
Much has been written about the increase in non–AIDS-defining cancers in HIV-infected persons over the past decade.
Much has been written about the increase in non–AIDS-defining cancers in HIV-infected persons over the past decade.1-8 It is now clear that cancers other than AIDS-defining malignancies (non-Hodgkin lymphoma, Kaposi sarcoma, and cervical cancer) contribute to significant morbidity and mortality in the HIV-infected community. Non–AIDS-defining cancer was identified as the third leading cause of non-HIV-related death in New York City, accounting for 20% of all deaths.1 Although much of the available data is conflicting, non–AIDS-defining cancers likely occur in HIV-infected persons at twice the rate that they occur in the HIV-negative population, even at higher CD4 counts.2-4,9
There has not been a definitive pathophysiological link established between HIV infection (without AIDS) and the development of cancer; however, some experts have hypothesized that deficits in immune surveillance combined with an increased risk of coinfection with oncogenic viruses may lead to this increased risk.10 Even with antiretroviral-associated immune reconstitution and a boost in CD4+ cell count, the risk of non–AIDS-defining cancer remains increased for certain cancers, possibly as a result of ongoing immune activation and depletion of memory T cells, which occur early in the course of HIV infection.1-8 With opportunistic infections and AIDS-associated neoplasms declining in significance as causes of death in HIV-infected persons, can we effect a reduction in non–AIDS-related conditions, including non–AIDS-defining cancer, by modifying our clinical practice?
Despite the success associated with antiretroviral medications, there are downsides to treatment, including the development of drug resistance and drug-related adverse events, which have led to a strategy of deferred therapy until the CD4+ cell count drops below 350/µL.11 It has been commonly accepted that significant adverse consequences of HIV infection only occur when the CD4+ cell count declines to less than 200/µL, when most opportunistic infections are likely to develop.12 However, we have learned from recent studies, such as the Strategies for Management of Anti-Retroviral Therapy (SMART), that there may be other advantages to maintaining treatment at higher CD4+ cell counts (although differences among non–AIDS-defining cancers were not observed in this study).13 Furthermore, there are now newer antiretroviral regimens that have more favorable toxicity and resistance profiles than prior regimens, leading some authors to suggest that initiating antiretroviral therapy at higher CD4+ cell counts may be preferable.14
To date, there have been no prospective longitudinal studies to assess the optimal CD4 count strata at which to initiate therapy (although such a study has been designed and may be carried out in the near future depending on funding considerations). The results of such a study, even if successfully performed, will only be available after many years.
Meanwhile, we are still faced with the question of whether we can improve the lives of our HIV-infected patients by starting antiretroviral therapy earlier. We therefore review what is known about 5 of the most commonly encountered non–AIDS-defining cancers: Hodgkin disease, lung cancer, anal cancer, hepatocellular carcinoma [HCC], and oral cancer. Although we have chosen these specific types of cancer to review in depth, it is known that other types of malignancies, such as penile cancer, testicular cancer, malignant melanoma, and prostate cancer, also occur with a higher frequency in the HIV-infected population.1-9 The goal of this review is to determine whether data exist to support the hypothesis that the earlier initiation of antiretroviral therapy could have an impact on the incidence or outcome of these malignancies, which now play an increased role in morbidity and mortality among HIV-infected patients.
HODGKIN DISEASE
Hodgkin disease is the second most common non–AIDS-defining cancer (after anal cancer) among HIV-positive patients, with a relative risk 8 to 18 times that of the general population.3-5,15-18 Hessol and colleagues16 recently documented a standardized incidence ratio (SIR) of 11.5 for Hodgkin disease among a population of 14,210 adults in San Francisco in whom AIDS was diagnosed between 1990 and 2000. In another study, a national cohort of more than 59,000 HIV-positive patients were compared with patients in the national cancer registry Surveillance Epidemiology and End Results (SEER) to determine the risk of developing both AIDS-related and non–AIDS-related cancers.5 Hodgkin disease was 17.5 times more likely to develop in HIV-positive patients than in the general population.5
Hodgkin disease in HIV-positive (HIV-HD) patients is distinct from Hodgkin disease in HIV-negative patients. The majority of HIV-HD patients have a mixed cellularity or lymphocyte depletion subtype rather than the nodular sclerosis subtype seen in the general population.19,20 Compared with HIV-negative counterparts, HIV-HD patients are more likely to have advanced Hodgkin disease at diagnosis, have systemic B symptoms (eg, fever, sweats, weight loss) (70% to 100% vs 30% to 60%), and have bone marrow dissemination (40% to 50% vs 20%).21-23 Finally, prognosis was much worse for HIV-HD patients in the pre-HAART era. While cure rates for Hodgkin disease of 75% to 80% are expected for the general population,24 significantly lower success rates and higher mortality are seen in HIV-HD patients.19,25 For example, Glaser and colleagues19 demonstrated a 5-year survival rate of 38% among 128 HIV-HD patients compared with a 78% survival rate in patients who had Hodgkin disease patients without HIV in a San Francisco cohort followed from 1988 to 1998.
