A49-year-old woman was referred to the emergency department by her primary medical provider for complaints of 3 weeks of cough, pleuritic chest pain, fever, and night sweats. The patient reportedanorexia and weight loss of 9 kg (20 lb) during the past 4 months.
A 49-year-old woman was referred to the emergency department by her primary medical provider for complaints of 3 weeks of cough, pleuritic chest pain, fever, and night sweats. The patient reported anorexia and weight loss of 9 kg (20 lb) during the past 4 months. Intravenous ceftriaxone had been administered the day before by her doctor for a presumptive diagnosis of pneumonia. The woman was born in South Korea and had lived in the United States for more than 25 years. Her medical history was significant for pulmonary tuberculosis (TB), diagnosed approximately 20 years ago and treated for 6 months with several medications. She was divorced and lived with her teenaged son.
At presentation, the patient appeared chronically ill, with a temperature of 40°C (104°F); blood pressure, 105/70 mm Hg; pulse rate, 112 beats per minute; respiratory rate, 16 breaths per minute; and oxygenation, 99%. Examination results were significant for oral thrush and mild anterior cervical lymph node enlargement. Her cardiopulmonary examination results were unremarkable.
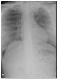
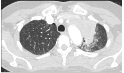
Laboratory analysis revealed a white blood cell count of 3400/µL, with 80% neutrophils and 12% lymphocytes; a hematocrit of 28% with normal platelet count; albumin, 2.9 g/dL; and serum protein, 7.7 g/dL. A chest radiograph revealed a left upper lobe infiltrate (Figure 1). A chest CT scan further characterized this apical infiltrate as a mass-like consolidation with associated lymphadenopathy (Figure 2).

Figure 1.Chest radiograph showing a left apical mass-like opacity. (Illustration courtesy of the department of radiology, New York Presbyterian Hospital–Weill Medical College, Cornell University, New York.)

Figure 2.CT scan with contrast showing mass-like consolidation at the anterior aspect of the left lung apex, with central areas of low attenuation consistent with necrosis. Contiguous with this mass-like consolidation is confluent lymphadenopathy in the aorticopulmonary window (not pictured). There are also innumerable subcentimeter low-attenuation lesions throughout the spleen, which are of indeterminate etiology (not pictured). (Illustration courtesy of the department of radiology, New York Presbyterian Hospital–Weill Medical College of Cornell University, New York.)
Ceftriaxone and azithromycin were started empirically for bacterial pneumonia, and the patient was placed in respiratory isolation. Sputum samples revealed few white blood cells on Gram stain, and smears were negative for acid-fast bacilli (AFB). On hospital day 2, a fiberoptic bronchoscopy and transbronchial biopsy were performed, the results of which, including smears for AFB, were negative.
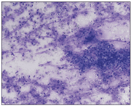
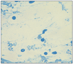
On hospital day 6, a CT-guided lung aspiration with cytopathology revealed necrotizing pneumonia with acid-fast organisms (Figures 3 and 4). At that time, the sputum and bronchial washings began growing AFB in the broth media, and a subsequent molecular probe examination confirmed Mycobacterium tuberculosis. Four-drug anti-TB therapy consisting of isoniazid (INH), rifampin, pyrazinamide (PZA), and ethambutol (EMB) along with vitamin B6 was begun.

Figure 3.DipQuick cytological stain of lung aspirate (magnification x400) showing inflammatory cells and necrosis. (Illustration courtesy of the department of Papanicolaou cytology, New York Presbyterian Hospital–Weill Medical College of Cornell University, New York.)

Figure 4.Ziehl-Neelson stain of lung aspirate (magnification x2000) demonstrating few acid-fast bacilli with a histiocyte. (Illustration courtesy of the department of Papanicolaou cytology, New York Presbyterian Hospital–Weill Medical College of Cornell University, New York.)
