was informed that another operation was necessary, she and her family requested an alternative treatment that is commonly used in the Amish community: burdock leaves (which have weak antimicrobial activity) and B & W ointment (which is composed of raw honey and other natural products). Because of concerns about potential Aspergillus infection from unsterilized burdock leaves, voriconazole was added to the treatment regimen.
The patient’s white blood cell (WBC) count was 12,300/µL, with 43% bands. Chest radiographic findings and chemistry panel results were normal. Blood and urine cultures were negative.
Five days after antimicrobial therapy was introduced, the patient reported moderate right-sided abdominal pain and watery diarrhea. Empiric metronidazole therapy was initiated. The next day, the right-sided abdominal pain intensified and bloody diarrhea ensued. Her temperature increased from 37°C (98.6°F) to 39.8°C (103.6°F).
.

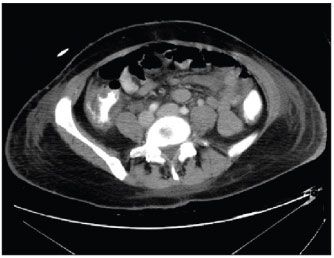
Figure 1 –A CT scan of the abdomen shows colonic wall thickening and stranding of the ascending colon.
The results of a C difficile toxin test of the stool were negative on 3 samples. The WBC count increased to 22,000/µL, with 40% bands. Abdominal and pelvic CT scans showed moderate thickening of the ascending colon with mesenteric stranding and mild thickening of the descending colon (Figure 1). Two sets of blood cultures and a superficial culture from the right thigh demonstrated growth of K oxytoca. Susceptibility testing showed piperacillin and piperacillin/tazobactam resistance. Deep tissue cultures taken the same day from the thighs were negative, and Gram stains did not show any gram-negative rods.
The stool was cultured because C difficile studies for toxin A/B were negative. Pure growth of K oxytoca was shown on direct inoculation of plates (Figure 2). The susceptibility pattern was identical to those of previous blood and skin isolates. The stool culture was negative for other enteric pathogens. The central line (in the right internal jugular vein) was removed the same day, and culture of the line tip was negative.

Figure 2 –Pure growth of Klebsiella oxytoca is seen in this direct culture of feces.
Piperacillin/tazobactam therapy was discontinued, and treatment with meropenem and levofloxacin was initiated. The use of burdock leaves and B & W ointment was stopped. There was defervescence, and the hematochezia resolved in 24 hours. Successive blood cultures showed no growth. During the next few days, the patient’s WBC count normalized and her abdominal pain and diarrhea resolved. Additional stool cultures showed no growth of K oxytoca.
Discussion
Most reported cases of K oxytoca colitis have been mild and have affected young adults who were treated with penicillin derivatives, often as outpatients. Symptoms typically resolved in 3 or 4 days after the discontinuation of antibiotic therapy. Only 2 cases of severe K oxytoca colitis have been described. The cases reported by Tissot and colleagues12 and Chen and colleagues17 appear to be similar to the case described here.
This case is notable because our patient is one of the few patients reported to have K oxytoca hemorrhagic colitis in the United States. Her symptoms began 5 days after initiation of piperacillin/tazobactam therapy. Most likely, she carried K oxytoca in her colon, and the use of penicillin resulted in overgrowth of this piperacillin-resistant pathogenic strain. We have not tested the isolate of K oxytoca for cytotoxin production because of the unavailability of this assay.
We postulate that the source of Klebsiella growth in the thigh burn was a contaminant from the feces, since deep tissue cultures showed no growth; there was no clinical evidence of any other wound infection. The Klebsiella bacteremia and the bloody diarrhea occurred the same day (the blood cultures were negative the previous day). The diagnosis of K oxytoca hemorrhagic colitis was based on the following:
•The symptoms of hemorrhagic diarrhea.
•The negative results for C difficile tests for toxin A/B.
•Right-sided abdominal pain.
•CT demonstration of abnormal thickening of the ascending colon.
•Pure growth of K oxytoca in the stool culture and finding the same organism in the wound, blood, and feces cultures.
•The patient’s rapid clinical response when piperacillin/tazobactam therapy was discontinued and treatment with meropenem and levofloxacin was initiated.
Previous reports have suggested that cultures of colonic biopsy specimens are more sensitive than fecal cultures,3 but other reports suggest that cultures of biopsy specimens are unnecessary.5
This case supports the theory that K oxytoca plays a role in the pathogenesis of some cases of C difficile–negative hemorrhagic colitis. Such colitis may be invasive, may be associated with sepsis, and may require prompt diagnosis and treatment. This diagnosis should be considered in any patient in whom C difficile–negative hemorrhagic colitis develops while he or she is being treated with antibiotics, particularly any of the penicillins.
