
A 44-year-old man with known HIV infection for more than 20 years presented with fatigue, nausea, and vomiting with a recent weight loss of 40 lb. His most recent CD4+ cell count was 206/µL, and his HIV RNA level was below 50 copies/mL.
A 44-year-old man with known HIV infection for more than 20 years presented with fatigue, nausea, and vomiting with a recent weight loss of 40 lb. His most recent CD4+ cell count was 206/µL, and his HIV RNA level was below 50 copies/mL. However, because of prior intolerance, the patient was no longer taking his antiretroviral medication. He was coinfected with hepatitis B virus (HBV) (serum hepatitis B surface antigen [HBsAg]-positive; unknown E antigen status) and hepatitis C virus (HCV) (HCV RNA level greater than 1,000,000 copies/mL; genotype not available).
The patient reported prior abuse of injection drugs, alcohol, and tobacco. He was not jaundiced nor did he have stigmata of chronic liver disease. No ascites or palpable masses were found on abdominal examination. His serum transaminase levels were mildly increased (alanine aminotransferase, 99 U/L [normal, 0 to 41]; aspartate aminotransferase 12 U/L [normal, 0 to 38]). The remaining laboratory test results were unremarkable for total bilirubin (0.3 mg/dL), serum albumin (3.9 g/dL), coagulation profile, and α-fetoprotein (3.8 ng/mL).

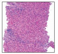
Figure 1. A liver core needle biopsy specimen showing moderate portal and periportal inflammation with focal lobular necroinflammatory activity (grade 2 hepatitis) (hematoxylin-eosin stain, original magnification x400).
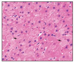
A liver biopsy sample was taken for staging of his liver disease and showed signs of chronic hepatitis. There was portal and periportal chronic inflammation with interface hepatitis and concomitant focal necroinflammatory activity within liver lobules (Figure 1). This was consistent with grade 2 inflammation. In addition, there was a moderate amount of fibrosis with portal-portal bridging, ie, stage 2 fibrosis (using the Batts and Ludwig system). There were many prominent so-called ground-glass hepatocytes (Figure 2) seen throughout the liver core needle biopsy specimen. Ground-glass hepatocytes represent a histological hallmark of the accumulation of proteins in the endoplasmic reticulum and may be seen in chronic hepatitis B, wherein the proteins are surface antigen. Indeed, an immunohistochemical stain for HBsAg in this case showed strong cytoplasmic and membranous immunoreactivity within the liver parenchyma (Figure 3), confirming HBV infection of hepatocytes.

Figure 2.Ground-glass hepatocytes (arrows) with an eosinophilic-translucent cytoplasm in this liver core needle biopsy specimen are indicative of hepatitis B virus infection (hematoxylin-eosin stain, original magnification ×600).
Chronic liver disease caused by concomitant infection with HBV, HCV, or both, complicates the management of and prognosis for persons with HIV/AIDS and may lead to cirrhosis, end-stage liver disease, and hepatocellular carcinoma.1-3 The high rates of hepatitis B and C (10% and 25%, respectively) in HIV-infected persons are caused by shared risk factors and similar modes of infection among these 3 viruses. These blood-borne pathogens can all be transmitted via sexual contact, by injection drug use, or from mother to child during or after childbirth.
Viral hepatitis–related liver disease is a major cause of morbidity and mortality in persons with HIV/AIDS. Coinfected persons have higher HCV viral loads; more rapid progression of liver disease to cirrhosis, end-stage liver disease, and hepatocellular carcinoma; greater risk of anemia and leukopenia; and more rapid progression to AIDS and ultimately death.4 Furthermore, coinfection complicates antiretroviral treatment by increasing the risk of drug-drug interactions and drug-related hepatotoxicity.5 HCV infection also increases the risk of Waldenstrm macroglobulinemia and non-Hodgkin lymphoma.6

Figure 3.Cytoplasmic immunoreactivity (brown staining) of hepatocytes with hepatitis B surface antigen antibody confirms chronic infection with hepatitis B virus (original magnification ×400).
Screening of all HIV-infected persons for hepatitis B and C has been recommended in guidelines developed in Europe and the United States.7 Furthermore, all injection drug users should be screened for hepatitis B and C regardless of their HIV status. HIV-negative men who have sex with men need not be screened for hepatitis because of the low risk of infection via sexual transmission. Early vaccination against hepatitis B and A is recommended for persons with and at risk for HIV infection because of the poor immunogenicity of hepatitis B and A vaccines in advanced HIV infection. Because treated HIV-infected persons benefit from improved control of HIV replication and live longer, their risk of dying of cancer is increased.3 In particular, as alluded to before, hepatocellular carcinoma has been shown to develop sooner in HIV/HCV-coinfected patients than in HCV-monoinfected persons.2 In patients with hepatocellular carcinoma who are not being treated for their HIV infection, an undetectable HIV RNA level is associated with significantly better survival.2
The need to treat viral hepatitis in HIV-positive persons is based on several factors, such as hepatitis viremia, extent of biochemical abnormalities, and severity of liver disease, and should take into account the ability of the patient to adhere to a medical regimen. Persons coinfected with HIV and HBV and/or HCV should be monitored closely for progression of their liver disease as well as the development of hepatocellular carcinoma. Current recommendations related to screening for hepatocellular carcinoma in this population warrants clarification.8
References1. Sulkowski MS. Viral hepatitis and HIV coinfection. J Hepatol. 2008;48:353-367.
2. Bräu N, Fox RK, Xiao P, et al; North American Liver Cancer in HIV Study Group. Presentation and outcome of hepatocellular carcinoma in HIV-infected patients: a U.S.-Canadian multicenter study. J Hepatol. 2007;47:527-537.
3. Pantanowitz L, Schlecht HP, Dezube BJ. The growing problem of non-AIDS-defining malignancies in HIV. Curr Opin Oncol. 2006;18:469-478.
4. Sulkowski MS, Benhamou Y. Therapeutic issues in HIV/HCV-coinfected patients. J Viral Hepat. 2007;14:371-386.
5. Sulkowski MS, Thomas DL, Chaisson RE, Moore RD. Hepatotoxicity associated with antiretroviral therapy in adults infected with human immunodeficiency virus and the role of hepatitis C or B virus infection. JAMA. 2000;283:74-80.
6. Giordano TP, Henderson L, Landgren O, et al. Risk of non-Hodgkin lymphoma and lymphoproliferative precursor diseases in US veterans with hepatitis C virus. JAMA. 2007;297:2010-2017.
7. Rockstroh JK, Bhagani S, Benhamou Y, et al; EACS Executive Committee. European AIDS Clinical Society (EACS) guidelines for the clinical management and treatment of chronic hepatitis B and C coinfection in HIV-infected adults. HIV Med. 2008;9:82-88.
8. Bower M, Collins S, Cottrill C, et al; AIDS Malignancy Subcommittee. British HIV Association guidelines for HIV-associated malignancies 2008. HIV Med. 2008;9:336-388.
2 Commerce Drive
Cranbury, NJ 08512