Similar to non-Hodgkin lymphoma in HIV-positive patients, HIV-HD has been associated with Epstein-Barr virus (EBV); nearly all Hodgkin tumors in HIV-positive patients are EBV-positive.19,26-28 This may also explain the aggressive clinical nature and histological characteristics (mixed cellularity and lymphocyte depletion subtype) seen in HIV-HD patients. It has been shown that HIV-negative patients with EBV-positive, non-nodular sclerosis Hodgkin disease have a more aggressive disease.28 Furthermore, Glaser and colleagues19 also demonstrated that 6 HIV-positive patients with EBV-negative Hodgkin disease had less aggressive disease than 59 HIV-positive patients with EBV-positive Hodgkin disease. EBV-negative patients had fewer B symptoms, had better survival rates (67% vs 30%), and were less likely to have the mixed cellularity subtype of Hodgkin disease. EBV is postulated to induce oncogenesis via the production of an oncoprotein, LMP-1, that is released when the virus infects lymphocytes.26,2
Before the introduction of highly active antiretroviral therapy in 1996, HIV-HD patients had a median survival of 1 to 2 years.29,30 These patients often had CD4+ cell counts above 200/µL, and most did not have a diagnosis of AIDS before the development of Hodgkin disease.21,23,25,30,31 Interestingly, in the HAART era, several studies have demonstrated an increased incidence of HIV-HD.17,18,20,32 Biggar and colleagues20 demonstrated that in HIV-infected persons with a CD4+ cell count in the range of 150/µL to 199/µL, the incidence of Hodgkin disease was significantly higher than in those with counts below 50/µL (53.7 vs 20.7 cases/100,000 person-years; P = .002). This contrasted with the linear increase in non-Hodgkin lymphoma incidence observed with a decreasing CD4 count.20 The authors postulate that in severely immunosuppressed HIV-infected persons, the malignant Hodgkin-Reed-Sternberg (H-RS) cells cannot recruit lymphocytes and histiocytes, both of which produce the proinflammatory cytokines essential for H-RS cell survival. As the CD4 count increases during effective antiretroviral therapy, H-RS cells are able to proliferate again and Hodgkin disease becomes manifest.20
While the incidence of Hodgkin disease seems to have increased in the HAART era, therapeutic outcomes have improved dramatically, particularly in patients treated concomitantly with chemotherapy and antiretroviral therapy.25,33-37 Grard and coworkers37 demonstrated a significant increase in disease-free survival for HIV-HD patients treated in the HAART versus pre-HAART era (78% vs 61%; P = .02). Spina and associates36 prospectively studied 59 HIV-HD patients treated concomitantly with the Stanford V chemotherapy regimen and antiretroviral therapy. Complete remission was achieved in 81% of patients, and the 3-year disease-free survival rate was 68%. Hoffmann and colleagues34 found that HIV-HD patients who responded to antiretroviral therapy (defined as an increase in CD4+ cell count of 100/µL or an HIV RNA level below 500 copies/mL) had an overall survival rate of 89% at 2 years compared with 44% for those who did not respond.
Whether earlier initiation of antiretroviral therapy (ie, at CD4+ cell counts above 350/µL) will prevent Hodgkin disease is currently unclear. The strong association of Hodgkin disease with EBV infection in HIV-positive patients19,26-28 suggests that maintaining higher CD4 counts may suppress the formation of EBV-containing malignant H-RS cells. The SMART study investigators found no cases of Hodgkin disease among 5000 participants.13 This study compared outcomes in HIV-infected patients treated continuously with antiretroviral therapy starting at CD4+ cell counts above 350/µL with outcomes in patients who interrupted therapy until their CD4+ cell counts drifted below 250/µL (CD4 count-guided intermittent therapy group).13 However, this study was discontinued because of an increase in adverse events in the study group that interrupted treatment, and the long-term differences cannot be assessed. Further studies to compare early antiretroviral therapy initiation (ie, when the CD4+ cell count is above 350/µL) with the current standard initiation of antiretroviral therapy (when the CD4+ cell count falls to 350/µL) are necessary to clarify the issue.
LUNG CANCER
Lung cancers commonly occur among smokers, and the rate of smoking is significantly higher in the HIV-positive population than in the general population (57% vs 33%) (Figure 1).38 Not surprisingly, several studies show a higher rate of lung cancer among HIV-positive persons than among the general population.4,17,39 Frisch and colleagues4 found that lung cancer was the most common non–AIDS-related cancer among approximately 302,000 AIDS patients whose disease was diagnosed between 1978 and 1996, with a SIR of 4.5. Patel and colleagues5 calculated an SIR for lung cancer of 1.6 among a large cohort of HIV-positive patients compared with a national cancer registry of the general population. Other studies have demonstrated lung cancer rates that are 2 to 10 times higher in their HIV-positive study populations than in the general population.40-45 Kirk and coworkers43 recently demonstrated that even after adjusting for smoking status, HIV infection was associated with an increased risk of lung cancer (hazard ratio, 3.6).


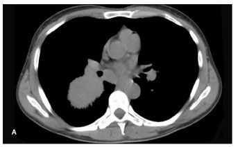
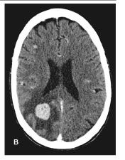
Figure 1. Chest CT scan showing a right infrahilar mass (A) and head CT scan showing brain metastases in a 58-year-old, HIV-infected male smoker in whom small-cell lung cancer was diagnosed.
Compared with their HIV-negative counterparts, HIV-positive patients with lung cancer are younger at diagnosis (45 vs 62 years) and have a worse prognosis, regardless of whether or not they are receiving antiretroviral therapy.46-49 One-year survival rates for HIV-positive patients are about 10%, compared with 40% for HIV-negative patients, and fewer HIV-positive patients than HIV-negative patients are alive after 2 years.46-49 There is no difference in the types of lung cancer diagnosed in HIV-positive patients and those diagnosed in age-matched controls, with non-small-cell cancer being the most common.46
Immune suppression among HIV-positive persons with lung cancer has generally been moderate in both the pre-HAART and the HAART eras. The mean CD4+ cell count in different studies has been approximately 250/µL, and between 25% and 50% of these patients have AIDS.46 Studies of the HAART era have produced mixed results in determining lung cancer rates among HIV-positive patients. In their large US cohort, Patel and colleagues7 saw a significant decline in lung cancer during the HAART era (1997 to 2002) compared with the pre-HAART era (1992 to 1996) (SIR, 0.32). However, 2 studies have shown significant increases in lung cancer rates of 2- and 8-fold during the HAART era.17,39 Both of these studies demonstrated pre-HAART lung cancer rates that were no different from rates in the general population, while the study by Patel showed significantly higher pre-HAART lung cancer rates.7,17,39 At this time, there is no evidence to suggest that in HIV-positive smokers, antiretroviral therapy should be started earlier than currently recommended by national guidelines.11
ANAL CANCER
Just as with cervical and oral cancers, there is an association between anal cancer and human papillomavirus (HPV) types 16 and 18 in HIV-positive persons, particularly men who have sex with men (MSM).50,51 In a recent review of the literature, Pantanowitz and associates52 found that the relative risk of anal cancer among HIV-positive persons compared with HIV-negative persons ranged between 8 and 98 times the relative risk in the pre-HAART era and between 44 and 352 times the relative risk in the HAART era. Frisch and coworkers53 found a relative risk of anal cancer of 6.8 and 37.9 for HIV-infected women and men, respectively, compared with age-matched HIV-negative persons.
