Legionella species are among the leading causes of community-acquired pneumonia (CAP) in the general population, and although rare in patients with HIV infection, Legionella pneumonia is associated with significant morbidity and mortality
Legionella species are among the leading causes of community-acquired pneumonia (CAP) in the general population, and although rare in patients with HIV infection, Legionella pneumonia is associated with significant morbidity and mortality. Because of the nonspecific presentation of patients with Legionella, diagnosis and timely treatment can pose a true clinical challenge.
CASE SUMMARY
S.M., a 43-year-old man with AIDS, was admitted to the hospital with fever and cough. He reported 4 days of fever and malaise, followed by 2 days of cough with scant, blood-streaked sputum. The patient also complained of watery diarrhea.
S.M.’s medical history was significant for HIV-1 infection diagnosed 12 years earlier. He had been treated for Pneumocystis pneumonia (PCP) and Candida esophagitis in 1999 and again in 2005. He suffered from hypertension, chronic renal insufficiency, and dilated cardiomyopathy. In 2006, he sustained an intraventricular hemorrhage as a result of poorly controlled hypertension. Before his presentation, the patient had not been in medical care for approximately 6 months, and he had discontinued all his antiretroviral and antihypertensive medication. His most recent CD4+ cell count was 14/µL and his HIV RNA level was 16,200 copies/mL. He was not a smoker but drank alcohol daily. The only medication he was consistently taking was dapsone for PCP prophylaxis.
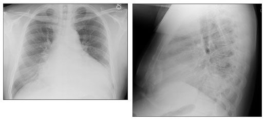
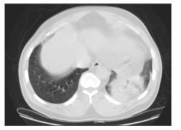
On arrival to the emergency department, S.M. was febrile (temperature, 39.7°C [103.5°F]). He was hemodynamically stable with a room air oxygen saturation of 96%. The physical examination revealed basilar rales on the left with bronchial breath sounds and egophony. The results of the initial laboratory tests included an elevated white blood cell count (14.1 × 109/L, with 86% neutrophils), and hyponatremia (sodium level of 130 mmol/L [normal, 133 - 147]). Results of liver function tests were normal. Chest radiographs and CT scans confirmed a left lower lobe consolidation (Figures 1 and 2). Therapy with piperacillin/tazobactam was started for presumed bacterial pneumonia, and the patient underwent fiberoptic bronchoscopy.

Figure 1. Chest radiographs showing left lower lobe infiltrate. (Images courtesy of the department of radiology, New York-Presbyterian Hospital-Weill Medical College of Cornell University.)

Figure 2.A CT scan of the chest showing left lower lobe consolidation with air bronchograms. (Image courtesy of the department of radiology, New York-Presbyterian Hospital-Weill Medical College of Cornell University.)
On his third hospital day, hypoxia with respiratory failure developed. The patient was intubated and transferred to the ICU. Azithromycin was added because the initial choice of antibiotic regimen did not include appropriate empiric coverage of atypical organisms, and vancomycin was added for possible infection by methicillin-resistant Staphylococcus aureus. Blood and urine culture results remained negative. His sputum and bronchoalveolar lavage fluid were negative for acid-fast bacilli, viral and fungal pathogens, and Pneumocystis jiroveci. Urine antigen testing and direct fluorescent antibody assays of the bronchoalveolar lavage fluid were both negative for Legionella. Gram stain of bronchoalveolar lavage fluid was positive for white blood cells, but no organisms were present. Eventually, the bronchoalveolar lavage culture grew Legionella pneumophila serotype 1. S.M.’s antibiotics were narrowed to levofloxacin, and he completed a 21-day course of therapy. He was extubated on hospital day 8 and was eventually discharged home.
DISCUSSION
Legionnaires disease was first described in 1976 during an outbreak at an American Legion convention in Philadelphia. The term refers to a pneumonia acquired either by aerosol inhalation or microaspiration of water contaminated by L pneumophila,1 and it is the most common clinical manifestation of legionellosis. Pontiac fever is a self-limited syndrome of fever, chills, malaise, and headache without respiratory complaints and represents a milder form of Legionella infection. These facultative, intracellular bacteria can also cause extrapulmonary disease, but it is rare and thought to occur secondary to bacteremia. Myocarditis, pericarditis, sinusitis, cellulitis, septic arthritis, pancreatitis, peritonitis, and pyelonephritis have been described, mainly in immunosuppressed persons.2-4
Since its recognition, Legionella has come to be known as one of the leading causes of CAP in the general population. It is also a cause of nosocomial pneumonia, in both sporadic cases and outbreaks.5,6 Risk factors for disease include smoking, chronic lung disease, and immunosuppression. Those with depressed cell-mediated immunity (eg, transplant recipients and patients receiving corticosteroids) are particularly at risk. It is therefore surprising that the incidence of Legionnaires disease in HIV-positive patients is relatively low, ranging from less than 1% to 8% of pneumonias in retrospective case series.7-9 This lower than expected incidence may be partially due to patients receiving prophylaxis for PCP with trimethoprim/sulfamethoxazole, which has activity against Legionella.7,10 It is also thought that the incidence is underestimated because of inadequate use of diagnostic tests.
