Microscopic polyangiitis is a potentially fatal disease if it is notrecognized and treated early. In the case described here, what initiallypresented as a postinfectious residual cough was actuallyactive pulmonary hemorrhage, severe anemia, and a crescenticglomerulonephritis. Significant improvement was achieved withhemodialysis and aggressive treatment with corticosteroids andcyclophosphamide. This case exemplifies a classic presentationof microscopic polyangiitis and demonstrates the importance ofan expeditious diagnostic evaluation and early treatment to preventrapid deterioration. Early recognition and highly aggressiveimmunosuppressive treatment achieved significant suppressionof the disease.
Microscopic polyangiitis is a potentially fatal disease if it is not recognized and treated early. In the case described here, what initially presented as a postinfectious residual cough was actually active pulmonary hemorrhage, severe anemia, and a crescentic glomerulonephritis. Significant improvement was achieved with hemodialysis and aggressive treatment with corticosteroids and cyclophosphamide. This case exemplifies a classic presentation of microscopic polyangiitis and demonstrates the importance of an expeditious diagnostic evaluation and early treatment to prevent rapid deterioration. Early recognition and highly aggressive immunosuppressive treatment achieved significant suppression of the disease.
A 31-year-old man presented to the emergency department with a history of recurrent episodes of hemoptysis for 1 month after an upper respiratory tract infection. Several weeks after the onset of symptoms, he noted fatigue and dyspnea with mild physical exertion. He subsequently noted coffee ground emesis, several episodes of dark stool, and diarrhea.
The patient sought medical evaluation at a clinic, and penicillin was prescribed. He did not take other medications routinely. He reported a history of alcohol use and intermittent cocaine use for 10 years.
On examination, the patient was afebrile and tachycardic (with a heart rate of 105 beats per minute), and his arterial oxygen saturation on room air was 96%. He appeared generally pale. His oropharynx was erythematous with mild tonsillar hypertrophy. Chest auscultation demonstrated decreased breath sounds with bibasilar rales. The findings from heart, abdomen, and neurological examinations were unremarkable. No purpura, lymphadenopathy, joint tenderness, or synovitis was present.
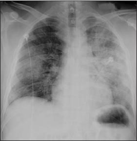
Laboratory test results revealed a normocytic anemia (hemoglobin, 5.8 g/dL; mean corpuscular volume, 91 fL) without eosinophilia, hyperkalemia (potassium, 6.0 mEq/L), and renal insufficiency (blood urea nitrogen, 96 mg/dL; creatinine, 13.6 mg/dL) with an active urinary sediment (protein more than 300 mg/d; red blood cells, 44 per high-power field). A chest radiograph showed diffuse bilateral patchy infiltrates (Figure 1), which were confirmed by a CT scan.

Figure 1 – Diffuse bilateral patchy infiltrates can be seen in this chest radiograph. The patient had presented with hemoptysis, fatigue, and dyspnea after an upper respiratory tract infection.
The patient subsequently underwent bronchoscopy, which showed normal structure and anatomy with old blood near the vocal cords and patchy areas of erythema throughout the bronchial tree (Figure 2). Bronchoalveolar lavage revealed progressively bloody aliquots (Figure 3). Pulmonary function tests showed a carbon monoxide–diffusing capacity of 105% of the predicted value, which is consistent with diffuse pulmonary alveolar hemorrhage.

Figure 2 – Fiberoptic bronchoscopy revealed old blood at the site of the vocal cords (A) and patchy areas of erythema throughout the bronchial tree (B).

Figure 3 – Progressively bloody aliquots were obtained on 3 consecutive bronchoalveolar lavages in the lingula area.
The diagnosis of a small-vessel vasculitis was entertained, and serological tests were ordered. Antinuclear, anti-Smith, anti-RNP, and antistreptolysin antibody titers and complement levels were all normal. The myeloperoxidase (MPO) antineutrophil cytoplasmic antibody (ANCA) level was elevated at 76 IU (normal, less than 10 IU), but tests for proteinase 3 (PR3)-ANCA and anti–glomerular basement membrane (anti-GBM) antibodies were negative.
