The prevalence of Kaposi sarcoma (KS) in HIV-infected persons in the pre-HAART era has been reported to be as high as 20%. Although AIDS-associated KS has declined by more than 80% since the introduction of highly active antiretroviral regimens, KS remains an important malignancy in the HIV-infected population
The prevalence of Kaposi sarcoma (KS) in HIV-infected persons in the pre-HAART era has been reported to be as high as 20%.1 Although AIDS-associated KS has declined by more than 80% since the introduction of highly active antiretroviral regimens,2 KS remains an important malignancy in the HIV-infected population. AIDS-associated KS development has been associated with coinfection of human herpesvirus 8 (HHV8). HHV8 infection of blood vascular endothelial cells can result in lymphatic reprogramming, leading to the development of KS.3
Cases of KS have also been seen in HIV-negative persons with iatrogenic corticosteroid-induced immunosuppression.4 However, the exact mechanism for the development of KS from corticosteroid therapy remains unclear. There has been a report of 7 HIV-infected patients in whom KS lesions developed after glucocorticoid therapy was given to treat an opportunistic infection.5 Elliott and colleagues6 reported that the use of prednisolone was associated with a significantly higher incidence of KS in HIV-infected patients with pleural tuberculosis. Here we describe the first reported case of a recurrence of KS with iatrogenic Cushing syndrome in an HIV-infected patient receiving an antiretroviral regimen containing ritonavir-boosted atazanavir after fluticasone was added for asthma control.
CASE SUMMARY
A 60-year-old man, whose HIV infection was diagnosed in 1985, began antiretroviral therapy in 2004 with didanosine, tenofovir, and the lopinavir/ritonavir coformulation. After he experienced virological failure, his antiretroviral regimen was switched in April 2005 to tenofovir, emtricitabine, and ritonavir-boosted atazanavir. On this regimen, his HIV RNA level became undetectable. Also, cutaneous KS had been diagnosed in 1991, and the patient was treated with interferon alfa from June 1996 through September 1996. Subsequent treatment with alitretinoin gel 0.1% resulted in stabilization of KS.
Inhaled salmeterol and fluticasone was prescribed for the patient’s asthma in July 2005. In May 2006, the patient noticed the onset of fatigue and weakness, loss of muscle mass in his extremities, increased abdominal girth, and swelling of his face and neck. His CD4+ cell count was 286/µL (9% of total lymphocytes), and his HIV RNA level was below 50 copies/mL. He was initially thought to have an HIV-associated myopathy or hypogonadism, but his creatine kinase level was 107 U/L (normal, 35 to 232), and his testosterone level was 405 ng/dL (normal, 190 to 1037). In November 2006, hypertension (blood pressure of 150/94 mm Hg) developed, and he was found to have multiple small skin nodules on the right knee and calf and both arms. A neurologist diagnosed HIV wasting syndrome, and recombinant growth hormone and nandrolone were prescribed. These medications were discontinued in December 2006 because of drug-related adverse effects.
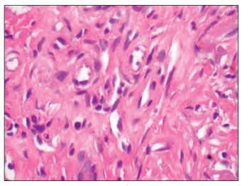
In January 2007, the patient’s CD4+ cell count dropped to 164/µL (7%), but his HIV RNA level remained below 50 copies/mL. His fasting serum insulin level was 7.9 µIU/mL (normal, less than 23). At baseline, cortisol levels were less than 0.4 µg/dL (normal at 8 am, 6.0 to 28.0) and adrenocorticotropin levels were less than 5 pg/mL (normal, 7 to 50). These results were consistent with adrenal insufficiency. He underwent multiple biopsies of the papules, and histopathological results confirmed KS (Figure).

Figure.Cutaneous Kaposi sarcoma resulting from an interaction between fluticasone and ritonavir-boosted atazanavir. Skin biopsy specimen showed subtle appearance of small slit-like vascular spaces in the dermis (hematoxylin-eosin stain, original magnification ×40).