Palefsky and colleagues,51 in a study looking for the prevalence of and risk factors for anal intraepithelial neoplasia (AIN) in 357 MSM, found AIN in 81% of patients who underwent high-resolution anoscopy. AIN grade 2 or 3 (high grade) lesions were significantly more likely in patients with CD4+ cell counts lower than 200/µL, and patients receiving antiretroviral therapy were 10 to 12 times more likely to have AIN than patients not receiving antiretroviral therapy.51 Although this study suggests that antiretroviral therapy does not reduce the risk of AIN, the authors concluded that cumulative lifetime immunosuppression may increase the risk of AIN, and this study does not rule out that possibility.51
Pre-HAART studies reveal no association between anal and cervical cancers and CD4 count; however, a correlation clearly exists between lower CD4 counts and progression to AIN grade 2 or 3.54-56 Palefsky and Holly57 have suggested a model to explain this finding whereby immunosuppression is necessary for early changes that produce AIN grades 1, 2, and 3, but once AIN is established, progression to cancer depends on host chromosomal changes. Thus, initiation of antiretroviral therapy after establishment of AIN grades 2 and 3 would be unlikely to lead to regression.57
It is currently not clear what level of immunosuppression (based on CD4 count) increases the risk for AIN. However, one study did show that for HIV-positive women who received antiretroviral therapy after excision of cervical intraepithelial neoplasia (CIN), the rates of persistence and recurrence were significantly lower than the rates for women who did not receive antiretroviral therapy (18% vs 70%).58 A similar prospective study in HIV-positive MSM with AIN would help answer this question.
HEPATOCELLULAR CARCINOMA
Since the beginning of the HAART era in 1996, there has been a noticeable increase in HCC among HIV-infected persons who are coinfected with hepatitis C virus (HCV) or hepatitis B virus (HBV) (Figure 2).59,60 Rosenthal and colleagues,61 in a French survey of causes of liver-related death in HIV-positive persons, demonstrated an increase in liver-related mortality due to HCC from 4.7% in 1995, to 11% in 1997, to 25% in 2001. Several cancer registry studies comparing HIV-positive with HIV-negative persons with malignancies have recently demonstrated a 4- to 30-fold increased risk of HCC among HIV-positive persons.5,6,62 In a large prospective cohort of 63,000 HIV-positive persons throughout the United States, HCC developed in 49 of the patients from 1992 to 2002.5 This was 4.5 times the rate expected in the general population. Galceran and colleagues6 found a 29-fold increase in HCC among a cohort of Spanish HIV-positive persons.

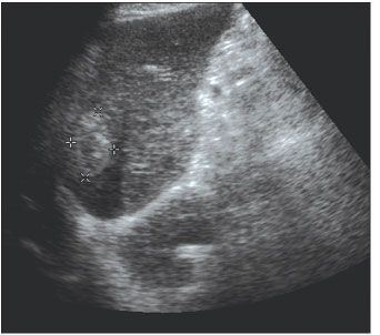
Figure 2. Abdominal ultrasonogram showing a mass (marked area) in the left lobe of the liver in an HIV/hepatitis C virus-coinfected man with hepatocellular carcinoma.
The increased incidence of HCC among HIV-positive persons can be attributed to several factors, including more rapid progression to cirrhosis in HIV-positive persons coinfected with HBV or HCV, increased survival of HIV/HCV- and HIV/ HBV-coinfected persons in the HAART era, and antiretroviral therapy-induced progression of underlying liver disease.61,63-67
Approximately 30% of HIV-positive persons in developed countries are coinfected with HCV,68,69 and 10% are chronic carriers of HBV (hepatitis B surface antigen-positive).70 It is now generally accepted, based on several studies, that in HIV/HCV- and HIV/HBV-coinfected persons, disease progression to cirrhosis and HCC occurs more quickly than in HIV-negative HCV-infected persons.71-78 Beld and colleagues72 demonstrated that HCV RNA levels in 9 HIV/HCV-coinfected patients were significantly higher than those in HIV-negative, HCV-positive patients. Five of the coinfected patients seroconverted to HIV-positive during the study and demonstrated a concomitant increase in HCV RNA levels.72 A recent study by Verma and associates75 demonstrated that disease progressed to cirrhosis significantly more quickly in 85 HIV/HCV-coinfected persons than in 296 HCV-monoinfected persons. HIV-positive patients in whom HCC develops are typically younger (aged 44 vs 64 years) and are HCV-infected for a shorter time (18 vs 28 years) than are HIV-negative patients in whom HCC develops.74,76 Colin and associates78 demonstrated that in HIV/ HBV-coinfected persons, serum HBV DNA levels were higher and there was a significantly higher prevalence of cirrhosis than in HIV-negative persons.
Although there are no randomized studies to compare early with later initiation of antiretroviral therapy in HIV/HCV-coinfected persons, several cohort studies have demonstrated decreased progression of liver disease in HIV/HCV-coinfected patients receiving antiretroviral therapy.79-83 Furthermore, many current and frequently used antiretroviral regimens contain 1 or 2 medications (such as lamivudine, tenofovir, emtricitabine) that are active against HBV. For both HIV/ HBV- and HIV/HCV-coinfected patients, liver-related mortality was highest among those with low CD4 counts.81,82,84 These findings suggest that early initiation of antiretroviral therapy in HIV/HBV- or HIV/HCV-coinfected patients may decrease hepatic damage, slow progression to cirrhosis and, thus, decrease the risk of HCC.
Therefore, it is not clear whether the current recommendation to begin antiretroviral therapy when a person’s CD4+ cell count drops below 350/µL is adequate for this patient population.85 In small studies of HIV-infected patients with HCC, the CD4+ cell counts observed ranged from 37/µL to 681/µL (median, 309/µL).58,74
While treatments exist for both hepatitis B and C, there are limitations to using this approach to decrease the incidence of HCC. The standard regimen for treating hepatitis C, pegylated interferon and ribavirin, has a high side-effect profile, must be administered for 12 months, and has a success rate as low as 20%.86-88 Furthermore, because of physical or social factors, only 3% to 17% of HIV/HCV-coinfected patients are eligible for treatment of hepatitis.89,90 Given the hepatotoxic potential of most antiretrovirals, some experts advocate treating hepatitis C before HIV infection if possible in HIV/HCV-coinfected patients.65,91,92 Effective treatment of hepatitis B necessitates the use of antiretroviral therapy, since treatment with low-dose adefovir or entecavir alone has been shown to place patients at risk for the development of HIV resistance mutations. Therefore, an antiretroviral regimen that includes an NRTI backbone of tenofovir plus emtricitabine or lamivudine has been suggested.93 Although treatment of hepatitis C and B is, of course, desirable, early initiation of antiretroviral therapy to slow liver damage may be equally important and more feasible in most HIV-positive persons. This strategy has recently been suggested by other authors.94
ORAL CANCER
Oral cancers appear to be more common in HIV-positive persons, and there may be an association between oral cancers, particularly tonsillar cancers, and HPV.95,96 We have recently diagnosed oral cancers in 2 HIV-positive persons at our centers (Figure 3) (S.K.C., T.G., J.R., unpublished data, 2007). Both patients had a preceding anal cancer. In 1 patient, metastases to the skin developed; all specimens from this patient were positive for HPV types 16 and 18 by in situ DNA hybridization.