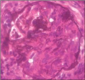
Renal ultrasonography showed normal-sized kidneys (right, 10.4 cm; left, 11.7 cm) without hydronephrosis. A renal biopsy specimen revealed 12 glomeruli with 100% crescents (50% cellular, 50% fibro-cellular), consistent with a crescentic glomerulonephritis (Figure 4). Immunofluorescence studies and electron microscopy did not show significant immune complex basement membrane deposition, linear basement membrane enhancement, or granulomatous inflammation.

Figure 4 – This renal biopsy specimen shows findings consistent with a pauci-immune crescentic glomerulonephritis.
The diagnosis of microscopic polyangiitis was made. The patient's clinical condition improved after initiating treatment with hemodialysis, high-dose corticosteroids, and cyclophosphamide.
Our patient presented with a potentially life-threatening pulmonary-renal syndrome characterized by diffuse pulmonary hemorrhage and a rapidly progressive glomerulonephritis. Typically, patients with a form of ANCA-associated small vessel vasculitis have an estimated 2-year mortality rate of 90% without treatment.1,2 Up to 25% of patients with microscopic polyangiitis die during the first episode of pulmonary hemorrhage.3 Yet, early intervention with high-dose immunosuppressive therapy leads to remission in most patients.1 Therefore, the goal is early recognition through a comprehensive clinical, pathological, and serological examination, followed by immediate empirical treatment.
The differential diagnosis for pulmonary-renal syndrome is unique to a rare subset of vasculitides and immune complex diseases. The most common causes are categorized into 3 main groups, as defined by the 1994 Chapel Hill nomenclature system.4
• Pauci-immune with few or no vascular immune deposits and frequently associated with ANCA: Wegener granulomatosis, microscopic polyangiitis, and Churg-Strauss syndrome.
• Anti-GBM deposits: Goodpasture syndrome.
• Immune complex deposits: a heterogeneous group of diseases such as Henoch-Schnlein purpura, cryoglobulinemia, systemic lupus erythematosus, serum sickness, mesangiocapillary glomerulonephritis, and IgA nephropathy.
Narrowing the differential diagnosis may be challenging because of the significant overlap in clinical and serological results and the relatively low prevalence of these diseases.4,5 ANCA serological testing is frequently useful in the initial evaluation because it is relatively sensitive and specific for ANCA-associated vasculitis.
The 2 types of ANCA serological testing are indirect immunofluorescence on ethanol-fixed neutrophils demonstrating perinuclear (p-ANCA) or cytoplasmic (c-ANCA) reactivity and enzyme-linked immunosorbent assay for antibodies against MPO-ANCA or PR3-ANCA. Concordance between both tests raises the specificity to 99% for microscopic polyangiitis (p-ANCA, MPO-ANCA) and Wegener granulomatosis (c-ANCA, PR3-ANCA).6,7 However, MPO-ANCA or p-ANCA may be positive in 10% to 20% of patients with Wegener granulomatosis, and PR3-ANCA or c-ANCA may be positive in patients with microscopic polyangiitis or Churg-Strauss syndrome.6
In addition, ANCA studies may be completely negative in 10% to 20% of patients who have Wegener granulomatosis or microscopic polyangiitis and in 40% to 50% of patients who have Churg-Strauss syndrome, thereby reducing the overall sensitivity of combined testing to 65% to 75%.6,8,9 Thus, ANCA positivity may distinguish the ANCA-associated vasculitides from other conditions; however, the potential overlap in ANCA serologies encourages a more comprehensive clinical and histopathological investigation to establish a precise diagnosis.
While it is clear that ANCAs are associated with the small-vessel vasculitides, the pathophysiology is still a working hypothesis.1,3,10-17 Animal models have demonstrated that immunization of mice with anti-MPO immunogloblulin induces a systemic vasculitis and glomerulonephritis, which suggests that ANCA plays a direct role in inducing vasculitis.15,18 Studies have also noted rises in ANCA levels with disease reactivation, implying an association between ANCA and vasculitis, although ANCA levels do not consistently correlate with disease activity.13,14,19
Although the exact mechanism is unclear, it is proposed that ANCA interferes with the normal inflammatory and neutrophil apoptotic pathways. Recent evidence suggests that the presence of ANCAs causes neutrophils to undergo apoptosis more readily, thus exposing more PR3-ANCA and MPOANCA targets on their surface and precipitating secondary neutrophil necrosis in the vascular lamina.16,20,21 The release of cytokines, lysozymes, reactive oxygen species, and other proinflammatory mediators continues to recruit more T cells and monocytes, which augments the vascular necrotic process. 1,12,13,16 As the cycle perpetuates, immune complexes are quickly dissolved by neutrophils, thus explaining the minimal amount of immune deposits seen in biopsy specimens.
