A 34-year-old woman presented to the hospital with low-grade fever, fatigue, dyspnea with minimal exertion, and dry cough. She had emigrated from China 3 years earlier. She had been healthy and had no allergies or food intolerances.
The authors describe a case of acute eosinophilic pneumonia that appeared to be associated with infertility treatment.
A 34-year-old woman presented to the hospital with low-grade fever, fatigue, dyspnea with minimal exertion, and dry cough. She had emigrated from China 3 years earlier. She had been healthy and had no allergies or food intolerances.
Infertility treatment was initiated with ovarian stimulation 6 weeks before the patient presented, and she became pregnant approximately 2 weeks later. At this time, she commenced intramuscular progesterone therapy as part of luteal phase support. This seemed to trigger a febrile response with a temperature of up to 38ºC (100.4ºF), mild constitutional symptoms, and dry cough. Her symptoms diminished over the ensuing few weeks.
Seven days before admission, the patient was instructed by her fertility physician to double the dose of intramuscular progesterone. The next day, she had a temperature of up to 39ºC (102.2ºF), progressive fatigue, asthenia, anorexia, and dyspnea. She was hospitalized with a diagnosis of pneumonia and was treated with ceftriaxone and azithromycin. She continued to receive intramuscular progesterone. Since her condition did not improve, a pulmonary consultation was obtained.
On physical examination, the patient was in mild respiratory distress with a respiration rate of 30 breaths per minute. Examination revealed bilateral end-inspiratory rales. Pulse oximetry showed an oxygen saturation of 82% on room air, and she required 6 L of oxygen per minute via nasal cannula to maintain an oxygen saturation of 92% to 94%.
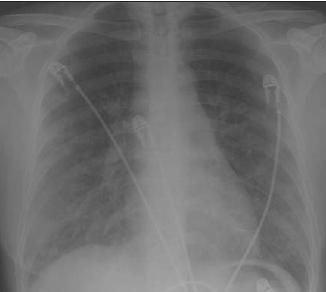
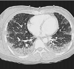
A chest radiograph showed bilateral alveolar infiltrates with peripheral predominance in both lungs (Figure 1). A CT scan of the chest showed extensive alveolitis, with lobular ground-glass opacities and thickening of the interlobular septa (Figure 2). The patient was found to have eosinophilia with an absolute eosinophil count of 750/μL, which amounted to 7% of her peripheral white blood cell count.

Figure 1 – Bilateral alveolar infiltrates with peripheral predominance in both lungs can be seen on the patient's chest radiograph.

Figure 2 – Extensive alveolitis is present on this chest CT scan. Additional findings include lobular ground-glass opacities and thickening of the interlobular septa.
Acute eosinophilic pneumonia related to intramuscular progesterone injections was suspected, and the intramuscular regimen was replaced with high-dose vaginal progesterone. Antibiotic treatment was suspended, and systemic corticosteroid therapy was initiated. The patient received methylprednisolone, 60 mg every 8 hours, for 2 days and was then switched to oral prednisone, 40 mg daily, with decreasing doses for 3 weeks.
Within 4 days, the pulmonary parenchymal infiltrates improved and hypoxemia resolved. Two weeks later, a follow-up radiograph confirmed complete resolution. As of this writing, the patient remains healthy.
This case involved a severe systemic response to intramuscular injection of progesterone. This reaction has been reported previously in the fertility literature.1
Luteal phase support is now a routine part of in vitro fertilization (IVF) treatment. The addition of gonadotropin-releasing hormone agonists has been associated with impairment of the corpus luteum and a relative progesterone deficiency. Luteal phase support has been achieved mainly through human chorionic gonadotropin (hCG) or progesterone. Progesterone has become the agent of choice because of the higher risk of ovarian hyperstimulation syndrome associated with hCG.2
Progesterone can be administered orally, intramuscularly, or vaginally.3 Oral progesterone undergoes significant first-pass hepatic metabolism, leading to a low bioavailability, and it is associated with nausea, flushing, and drowsiness. Furthermore, a meta-analysis of randomized trials indicated a lower efficacy for oral progesterone. 4 Despite some controversy in the implantation rates achieved with intramuscular versus vaginal progesterone,5 the trials to date have demonstrated higher rates of pregnancy and delivery with intramuscular progesterone.