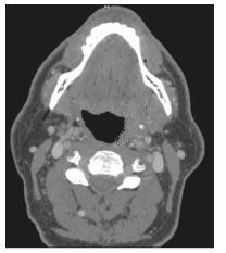
Figure 3. Neck CT scan showing a left tonsillar fossa mass (dashed lines) in a 57-year-old HIV-infected man with invasive squamous cell carcinoma.
Studies comparing cancer incidence in the HIV population with that in the general population have demonstrated a 2- to 3-fold increased incidence of oropharyngeal cancers associated with HIV infection.3-5 HIV-positive persons in whom oral cancers develop are generally younger than HIV-negative persons with oral cancers, and they have a poorer survival rate.97 Singh and colleagues97 compared 24 HIV-positive patients who had oral cancers with 515 HIV-negative oral cancer patients in the pre-HAART era. HIV-positive patients were younger at diagnosis, had more advanced tumor stage, and had a significantly poorer tumor-related survival rate (32% vs 59% at 2 years) than HIV-negative patients.
Recent publications provide evidence establishing a link between HPV infection and oral cancers, particularly tonsillar cancer.98,99 Syrjnen99 recently reviewed the published literature and found that 22% to 51% of oral cancers were positive for HPV DNA. The most prevalent serotypes by far were HPV types 16 and 18, which are also associated with cervical and anal cancers.53 In the general population, persons with HPV-positive oral cancers have a better prognosis than those with HPV-negative oral cancers.100 It is well established that HIV-positive persons are infected with more HPV subtypes than are HIV-negative persons,101 and they are 3 times as likely to have HPV type 16 or 18 isolated from oral mucosa.102
Although very little data exists on the effect of antiretroviral therapy on oral cancers in HIV-positive patients, Patel and colleagues7 have demonstrated a significant decline in oropharyngeal cancers in the HAART era compared with the pre-HAART era (SIR, 0.37). Only 1 study documented CD4+ cell counts in 6 HIV-positive patients with oral cancer, and the median value was 350/µL.97
DISCUSSION
Although there is some conflicting literature, it appears clear that patients infected with HIV are at higher risk for a variety of malignancies regardless of CD4 count, and they demonstrate twice the risk of case-matched, HIV-negative persons in most studies (Table). There are ample data demonstrating that the immunosuppression associated with HIV infection places patients at higher risk for non-Hodgkin lymphoma, Hodgkin disease, Kaposi sarcoma, and cervical cancer. Risk factors other than immunosuppression, such as aging, smoking, and the acquisition of rectal HPV coinfection, play a significant role in increasing the risk in HIV-infected patients. Even at higher CD4 counts, a degree of immunosuppression exists with HIV infection.12 If antiretroviral therapy was initiated sooner, would the effect of antiretroviral therapy decrease the risk of developing non–AIDS-defining cancer or have an effect on its course?

Scant data exist on the protective effects of antiretroviral therapy in non–AIDS-defining cancers, and no prospective studies have been performed. The most supportive study of this concept was performed by Burgi and colleagues2 through a retrospective review of records of HIV-infected persons who had been treated in US military clinics from 1988 to 2003. These researchers evaluated 4144 HIV-infected patients and found 133 had non–AIDS-defining cancers. Predictors for the development of a non–AIDS-defining cancer included longer duration of HIV infection and a history of opportunistic infection. Antiretroviral therapy was demonstrated to be protective. A low nadir CD4+ cell count or one below 200/µL at the time of diagnosis was not associated with increased risk for non–AIDS-defining cancer, suggesting that factors other than CD4+ cell depletion may be playing a role. More than 75% of the patients with non–AIDS-defining cancer who were examined had CD4+ cell counts above 200/µL.2 In addition, patients who were not receiving antiretroviral therapy were at higher risk for a non–AIDS-defining cancer. An increase in HIV RNA level was also associated with increased risk of malignancy.
Bedimo and associates9 reached similar conclusions in a study performed through the VA Health Care System. When they compared 33,420 HIV-infected veterans with 66,840 HIV-negative veterans over a 5- to 6-year period, they found that certain non–AIDS-defining cancers were associated with lower CD4 counts among the HIV-infected persons. The difference in CD4 counts for these 2 groups of veterans was found to be statistically significant for anal cancer (154/µL vs 270/µL; P < .001), Hodgkin disease (217/µL vs 269/µL; P = .03), and non–AIDS-defining cancer overall (249/µL vs 270/µL; P = .02). These data collectively suggest the possibility that by lowering the HIV RNA level and optimizing immune surveillance, the risk of acquiring certain malignancies may be reduced. Clearly, long-term, prospective, randomized controlled trials are needed to confirm such a hypothesis.
The few other studies of non–AIDS-defining cancers have suggested contradictory conclusions. Investigators analyzing data from the Swiss HIV Cohort Study found that the use of antiretroviral therapy had no influence on the incidence of non–AIDS-defining cancer.18 Patients who were identified with lung, lip, mouth, or pharyngeal cancer from this group all had tobacco use as the major risk factor.
A second, large retrospective study compared the incidence of non–AIDS-defining cancer in the pre-HAART and post-HAART eras among HIV-infected persons and the French general population.17 No significant difference was observed in the SIR for non–AIDS-defining cancer (2.36 vs 1.91) during the two periods; however, the study confirmed that the risk of cancer was greater in HIV-infected persons than in the general population. For certain malignancies, such as lung cancer, the SIR increased from 1.13 in the pre-HAART era to 2.12 in the post-HAART era.17 Explanations for this phenomenon, such as advancing age among the HIV-infected population and increased tobacco use, have been suggested.
These 2 studies taken together would suggest that antiretroviral therapy does not have an impact on the incidence of non–AIDS-defining cancer. Neither of these studies, however, analyzed the risk of acquiring non–AIDS-defining cancer according to HIV RNA level or CD4 count.