In the lung, diffuse alveolar hemorrhage results when the necrotizing pulmonary capillaritis compromises the vascular lumen, allowing red blood cells to spill directly into the alveolar spaces.3 Jennette and Falk12 suggested that a concomitant inflammatory process, such as an upper respiratory tract infection, may instigate the pathological ANCA-neutrophil interactions, thereby causing a flare of vascular inflammation and necrosis.
In the kidney, a rapidly progressive glomerular capillaritis causes extra-capillary cell proliferation in the Bowman space, creating crescent-like shapes (crescentic glomerulonephritis).7,11,22 This leads to the development of severe glomerular injury and progressively rapid loss of renal function.10
Serological test results were positive for MPO-ANCA (p-ANCA) in our patient, initially suggesting an ANCA-associated small-vessel vasculitis (microscopic polyangiitis, Wegener granulomatosis, Churg-Strauss syndrome). Considering the Chapel Hill classification for pulmonary-renal syndromes, anti-GBM disease (Goodpasture syndrome) was less likely given the lack of anti-GBM serological results and linear IgG along the GBM; immune complex diseases were less likely with negative rheumatological serological results and no immune complex deposition on the patient's renal biopsy specimen.21
Other clinical clues helped further differentiate between microscopic polyangiitis, Wegener granulomatosis, and Churg-Strauss syndrome. Wegener granulomatosis was less likely given the negative PR3-ANCA (c-ANCA) results; the lack of granulomatous appearance on the renal biopsy specimen; and the absence of characteristic involvement of the ear (otitis media), nose (sinusitis, rhinitis, saddle nose deformity), and mouth (oral ulcers). Churg-Strauss syndrome was considered, but it was ruled out because of the absence of eosinophilia, fibrinoid and granulomatous appearance on the renal biopsy specimen, and asthma or atopic symptoms.23 Thus, after extensive clinical, serological, and histopathological analysis, we made the diagnosis of microscopic polyangiitis.
This nongranulomatous, necrotizing small-vessel vasculitis is often characterized by an active glomerulonephritis (80% to 100% of patients) and pulmonary capillaritis (10% to 30% of patients).3,4 The disease is typically associated with MPO-ANCA (p-ANCA) and a lack of immune deposits on immunofluorescence. Medium-sized vessels may be affected as well.
Microscopic polyangiitis may present as a spectrum of systemic vasculitic symptoms, including fever; anorexia and/or weight loss; malaise; myalgia; arthralgia; and anemia in the absence of an infectious, metabolic, or neoplastic cause.23 In addition to the typical pulmonary and renal involvement, nonspecific inflammatory organ damage may occur in the heart, liver, skin, GI tract, gallbladder, pleura, or peripheral nerves.23
The disease is a dynamic condition with variable clinical features that may evolve.24 In the long term, recurrent episodes of pulmonary hemorrhage may result in obstructive lung disease and pulmonary fibrosis, and progressive renal damage may lead to dependence on hemodialysis.3
Microscopic polyangiitis is uncommon in the United States, with an annual incidence of 3.6 cases per million and a prevalence of about 1 to 3 cases per 100,000.3 The average age at onset is about 50 years, and the disease is more frequently seen in white males.19 Microscopic polyangiitis is more common in southern Europe, while Wegener granulomatosis appears to be more common in northern Europe.25
The cause of microscopic polyangiitis is unclear. However, silica exposure, synergistic infections, and certain drugs (such as propothiouracil, minocycline, and pimagedine) have been shown in case reports to induce the symptoms of microscopic polyangiitis.26
A strong suspicion of microscopic polyangiitis warrants early empirical treatment to prevent the development of further irreversible damage and potentially death in severe cases.7,27 Our patient may have had a poor outcome without early treatment given his pulmonary hemorrhage and advanced renal insufficiency on presentation.27
The standard treatment involves rapid induction with both corticosteroids (oral prednisone, 1 mg/kg/d, or for severe cases, intravenous methylprednisolone, 250 to 1000 mg/d for 3 to 5 days followed by tapering dose) and cyclophosphamide (1.5 to 2 mg/kg/d), which controls the disease in 80% to 90% of patients.3,19,28 Combination therapy is recommended instead of corticosteroids alone because it is associated with a lower frequency of relapse.2
After remission is achieved, prednisone can be tapered slowly (5 mg/wk) until 10 mg/d or 10 mg every other day is given for a total of 12 to 24 months, and maintenance therapy is continued with azathioprine (2 mg/kg/d for 12 months) in place of cyclophosphamide.19 Azathioprine has been proved to be a more effective, safer, and less toxic long-term treatment than continued cyclophosphamide, which poses a risk for infection, hemorrhagic cystitis, transitional cell carcinoma of the bladder, and myelodysplasias.29 Methotrexate also may be effective as maintenance therapy in patients who do not have severe renal impairment (creatinine level less than 2 mg/dL).
