Prolonged exposure to high-risk strains of human papillomavirus (HPV) and the dysplastic effects that HPV exerts on cells of the squamocolumnar transitional junction of the anal canal lead to anal intraepithelial neoplasia (AIN), which is a precursor to squamous cell carcinoma of the anus (SCCA).1 Anal HPV infection is present in 93% of HIV-positive men who have anoreceptive intercourse.2 Furthermore, anal dysplasia of any grade has been reported in 56% of HIV-infected men who participate in anoreceptive intercourse.3,4
Prolonged exposure to high-risk strains of human papillomavirus (HPV) and the dysplastic effects that HPV exerts on cells of the squamocolumnar transitional junction of the anal canal lead to anal intraepithelial neoplasia (AIN), which is a precursor to squamous cell carcinoma of the anus (SCCA).1 Anal HPV infection is present in 93% of HIV-positive men who have anoreceptive intercourse.2 Furthermore, anal dysplasia of any grade has been reported in 56% of HIV-infected men who participate in anoreceptive intercourse.3,4
HIV infection increases the risk of high-grade AIN (HGAIN); 38% to 60% of HIV-infected and 17% of HIV-negative men with normal or low-grade AIN (LGAIN) at baseline have been reported to develop HGAIN within 4 years.5,6 Additional risk factors for AIN include a low CD4+ cell count, increased HIV RNA viral load, high HPV DNA level, receptive anal intercourse, and concurrent anal coinfections; in women, concurrent abnormal cervical cytology is also a risk factor.1,3,4
SCCA is also overrepresented in those with HIV infection, with prevalence rates in the range of 70 to 80 per 100,000, which is in contrast to the rate of 1 per 100,000 in the non–HIV-infected population.7 In the HAART era, the median survival of HIV-infected persons continues to improve, and for those with undetectable viral loads, their longevity now rivals that of the general population.8 Unfortunately, there is no compelling evidence that antiretroviral therapy–induced restoration of immunity promotes resolution or regression of HGAIN.9,10 Such patients will likely remain at high risk for development of SCCA. One current estimate suggests that in as many as 5% of HIV-infected men with HGAIN, the neoplasia is destined to progress to SCCA.11 Anal coinfections and the presence of Langerhan cells in the anal mucosa are additional factors that may increase the risk of anal carcinoma.12
A cost-effectiveness analysis has shown that screening for and treatment of high-grade anal dysplasia could provide long-term benefits and compares favorably with the approaches used to prevent other malignancies, most notably cervical cancer.13 Although large-scale clinical trials to prove the effectiveness of that approach have yet to be done, increasing awareness of the problem and the expectation of the potential effectiveness of screening recently led the New York Health Department to recommend that HIV-infected men and women undergo AIN screening.14 With a strategy that is analogous to that which is employed in cervical cancer screening, it is anticipated that frequent, detailed anal evaluations will ultimately lead to earlier detection of premalignant lesions and a change in the natural history of HPV-induced anal malignancy.
Outside of a few urban areas, such as San Francisco, New York City, San Diego, Pittsburgh, and Boston, there are only a handful of clinics with long-term experience in anal dysplasia screening. Consequently, expertise in counseling, screening, and treating at-risk HIV-infected persons for HPV-associated AIN is limited. Herein, we briefly describe the incidence and severity of AIN among HIV-infected men within our anal dysplasia clinic in Seattle, which was formed in November 2007. We also review several of the challenges that we encountered while forming our AIN clinic.
METHODS
All patients seen in the anal dysplasia screening clinic during a 7-month period between November 2007 and May 2008 were referred by HIV primary and specialty providers within the Seattle area for baseline AIN screening. After receiving approval from the Virginia Mason Medical Center (VMMC) Institutional Review Board, we undertook a retrospective chart review of the first 150 consecutive HIV-infected persons who underwent AIN screening. Demographic information, including age, sex, and race, was recorded, along with the patient’s most recent CD4+ T-lymphocyte count and HIV RNA level at time of initial assessment. All patients underwent a digital rectal examination and anal Papanicolaou (Pap) cytology assessment followed by high-resolution anoscopy (HRA). Biopsy specimens from disconcerting lesions were obtained during HRA. At the time of chart review, we collected additional historical information regarding patient sexual practices and the concomitant anal Pap cytology and biopsy results.