Other investigators have examined the problem of non–AIDS-defining cancer in different ways. In an Australian study, investigators evaluated the incidence of non–AIDS-defining cancer before and after the development of AIDS.15 They found that in patients who never developed AIDS or who were at least 5 years away from developing AIDS, only the incidence of anal cancer increased. These authors concluded that more significant immunosuppression was necessary for the development of non–AIDS-defining cancer. Unfortunately, the study was significantly underpowered, because only 41 cancers were identified in the non–AIDS group.15
Other studies have come to the opposite conclusion. A large linked population-based study performed in the United States confirmed an overall increased SIR of 2.7 for cancers in HIV-infected patients.4 This study also found that other than Hodgkin disease, lung cancer, and testicular seminoma, most non–AIDS-defining cancers were not strongly associated with the development of immunosuppression. In a slightly different analysis of similar data with stratification of risk for non–AIDS-defining cancer by CD4 count, lower CD4 counts were not associated with increased risk of cancer.10
In a post-hoc analysis of the FIRST study, in which patients were randomized to either a protease inhibitor, an NNRTI, or both, the risk of non–AIDS-defining cancer decreased as the CD4+ cell count increased, with a hazard ratio of 0.8 with univariate analysis.104 Therefore, it appears that the bulk of available data suggests that non–AIDS-defining cancers are not associated with a low CD4 count per se and that other factors in combination with HIV infection, such as coinfection with oncogenic viruses, lifestyle, and advancing age with a degree of decreased immune surveillance, may be more significant.
There are few prospective, randomized, controlled trials that have evaluated the effect of antiretroviral therapy on non–AIDS-defining cancers to date. In the SMART trial, in which patients were randomized to the viral suppression group or the CD4-guided intermittent therapy group, there was no increased incidence of non–AIDS-defining cancer in the intermittent treatment group.13 A trend toward improved mortality from non–AIDS-defining cancer was observed in the viral suppression group. However, in that study, intermittent antiretroviral treatment may have had a somewhat protective effect on the development of malignancy.
In summary, there is a growing concern among the community of physicians treating patients with HIV infection regarding non–AIDS-associated conditions as they become more prominently observed in the post-HAART era. Among these non-opportunistic diseases that are having a significant impact on morbidity and mortality are non–AIDS-associated malignancies.
There is a growing movement to reevaluate the criteria for initiating antiretroviral therapy in light of emerging data. A few of the studies reviewed above suggest that maintaining a higher CD4 count and lower HIV RNA level may have some effect on non–AIDS-defining cancer; however, many other studies do not. Hopefully, the large prospective controlled trials that are now in the pilot phase of development will answer the question of whether antiretroviral therapy initiated at higher CD4 cell counts can reduce the risk of these non–AIDS-associated disease processes, including malignancy. Until that time, clinicians will need to continue to maintain a high index of suspicion for malignancy in HIV-infected persons and continue the screening practices that remain in place as standard of care.
References1. Sackoff JE, Hanna DB, Pfeiffer MR, Torian LV. Causes of death among persons with AIDS in the era of highly active antiretroviral therapy: New York City. Ann Intern Med. 2006;145:397-406.
2. Burgi A, Brodine S, Wegner S, et al. Incidence and risk factors for the occurrence of non-AIDS-defining cancers among human immunodeficiency virus-infected individuals. Cancer. 2005;104:1505-1511.
3. Grulich AE, Wan X, Law MG, et al. Risk of cancer in people with AIDS. AIDS. 1999;13:839-843.
4. Frisch M, Biggar RJ, Engels EA, Goedert JJ; AIDS-Cancer Match Registry Study Group. Association of cancer with AIDS-related immunosuppression in adults. JAMA. 2001;285:1736-1745.
5. Patel P, Hansen D, Novak R, et al. Incidence of AIDS defining and non-AIDS defining malignancies among HIV-infected persons. 13th Conference on Retroviruses and Opportunistic Infections; February 5-8, 2006; Denver. Abstract 803.
6. Galceran J, Marcos-Gragera R, Soler M, et al. Cancer incidence in AIDS patients in Catalonia, Spain. Eur J Cancer. 2007;43:1085-1091.
7. Patel P, Hansen D, Novak R, et al. Declining incidence of cancers among HIV-infected persons in the United States in the HAART era. 14th Conference on Retroviruses and Opportunistic Infections; February 25-28, 2007; Los Angeles. Abstract 873.
8. Herida M, Mary-Krause M, Kaphan R, et al. Incidence of non-AIDS-defining cancers before and during the highly active antiretroviral therapy era in a cohort of human immunodeficiency virus-infected patients. J Clin Oncol. 2003;21:3447-3453.
9. Bedimo RJ, Dunlap M, McGinnis KA, et al. Incidence of non-AIDS-defining malignancies in HIV-infected vs. non-infected veterans in the HAART era: impact of immunosuppression. 47th Interscience Conference on Antimicrobial Agents and Chemotherapy; September 17-20, 2007; Chicago. Abstract H-1721.
10. Palefsky J. Biology of HPV in HIV infection. Adv Dent Res. 2006;19:99-105.
11. Hammer SM, Saag MS, Schechter M, et al. Treatment for adult HIV infection: 2006 recommendations of the International AIDS Society-USA panel. JAMA. 2006;296:827-843.
12. Mellors JW, Muñoz A, Giorgi JV, et al. Plasma viral load and CD4+ lymphocytes as prognostic markers of HIV-1 infection. Ann Intern Med. 1997;126:946-954.
13. Silverberg MJ, Neuhaus J, Bower M, et al. Risk of cancers during interrupted antiretroviral therapy in the SMART study. AIDS. 2007;21:1957-1963.
14. Gallant JE. Should antiretroviral therapy be started earlier? Curr HIV/AIDS Rep.2007;4:53-59.
15. Grulich AE, Li Y, McDonald A, et al. Rates of non-AIDS-defining cancers in people with HIV infection before and after AIDS diagnosis. AIDS. 2002;16:1155-1161.
16. Hessol NA, Pipkin S, Schwarcz S, et al. The impact of highly active antiretroviral therapy on non-AIDS-defining cancers among adults with AIDS. Am J Epidemiol. 2007;165:1143-1153.
17. Herida M, Mary-Krause M, Kaphan R, et al. Incidence of non-AIDS-defining cancers before and during the highly active antiretroviral therapy era in a cohort of human immunodeficiency virus-infected patients. J Clin Oncol. 2003;21:3447-3453.