Studies of other treatments, including plasma exchange and intravenous immunoglobulin, have shown equivocal results; these treatments may be useful in certain severe cases but are not currently recommended as standard treatment.7 Relapses occur in about 29% of patients, but they are often responsive to the same re-induction and maintenance therapy.2
Microscopic polyangiitis is a potentially fatal disease with severe complications if it is not recognized and treated early. What initially seemed like a postinfectious residual cough in our patient turned out to be active pulmonary hemorrhage, which caused severe anemia and a rapidly progressive crescentic glomerulonephritis. The concurrent pulmonary and renal involvement strongly suggested a pulmonary-renal syndrome, with a unique differential of pauci-immune ANCA-associated vasculitis, anti-GBM disease, or immune complex disease.
Our patient's presentation was typical of microscopic polyangiitis, with serological test results positive for MPO-ANCA (p-ANCA) and a crescentic glomerulonephritis without evidence of immune complex deposition or granulomatous inflammation. It is highly possible that our patient's preceding upper respiratory tract infection acted synergistically with an underlying ANCA-neutrophil inflammatory process, triggering an active systemic vasculitis.
This case demonstrates the importance of an expeditious diagnostic evaluation and early initiation of immunosuppression to prevent rapid deterioration.
REFERENCES
1.
Niles JL, Böttinger EP, Saurina GR, et al. The syndrome of lung hemorrhage and nephritis is usually an ANCA-associated condition.
Arch Intern Med.
1996;156:440-445.
2.
Nachman PH, Hogan SL, Jennette JC, Falk RJ. Treatment response and relapse in antineutrophil cytoplasmic autoantibody-associated microscopic polyangiitis and glomerulonephritis.
J Am Soc Nephrol.
1996;7:33-39.
3.
Schwarz MI, Brown KK. Small vessel vasculitis of the lung.
Thorax.
2000;55:502-510.
4.
Jennette JC, Falk RJ, Andrassy K, et al. Nomenclature of systemic vasculitides. Proposal of an international consensus conference.
Arthritis Rheum.
1994;37:187-192.
5.
Hunder GG, Arend WP, Bloch DA, et al. The American College of Rheumatology 1990 criteria for the classification of vasculitis. Introduction.
Arthritis Rheum.
1990;33:1065-1067.Â
6.
Radice A, Sinico RA. Antineutrophil cytoplasmic antibodies (ANCA).
Autoimmunity.
2005;38:93-103.
7.
Little MA, Pusey CD. Rapidly progressive glomerulonephritis: current and evolving treatment strategies.
J Nephrol.
2004;17(suppl 8):S10-S19.
8.
Hagen EC, Andrassy K, Csernok E, et al. Development and standardization of solid phase assays for the detection of anti-neutrophil cytoplasmic antibodies (ANCA). A report on the second phase of an international cooperative study on the standardization of ANCA assays.
J Immunol Methods.
1996;196:1-15.
9.
Mansi IA, Opran A, Rosner F. ANCA-associated small-vessel vasculitis.