The patient consented to an HIV test, and the enzyme-linked immunosorbent assay/ Western blot was positive for HIV-1. Daily trimethroprim/sulfamethoxazole for Pneumocystis jiroveci pneumonia prophylaxis was begun. Over the next few days, she began to feel better; her cough resolved, her appetite improved, and on day 5 of therapy she became afebrile. Her CD4+ cell count was 18/µL, and her HIV RNA level was 4,685,000 copies/mL. Although a CT scan of her abdomen/pelvis revealed numerous tiny low-attenuation lesions throughout the spleen, she had no GI complaints. She was discharged on hospital day 20, with referral to her local directly observed therapy (DOT) clinic.
EPIDEMIOLOGY
Centuries before Robert Koch’s discovery of the bacterium responsible for TB, there had been biblical references to it; also, scientific evidence of bony TB has been found in early Egyptian mummies and in pre-Columbian remains in the Americas.1 In the 17th and 18th centuries, TB caused one fourth of all deaths in Europe.2 Currently, one third of the world’s population is infected with M tuberculosis (latent infection), and at some time in their lives, active TB develops in approximately 5% to 10% of those infected (with the exception of persons with HIV coinfection).3 More than 90 million TB patients were reported to the World Health Organization (WHO) between 1980 and 2005.
In 2005, there were an estimated 8.8 million new cases of TB, with 7.4 million in Asia and sub-Saharan Africa. A total of 1.6 million people died as a result of TB, including 195,000 patients who had HIV infection. The TB incidence rate was stable or in decline in all 6 WHO regions. However, the total number of new cases of TB was still rising slowly, because the case load continued to grow in the African, eastern Mediterranean, and Southeast Asian regions.3
It is estimated that one third of the 40 million persons living with HIV/AIDS worldwide are coinfected with M tuberculosis. Active TB is up to 50 times more likely to develop in persons who have HIV infection in a given year than in persons who are HIV-negative. The WHO estimates that TB is the cause of death for 11% of patients with AIDS. Therefore, it is recommended that all patients who have TB have counseling and testing for HIV infection.
INTERACTIONS BETWEEN HIV AND TB
In the United States, following a 20-year period of decline, the number of TB cases began to increase in 1985, largely as a result of the HIV epidemic.4 HIV infection increases the risk of reactivation of latent infection and the risk of transmission and is largely responsible for the emergence of multidrug-resistant (MDR) TB. In 1993, the CDC listed TB as an AIDS-defining condition.5 After 1992, aggressive initiatives in diagnosis, management, and infection control measures (such as implementation of DOT) led to a decline in TB rates.
As of 2006, TB rates were the lowest they had been since national reporting began in 1953.4 There were a total of 13,767 TB cases (4.6 per 100,000 population) reported in the United States, representing a 3.2% decline from the 2005 rate. However, the proportion of TB cases among foreign-born persons has increased each year since 1993 despite the overall decreased numbers, reflecting the impact of the global TB epidemic.4
In 2000, 11% of all new TB cases worldwide occurred in HIV-infected persons, and the prevalence of HIV infection in new TB cases varied among regions, from 1% in the western Pacific to 14% in industrialized countries and more than 60% in South Africa and Zimbabwe.6 In HIV-infected persons with latent M tuberculosis infection, the risk of active TB can exceed 10% annually.6,7 In studies in Haitians, all of whom were likely infected with M tuberculosis in childhood, AIDS was associated with development of active TB in 60%.8
In coinfection with HIV and M tuberculosis, each condition is known to affect the clinical course of the other. HIV-infected patients are at increased risk for development of active TB, from both reactivated latent and exogenous infection, as well an accelerated TB disease progression. Likewise, TB has a negative impact on HIV disease. Active M tuberculosis infection is associated with significant increases in plasma HIV viremia. It has been noted that virus declines and CD4 count increases with successful TB treatment, even in the absence of specific antiretroviral medications.9-11
CLINICAL MANIFESTATIONS
The symptoms seen in HIV-infected patients with TB are generally similar to those in non–HIV-infected persons. There should be a high degree of suspicion not only in patients with pulmonary symptoms and/or abnormal chest radiographs but also in those with fever of unknown origin, weight loss, and other constitutional symptoms. The degree of immunodeficiency greatly influences the clinical, radiographic, and histopathological presentation of TB in relation to HIV infection. With CD4+ T-lymphocyte counts greater than 350/µL, presentation is similar to that in non–HIV-infected persons, with the majority having pulmonary disease and typical chest radiographic manifestations of upper lobe fibronodular infiltrates either with or without cavitation.
