This case represents an unusualcomplication of cellulitiscaused by methicillin-resistantStaphylococcus aureus.
This case represents an unusual complication of cellulitis caused by methicillin-resistant Staphylococcus aureus.
A 70-year-old man presented to the emergency department with diffuse abdominal pain that he had had for 2 weeks. Five weeks before presentation, he had finished a 10-day course of cephalexin for cellulitis of the right arm.
The patient's history included prostate cancer with bone metastasis that had been diagnosed 5 years previously. He was treated initially with hormone therapy (leuprolide) alone, with little success. For the past 30 weeks, an experimental chemotherapy regimen of interleukin- 6 antagonist in combination with prednisone (10 mg/d) was added. His medications also included aspirin and zoledronic acid.
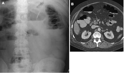
Physical examination revealed no bowel sounds, diffuse abdominal tenderness, blood pressure of 158/102 mm Hg, pulse of 98 beats per minute, temperature of 37°C (98.6°F), and no respiratory distress. An intestinal obstruction series and a CT scan of the abdomen showed an ileus but no obstructing mass (Figure 1).

Figure 1 – An intestinal obstruction series (A) and a CT scan of the abdomen (B) showed an ileus but no obstructing mass.
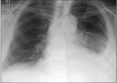
The results of the laboratory workup were significant only for a white blood cell (WBC) count of 17.8 × 103/μL, with 91% neutrophils. Stool samples were negative for Clostridium difficile toxin. A chest radiograph obtained on admission demonstrated a moderate left-sided pleural effusion (Figure 2).

Figure 2 – A chest radiograph obtained on admission demonstrated a moderate left-sided pleural effusion.
The patient was empirically treated with broad-spectrum antibiotics. He was given imipenem/cilastatin and vancomycin intravenously because of his elevated WBC count and his immune status, despite the absence of fever, cough, and dyspnea. He refused to undergo thoracentesis.
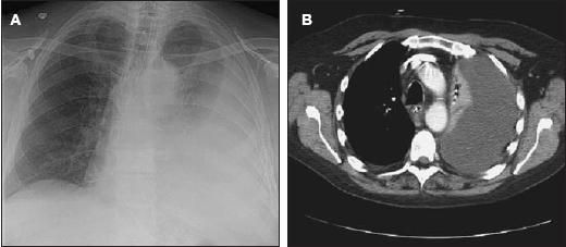
Four days later, the ileus improved with nasogastric tube suction and enemas, but the WBC count increased to 20.5 × 103/μL, with 27% bands. The patient complained of dyspnea, and his oxygen saturation was 92% on room air. A second chest radiograph and a CT scan of the chest demonstrated a large left-sided effusion with left lung collapse (Figure 3).

Figure 3 – A large left-sided effusion with left lung collapse was found on a second chest radiograph (A) and a CT scan of the chest (B).
The patient underwent a left-sided thoracentesis, and 1.5 L of serosanguineous pleural fluid was drained. The fluid was exudative with a pH of 6.97, lactate dehydrogenase level of 1115 U/L, glucose level of 75 mg/dL (serum glucose, 86 mg/dL), and triglyceride level of 79 mg/dL. The Gram stain of pleural fluid showed many Gram-positive cocci, and a culture subsequently grew methicillin-resistant Staphylococcus aureus (MRSA).
A left chest tube thoracostomy was performed for complete drainage of the empyema, and 1.2 L of serosanguineous fluid was drained; the procedure was well tolerated. By the next morning, 50 mL of pleural fluid had drained, and the patient was comfortable and hemodynamically stable. However, acute hemorrhagic shock rapidly developed. Fresh blood was observed to be coming out of the chest tube and rapidly filling the container. The patient experienced cardiac arrest and was asystolic despite resuscitation and rapid infusion of crystalloid solution and packed red blood cells.
An autopsy confirmed the diagnosis of an organized left-sided empyema, adherent to the aorta and left lower lobe of the lung. A large irregular perforation in the thoracic aorta was noted, with extensive necrosis of the vascular wall attributable to the empyema with subsequent hemothorax (Figure 4). The chest tube was in place, and both the tip of the tube and the incision site were not near the aorta. No evidence of pneumonia or malignancy in the chest was noted.