Anal Cytology Collection and Interpretation
All patients were examined while in the left lateral position. Anal Pap tests were initiated with a sterile plastic Dacron swab with tap water lubrication and then with a swab after application of K-Y Jelly and 2% lidocaine jelly, which were applied during the digital rectal examination. Two swabs were used to increase chances of adequate cellular yield. Each swab was inserted into the anal canal above the anal verge to the distal rectum and rotated firmly with a lateral pressure against the anal canal wall while being slowly withdrawn in a tight spiral motion over 10 to 15 seconds.15 Since the transformation zone-located approximately 1 inch from the anal verge-is where the majority of anal cancers arise, both rectocolumnar and anal squamous cells were sought in order to maximize the chance of a useful specimen assessment. Using the SurePath liquid-based Pap test (TriPath Imaging, Burlington, NC), both anal Pap swab samples were vigorously shaken.
Anal cytology samples were read by one of two VMMC cytopathologists experienced in anal and cervical cytology interpretation and reported as no intraepithelial lesion; atypical squamous cells of undetermined significance; atypical squamous cells, cannot rule out high-grade anal dysplasia (ASC-H); low-grade squamous intraepithelial lesions; or high-grade squamous intraepithelial lesions using Bethesda 2001 terminology (Figure 1).16
Figure 1. A: Cytology of a low-grade anal intraepithelial lesion. Note the binucleate hyperchromatic cells (koilocytes) and nuclear enlargement compared with background cells (Papanicolaou stain, original magnification ×400). B: Cytology of a high-grade anal intraepithelial lesion. The central hyperchromatic cell has markedly increased nuclear to cytoplasmic ratio when compared with low-grade anal intraepithelial lesions (Papanicolaou stain, oil immersion, original magnification ×1000).
High-Resolution Anoscopy
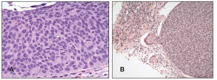
A digital rectal examination was performed circumferentially with identification and documentation of any abnormalities. A clear plastic disposable anoscope was then inserted into the anal canal with lubrication with K-Y Jelly, through which a gauze-wrapped wooden cotton swab soaked in 3% acetic acid was placed for each examination. The anoscope was withdrawn, and the gauze-wrapped cotton swab was kept in place for 1 to 2 minutes. The wooden cotton swab was then removed to reinsert the anoscope, at which time additional acetic acid and Lugol iodine (if patient allergy was not noted) was applied using a scopette or a wooden cotton swab. The squamocolumnar junction of the anal canal, verge, and perianal skin were then visualized with a Zeiss colposcope 150 FC, set at 16× to 25× magnification.17 Samples of abnormal epithelium were obtained for biopsy using baby Tischler forceps or Wilson-Cook jumbo bite endoscopy forceps; samples were preserved in 10% formalin (Figure 2).

Figure 2. A: High-grade anal intraepithelial lesion on biopsy. There is nuclear pleomorphism and overlap with no maturation of the epithelium; numerous mitoses can be identified (hematoxylin and eosin stain, original magnification ×400). B: Biopsy with microinvasion arising from a high-grade intraepithelial lesion. The nest of atypical cells budding off the high-grade squamous intraepithelial lesion shows paradoxical maturation compared with the lesion, along with a marked inflammatory response (hematoxylin and eosin stain, original magnification ×200).
All suspicious areas were photographed and images burned onto a Sony CD burner attached to the colposcope through a beam splitter and S-video cable (Figure 3). Perianal biopsy specimens were obtained after injection of 1% lidocaine with 1:100,000 strength epinephrine mixed in a 5:1 ratio with 8.3% sodium bicarbonate with a 30-gauge needle and a 5-cc syringe. Hemostasis, if needed, was achieved with pressure by the anoscope and/or direct application of silver nitrate or Monsel solution before completing the HRA.