18. Clifford GM, Polesel J, Rickenbach M, et al. Cancer risk in the Swiss HIV Cohort Study: associations with immunodeficiency, smoking, and highly active antiretroviral therapy. J Natl Cancer Inst. 2005;97:425-432.
19. Glaser SL, Clarke CA, Gulley ML, et al. Population-based patterns of human immunodeficiency virus-related Hodgkin lymphoma in the Greater San Francisco Bay Area, 1988-1998. Cancer. 2003;98:300-309.
20. Biggar RJ, Jaffe ES, Goedert JJ, et al. Hodgkin lymphoma and immunodeficiency in persons with HIV/AIDS. Blood. 2006;108:3786-3791.
21. Levine AM. Hodgkin's disease in the setting of human immunodeficiency virus infection. J Natl Cancer Inst Monogr. 1998;23:37-42.
22. Serrano M, Bellas C, Campo E, et al. Hodgkin's disease in patients with antibodies to human immunodeficiency virus. A study of 22 patients. Cancer. 1990;65:2248-2254.
23. Andrieu JM, Roithmann S, Tourani JM, et al. Hodgkin's disease during HIV1 infection: the French registry experience. French Registry of HIV-Associated Tumors. Ann Oncol. 1993;4:635-641.
24. Klimm B, Schnell R, Diehl V, et al. Current treatment and immunotherapy of Hodgkin’s lymphoma. Haematologica. 2005;90:1680-1692.
25. Vilchez RA, Finch CJ, Jorgensen JL, Butel JS. The clinical epidemiology of Hodgkin lymphoma in HIV-infected patients in the highly active antiretroviral therapy (HAART) era. Medicine (Baltimore). 2003;82:77-81.
26. Dolcetti R, Boiocchi M, Gloghini A, Carbone A. Pathogenetic and histogenetic features of HIV-associated Hodgkin's disease. Eur J Cancer. 2001;37:1276-1287.
27. Boiocchi M, De Re V, Gloghini A, et al. High incidence of monoclonal EBV episomes in Hodgkin's disease and anaplastic large-cell KI-1-positive lymphomas in HIV-1-positive patients. Int J Cancer. 1993;54:53-59.
28. Glaser SL, Lin RJ, Stewart SL, et al. Epstein-Barr virus-associated Hodgkin's disease: epidemiologic characteristics in international data. Int J Cancer. 1997;70:375-382.
29. Cheung MC, Pantanowitz L, Dezube BJ. AIDS-related malignancies: emerging challenges in the era of highly active antiretroviral therapy. Oncologist. 2005;10:412-426.
30. Levine AM, Li P, Cheung T, et al. Chemotherapy consisting of doxorubicin, bleomycin, vinblastine, and dacarbazine with granulocyte-colony-stimulating factor in HIV-infected patients with newly diagnosed Hodgkin's disease: a prospective, multi-institutional AIDS clinical trials group study (ACTG 149). J Acquir Immune Defic Syndr. 2000;24:444-450.
31. Monfardini S, Tirelli U, Vaccher E, et al. Hodgkin’s disease in 63 intravenous drug users infected with human immunodeficiency virus. Gruppo Italiano Cooperativo AIDS & Tumori (GICAT). Ann Oncol. 1991;2(suppl 2):201-205.
32. Engels EA, Pfeiffer RM, Goedert JJ, et al. Trends in cancer risk among people with AIDS in the United States 1980-2002. AIDS. 2006;20:1645-1654.
33. Tanaka PY, Pessoa VP Jr, Pracchia LF, et al. Hodgkin lymphoma among patients infected with HIV in post-HAART era. Clin Lymphoma Myeloma. 2007;7:364-368.
34. Hoffmann C, Chow KU, Wolf E, et al. Strong impact of highly active antiretroviral therapy on survival in patients with human immunodeficiency virus-associated Hodgkin’s disease. Br J Haematol. 2004;125:455-462.
35. Ribera JM, Navarro JT, Oriol A, et al. Prognostic impact of highly active antiretroviral therapy in HIV-related Hodgkin’s disease [published correction appears in AIDS. 2003;17:145]. AIDS. 2002;16:1973-1976.
36. Spina M, Berretta M, Tirelli U. Hodgkin’s disease in HIV. Hematol Oncol Clin North Am. 2003;17:843-858.
37. Gérard L, Galicier L, Boulanger E, et al. Improved survival in HIV-related Hodgkin’s lymphoma since the introduction of highly active antiretroviral therapy. AIDS. 2003;17:81-87.
38. Savès M, Chêne G, Ducimetière P, et al. Risk factors for coronary heart disease in patients treated for human immunodeficiency virus infection compared with the general population. Clin Infect Dis. 2003;37:292-298.
39. Bower M, Powles T, Nelson M, et al. HIV-related lung cancer in the era of highly active antiretroviral therapy. AIDS. 2003;17:371-375.
40. Dal Maso L, Franceschi S, Polesel J, et al. Risk of cancer in persons with AIDS in Italy, 1985-1998. Br J Cancer. 2003;89:94-100.
41. Allardice GM, Hole DJ, Brewster DH, et al. Incidence of malignant neoplasms among HIV-infected persons in Scotland. Br J Cancer. 2003;89:505-507.
42. Burke M, Furman A, Hoffman M, et al. Lung cancer in patients with HIV infection: is it AIDS-related? HIV Med. 2004;5:110-114.
43. Kirk GD, Merlo C, O'Driscoll P, et al. HIV infection is associated with an increased risk for lung cancer, independent of smoking. Clin Infect Dis. 2007;45:103-110.
44. Chaturvedi AK, Pfeiffer RM, Chang L, et al. Elevated risk of lung cancer among people with AIDS. AIDS. 2007;21:207-213.
45. Engels EA, Brock MV, Chen J, et al. Elevated incidence of lung cancer among HIV-infected individuals. J Clin Oncol. 2006;24:1383-1388.
46. Lavolé A, Wislez M, Antoine M. Lung cancer, a new challenge in the HIV-infected population. Lung Cancer. 2006;51:1-11.
47. Tirelli U, Spina M, Sandri S, et al. Lung carcinoma in 36 patients with human immunodeficiency virus infection. The Italian Cooperative Group on AIDS and Tumors. Cancer. 2000;88:563-569.