When an assay becomes commercially available, K oxytoca isolated from patients with colitis should be tested for cytotoxin production. Until then, the diagnosis should be considered when the appropriate clinical presentation is combined with a fecal culture that shows K oxytoca. Whether K oxytoca is regularly found in stool cultures in otherwise healthy persons remains to be determined.16 If K oxytoca is found, colonoscopy with biopsies and culture may be needed to assist with diagnosis.
REFERENCES
1. Bartlett JG. Clinical practice. Antibiotic-associated diarrhea.
N Engl J Med.
2002;346:334-339.
2. Benoit R, Dorval D, Loulergue J, et al. Post-antibiotic diarrheas: role of
Klebsiella oxytoca
[in French with English abstract].
Gastroenterol Clin Biol.
1992;16:860-864.
3. Bellaïche G, Le Pennec MP, Choudat L, et al. Value of rectosigmoidoscopy with bacteriological culture of colonic biopsies in the diagnosis of post-antibiotic hemorrhagic colitis related to
Klebsiella oxytoca
[in French with English abstract].
Gastroenterol Clin Biol.
1997;21:764-767.
4. Beaugerie L, Metz M, Barbut F, et al; Infectious Colitis Study Group.
Klebsiella oxytoca
as an agent of antibiotic-associated hemorrhagic colitis.
Clin Gastroenterol Hepatol.
2003;1:370-376.
5. Barbut F, Beaugerie L, Delas N, et al. Comparative value of colonic biopsy and intraluminal fluid culture for diagnosis of bacterial acute colitis in immunocompetent patients. Infectious Colitis Study Group.
Clin Infect Dis.
1999;29:356-360.
6. Soussi F, Tchirikhtchian K, Ramaholimihaso F, et al. Diclofenac-induced colitis complicated by
Klebsiella oxytoca
infection [in French with English abstract].
Gastroenterol Clin Biol.
2001;25:814-816.
7. David X, Pierrugues R, Michel H. Acute hemorrhagic colitis related to oral administration of cephalosporin [in French].
Gastroenterol Clin Biol.
1991;15:659.
8. Blanchi A, Pariente A. Acute hemorrhagic colitis after ingestion of amoxicillin [in French].
Gastroenterol Clin Biol.
1992;16:1012-1014.
9. Gineston JL, Watine J, Bruna T, et al. Acute hemorrhagic colitis caused by pristinamycin: two cases with association of
Klebsiella oxytoca
and
Clostridium difficile
[in French].
Gastroenterol Clin Biol.
1993;17:773-775.
10. Grando V, Bellaïche G, Le Pennec MP, et al. Ulcerative hemorrhagic proctitis caused by
Klebsiella oxytoca
after treatment with an amoxicillin-clavulanic acid combination [in French].
Gastroenterol Clin Biol.
1994;18:536-537.
11. Fort E, Sevestre C, Cahiez M, et al. Acute hemorrhagic colitis after oral ingestion of synergistin [in French].
Gastroenterol Clin Biol
. 1993;17:231-232.
12. Tissot B, Demy M, Blanchi A, Pillette C. Acute colitis with
Klebsiella oxytoca
septicemia [in French].
Gastroenterol Clin Biol.
2006;30:1108.
13. Koga H, Aoyagi K, Yoshimura R, et al. Can quinolones cause hemorrhagic colitis of late onset? Report of three cases.
Dis Colon Rectum
. 1999;42:1502-1504.
14. Sakurai Y, Tsuchiya H, Ikegami F, et al. Acute right-sided hemorrhagic colitis associated with oral administration of ampicillin.
Dig Dis Sci.
1979;24:910-915.
15. Chida T, Nakaya R, Tsuji M, et al. Intestinal microflora of patients with antibiotic-associated hemorrhagic colitis associated with
Klebsiella oxytoca
and
Clostridium difficile
enterotoxin [in Japanese].
Kansenshogaku Zasshi.
1986;60:608-615.
16. Högenauer C, Langner C, Beubler E, et al.
Klebsiella oxytoca
as a causative organism of antibiotic-associated hemorrhagic colitis.
N Engl J Med.
2006;355:2418-2426.
17. Chen J, Cachay ER, Hunt GC.
Klebsiella oxytoca:
a rare cause of severe infectious colitis: first North American case report.
Gastrointest Endosc.
2004;60:142-145.