In the case reported here, the patient presented with CAP. Clinical manifestations often do not distinguish Legionnaires disease from other forms of pneumonia. Symptoms include fever, cough (typically only slightly productive with sputum, which may be blood-streaked), chest pain, dyspnea, and lethargy. Relative bradycardia may be seen in elderly patients but is nonspecific. As in this case, GI symptoms with diarrhea occur in 20% to 40% of patients.6 Physical examination and radiographic findings are indistinguishable from those found in other forms of pneumonia. All types of radiographic infiltrates have been reported, including cavitary disease in HIV-positive persons.7,11
A set of clinical clues to assist in the challenge of diagnosing Legionnaires disease was proposed in a 2001 review12: presence of GI symptoms (especially diarrhea), neurological findings (especially confusion), temperature above 39°C; (102°F), sputum Gram stain showing many neutrophils but few (if any) microorganisms, hyponatremia, hepatic dysfunction, hematuria, and failure to respond to -lactam and aminoglycoside antibiotics. Adding to the diagnostic challenge is the fact that Legionella may coexist with other pathogens, such as P jiroveci, in persons with HIV/AIDS.7 Specialized laboratory testing is therefore necessary to make the diagnosis of Legionnaires disease, and clinicians need to be familiar with the 4 tests commonly used6:
• Culture of respiratory specimens on charcoal-containing medium (buffered charcoal yeast extract agar) has the highest sensitivity (80%) and specificity (100%), but results may take 3 to 7 days.
• Urinary antigen testing by enzyme immunoassay also has 100% specificity, can be obtained more easily in patients without adequate sputum production, and can yield results within minutes to hours. However, sensitivity varies with disease severity and can be as low as 38% to 48%.13 The major drawback of this method is that it is specific for L pneumophila serogroup 1 only (although more than 90% of cases of Legionnaires disease are caused by this serogroup).
• Direct fluorescent antibody staining is another rapid diagnostic test. Although highly specific, this test also has a low sensitivity, ranging from 33% to 70%.6 Diagnosis may also be made using serological testing.
• Serum antibody tests have become less popular since the advent of the more rapid tests, but they can still be useful if the diagnosis cannot be made by other means. Maximal sensitivity requires a 4-fold rise in antibody titer (both IgG and IgM) in 8 to 12 weeks after the onset of illness.
A polymerase chain reaction assay has not been shown to be more sensitive than a culture and is not recommended for routine use.
The clinical course of Legionnaires disease can be more severe in those who are HIV-positive than in HIV-negative persons and may include recurrent as well as cavitary disease.7,14,15 Pedro-Botet and colleagues15 reported that HIV-positive patients had increased time to apyrexia; increased frequency of complications, including respiratory failure; and increased frequency of bilateral chest involvement on radiography. In another study of HIV-positive patients from the same investigators,16Legionella pneumonia was found to have a more severe presentation as well as higher rates of respiratory failure and mortality than pneumonia caused by Streptococcus pneumoniae.
Considering the nonspecific presentation and poor prognosis of Legionnaires disease, a prompt diagnosis is even more important in the HIV-positive patient. Early initiation of appropriate antibiotics is associated with improved outcome. Current practice guidelines by the Infectious Diseases Society of America and the American Thoracic Society for the treatment of CAP17,18 recommend initiating empirical coverage for atypical organisms, including Legionella. This means treating without waiting for definitive laboratory diagnosis, which depending on the test used may take several days, as in the case of culture, or may suffer from low sensitivity, as do direct fluorescent antibody and urinary antigen tests. This was not done in the case presented here and it proved costly.
Because Legionella is an intracellular pathogen, high intracellular levels of antibiotics are needed to eradicate it. Traditionally, this has meant a macrolide or quinolone, but is one class better than the other? There are no randomized controlled trials to answer this question. In vitro and animal studies have suggested that quinolones are superior.19 Three observational clinical studies20-22 demonstrated similar mortality rates for drugs from both classes, but time to apyrexia and length of hospital stay were significantly shorter for patients treated with levofloxacin than for those treated with a macrolide. It should be noted, however, that the macrolides used in these studies were erythromycin and clarithromycin; azithromycin, which appears to be more active than both erythromycin and clarithromycin, was not evaluated. Parenteral therapy is generally recommended until there is an objective clinical response, followed by oral therapy. The total length of treatment is 10 to 14 days, but in patients who are immunocompromised or have severe disease, as in this case, therapy should be extended to 21 days.
