A 47-year-old man with HIV infection presented with progressive dyspnea and worsening productive cough for the past 3 weeks. He also reported increasingly purulent sputum production. The patient reported being adherent to his antiretroviral regimen, and he had an admission CD4+ cell count of 550/μL. He did not have any previous opportunistic infections, and he denied any drug or tobacco use, recent travel, and ill contacts.
A 47-year-old man with HIV infection presented with progressive dyspnea and worsening productive cough for the past 3 weeks. He also reported increasingly purulent sputum production. The patient reported being adherent to his antiretroviral regimen, and he had an admission CD4+ cell count of 550/μL. He did not have any previous opportunistic infections, and he denied any drug or tobacco use, recent travel, and ill contacts.
Findings from the physical examination were unremarkable with stable vital signs. Lung sounds were clear bilaterally, but the patient was producing purulent sputum.
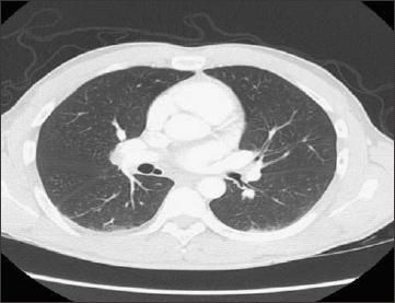
Laboratory values revealed a leukocytosis with a white blood cell count of 17,000/μL and a neutrophil predominance. Other laboratory findings, including toxicology screening results, were normal. A CT scan of the chest was obtained (Figure 1). The patient subsequently underwent bronchoscopy (Figure 2).

Figure 1

Figure 2
What is the likely diagnosis?
ANSWER:
The patient's CT scan showed an anomalous bronchus arising from the medial wall of the bronchus intermedius and descending inferomedially toward the heart. However, no pulmonary parenchyma was seen surrounding the bronchus. Based on its location, this anomaly was identified as an accessory cardiac bronchus.
Fiberoptic bronchoscopy confirmed an accessory bronchus arising from the medial wall of the bronchus intermedius at the level of the right middle lobe entrance. The diameter at the orifice was slightly smaller than that of the right middle lobe bronchus, but because of its tortuosity, no subsegments could be visualized.
The patient was treated with broad-spectrum antibiotics with resolution of his symptoms, and he was later discharged home.
Discussion
It is generally accepted that anatomical variations of the airways are caused by anomalies in the development of the lungs.1 As a result, lung buds grow to an inappropriate number or arise at atypical sites.2,3 Anomalies of bronchial division are common, although most are encountered as incidental findings in asymptomatic adults. They may be isolated anomalies or associated with a variety of other congenital disorders. Anatomical variations involving the upper lobes are the most frequent, whereas an accessory cardiac bronchus is considered one of the most rare tracheobronchial anomalies.
The respiratory system begins at about the 26th day of embryological development as the laryngotracheal groove of the primitive pharyngeal floor. The endodermal lining of the laryngotracheal tube gives rise to the epithelium of the trachea, whereas the cartilage, connective tissue, and muscle develop from the surrounding splanchnic mesenchyme.
A lung bud develops from the caudal end of the laryngotracheal tube and divides into 2 bronchopulmonary buds.4 The left pulmonary bud is slightly smaller than the right one and is directed more laterally such that an aspirated foreign body is more likely to enter the right main bronchus. Two secondary buds arise from the right pulmonary buds, while only one arises from the left. Thus, there are 3 right pulmonary lobes (upper, middle, and lower), but only 2 left pulmonary lobes (upper and lower).
The variations in the patterns of the bronchopulmonary tree arise mainly when the segmental and subsegmental buds are being formed (between the fourth and the sixth week of embryogenesis) and are caused by their appearance at atypical sites on the respiratory tree. Some authors believe that the accessory cardiac bronchus is the persistence of a reminiscent accessory lobe present in most other mammals.5
The differential diagnosis of these anomalies includes an acquired bronchial fistula, traction diverticula, adenoid recess, and mucous strands in the bronchus intermedius, as well as an accessory cardiac bronchus.5,6 Accessory cardiac bronchus was first defined by Brock7 in 1946 as a supernumerary bronchus arising from the inner wall of the right main bronchus or intermediate bronchus opposite the origin of the right upper lobe bronchus and usually before the origin of the superior segmental bronchus of the right lower lobe. It may or may not ventilate an accessory lobe.
The accessory cardiac bronchus has a round orifice and is directed caudally, toward the pericardium. It may be a short, blind-ending structure or a longer, branching bronchus. It is lined by normal bronchial mucosa and has cartilage within its walls, which distinguishes it from an acquired fistula or diverticulum. When connected to an aberrant lobe, it is usually located in the azygoesophageal recess and is demarcated from the normal parenchyma of the right lower lobe by an anomalous fissure.5,8
An accessory cardiac bronchus is not recognizable on plain radiographs but can be demonstrated by CT scanning, bronchoscopy, and bronchography.4,9 The detailed anatomy of this anomaly can be defined clearly by a spiral CT scan of the chest with 3-dimensional reconstruction.9-11 Three-dimensional CT imaging also offers guidance for interventional procedures.12 Fiberoptic bronchoscopy usually demonstrates a narrow orifice with normal-appearing mucosa and cartilaginous walls.