48. Sridhar KS, Flores MR, Raub WA Jr, Saldana M. Lung cancer in patients with human immunodeficiency virus infection compared with historic control subjects. Chest. 1992;102:1704-1708.
49. Alshafie MT, Donaldson B, Oluwole SF. Human immunodeficiency virus and lung cancer. Br J Surg. 1997;84:1068-1071.
50. Panther LA, Schlecht HP, Dezube BJ. Spectrum of human papillomavirus-related dysplasia and carcinoma of the anus in HIV-infected patients. AIDS Reader. 2005;15:79-91.
51. Palefsky JM, Holly EA, Efirdc JT, et al. Anal intraepithelial neoplasia in the highly active antiretroviral therapy era among HIV-positive men who have sex with men. AIDS. 2005;19:1407-1414.
52. Pantanowitz L, Schlecht HP, Dezube BJ. The growing problem of non-AIDS-defining malignancies in HIV. Curr Opin Oncol. 2006;18:469-478.
53. Frisch M, Biggar RJ, Goedert JJ. Human papillomavirus-associated cancers in patients with human immunodeficiency virus infection and acquired immunodeficiency syndrome. J Natl Cancer Inst. 2000;92:1500-1510.
54. Palefsky JM, Holly EA, Ralston ML, et al. High incidence of anal high-grade squamous intra-epithelial lesions among HIV-positive and HIV-negative homosexual and bisexual men. AIDS. 1998;12:495-503.
55. Rabkin CS. Association of non-acquired immunodeficiency syndrome-defining cancers with human immunodeficiency virus infection. J Natl Cancer Inst Monogr. 1998;23:23-25.
56. Critchlow CW, Surawicz CM, Holmes KK, et al. Prospective study of high grade anal squamous intraepithelial neoplasia in a cohort of homosexual men: influence of HIV infection, immunosuppression and human papillomavirus infection. AIDS. 1995;9:1255-1262.
57. Palefsky JM, Holly EA. Immunosuppression and co-infection with HIV. J Natl Cancer Inst Monogr. 2003;31:41-46.
58. Robinson WR, Hamilton CA, Michaels SH, Kissinger P. Effect of excisional therapy and highly active antiretroviral therapy on cervical intraepithelial neoplasia in women infected with human immunodeficiency virus. Am J Obstet Gynecol. 2001;184:538-543.
59. Giordano TP, Kramer JR, Souchek J, et al. Cirrhosis and hepatocellular carcinoma in HIV-infected veterans with and without the hepatitis C virus: a cohort study, 1992-2001. Arch Intern Med. 2004;164:2349-2354.
60. Puoti M, Bruno R, Soriano V, et al; HIV HCC Cooperative Italian-Spanish Group. Hepatocellular carcinoma in HIV-infected patients: epidemiological features, clinical presentation and outcome. AIDS. 2004;18:2285-2293.
61. Rosenthal E, Poirée M, Pradier C, et al; GERMIVIC Joint Study Group. Mortality due to hepatitis C-related liver disease in HIV-infected patients in France (Mortavic 2001 study). AIDS. 2003;17:1803-1809.
62. Busnach G, Piselli P, Arbustini E, et al. Immunosuppression and cancer: a comparison of risks in recipients of organ transplants and in HIV-positive individuals. Transplant Proc. 2006;38:3533-3535.
63. Eyster ME, Diamondstone LS, Lien JM, et al. Natural history of hepatitis C virus infection in multitransfused hemophiliacs: effect of coinfection with human immunodeficiency virus. The Multicenter Hemophilia Cohort Study. J Acquir Immune Defic Syndr. 1993;6:602-610.
64. Quan CM, Krajden M, Grigoriew GA, Salit IE. Hepatitis C infection in patients infected with the human immunodeficiency virus. Clin Infect Dis. 1993;17:117-119.
65. Soto B, Sánchez-Quijano A, Rodrigo L, et al. Human immunodeficiency virus modifies the natural history of chronic parenterally-acquired hepatitis C with an unusually rapid progression to cirrhosis. J Hepatol. 1997;26:1-5.
66. Ragni MV, Belle SH. Impact of human immunodeficiency virus infection on progression to end-stage liver disease in individuals with hemophilia and hepatitis C virus infection. J Infect Dis. 2001;183:1112-1115.
67. Vento S, Garofano T, Renzini C, et al. Enhancement of hepatitis C replication and liver damage in HIV-coinfected patients on antiretroviral combination therapy. AIDS. 1998;12:116-117.
68. Buffet-Janvresse C, Peigue-Lafeuille H, Benichou J, et al; HIV-HCV Cohort Study Group. HIV and HCV co-infection: Situation at six French university hospitals in the year 2000. J Med Virol. 2003;69:7-17.
69. Thomas D. Hepatitis C and human immunodeficiency virus infection. Hepatology. 2002;36(suppl 1):S201-S209.
70. Thio C, Seaberg E, Skolasky R, et al; Multicenter AIDS Cohort Study. HIV-1, hepatitis B virus, and risk of liver-related mortality in the Multicenter Cohort Study (MACS). Lancet. 2002;360:1921-1926.
71. Brau N. Update on chronic hepatitis C in HIV/HCV-coinfected patients: viral interactions and therapy [published correction appears in AIDS. 2004; 18:135]. AIDS. 2003;17:2279-2290.
72. Beld M, Penning M, Lukashov V, et al. Evidence that both HIV and HIV-induced immunodeficiency enhance HCV replication among HCV seroconverters. Virology. 1998;244:504-512.
73. Benhamou Y, Bochet M, Di Martino V, et al. Liver fibrosis progression in human immunodeficiency virus and hepatitis C virus coinfected patients. The Multivirc Group. Hepatology. 1999;30:1054-1058.
74. Garcia-Samaniego J, Rodriguez M, Berenguer J, et al. Hepatocellular carcinoma in HIV-infected patients with chronic hepatitis C. Am J Gastroenterol. 2001;96:179-183.
75. Verma S, Wang CH, Govindarajan S, et al. Do type and duration of antiretroviral therapy attenuate liver fibrosis in HIV-hepatitis C virus-coinfected patients? Clin Infect Dis. 2006;42:262-270.
76. Engels EA, Frisch M, Lubin JH, et al. Prevalence of hepatitis C virus infection and risk for hepatocellular carcinoma and non-Hodgkin lymphoma in AIDS. J Acquir Immune Defic Syndr. 2002;31:536-541.
