Primary Bone Marrow Presentation of Epstein-Barr Virus Driven HIV-Associated Hodgkin Lymphoma
A 55-year-old man was admitted after presenting to the hospital emergency department with short-term memory loss and headache and a 1-month history of intermittent fevers, weight loss, and chills.
A 55-year-old man was admitted after presenting to the hospital emergency department with short-term memory loss and headache and a 1-month history of intermittent fevers, weight loss, and chills. He had been HIV-positive for 20 years and had been receiving antiretroviral therapy for the past 5 years. His risk factor for acquiring HIV infection was injection drug use.
On admission, the patient was pancytopenic with a CD4+ cell count of 14/µL and an undetectable (less than 400 copies/mL) plasma HIV RNA level. A complete blood cell count revealed the following: white blood cell count, 3600/µL (normal 3200 to 10,600); hemoglobin level, 8.6 g/dL (normal 14.2 to 17.4); mean corpuscular volume, 85.5 fL (normal 77.8 to 94.0); and platelet count, 64,000/µL (normal 177,000 to 406,000). Physical examination and imaging studies revealed no adenopathy, mediastinal masses, or hepatosplenomegaly.
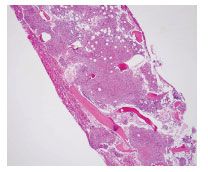
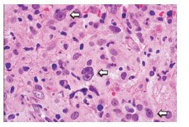
The bone marrow core biopsy specimen and clot sections demonstrated cortical bone, trabeculae of lamellar bone, and cellular marrow. Cellularity was estimated to be 80%. An atypical lymphohistiocytic infiltrate with prominent sclerosis and granulomatous background was evident (Figure 1). Large, atypical Reed-Sternberg cells and Hodgkin cells were readily identified (Figure 2). The myeloid and erythroid elements showed progressive maturation within the scant remaining residual marrow. Megakaryocytes were morphologically normal.

Figure 1.Low-power magnification of the bone marrow core biopsy specimen with prominent areas of granulomatous infiltrations and fibrosis. The atypical infiltration comprises a mixture of lymphocytes, plasma cells, histiocytes, eosinophils, and a variable number of large, atypical cells (hematoxylin-eosin stain, original magnification ×40).

Figure 2. High-power magnification demonstrates large Reed-Sternberg cells (arrows) with a background of reactive cells (hematoxylin-eosin stain, original magnification ×1000).
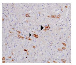
Immunohistochemical stains showed that the large, atypical Reed-Sternberg cells were positive for CD30 (Figure 3), CD15 (subset), and PAX5 (weak) antigens and negative for CD3, CD2, and CD20 antigens. Immuno-staining highlighted an increased number of T cells without an increased number of B cells in the background. In addition, in situ hybridization for Epstein-Barr virus (EBV)-encoded RNA (EBER) was performed and demonstrated strong positive staining in the Reed-Sternberg cells only (Figure 4). Based on the morphology and immunophenotype, the diagnosis of bone marrow involvement by Hodgkin lymphoma was made. Subsequently, the patient was lost to follow-up.

Figure 3.The Reed-Sternberg cells express CD30 (arrows) (CD30 immunostain, original magnification ×1000).

Figure 4.Epstein-Barr virus-infected Reed-Sternberg cells (shown in dark blue) show strong expression of Epstein-Barr virus-encoded RNA in an in situ hybridization study (EBER stain, original magnification ×100).
The incidence of Hodgkin lymphoma is increasing among HIV-infected patients receiving antiretroviral therapy.1 HIV-associated Hodgkin lymphoma frequently presents as lymphadenopathy and secondarily involves bone marrow. Bone marrow involvement is usually recognized at staging after the primary site of lymphoma is established.
Marrow involvement by Hodgkin lymphoma as the primary and exclusive presentation, as seen in this case, is uncommon but has been reported in the literature.2-4 Ponzoni and colleagues3 reported that 6 of 22 patients had the bone marrow as the only site of disease at diagnosis. EBV is found frequently in Reed-Sternberg cells in Hodgkin lymphoma patients with HIV infection who generally present with more advanced-stage Hodgkin lymphoma and often with extranodal disease.5
Based on our case, and on the previously reported cases of primary bone marrow involvement of Hodgkin lymphoma in HIV-infected patients, we think that Hodgkin lymphoma with bone marrow involvement is an underdiagnosed condition in HIV-infected patients. Such cases represent a diagnostic challenge, particularly if typical Reed-Sternberg cells are not identified. Given the short median survival for patients with isolated bone marrow manifestation of Hodgkin lymphoma when compared with the median survival of HIV-infected patients presenting with extramedullary Hodgkin lymphoma (4 vs 15 months, respectively),3 a bone marrow biopsy should be considered in persons with HIV/AIDS with unexplained fever and peripheral blood cytopenias. In addition, awareness of such a diagnosis, even in the absence of nodal and visceral disease involvement, could expedite therapy.
Reported therapeutic regimens include ABVD (doxorubicin, bleomycin, vinblastine, dacarbazine) and hybrid MOPP/ABV (mechlorethamine, vincristine, procarbazine, prednisone/doxorubicin, bleomycin, vinblastine) given with prophylactic granulocyte colony-stimulating factor.6 Recent studies showed that chemotherapy together with antiretroviral therapy is a feasible and effective treatment for HIV-infected patients with Hodgkin lymphoma. These modalities have resulted in high remission rates and satisfactory overall survival rates comparable with results found for Hodgkin lymphoma in HIV-negative persons.6,7
No potential conflict of interest relevant to this article was reported by the authors.
References:
References1. Biggar RJ, Jaffe ES, Goedert JJ, et al. Hodgkin lymphoma and immunodeficiency in persons with HIV/AIDS. Blood. 2006;108:3786-3791.
2. Karcher DS. Clinically unsuspected Hodgkin disease presenting initially in the bone marrow of patients infected with the human immunodeficiency virus. Cancer. 1993;71:1235-1238.
3. Ponzoni M, Fumagalli L, Rossi G, et al. Isolated bone marrow manifestation of HIV-associated Hodgkin lymphoma. Mod Pathol. 2002;15:1273-1278.
4. Gérard L, Oksenhendler E. Hodgkin's lymphoma as a cause of fever of unknown origin in HIV infection. AIDS Patient Care STDs. 2003;17:495-499.
5. Powles T, Bower M. HIV-associated Hodgkin's disease. Int J STD AIDS. 2000;11:492-494.
6. Tanaka PY, Pessoa VP Jr, Pracchia LF, et al. Hodgkin lymphoma among patients infected with HIV in post-HAART era. Clin Lymphoma Myeloma. 2007;7:364-368.
7. Xicoy B, Ribera JM, Miralles P, et al. Results of treatment with doxorubicin, bleomycin, vinblastine and dacarbazine and highly active antiretroviral therapy in advanced stage, human immunodeficiency virus-related Hodgkin's lymphoma. Haematologica. 2007;92:191-198.