Figure 3. A: High-resolution anoscopy (HRA) photo-documentation of an area of low-grade anal intraepithelial neoplasia (LGAIN). Notice the area of acetowhitening of the squamous epithelium to the left lateral internal anal canal. B: HRA photo-documentation of Lugol iodine application. Mahogany-appearing area to anterior and left posterolateral internal anal canal indicates normal uptake by glycogenated cells. Mustard coloration, as noted to right posterolateral anal canal, is known as partial or negative Lugol uptake and may indicate dysplasia. The biopsy specimen from this area identified LGAIN. C: HRA documentation of high-grade anal intraepithelial neoplasia (HGAIN) in internal left lateral anal canal with dense acetowhite changes after 3% acetic acid application. This lesion was bi-opsy-confirmed HGAIN. D: HRA photo-documentation of HGAIN area in internal left lateral anal canal with concern for invasion. E: HRA photo-documentation of external/perianal HGAIN. External anterior perianal mass after application of 3% acetic acid. This lesion was biopsy-confirmed HGAIN. F: HRA photo-documentation of HGAIN lesion in internal left lateral anal canal with concern for invasion.
Biopsy specimens were prepared using standard paraffin processing, were stained with hematoxylin and eosin, and were interpreted by the same two pathologists who reviewed the anal cytology samples (Figure 2).
RESULTS
The median age of the 150 men who were included in the study was 47 years (range, 24 to 83). Of these, 123 patients (82%) were white, 12 (8%) African American, 3 (2%) Asian, 10 (7%) Hispanic, 1 (0.7%) Native American, and 1 (0.7%) Middle Eastern. Only 5% of patients described themselves as strictly heterosexual. The vast majority (80%) indicated that they had sex predominantly with men or with both men and women (15%). The median HIV RNA level was below 75 copies/mL (range, less than 75 to 228,000), and the median CD4+ cell count was 454/µL (range, 7 to 1663). More than 95% of patients were receiving antiretroviral therapy at the time of the initial AIN screening.

In 50 patients (33%), results of the anal Pap test were normal, as were the findings from the HRA examination or biopsy (Table 1). In 5 patients (3%), findings from the colposcopic examination were abnormal, but a preexisting condition (ie, coagulopathy) precluded biopsy. In 1 patient, findings from the colposcopic examination were abnormal and anal cytology samples indicated ASC-H, but he declined biopsy of a suspect high-grade–appearing lesion for fear of pain with the procedure. Among the 122 patients who underwent anal biopsies, 47 (39%) had LGAIN and 47 (39%) had HGAIN.
AIN was identified more frequently by directed biopsy than by an anal Pap test. Specifically, of the 47 patients with HGAIN detected by directed biopsy, only 14 (30%) had high-grade cytological features detected by an anal Pap test (Table 1). Concordance was strong between anal Pap test and anal biopsy results for those patients in whom high-grade features were found on the initial anal Pap test. Thirteen of the 14 patients with high-grade cytological features detected by an anal Pap test underwent anal biopsy, and in each instance, high-grade findings were confirmed. A biopsy was deferred in 1 patient whose anal Pap test indicated high-grade cytological features because he had a low platelet count.
Two patients with HGAIN were referred for surgical evaluation because of extensive high-grade perianal disease. In both patients, further excision and biopsies by the surgical team revealed microinvasive SCCA. Neither patient has yet to manifest recurrent invasive disease, and both have been adherent to frequent follow-up evaluations.
There were no significant post-HRA biopsy complications (eg, bleeding, pain, or infection) reported by patients to the anal dysplasia practitioner or the referring medical provider. We have continued to monitor patients with LGAIN every 6 months and patients with HGAIN every 3 to 4 months. Patient adherence has been good, with fewer than 10% of the patients failing to show up for follow-up examinations.
DISCUSSION
Development of our anal dysplasia clinic was a well-thought-out process. Emerging guidelines have suggested that anal dysplasia assessment is an important component of the care of HIV-infected persons. The need for creation of an anal dysplasia clinic was identified by our HIV medicine specialists and was supported by our gastroenterology department and our hematology-oncology and surgical colleagues.
Acceptance by our surgeons was especially important for providing seamless care if a surgical excisional biopsy was needed. We obtained this by discussing our planned clinic early in the start-up phase and presented our data to our colleagues during a multidisciplinary Oncology Grand Rounds presentation as well as during the surgical residents’ noon meetings. To facilitate flow and referrals through medical providers who care for our HIV-infected patients, we attended a once-monthly VMMC HIV journal club meeting. It was there that we updated the group on our progress, reviewed early results, and obtained feedback from the HIV department members.