Figure 4 – On autopsy, a large irregular perforation in the thoracic aorta was noted. The extensive necrosis of the vascular wall was attributable to empyema and subsequent hemothorax.
This was a case of community-acquired MRSA (CA-MRSA) cellulitis in an immunocompromised patient. The cellulitis led to bacterial seeding of the pleural space, empyema, and aortic perforation within 1 week of admission.
The patient's presentation with ileus and the development of aortic perforation illustrate the diagnostic challenge and potentially serious complications of empyema. The clinical presentation was atypical, given the absence of fever and pulmonary symptoms, such as pleuritic chest pain, cough, and dyspnea. The atypical presentation, severity of disease, and rapidity of progression may have been related to the patient's immunosuppressed state. The development of pleural empyema and its complications is probably determined by bacterial virulence, host resistance, and late presentation for treatment.
Although the incidence of empyema has declined in the modern antibiotic era, mortality remains high, especially with the emergence of resistant bacteria in the community. The incidence of CA-MRSA infections has increased worldwide. In the United States, USA300 has emerged as the predominant clone that causes superficial and invasive infections. Epidemiological data indicate that USA300 is more virulent than other CA-MRSA strains.1S aureus strains from different geographic regions have different distributions of virulence genes.2
CA-MRSA infections have been associated with more adverse outcomes than community-acquired methicillin-sensitive S aureus (MSSA) infections.3 The most common sites of infection are skin/soft tissue, respiratory tract, and blood. Although skin and soft tissue infections are the most common MRSA infections, invasive manifestations also occur. A limited number of strains that may possess unique virulence or transmissibility factors have accounted for most of these infections.4
Not surprisingly, patients with CA-MRSA infections were more likely to have used antibiotics in the past 6 months, to have been homeless, to have a history of incarceration, to have abused alcohol, and to have a history of MRSA infection.5
CA-MRSA tends to harbor staphylococcal cassette chromosome mec type IV and tends to have different genotypes than the local hospital-acquired MRSA; compared with hospital-acquired MRSA, CA-MRSA is less likely to be multidrug-resistant.6 The MRSA isolate from our patient was susceptible to clindamycin as well as to rifampin, tetracycline, trimethoprim/ sulfamethoxazole, vancomycin, linezolid, and gentamicin. It was resistant to penicillin G, oxacillin, ampicillin/sulbactam, cefazolin, and erythromycin. Clindamycin susceptibility strongly suggests CA-MRSA.
To our knowledge, this is the first case of aortic perforation as a complication of CA-MRSA empyema published in the English literature. In complicated empyema, the inflammatory tissue ruptures through an intercostal space, resulting in a subcutaneous abscess. The most common site of rupture is the anterolateral chest wall. Rupture is commonly associated with bronchopleural fistula formation, but other sites of extension include the abdominal wall, paravertebral space, vertebrae, esophagus, bronchus, mediastinum, diaphragm, pericardium, flank, thigh, breast, and retroperitoneum.7,8 Causes of empyema include Mycobacterium tuberculosis, Streptococcus pneumoniae, MSSA, Streptococcus milleri, Fusobacterium nucleatum, Mycobacterium avium-intracellulare, Burkholderia cepacia, Blastomyces dermatitidis, and lymphoma.7
In patients with empyema, mortality is associated with respiratory failure and sepsis. Mortality rates of 11% to 50% have been reported. The mortality rate is higher in patients who are older and debilitated.
Purulent pericarditis is another serious complication of empyema. It occurs infrequently, requiring a high index of suspicion and early diagnosis and intervention to avoid the high risk of mortality. The early initiation of appropriate antibiotic therapy and adequate drainage along with identification of the infective organism are the mainstays of optimal management.9
In conclusion, the emergence of resistant strains of S aureus in the community leads us to revisit the appropriateness of -lactams as first-line antibiotics in skin and soft tissue infections, especially in immunocompromised patients. Perhaps our patient's outcome would have been different if CA-MRSA had been targeted when his cellulitis was being treated.
REFERENCES
1.
Highlander SK, Hultén KG, Qin X, et al. Subtle genetic changes enhance virulence of methicillin resistant and sensitive
Staphylococcus aureus. BMC Microbiol.
2007;7:99. Available at:
http://www.biomedcentral.com/1471-2180/7/99
. Accessed January 31, 2008.
2.
Campbell SJ, Deshmukh HS, Nelson CL, et al. Genotypic characteristics of
Staphylococcus aureus
isolates from a multinational trial of complicated skin and skin structure infections.
J Clin Microbiol.
2007 Dec 12 [Epub ahead of print].
3.
Davis SL, Perri MB, Donabedian SM, et al. Epidemiology and outcomes of community-associated methicillin-resistant
Staphylococcus aureus
infection.
J Clin Microbiol.
2007;45:1705-1711.
4.
Gorwitz RJ. A review of community-associated methicillin-resistant
Staphylococcus aureus
skin and soft tissue infections.
Pediatr Infect Dis J.
2008;27:1-7.
5.
Skiest DJ, Brown K, Cooper TW, et al. Prospective comparison of methicillin-susceptible and methicillin-resistant communityassociated
Staphylococcus aureus
infections in hospitalized patients.
J Infect.
2007;54:427-434.
6.
Rossney AS, Shore AC, Morgan PM, et al. The emergence and importation of diverse genotypes of methicillin-resistant
Staphylococcus aureus
(MRSA) harboring the Panton-Valentine leukocidin gene (pvl) reveal that pvl is a poor marker for community-acquired MRSA strains in Ireland.
J Clin Microbiol.
2007;45:2554-2563.
7.
Freeman AF, Ben-Ami T, Shulman ST.
Streptococcus pneumoniae
empyema necessitatis.
Pediatr Infect Dis J.
2004;23:177-179.
8.
Dietrich DW, Auld DB, Mermel LA. Community-acquired methicillin-resistant
Staphylococcus aureus
in southern New England children.
Pediatrics.
2004;113:e347-e352.
9.
Yusoff K, H'ng PK, Haron A, Awang Y. Purulent pericarditis.
J HK Coll Cardiol.
1993;1:102-103.