Extrapulmonary disease is more common in HIV-infected persons than in non–HIV-infected persons.10,12 The most common sites of extrapulmonary involvement are blood and extrathoracic lymph nodes, followed by bone marrow, genitourinary tract, and the CNS. Patients with advanced immunosuppression are more likely to present with disseminated disease, with or without pulmonary involvement. Chest radiographic results are more diverse, with lobar infiltrates, effusions, and miliary infiltrates. TB in these patients can be a severe systemic disease with high fever, rapid progression, and sepsis syndrome.
Histopathological findings are also affected by the degree of immunodeficiency. Patients with relatively intact immune function have typical granulomatous inflammation associated with TB. With progressive immunodeficiency, granulomas become poorly formed or can be completely absent.12
MICROBIOLOGY AND DIAGNOSIS
Because TB can have such varied clinical presentations and dramatic effect on public health, prompt diagnosis is critical. The evaluation includes a chest radiograph and tuberculin skin test. The standard 3 expectorated sputum samples for AFB smear and culture should be obtained from patients with pulmonary symptoms, cervical adenopathy, or chest radiographic abnormalities. Among patients with signs of extrapulmonary TB, needle aspiration or biopsy of skin lesions, nodes, or pleura might allow for rapid diagnosis, culture, and susceptibility testing. In health care settings, HIV-positive patients with respiratory symptoms; those with involvement of the lung, pleura, or airways, including the larynx, or cavitation on chest radiographic examination; those with sputum smears positive for AFB; or those who are undergoing cough-inducing or aerosol-generating procedures should be placed under airborne precautions (negative-pressure isolation rooms) until they have been determined to be noninfectious.13
M tuberculosis-a member of the M tuberculosis complex family (which also includes Mycobacterium bovis and minor species, such as Mycobacterium microti, a pathogen for rodents, and Mycobacterium africanum)-is an aerobic, non–spore-forming, nonmotile bacillus that is 2 to 4 µm long and is acid-free on smear using fluorochrome, Ziehl-Neelsen, or Kinyoun staining methods.2 An estimated 10,000 organisms/mL of sputum are required for smear positivity.
Among patients with relatively intact immune function, the yield of sputum smear and culture examinations is similar to that in non–HIV-infected adults, with positive smear results being more common among patients with cavitary pulmonary involvement. The sensitivity of the AFB smear is approximately 50%, with higher yield (85% to 100%) on sputum culture.14-16 HIV-TB–coinfected patients can have sputum smears and cultures positive for AFB and M tuberculosis, respectively, even with normal findings on chest radiographs. In one study, 8% of HIV-infected patients with pulmonary TB had normal chest radiographs.17
Among patients with advancing AIDS, the sputum smear and culture become less sensitive tests. Although a positive smear can represent any form of mycobacterial disease, a positive AFB smear in an HIV-infected patient is specific for M tuberculosis infection even in a setting with a high incidence of Mycobacterium avium complex infection.18 In immunocompromised patients with signs of disseminated disease, mycobacterial blood culture may be more sensitive in diagnosing TB.
Mycobacteria can take up to 8 weeks to grow on solid culture media (eg, egg-based Lowenstein-Jensen or agar-based Middlebrook 7H11), whereas in liquid broth media (eg, BACTEC radiometric system), they generally take 7 to 21 days. Ideally, both solid and liquid media culture studies should be done. The former allow examination of colony morphology, identification of mixed cultures, and quantification of growth; the latter enable a more rapid diagnosis.2
Nucleic-acid amplification (NAA) tests have been useful in rapid identification of M tuberculosis in clinical specimens. For smear-positive specimens, the sensitivity and specificity of NAA exceed 95%. For smear-negative cases, sensitivity has ranged from 40% to 77% and the specificity remains over 95%.2,19 There are at least 2 commercially available amplification assays in the United States: the Amplified Mycobacterium Tuberculosis Direct Test (Gen-Probe), which targets ribosomal RNA, and the AMPLICOR Mycobacterium tuberculosis test (Roche), which targets DNA. The current recommendation is that these molecular tests be used when there is a smear positive for AFB or with a negative smear when there is a high clinical index of suspicion.20
During HIV infection, tuberculin reactivity decreases as the CD4+ cell count falls. Up to 65% of patients with AIDS have false-negative purified protein derivative (PPD [tuberculin]) results.21 An induration of 5 mm or greater is evidence of infection with M tuberculosis in HIV-seropositive adults.