One of us (L.S.) received proctoring in the VMMC gastroenterology department by her endoscopist-trained colleagues. She obtained training at an American Society for Colposcopy and Cervical Pathology (ASCCP) comprehensive colposcopy course in May 2007. Through grant funding obtained from the AIDS Malignancy Consortium (AMC), she was further able to observe the techniques of collection of anal cytology samples, HRA with biopsy, and the use of an infrared coagulator (IRC) device to treat HGAIN for 1 week at the anal dysplasia clinic at the University of California at San Francisco (UCSF). The experience gained from this rotation allowed us to plan for equipment and procedure needs, such as a colposcope, biopsy forceps, imaging and document management, billing and coding, education for the patient, and documentation of the care provided.
We maintained a log of all screened patients’ encounters and recorded the cytology and biopsy results. After data were compiled on the first 50 cases, the data were reviewed by a designated AMC proctor who noted relatively low rates of HGAIN among our screened patients and offered suggestions. These suggestions, which included more frequent and extensive biopsies for suspicious lesions, were implemented, and we subsequently noticed an increased rate of HGAIN among screened patients. After 100 patients underwent HRA, our log demonstrating the finding of a higher rate of HGAIN was reviewed by the expert AMC proctor, who came to Seattle to observe how we were performing HRA and to provide hands-on instruction within our clinic environment. One of us (L.S.) was subsequently approved to provide HRA services for AMC’s approved studies. She then took an additional HRA course offered by the ASCCP.
Billing and coding information provided by UCSF’s anal dysplasia clinic was reviewed with our institution’s insurance contracting department to make sure the care provided was reimbursable for our local insurance providers. We found that despite other large centers in the United States performing AIN screening for several years, there was no current procedural terminology (CPT) or procedural code yet specifically designated for the HRA procedure. We opted to code and bill for a standard anoscopy (CPT code 46600) and use Modifier 22 for a requested additional 25% reimbursement. A different procedural code (CPT 46606) was used for anoscopy if 1 or more biopsy specimens were taken. This initially led to difficulties both for patients and for insurers for billing and coding reasons because of a lack of familiarity with HRA.
Subsequently, our billing and health insurance contract staff contacted local insurance companies to discuss and describe the service we intended to offer. Contract staff explained to insurance carriers how AIN screening differs from standard anoscopy and reviewed the emerging guidelines for AIN screening. In only 2 instances were we required to dictate Modifier 22 letters describing why we were requesting additional reimbursement; by and large, the detailed procedural notes were adequate to substantiate requests for greater reimbursement.
More recently, we have not had difficulties with reimbursement using the CPT code 46600 and Modi-fier 22. Reimbursement, however, ranges from $60 for Medicare to $150 for private insurers. The collected fee does not, we believe, adequately reflect the time or complexity required to perform the procedure. Newer diagnostic codes for both abnormal anal Pap cytology and history of both LGAIN and HGAIN took effect in October 2008 but have not yet had an impact on reimbursement.
Initially, we were overwhelmed by anxious patients requesting information regarding their screening studies. Through feedback obtained from the HIV provider meetings and through discussions with our patients, it was clear that further written information was needed to explain what HRA entailed and what results might be obtained through our screening efforts. Since educational information regarding AIN was sparse, we created our own information packets for referring providers to give to patients before the screening visit. Packets were also available in strategic locales in the dysplasia clinic and in provider examination rooms (Table 2).

Patient feedback on these educational brochures has been positive and has substantially reduced the number of phone calls our respective departments receive from patients inquiring about whether preparation for HRA or pre-HRA planning was required. The availability of patient education brochures has also lessened patient anxiety when patients receive their screening results. We believe that the brochures have also helped facilitate referrals to our anal dysplasia clinic from health care providers as well as from the spouses and partners of our screened patients.
In an effort to minimize patients’ concerns of a diagnosis of HGAIN, we took the following steps: Patients in whom HGAIN was identified were called, and the anoscopist personally reviewed the test results, explained the significance of the findings, and discussed treatment options. The anoscopist also helped schedule follow-up examinations and treatment. If the patient could not be reached by phone, a results letter was mailed to the patient with a suggestion that he contact the practitioner with any concerns. VMMC-referring providers were also sent an electronic message within our electronic medical records system (Cerner Corporation, Kansas City, Mo) detailing their patient’s anal dysplasia screening findings. Providers from outside our institution were sent copies of all dictations and pathology reports.