The patient was believed to have Cushing syndrome and adrenal suppression because of the accumulation of an exogenous corticosteroid. Fluticasone was discontinued, and the patient’s antiretroviral regimen remained unchanged. Two weeks after discontinuation of fluticasone, the facial swelling and abdominal distention resolved, and the skin nodules disappeared. His CD4+ cell count increased to 327/µL (9%) while his HIV RNA level remained below 50 copies/mL.
DISCUSSION
KS is an angioproliferative disease and KS co-occurring with HIV infection is associated with HHV8 infection. Infection with HHV8 has also been seen in other AIDS-associated B-cell lymphoproliferative disorders, such as body cavity–based B-cell lymphomas (BCBLs). The incidence of KS has declined markedly in HIV-infected patients since the introduction of effective antiretroviral therapy. AIDS-associated KS can progress to involve visceral organs, such as the lungs, GI tract, and liver, and contributes to the severe morbidity and mortality characteristic of AIDS. The median survival in HIV-infected patients with extensive pulmonary KS has been reported to be 2 to 10 months in the pre-HAART era.7
Corticosteroid therapy has been associated with the induction of KS and with the exacerbation of preexisting KS in HIV-infected persons as well as in HIV-negative patients receiving corticosteroids for organ transplantation, autoimmune disorders, or lymphoproliferative diseases.8,9 Seven cases of KS that developed in HIV-infected patients (all male) treated with corticosteroids in the pre-HAART era have been reported in the literature.5 The male predominance probably reflects the higher prevalence of HHV8 infection among men who have sex with men.10 The CD4 counts were not reported. The dosage of corticosteroids ranged from 40 to 180 mg/d of prednisone and from 5 to 30 mg/d of dexamethasone. All patients had rapid progression of their lesions within 2 weeks of continuous corticosteroid treatment or after 30 days of intermittent use of glucocorticoid therapy. There is information for only 1 patient of the 7 cases with regard to the status of KS lesions after treatment was stopped, and all of the KS lesions of this patient spontaneously resolved within 8 weeks of discontinuation of cytotoxic and corticosteroid therapies.
How corticosteroids affect KS development remains unclear. In vitro, hydrocortisone acts directly on BCBL-1 cells to activate the lytic cycle of HHV8.11 This result suggests HHV8 is activated by the corticosteroid. In contrast, a more recent study has shown that corticosteroids alone were found to be limited in their ability to directly reactivate HHV8 in primary effusion lymphoma cell lines.12 However, this may not be applicable to reactivation events that occur in vivo. A laboratory correlate of the clinical observation of KS activation is the in vitro stimulation of AIDS-associated KS cells by dexamethasone, which significantly stimulated cell proliferation.13 Compared with other well-studied cell lines, AIDS-associated KS cells are reported to contain an unusually high level of glucocorticoid receptor protein, which can be further up-regulated by glucocorticoid treatment. Further study is warranted to support the correlation between corticosteroids and KS development.
The inhalation of corticosteroids by HIV-infected patients treated with regimens containing a protease inhibitor (PI) should be carefully monitored. There have been 15 cases reported in the literature of drug-drug interactions caused by PIs and inhaled corticosteroids that resulted in iatrogenic Cushing syndrome.14 Thirteen of the 15 patients were reported to have used inhaled fluticasone. There has been only 1 report each of a case involving inhaled budesonide and beclomethasone; these agents may cause less adrenal suppression than fluticasone.
Fluticasone is a potent glucocorticoid used in the treatment of asthma and allergic rhinitis. Fluticasone is more potent (approximately 1 mg = 11 mg of prednisone), has a longer half-life (7.8 hours), and has a larger volume of distribution (4.2 L/kg) than other inhaled corticosteroids, such as beclomethasone, budesonide, and triamcinolone. There does not appear to be any significant differences in urinary or plasma cortisol levels among beclomethasone, budesonide, and triamcinolone.15 These results suggest that these agents may cause less adrenal suppression than fluticasone. Fluticasone is metabolized by the cytochrome P-450 3A4 (CYP3A4) enzyme; therefore, inhibition of CYP3A4 has the potential to cause greater systemic exposure to fluticasone. Both ritonavir and atazanavir are potent inhibitors of CYP3A4 enzymes. Alternative treatments, such as long-acting β2-agonists and leukotriene receptor antagonists, should be initially considered. If inhaled corticosteroids are necessary to achieve better asthma control, low-dose and low-potency inhaled corticosteroids, such as triamcinolone and budesonide, should be considered.