Acute eosinophilic pneumonia is characterized by increased numbers of eosinophils within the lung parenchyma and peripheral blood in conjunction with radiographic abnormalities and gas-exchange impairment.6 It may be idiopathic or related to parasitic infections (Loeffler syndrome), fungal infections, drugs, or toxins.
Our patient did not undergo bronchoscopy with bronchoalveolar lavage or transbronchial biopsy, which could have provided additional confirmatory information. Although pathological confirmation of acute eosinophilic pneumonia was not obtained, a clinical diagnosis was established.
Most patients with acute eosinophilic pneumonia present with an acute febrile illness of less than 7 days' duration, characterized by dry cough, dyspnea, hypoxemia, and alveolar infiltrates on a chest radiograph. Peripheral eosinophilia may be absent at presentation, but it typically develops during the course of the disease. All of these features were present in our patient.
We thought that the patient's clinical course implicated intramuscular progesterone as the cause of her decompensation, and her excellent and prompt response to corticosteroids ruled out the need for further diagnostic testing, particularly considering her gravid state and our reluctance to perform invasive ancillary studies under these circumstances.
The patient's condition improved despite continuation of progesterone via the vaginal route, which suggests a reaction to a constituent of the intramuscular preparation rather than to the progesterone itself. We cannot confirm the nature of the allergen precipitating the eosinophilic reaction, but the constituents of sesame oil or benzyl alcohol may have been the cause. Hypersensitivity reactions to sesame oil have been described, but not in patients presenting with eosinophilic pneumonia.7 An excellent resource on pulmonary toxicities is available online at www.pneumotox.com.8
Luteal phase support is now standard practice in IVF, and progesterone is the recommended compound.9 IVF is being used more frequently because more persons have access to this technology and because older women are seeking pregnancy. More physicians are likely to encounter these types of reactions, which may be severe and lead to significant morbidity in otherwise healthy women.
REFERENCES
1.
Bouckaert Y, Robert F, Englert Y, et al. Acute eosinophilic pneumonia associated with intramuscular administration of progesterone as luteal phase support after IVF: case report.
Hum Reprod.
 2004;19:1806-1810.
2.
McClure N, Leya J, Radwanska E, et al. Luteal phase support and severe ovarian hyperstimulation syndrome.
Hum Reprod.
    1992;7:758-764.
3.
Ludwig M, Diedrich K. Evaluation of an optimal luteal phase support in IVF.
Acta Obstet Gynecol Scand.
 2001;80:452-466.
4.
Pritts EA, Atwood AK. Luteal phase support in infertility treatment: a meta-analysis of the randomized trials.
Hum Reprod.
 2002;    17:2287-2299.
5.
Penzias A. Luteal phase support.
Fertil Steril.
 2002;77:318-323.
6.
Tazelaar H, Linz L, Colby T, et al. Acute eosinophilic pneumonia: histopathologic findings in nine patients.
Am J Respir Crit Care Med.
 1997;155:296-302.
7.
Kanny G, De Hauteclocque C, Moneret- Vautrin D. Sesame seed and sesame oil contain masked allergens of growing importance.
Allergy.
 1996;51:952-957.
8.
The drug-induced lung diseases. Pneumotox online. Available at:
http://www.pneumotox.com
. Accessed February 27,    2008.
9.
Smitz J, Devroey P, Camus M, et al. The luteal phase and early pregnancy after combined GnRH-agonist/HMG treatment for superovulation in IVF or GIFT.
Hum Reprod.
1988;3:585-590.