The QuantiFERON Gold test (QFT-G), approved by the FDA in 2005, is a whole-blood assay that measures the amount of interferon-gamma released after blood is incubated with synthetic antigens (early secretory antigen target 6 and culture filtrate protein 10) that simulate proteins present in M tuberculosis.22 Like the PPD test, this test does not distinguish between active TB and latent TB.
The QFT-G assay was demonstrated to have 64% sensitivity and 89% negative predictive value for culture-confirmed cases of active TB among patients with suspected TB, suggesting that the QFT-G assay should not be used alone to exclude active TB.23 QFT-G can be used in all circumstances in which the tuberculin skin test is currently used; however, caution should be exercised when testing certain populations-including persons recently exposed to M tuberculosis and those who are immunosuppressed, such as HIV-infected patients-because of limited data on the use of QFT-G.
TREATMENT
Treatment of HIV-related TB generally is the same as TB therapy for non–HIV-infected persons.24,25 Multiple drugs and DOT provide effective therapy and prevent acquired drug resistance. A 6-month course of therapy is recommended for treating TB involving any site, except the meninges, for which a 9- to 12-month regimen is recommended. However, there are unique concerns and potential complications in coinfected patients. Overlapping drug toxicity profiles of potent antiretroviral therapy and TB medications, drug interactions, and paradoxical reactions of the immune reconstitution syndrome (IRS) can complicate therapy.
Acquired drug resistance can occur among HIV-infected persons, especially with intermittent dosing. Once- or twice-weekly dosing has been associated with an increased rate of acquired rifamycin resistance among patients with advanced HIV-1 disease (CD4+ T-lymphocyte count less than 100/µL).24,25 Clinical response and rates of treatment failure and/or relapse with standard 6-month treatment regimens are similar to those in patients without HIV infection, but it is unclear whether this is applicable to those with advanced AIDS.
Treatment of drug-susceptible TB in HIV-infected patients should include a 6-month regimen consisting of an initial phase of INH, rifampin, PZA, and EMB for 2 months followed by INH and rifampin (or rifabutin) for 4 months, if the disease is caused by organisms known or presumed to be susceptible to first-line anti-TB drugs. EMB can be discontinued when the organism is susceptible to INH, rifampin, and PZA. A repeated smear and culture should be performed when 2 months of treatment has been completed.
As in HIV-infected patients, prolonged therapy of up to 9 months is recommended for those with a delayed clinical or bacteriological response to therapy (symptomatic or positive culture results at 2 months of therapy) or with cavitary disease on chest radiography.
Close follow-up (at least monthly) consisting of clinical, bacteriological, and occasionally, laboratory and radiographic evaluations is essential to ensure treatment adherence and success. More frequent clinical and laboratory monitoring is indicated for patients with underlying liver disease because INH, rifampin, and PZA can cause drug-induced hepatitis; the risk might be increased in patients receiving other potentially hepatotoxic drugs. Patients receiving EMB should be asked about possible visual disturbances.