In conclusion, this patient experienced an exacerbation of AIDS-associated KS in the setting of iatrogenic Cushing syndrome because of an increase in exogenous corticosteroids from a drug-drug interaction between ritonavir-boosted atazanavir and fluticasone. Clinicians should be aware of this important drug-drug interaction and know that all corticosteroids, even at recommended doses, should be carefully administrated to HIV-infected patients who are being treated with PIs. AIDS-associated KS may return in the setting of high corticosteroid exposure. If long-term administration of an anti-inflammatory agent is required for the control of asthma or allergic rhinitis in HIV-infected patients treated with an antiretroviral regimen containing a PI, then less systemically available topical glucocorticoids or a non-glucocorticoid agent may be preferable to fluticasone.
References1. Beral V, Peterman TA, Berkelman RL, Jaffe HW. Kaposi’s sarcoma among persons with AIDS: a sexually transmitted infection? Lancet. 1990;335:123-128.
2. Engels EA, Pfeiffer RM, Goedert JJ, et al; HIV/ AIDS Cancer Match Study. Trends in cancer risk among people with AIDS in the United States 1980-2002. AIDS. 2006;20:1645-1654.
3. Hong YK, Foreman K, Shin JW, et al. Lymphatic reprogramming of blood vascular endothelium by Kaposi sarcoma-associated herpesvirus. Nat Genet. 2004;36:683-685.
4. Joo M, Soon Lee S, Jin Park H, Shin HS. Iatrogenic Kaposi’s sarcoma following steroid therapy for nonspecific interstitial pneumonia with HHV-8 genotyping. Pathol Res Pract. 2006;202:113-117.
5. Gill PS, Loureiro C, Bernstein-Singer M, et al. Clinical effect of glucocorticoids on Kaposi sarcoma related to the acquired immunodeficiency syndrome (AIDS). Ann Intern Med. 1989;110:937-940.
6. Elliott AM, Luzze H, Quigley MA, et al. A randomized, double-blind, placebo-controlled trial of the use of prednisolone as an adjunct to treatment in HIV-1-associated pleural tuberculosis. J Infect Dis. 2004;190:869-878.
7. Gill PS, Akil B, Colletti P, et al. Pulmonary Kaposi’s sarcoma: clinical findings and results of therapy. Am J Med. 1989;87:57-61.
8. Deschenes I, Dion L, Beauchesne C, de Brum-Fernandes A. Kaposi’s sarcoma following immune suppressive therapy for Wegener’s granulomatosis. J Rheumatol. 2003;30:622-624.
9. Trattner A, Hodak E, David M, Sandbank M. The appearance of Kaposi sarcoma during corticosteroid therapy. Cancer. 1993;72:1779-1783.
10. Engels EA, Atkinson JO, Graubard BI, et al. Risk factors for human herpesvirus 8 infection among adults in the United States and evidence for sexual transmission. J Infect Dis. 2007;196:199-207.
11. Hudnall SD, Rady PL, Tyring SK, Fish JC. Hydrocortisone activation of human herpesvirus 8 viral DNA replication and gene expression in vitro. Transplantation. 1999;67:648-652.
12. Zoeteweij JP, Rinderknecht AS, Davis DA, et al. Minimal reactivation of Kaposi’s sarcoma-associated herpesvirus by corticosteroids in latently infected B cell lines. J Med Virol. 2002;66:378-383.
13. Guo WX, Antakly T. AIDS-related Kaposi’s sarcoma: evidence for direct stimulatory effect of glucocorticoid on cell proliferation. Am J Pathol. 1995;146:727-734.
14. St Germain RM, Yigit S, Wells L, et al. Cushing syndrome and severe adrenal suppression caused by fluticasone and protease inhibitor combination in an HIV-infected adolescent. AIDS Patient Care STDS. 2007;21:373-377.
15. Lipworth BJ. Systemic adverse effects of inhaled corticosteroid therapy: a systematic review and meta-analysis. Arch Intern Med. 1999;159:941-955.