77. Tien PC; Veterans Affairs Hepatitis C Resource Center Program; National Hepatitis C Program Office. Management and treatment of hepatitis C virus infection in HIV-infected adults: recommendations from the Veterans Affairs Hepatitis C Resource Center Program and National Hepatitis C Program Office [published correction appears in Am J Gastroenterol. 2005;100:2609]. Am J Gastroenterol. 2005;100:2338-2354.
78. Colin JF, Cazals-Hatem D, Loriot MA, et al. Influence of human immunodeficiency virus infection on chronic hepatitis B in homosexual men. Hepatology. 1999;29:1306-1310.
79. Tural C, Fuster D, Tor J, et al. Time on antiretroviral therapy is a protective factor for liver fibrosis in HIV and hepatitis C virus (HCV) co-infected patients. J Viral Hepat. 2003;10:118-125.
80. Mehta SH, Thomas DL, Torbenson M, et al. The effect of antiretroviral therapy on liver disease among adults with HIV and hepatitis C coinfection. Hepatology. 2005;41:123-131.
81. Brau N, Salvatore M, Rios-Bedoya CF, et al. Slower fibrosis progression in HIV/HCV-coinfected patients with successful HIV suppression using antiretroviral therapy. J Hepatol. 2006;44:47-55.
82. Qurishi N, Kreuzberg C, Luchters G, et al. Effect of antiretroviral therapy on liver-related mortality in patients with HIV and hepatitis C virus coinfection. Lancet. 2003;362:1708-1713.
83. Martin-Carbonero L, Benhamou Y, Puoti M, et al. Incidence and predictors of severe liver fibrosis in human immunodeficiency virus-infected patients with chronic hepatitis C: a European collaborative study. Clin Infect Dis. 2004;38:128-133.
84. Di Martino V, Thevenot T, Colin J, et al. Influence of HIV infection on the response to interferon therapy and the long-term outcome of chronic hepatitis B. Gastroenterology. 2002;123:1812-1822.
85. Department of Health and Human Services: Guidelines for the use of antiretroviral agents in HIV-1-infected adults and adolescents. December 1, 2007. Available at: Accessed December 11, 2007.
86. Torriani FJ, Rodriguez-Torres M, Rockstroh JK, et al; APRICOT Study Group. Peginterferon Alfa-2a plus ribavirin for chronic hepatitis C virus infection in HIV-infected patients. N Engl J Med. 2004;351:438-450.
87. Chung RT, Andersen J, Volberding P, et al; AIDS Clinical Trials Group A5071 Study Team. Peginterferon Alfa-2a plus ribavirin versus interferon alfa-2a plus ribavirin for chronic hepatitis C in HIV-coinfected persons. N Engl J Med. 2004;351:451-459.
88. Soriano V, Puoti M, Sulkowski M, et al. Care of patients with hepatitis C and HIV co-infection. AIDS. 2004;18:1-12.
89. Fleming CA, Craven DE, Thornton D, et al. Hepatitis C virus and human immunodeficiency virus coinfection in an urban population: low eligibility for interferon treatment. Clin Infect Dis. 2003;36:97-100.
90. Shafran SD, Mashinter LD, Lindemulder A, et al. Eligibility of HIV-HCV coinfected adults for HCV treatment [abstract]. Can J Infect Dis. 2004;15:46A. Abstract 268P.
91. Soriano V, Sulkowski M, Bergin C, et al. Care of patients with chronic hepatitis C and HIV co-infection: recommendations from the HIV-HCV International Panel. AIDS. 2002;16:813-828.
92. Palella FJ Jr, Baker RK, Moorman AC, et al; HIV Outpatient Study Investigators. Mortality in the highly active antiretroviral therapy era: changing causes of death and disease in the HIV outpatient study. J Acquir Immune Defic Syndr. 2006;43:27-34.
93. Benhamou Y. Antiretroviral therapy and HIV/hepatitis B virus coinfection. Clin Infect Dis. 2004;38 (suppl 2):S98-S103.
94. Shafran SD. Early initiation of antiretroviral therapy: the current best way to reduce liver-related deaths in HIV/hepatitis C virus-coinfected patients. J Acquir Immune Defic Syndr. 2007;44:551-556.
95. Schwartz SM, Daling JR, Doody DR, et al. Oral cancer risk in relation to sexual history and evidence of human papillomavirus infection. J Natl Cancer Inst. 1998;90:1626-1636.
96. Hafkamp HC, Manni JJ, Speel EJ. Role of human papillomavirus in the development of head and neck squamous cell carcinomas. Acta Otolaryngol. 2004;124:520-526.
97. Singh B, Balwally AN, Shaha AR, et al. Upper aerodigestive tract squamous cell carcinoma: the human immunodeficiency virus connection [published correction appears in Arch Otolaryngol Head Neck Surg. 1996;122:944]. Arch Otolaryngol Head Neck Surg. 1996;122:639-643.
98. Frisch M, Hjalgrim H, Jaeger AB, Biggar RJ. Changing patterns of tonsillar squamous cell carcinoma in the United States. Cancer Causes Control. 2000;11:489-495.
99. Syrjänen S. Human papillomavirus (HPV) in head and neck cancer. J Clin Virol. 2005;32(suppl 1):S59-S66.
100. Ritchie JM, Smith EM, Summersgill KF, et al. Human papillomavirus infection as a prognostic factor in carcinomas of the oral cavity and oropharynx. Int J Cancer. 2003;104:336-344.
101. Kirby TO, Allen ME, Alvarez RD, et al. High-risk human papillomavirus and cervical intraepithelial neoplasia at time of atypical squamous cells of undetermined significance cytologic results in a population with human immunodeficiency virus. J Low Genit Tract Dis. 2004;8:298-303.
102. Kreimer AR, Alberg AJ, Daniel R, et al. Oral human papillomavirus infection in adults is associated with sexual behavior and HIV serostatus. J Infect Dis. 2004;189:686-698.
103. Mbulaiteye SM, Biggar RJ, Goedert JJ, Engels EA. Immune deficiency and risk for malignancy among persons with AIDS. J Acquir Immune Defic Syndr. 2003;32:527-533.
104. Baker J, Baker J, Peng G, et al. HIV-related immune suppression after ART predicts risk of non-opportunistic diseases: results from the FIRST Study. 14th Conference on Retroviruses and Opportunistic Infections; February 25-28, 2007; Los Angeles. Abstract 37.
2 Commerce Drive
Cranbury, NJ 08512