References1. Edelstein PH. Legionnaires’ disease. Clin Infect Dis. 1993;16:741-747.
2. Lowry PW, Tompkins LS. Nosocomial legionellosis: a review of pulmonary and extrapulmonary syndromes. Am J Infect Control. 1993;21:21-27.
3. Bemer P, Leautez S, Ninin E, et al. Legionella pneumophila arthritis: use of medium specific for Mycobacteria for isolation of L. pneumophila in culture of articular fluid specimens. Clin Infect Dis. 2002;35:E6-E7.
4. Nelson DP, Rensimer ER, Raffin TA. Legionella pneumophila pericarditis without pneumonia. Arch Intern Med. 1985;145:926.
5. Fang GD, Fine M, Orloff J, et al. New and emerging etiologies for community-acquired pneumonia with implications for therapy. A prospective multicenter study of 359 cases. Medicine (Baltimore). 1990;69:307-316.
6. Stout JE, Yu VL. Legionellosis. N Engl J Med. 1997;337:682-687.
7. Blatt SP, Dolan MJ, Hendrix CW, Melcher GP. Legionnaires’ disease in human immunodeficiency virus-infected patients: eight cases and review. Clin Infect Dis. 1994;18:227-232.
8. Casau NC. Editorial comment: low prevalence of legionnaires disease in HIV-infected patients. AIDS Reader. 2004;14:269.
9. Murray JF, Felton CP, Garay SM, et al. Pulmonary complications of the acquired immunodeficiency syndrome. Report of a National Heart, Lung, and Blood Institute workshop. N Engl J Med. 1984;310:1682-1688.
10. Le Saux NM, Sekla L, McLeod J, et al. Epidemic of nosocomial Legionnaires’ disease in renal transplant recipients: a case-control and environmental study. CMAJ. 1989;140:1047-1053.
11. Mirich D, Gray R, Hyland R. Legionella lung cavitation. Can Assoc Radiol J. 1990;41:100-102.
12. Mulazimoglu L, Yu VL. Can Legionnaires disease be diagnosed by clinical criteria? A critical review. Chest. 2001;120:1049-1053.
13. Blazquez RM, Espinosa FJ, Martinez-Toldos CM, et al. Sensitivity of urinary antigen test in relation to clinical severity in a large outbreak of Legionella pneumonia in Spain. Eur J Clin Microbiol Infect Dis. 2005;24:488-491.
14. Morley JN, Smith LC, Baltch AL, Smith RP. Recurrent infection due to Legionella pneumophila in a patient with AIDS. Clin Infect Dis. 1994;19:1130-1132.
15. Pedro-Botet ML, Sabria M, Sopena N, et al. Legionnaires disease and HIV infection. Chest. 2003;124:543-547.
16. Pedro-Botet ML, Sopena N, Garcia-Cruz A, et al. Streptococcus pneumoniae and Legionella pneumophila pneumonia in HIV-infected patients. Scand J Infect Dis. 2007;39:122-128.
17. Bartlett JG, Dowell SF, Mandell LA, et al. Practice guidelines for the management of community-acquired pneumonia in adults. Infectious Diseases Society of America. Clin Infect Dis. 2000;31:347-382.
18. Niederman MS, Mandell LA, Anzueto A, et al. Guidelines for the management of adults with community-acquired pneumonia. Diagnosis, assessment of severity, antimicrobial therapy, and prevention. Am J Respir Crit Care Med. 2001;163:1730-1754.
19. Pedro-Botet L, Yu VL. Legionella: macrolides or quinolones? Clin Microbiol Infect. 2006;12(suppl 3):25-30.
20. Blazquez Garrido RM, Espinosa Parra FJ, Alemany Frances L, et al. Antimicrobial chemotherapy for Legionnaires disease: levofloxacin versus macrolides. Clin Infect Dis. 2005;40:800-806.
21. Mykietiuk A, Carratala J, Fernandez-Sabe N, et al. Clinical outcomes for hospitalized patients with Legionella pneumonia in the antigenuria era: the influence of levofloxacin therapy. Clin Infect Dis. 2005;40:794-799.
22. Sabria M, Pedro-Botet ML, Gomez J, et al. Fluoroquinolones vs macrolides in the treatment of Legionnaires disease. Chest. 2005;128:1401-1405.