Antiretroviral Therapy in the Management of TB and Paradoxical Reactions
The simultaneous initiation of antiretroviral therapy and TB medications should be avoided because of concomitant drug toxicities and interactions, adherence issues, and possible IRS. The optimal time for initiating antiretroviral therapy during TB treatment is, however, unknown, but the prognosis of TB can be substantially improved with use of such therapy.12,24,25
One study found a high rate of death and new AIDS-defining illnesses, particularly in patients with a CD4+ cell count less than 100/µL, within the first 2 months of TB treatment and a decline thereafter.26 The American Thoracic Society/CDC recommendations are to always treat TB first, with antiretroviral therapy generally introduced at 4 to 8 weeks.12,24,25 Initiation of antiretroviral therapy within 2 to 4 weeks after the start of TB therapy may be appropriate for patients with advanced HIV disease (CD4+ cell count 50/µL or less) to avoid further HIV disease progression, but it might be associated with a higher incidence of side effects and IRS.27
Patients may experience temporary exacerbation of symptoms, signs, or radiographic manifestations of TB after beginning anti-TB treatment; this exacerbation is thought to be a consequence of reconstitution of immune responsiveness brought about by antiretroviral therapy or perhaps by treatment of TB itself.12,28,29 This reaction can occur in those without HIV infection but is more commonly seen in HIV-infected patients treated with antiretroviral therapy (generally occurring within 15 to 30 days of starting such therapy).
Signs of IRS can include high fevers, increase in size and inflammation of involved lymph nodes, and worsening of pulmonary parenchymal infiltrations. Such findings should be attributed to a paradoxical reaction only after a thorough evaluation has excluded other possible causes, especially TB therapy failure. If the reaction is not severe, it should be treated symptomatically with NSAIDs without a change in anti-TB or antiretroviral therapy, but corticosteroids may be used if the IRS is severe.12,28,29
Rifamycins induce the hepatic cytochrome P-450 enzyme system and accelerate metabolism of protease inhibitors (PIs) and some NNRTIs. Rifabutin can be used with certain PIs or NNRTIs and has fewer drug-drug interactions than rifampin has. According to the CDC recommendation, rifampin can be used with an efavirenz-containing regimen (the dose of efavirenz must be increased to 800 mg/d) or with ritonavir/saquinavir or triple-nucleoside therapy.12,30 PI/ritonavir combinations can be safely coadministered with rifabutin as long as the dose of rifabutin is decreased according to the recommendations for each PI.12,30 The most up-to-date information can be obtained from the CDC Web site (http://www.cdc.gov/tb/).
Interestingly, this patient had been treated for pulmonary TB almost 20 years earlier. However, records were unavailable for that time from the department of health.
While HIV infection is a major risk factor for an infection turning into a first TB episode, it is also a major risk factor for a reinfection turning into a second TB episode.31 In general, the 2-year incidence of recurrence after treatment of pulmonary TB with rifampin-containing regimens ranges from 0% to 27%.31 True relapse is more likely to occur soon after completion of treatment for the first episode, although some true relapses can happen more than 15 years after the first TB episode. Recurrence due to reinfection may be expected to be a more or less constant risk over time.31
A study in an area in South Africa where TB is highly endemic found that people who have been treated successfully for TB are at higher risk than the general population for TB reinfection, with approximately 4 times the age-adjusted incidence rate of new TB.32 This suggests that persons who have been successfully treated for TB are at an increased risk for the development of TB again, rather than being protected against subsequent episodes. In areas with a low incidence of TB, recurrent TB is generally due to reactivation of the disease.33,34
Infection with MDR–M tuberculosis strains are much more difficult and costly to treat and are more often fatal. MDR-TB (TB that is resistant to at least INH and the rifamycins) is present in virtually all countries, with the highest rates in the former Soviet Union and China (as high as 6.5%).6 The management of MDR-TB is complex and should be undertaken only by an experienced specialist or in consultation with specialized treatment centers.
Extensively (extremely) drug-resistant TB (XDR-TB) is defined as MDR-TB plus fluoroquinolone resistance, and resistance to at least one second-line injectable drug (amikacin, capreomycin, or kanamycin).6 Population-based data on drug susceptibility of M tuberculosis isolates were obtained from the United States (1993 to 2004), South Korea (for 2004), and Latvia (2000 to 2002) in which 4%, 15%, and 19% of MDR-TB cases proved to be XDR-TB, respectively.35 In addition, a deadly outbreak of XDR-TB in a rural town in KwaZulu-Natal district of South Africa in which 52 of 53 patients died, most within 25 days, has been widely publicized, and all of the 44 patients tested were HIV-positive.36
FOLLOW-UP
The patient in the current case was seen in the HIV clinic 1 week after discharge and continued to improve. She was adherent to her 4-drug therapy despite some nausea, which was controlled with antiemetics. Given the pill burden and her continued good clinical response, antiretroviral therapy was deferred until the sensitivity results became available. Her teenaged son, who was asymptomatic, was tested at the local department of health clinic and found to have a positive tuberculin skin test result. After normal findings on a chest radiograph, he began receiving therapy for latent TB.
