Several reports have documented an increased incidence of smooth muscle tumors in patients with AIDS and in those with other immunocompromised conditions.
Several reports have documented an increased incidence of smooth muscle tumors in patients with AIDS and in those with other immunocompromised conditions.1-3 The literature suggests there is an association between the presence of Epstein-Barr virus (EBV) and these rare tumors.1-4 Smooth muscle tumors occur much less frequently in adults with AIDS than in children with AIDS. We report the case of a 40-year-old HIV-infected Thai woman who presented with right-sided temporal headache, right-sided pleuritic chest pain, low back pain, low-grade fever, and weight loss of 2 kg (4.4 lb) over 3 months.
HIV infection was diagnosed when the patient was 25 years old; her CD4+ cell count was 640/µL (32%). She had a history of disseminated tuberculosis 16 months before presentation at our clinic. Her husband also had been infected with HIV and died of cryptococcal meningitis and tuberculosis. She has been treated with an antiretroviral regimen of stavudine, lamivudine, and nevirapine for 11 months before this presentation; her CD4+ cell count was 8/µL at the start of therapy.
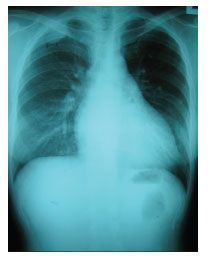
Physical examination revealed right sixth cranial nerve palsy with mild spastic paraparesis. Her CD4+ cell count now was 50/µL, and her plasma HIV RNA level was below 50 copies/mL. A chest radiograph showed an extrapleural mass at the apical area of the right lung (Figure 1). A CT scan of the brain showed an enhancing extradural mass about 4 cm in diameter at the medial part of the right tentorium cerebelli, with erosion of the petrous apex and extension into the right optic canal and prepontine cisterns, encasing the right carotid (cavernous portion) artery (Figure 2). In addition, another extradural mass at the left cavernous sinus extending into the left optic canal and orbital apex was noted. A T1-weighted MRI scan of the spinal cord showed 2 enhancing extradural hypointense lesions about 3 cm and 1 cm in diameter at the right neural foramina of L3 and S1, respectively (Figure 3).

Figure 1.A chest radiograph showed an extrapleural mass at the apical area of right lung.

Figure 2. A cranial CT scan revealed an enhancing extradural mass about 4 cm in diameter at the medial part of the right tentorium cerebelli, with erosion of the petrous apex and extension into right optic canal and prepontine cisterns, encasing the right carotid (cavernous portion) artery.

Figure 3.A T1-weighted MRI scan of the spinal cord showed 2 enhancing extradural hypointense lesions approximately 3 cm and 1 cm in diameter at the right neural foramina of L3 and S1, respectively.
Surgery for partial removal of the brain tumor and complete removal of the spinal cord tumor was performed. Histopathological examination of biopsy specimens from both tumors indicated they were smooth muscle tumors. The tumors showed interlacing fascicles of plump spindle cells. The nuclei were mildly to moderately pleomorphic. A hemangiopericytic pattern with dilated and branching capillaries was also observed focally. The maximum number of mitoses within a high-power (×10) field varied from 8 to 12. The tumor cells were immunoreactive with smooth muscle actin, and some demonstrated a focal reactivity with desmin. In addition, these tumor cells revealed strong nuclear staining on Epstein-Barr virus-encoded RNA-1 hybridization. The patient’s plasma specimen was negative for EBV using real-time quantitative polymerase chain reaction (PCR) analysis. The patient was doing well at 3-month follow-up, when she was seen for the last time.
The association of smooth muscle tumors and EBV was first reported in 1993,4 and several cases were subsequently described.1-3 We recently described the largest case series, providing additional evidence of association of smooth muscle tumors with EBV in patients with AIDS.1 In contrast to previous reports describing a unifocal smooth muscle tumor in non-HIV-infected patients that mostly involved the genitourinary or GI tract, smooth muscle tumors in patients with AIDS are usually multifocal and mostly involve the CNS (both the brain and spinal cord) as illustrated in this case. In addition, all smooth muscle tumors occurred in adults, except for 1 in a pediatric patient.
We found evidence of EBV infection in all smooth muscle tumors on the basis of positive result on in situ hybridization for EBV. However, real-time quantitative PCR analysis for EBV in plasma specimens is not highly sensitive and does not appear to be a useful diagnostic tool for EBV-associated smooth muscle tumors in persons with AIDS.1 This is in contrast to the high sensitivity (96%) of this test in the diagnosis of nasopharyngeal carcinoma, another EBV-associated tumor.5
Effective therapy for smooth muscle tumors has not yet been found. The prognosis of a smooth muscle tumor depends on location, size, and mitotic activity. For persons with AIDS who have EBV-associated smooth muscle tumors, improving the immune status might improve the outcome. Our series suggests that complete surgical removal of the tumor with accompanying highly active antiretroviral therapy will induce complete remission in most patients.1
References1. Suankratay C, Shuangshoti S, Mutirangura A, et al. Epstein-Barr virus infection-associated smooth-muscle tumors in patients with AIDS. Clin Infect Dis. 2005;40:1521-1528.
2. Lee ES, Locker J, Nalesnik M, et al. The association of Epstein-Barr virus with smooth-muscle tumors occurring after organ transplantation. N Engl J Med. 1995;332:19-25.
3. McClain KL, Leach CT, Jenson HB, et al. Association of Epstein-Barr virus with leiomyosarcomas in children with AIDS. N Engl J Med. 1995;332:12-18.
4. Lee ES, Dickman P, Jaffe R, et al. Post-transplant spindle cell tumor (PTST): an entity associated with Epstein-Barr virus. Mod Pathol. 1993;6:127A. Abstract.
5. Lin JC, Wang WY, Chen KY, et al. Quantification of plasma Epstein-Barr virus DNA in patients with advanced nasopharyngeal carcinoma. N Engl J Med. 2004;350:2461-2470.