A 53-year-old woman with metastatic ovarian cancer presented with excessive tearing of the left eye that was associated with redness and swelling.

A 53-year-old woman with metastatic ovarian cancer presented with excessive tearing of the left eye that was associated with redness and swelling. These symptoms had persisted for 1 week before presentation. The patient had received several cycles of carboplatin and docetaxel for treatment of ovarian cancer. Examination revealed mild conjunctival hyperemia and an erythematous, fluctuant, tender swelling just below the medial angle of the left eye (Figure 1).
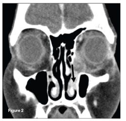
A maxillofacial CT scan with contrast showed left preseptal soft tissue swelling with an opacified left nasolacrimal duct (Figure 2; arrow indicates opacified nasolacrimal duct).
A diagnosis of left-sided dacryocystitis secondary to nasolacrimal duct obstruction was made. A sample of the purulent drainage from the eye swelling grew Pseudomonas aeruginosa. The patient was treated with cefepime, 1 g every 8 hours, followed by outpatient treatment with levofloxacin, 750 mg/d. The infection gradually improved.

The most common aerobic organisms isolated from the lacrimal sacs of adults with dacryocystitis are Staphylococcus epidermidis; Staphylococcus aureus; and Streptococcus, Pseudomonas, and pneumococcal species. Epiphora can occur as an adverse effect of docetaxel therapy, particularly when the drug is given in weekly cycles.1 The symptoms may be secondary to fibrosis of the lacrimal apparatus followed by punctal/canalicular stenosis.
Early silicone intubation in symptomatic patients who are receiving weekly docetaxel may prevent closure of the lacrimal drainage apparatus.2,3 In advanced cases of dacryocystitis associated with docetaxel therapy, histopathological changes may not be reversed despite discontinuation of the drug.3
After the infection subsided in this patient, a left endoscopic dacryocystorhinostomy with Silastic stent insertion and a right-sided Silastic stent was performed as a prophylactic measure because additional chemotherapy with docetaxel was planned.
The case and images were submitted by Teena Chopra, MD, and Pranatharthi H. Chandrasekar, MD, of the division of infectious diseases at Harper Hospital in Detroit.
REFERENCES
  1. 	Esmaeli B, Amin S, Valero V, et al. Prospective study of incidence and severity of epiphora and canalicular stenosis in patients with metastatic breast cancer receiving docetaxel. J Clin Oncol. 2006;24:3619-3622.
  2. 	Esmaeli B, Hortobagyi G, Esteva F, et al. Canalicular stenosis secondary to weekly docetaxel: a potentially preventable side effect. Ann Oncol. 2002;13:218-221.
  3. 	Ahmadi MA, Esmaeli B. Surgical treatment of canalicular stenosis in patients receiving docetaxel weekly. Arch Ophthalmol. 2001;119:1802-1804.