No potential conflict of interest relevant to this article was reported by Dr Yoon.
References1. Daniel TM. The history of tuberculosis. Respir Med. 2006;100:1862-1870.
2. Mandell GL, Bennett JE, Dolin R. Principles and Practice of Infectious Diseases. 6th ed. Philadelphia: Elsevier Churchill Livingstone; 2004:2852-2883.3. Global tuberculosis control-surveillance, planning, financing. Geneva. 2007. World Health Organization. Available at: http://www.who.int/tb/publications/global_report/en. Accessed May 2, 2007.
4. Centers for Disease Control and Prevention. Trends in tuberculosis incidence-United States, 2006. MMWR. 2007;56:245-250.
5. Centers for Disease Control and Prevention. 1993 Revised classification system for HIV infection and expanded surveillance case definition for AIDS among adolescents and adults. MMWR. 1992;41(RR-17).
6. Corbett EL, Watt CJ, Walker N, et al. The growing burden of tuberculosis: global trends and interactions with the HIV epidemic. Arch Intern Med. 2003;163:1009-1021.
7. Selwyn PA, Hartel D, Lewis VA, et al. A prospective study of the risk of tuberculosis among intravenous drug users with human immunodeficiency virus infection. N Engl J Med. 1989;320:545-550.
8. Pitchenik AE, Cole C, Russell BW, et al. Tuberculosis, atypical mycobacteriosis, and the acquired immunodeficiency syndrome among Haitian and non-Haitian patients in south Florida. Ann Intern Med. 1984;101:641-645.
9. Barnes PF, Bloch AB, Davidson PT, Snider DE Jr. Tuberculosis in patients with human immunodeficiency virus infection. N Engl J Med. 1991;324:1644-1650.
10. Jones BE, Young SM, Antoniskis D, et al. Relationship of the manifestations of tuberculosis to CD4 cell counts in patients with human immunodeficiency virus infection. Am Rev Respir Dis. 1993;148:1292-1297.
11. Martin DJ, Sim JG, Sole GJ, et al. CD4+ lymphocyte count in African patients co-infected with HIV and tuberculosis. J Acquir Immune Defic Syndr Hum Retrovirol. 1995;8:386-391.
12. Benson CA, Kaplan JE, Masur H, et al. Treating opportunistic infections among HIV-infected adults and adolescents [published correction appears in MMWR. 2005;54:311]. MMWR. 2004;53(RR-15):1-112.
13. Jensen PA, Lambert LA, Iademarco MF, et al; Centers for Disease Control and Prevention. Guidelines for preventing the transmission of Mycobacterium tuberculosis in health-care settings. MMWR Recomm Rep. 2005;54(RR-17):1-141.
14. Frieden TR, Sterling TR, Munsiff SS, et al. Tuberculosis. Lancet. 2003;362:887-899.
15. Shafer RW, Edlin BR. Tuberculosis in patients infected with human immunoÂdeficiency virus: perspective on the past decade. Clin Infect Dis. 1996;22:683-704.
16. Finch D, Beaty CD. The utility of a single sputum specimen in the diagnosis of tuberculosis. Comparison between HIV-infected and nonâHIV-infected patients. Chest. 1997;111:1174-1179.
17. Perlman DC, el-Sadr WM, Nelson ET, et al. Variation of chest radiographic patterns in pulmonary tuberculosis by degree of human immunodeficiency virus-related immunosuppression. Clin Infect Dis. 1997;25:242-246.
18. Yajko DM, Nassos PS, Sanders CA, et al. High predictive value of the acid-fast smear for Mycobacterium tuberculosis despite the high prevalence of Mycobacterium avium complex in respiratory specimens. Clin Infect Dis. 1994;19:334-336.