Delay in diagnosis can be avoided by recognizing the characteristic bronchoscopic and CT appearance and acknowledging that cardiac bronchus is a possible cause of hemoptysis and recurrent respiratory infections.
In a review of the literature in 1999, Ghaye and associates4 found 89 cases classified as an accessory cardiac bronchus. Only one similar anomaly was reported on the left side. The overall incidence ranges from 0.08% to 0.5% in the general population, up to 16% among patients with associated major tracheobronchial anomalies.4,8,10,13 There is a male predominance with a ratio of 2.8:1.
Most patients with an accessory cardiac bronchus are asymptomatic, and the diagnosis is based on fiberoptic bronchoscopy or imaging studies obtained for unrelated reasons.5,8 When present, the symptoms are consistent with recurrent pulmonary infections or hemoptysis.5,13-16
It should be noted that the accessory cardiac bronchus is unrelated to the paracardiac bronchus, which is a normal bronchus arising from the medial aspect of the lower lobe in 5% of patients.10 Pulmonologists should also be aware of tracheal bronchus, which is a bronchus that arises from the trachea proximal to the carina. Although anatomically incorrect, the term "tracheal bronchus" has also been used to describe an anomalous bronchus arising from the right or left main bronchus. Most such bronchi arise from the right side, either from the lower trachea within 2 cm of the carina or from the right main bronchus proximal to the origin of the right upper lobe bronchus.
A tracheal bronchus can be of variable length and may aerate a portion or all of the right upper lobe, or it may be a blind-ending pouch. A left-sided tracheal bronchus is less common and often represents an early origin of the apicoposterior left upper lobe bronchus.17
Recognition of normal anatomical variants and their clinical implications is essential, since the bronchial variations may have important consequences for bronchoscopy, brachytherapy, pulmonary resection, and intubation.
REFERENCES
1.
Gonlugur U, Efeoglu T, Kaptanoglu M, Akkurt I. Major anatomical variations of the tracheobronchial tree: bronchoscopic observation.
Anat Sci Int.
2005;80:111-115.
2.
Wier JA. Congenital anomalies of the lung.
Ann Intern Med.
1960;52:330-348.
3.
Venkateswarlu T, Turner CJ, Carter JD, Morrow DH. The tracheal bronchus: an unusual airway problem.
Anesth Analg.
1976;55:746-747.
4.
Ghaye B, Kos X, Dondelinger RF. Accessory cardiac bronchus: 3D CT demonstration in nine cases.
Eur Radiol.
1999;9:45-48.
5.
Béguery P, Denies JL, de Voogd A. Accessory cardiac bronchus. A report on a case and review of the published literature [in French].
J Radiol.
1980;61:69-73.
6.
Mata JM, Cáceres J, Lucaya J, GarcÃa-Conesa JA. CT of congenital malformations of the lung.
Radiographics.
1990;10:651-674.
7.
Brock RC.
The Anatomy of the Bronchial Tree.
Oxford, UK: Oxford University Press; 1946.
8.
McGuinness G, Naidich DP, Garay SM, et al. Accessory cardiac bronchus: CT features and clinical significance.
Radiology.
1993;189:563-566.
9.
Sotile SC, Brady MB, Brogdon BG. Accessory cardiac bronchus: demonstration by computed tomography.
J Comput Tomogr.
1988;12:144-146.
10.
Ghaye B, Szapiro D, Fanchamps JM, Dondelinger RF. Congenital bronchial abnormalities revisited.
Radiographics.
2001;21:105-119.
11.
Zylak CJ, Eyler WR, Spizarny DL, Stone CH. Developmental lung anomalies in the adult: radiologic-pathologic correlation.
Radiographics.
2002;22(special number):S25-S43.
12.
Beigelman C, Howarth NR, Chartrand-Lefebvre C, Grenier P. Congenital anomalies of tracheobronchial branching patterns: spiral CT aspects in adults.
Eur Radiol.
1998;8:79-85.
13.
Daskalakis MK. Middle lobe syndrome due to accessory cardiac bronchus.
South Med J.
1983;76:941-942.
14.
Suzuki M, Hirata S. A case of accessory cardiac bronchus with acute empyema treated by open drainage [in Japanese].
Nihon Kyobu Shikkan Gakkai Zasshi.
1991;29:600-605.
15.
Endo S, Saitoh N, Murayama F, et al. Symptomatic accessory cardiac bronchus.
Ann Thorac Surg.
2000;69:262-264.
16.
Bentala M, Grijm K, van der Zee JH, Kloek JJ. Cardiac bronchus: a rare cause of hemoptysis.
Eur J Cardiothorac Surg.
2002;22:643-645.
17.
Saad CP, Mehta AC. Accessory cardiac bronchus.
J Bronchol.
2002;9:311-312.