Am Fam Physician.
2002;65:1615-1620.
10.
Haas M, Eustace JA. Immune complex deposits in ANCA-associated crescentic glomerulonephritis: a study of 126 cases.
Kidney Int.
2004;65:2145-2152.
11.
Jennette JC, Thomas DB. Crescentic glomerulonephritis.
Nephrol Dial Transplant.
2001;16(suppl 6):80-82.
12.
Jennette JC, Falk RJ. Pathogenesis of the vascular and glomerular damage in ANCA-positive vasculitis.
Nephrol Dial Transplant.
1998;13(suppl 1):16-20.
13.
van Paassen P, Cohen Tervaert JW, Heeringa P. Mechanisms of vasculitis: how pauci-immune is ANCA-associated renal vasculitis?
Nephron Exp Nephrol.
2007;105:e10-e16.
14.
Tervaert JW, Huitema MG, Hené RJ, et al. Prevention of relapses in Wegener’s granulomatosis by treatment based on antineutrophil cytoplasmic antibody titre.
Lancet.
1990;336:709-711.
15.
Tervaert JW, Heeringa P. Pathophysiology of ANCA-associated vasculitides: are ANCA really pathogenic?
Neth J Med.
2003;61:404- 407.
16.
Kamesh L, Harper L, Savage CO. ANCA-positive vasculitis.
J Am Soc Nephrol.
2002;13:1953-1960.
17.
Jennette JC, Wilkman AS, Falk RJ. Antineutrophil cytoplasmic autoantibody-associated glomerulonephritis and vasculitis.
Am J Pathol.
1989;135:921-930.
18.
Xiao H, Heeringa P, Hu P, et al. Antineutrophil cytoplasmic autoantibodies specific for myeloperoxidase cause glomerulonephritis and vasculitis in mice.
J Clin Invest.
2002;110:955-963.
19.
Farid-Moayer M. Microscopic polyangiitis.
eMedicine.
December 2006.
20.
Song JH, Lee KJ, Lee SW, et al. Fatal pulmonary-renal syndrome manifested with immune complex crescentic glomerulonephritis in a patient with MPO-ANCA seropositivity.
Yonsei Med J.
2001;42:425-430.
21.
Jung C, Karpouzas G, Stringer WW. Dyspnea, hemoptysis, and perihilar infiltrates in a 35-year-old man.
Chest.
2005;127:1437-1441.
22.
Hauer HA, Hagen EC, de Heer E, et al. Glomerulonephritis in the vasculitides: advances in immunopathology.
Curr Opin Rheumatol.
2003;15:17-21.
23.
Venning MC, Quinn A, Broomhead V, Bird AG. Antibodies directed against neutrophils (CANCA and P-ANCA) are of distinct diagnostic value in systemic vasculitis.
Q J Med.
1990;77:1287-1296.
24.
Bosch X. Microscopic polyangiitis (microscopic polyarteritis) with late emergence of generalized Wegener’s granulomatosis.
Ann Rheum Dis.
1999;58:644-647.
25.
Watts RA, Scott DG. Epidemiology of the vasculitides.
Semin Respir Crit Care Med.
2004;25:455-464.
26.
Falk R, Jennette C. ANCA are pathogenic-oh yes they are!
J Am Soc Nephrol.
2002;13:1977-1979.
27.
Booth AD, Almond MK, Burns A, et al. Outcome of ANCA-associated renal vasculitis: a 5-year retrospective study.
Am J Kidney Dis.
2003;41:776-784.
28.
Hoffman GS, Kerr GS, Leavitt RY, et al. Wegener granulomatosis: an analysis of 158 patients.
Ann Intern Med.
1992;116:488-498.
29.
Gaskin G, Pusey C. Long-term outcome after immuno-suppression and plasma exchange for severe vasculitis-associated glomerulonephritis.
J Am Soc Nephrol.
1999;10:101A.
AI-Powered Diabetes Prevention Program Intervention Matches Human Coaching in Landmark Trial
October 27th 2025After 1 year of coaching by the AI app or a DPP-associated coach, reductions in weight and HbA1c and increases in physical activity were equal, an outcome with great promise for scalability.