19. Barnes PF. Rapid diagnostic tests for tuberculosis: progress but no gold standard. Am J Respir Crit Care Med. 1997;155:1497-1498.
20. Schluger NW. Changing approaches to the diagnosis of tuberculosis. Am J Respir Crit Care Med. 2001;164:2020-2024.
21. Johnson MP, Coberly JS, Clermont HC, et al. Tuberculin skin test reactivity among adults infected with human immunodeficiency virus. J Infect Dis. 1992;166:194-198.
22. Mazurek GH, Jareb J, Lobue P, et al; Centers for Disease Control and Prevention. Guidelines for using the QuantiFERON-TB Gold test for detecting Mycobacterium tuberculosis infection, United States [published correction appears in MMWR Recomm Rep. 2005;54(50):1288]. MMWR Recomm Rep. 2005;54(RR-15):49-55.
23. Dewan PK, Grinsdale J, Kawamura LM. Low sensitivity of a whole-blood interferon-gamma release assay for detection of active tuberculosis. Clin Infect Dis. 2007;44:69-73.
24. Blumberg HM, Burman WJ, Chaisson RE, et al; American Thoracic Society, Centers for Disease Control and Prevention, Infectious Diseases Society. American Thoracic Society/Centers for Disease Control and Prevention/Infectious Diseases Society of America: treatment of tuberculosis. Am J Respir Crit Care Med. 2003;167:603-662.
25. American Thoracic Society, Centers for Disease Control and Prevention, and Infectious Diseases Society of America. Treatment of tuberculosis [published correction appears in MMWR Recomm Rep. 2005;53(51):1203]. MMWR Recomm Rep. 2003;52(RR-11):1-77.
26. Dheda K, Lampe FC, Johnson MA, Lipman MC. Outcome of HIV-associated tuberculosis in the era of highly active antiretroviral therapy. J Infect Dis. 2004;190:1670-1676.
27. Schiffer JT, Sterling TR. Timing of antiretroviral therapy initiation in tuberculosis patients with AIDS: a decision analysis. J Acquir Immune Defic Syndr. 2007;44:229-234.
28. Chien JW, Johnson JL. Paradoxical reactions in HIV and pulmonary TB. Chest. 1998;114:933-936.
29. Navas E, MartÃn-Dávila P, Moreno L, et al. Paradoxical reactions of tuberculosis in patients with the acquired immunodeficiency syndrome who are treated with highly active antiretroviral therapy. Arch Intern Med. 2002;162:97-99.
30. Centers for Disease Control and Prevention. Notice to readers: updated guidelines for the use of rifabutin or rifampin for the treatment and prevention of tuberculosis among HIV-infected patients taking protease inhibitors or nonnucleoside reverse transcriptase inhibitors. MMWR. 2000;49:185-189.
31. Lambert ML, Hasker E, Van Deun A, et al. Recurrence in tuberculosis: relapse or reinfection? Lancet Infect Dis. 2003;3:282-287.
32. Verver S, Warren RM, Beyers N, et al. Rate of reinfection tuberculosis after successful treatment is higher than rate of new tuberculosis. Am J Respir Crit Care Med. 2005;171:1430-1435.
33. Bandera A, Gori A, Catozzi L, et al. Molecular epidemiology study of exogenous reinfection in an area with a low incidence of tuberculosis. J Clin Microbiol. 2001;39:2213-2218.
34. Jasmer RM, Bozeman L, Schwartzman K, et al; Tuberculosis Trials Consortium. Recurrent tuberculosis in the United States and Canada: relapse or reinfection? Am J Respir Crit Care Med. 2004;170:1360-1366. Epub 2004 Oct 11.
35. Centers for Disease Control and Prevention. Emergence of Mycobacterium tuberculosis with extensive resistance to second-line drugs-worldwide, 2000-2004. MMWR. 2006;55:301-305.
36. Wise J. Southern Africa is moving swiftly to combat the threat of XDR-TB. Bull World Health Organ. 2006;84:924-925.