Patients generally described the screening process as interesting and educational. Many also appreciated the ability to view the examination on a video screen while the practitioner and a medical assistant pointed out abnormal areas to the patient in real time. Patients were delighted to learn that they did not need to undergo a bowel or rectal preparation before HRA and that sedation was not required. They were reassured that anal biopsy specimens could be collected with minimal discomfort.
With further experience and training, it is apparent that there is a steep learning curve in developing expertise with HRA. The percentage of patients in whom high-grade lesions were identified has gradually increased from 18% among the first 50 patients screened to the current stable rate of approximately 30%, with 62% of patients having biopsy-confirmed AIN. These most recent results are consistent with those documented in other contemporary anal dysplasia clinics that have reported rates of biopsy-proven AIN in HIV-infected men at 57%.17,18 This increased detection rate of high-grade anal dysplasia likely reflects enhanced experience in examining patients and in recognizing abnormal anal disease with use of the colposcope.
Consistent with other reports, we noted that anal cytology correlated poorly with biopsy results and that high-grade anal cytology was highly predictive of finding anal dysplasia in biopsy specimens obtained during HRA.11 In the medical literature, the positive predictive value for any anal cytological abnormality to predict any degree of AIN was 95% and for any anal cytological abnormality to predict HGAIN was 60%, which is similar to what we have found. In our screened patients with high-grade cytological lesions, HGAIN was identified in all who underwent HRA-directed biopsy. This implies that any abnormal cytology-but in particular, high-grade cytology-warrants further investigation with HRA to exclude the presence of HGAIN or SCCA. Cytology for the assessment of AIN may still be of value for screening in clinics that do not have immediate access to a skilled HRA provider.
As we continue to gain more experience with screening HIV-infected patients with AIN, we hope to broaden our experience by beginning to screen other at-risk groups, including women with and women without HIV infection, HIV-negative men who have sex with men, solid organ transplant recipients, patients with iatrogenic immunosuppression, and patients who have been treated for anal canal cancer.
We plan to develop expertise in the treatment of high-grade disease through participation in treatment protocols. In line with this goal, we have received grant support from the VMMC Digestive Disease Institute to treat patients who have HGAIN lesions with an IRC device. The IRC device is FDA-approved for the treatment of HPV-related condylomatous lesions. Evidence is mounting that treatment with the IRC device is effective and is associated with less morbidity than surgical resection of lesions of HGAIN.19 We also hope to develop expertise in the treatment of high-grade disease through participation in novel treatment protocols, such as the AMC HPV vaccine trial for HIV-infected men (AMC 052) and the cidofovir study of topical treatment for external perianal high-grade anal dysplasia (AMC 046).20,21
Establishing an anal dysplasia clinic is a worthwhile experience that takes time and patience. More clinics are needed to accommodate the needs of our growing HIV population and to address the concern that anal cancer rates among this group are likely to increase over time. Additional research is needed to determine the cost-effectiveness of HRA screening and the optimal treatment approaches for HPV-associated anal dysplasia.
Acknowledgments: The authors wish to thank Nicholas Agoff, MD, for providing micrographs and cytology and pathology descriptions, the AIDS Malignancy Consortium for providing funds for L.S. to undergo training and certification in HRA, and Stephen Goldstone, MD, for his invaluable assistance during the in-service proctoring for the AIDS Malignancy Consortium HRA certification.
No potential conflict of interest relevant to this article was reported by the authors.
References1. Sobhani I, Walker F, Roudot-Thoraval F, et al. Anal carcinoma: incidence and effect of cumulative infections. AIDS. 2004;18:1561-1569.
2. Anal Dysplasia. National HIV/AIDS program: Disease-Specific Treatment. US Department of Veterans Affairs Online posted July 2006. http://www.hiv.va.gov/vahiv?page=cm-502_anal. Accessed April 7, 2009.
3. Kiviat N, Critchlow C, Holmes K, et al. Association of anal dysplasia and human papillomavirus with immunosuppression and HIV infection among homosexual men. AIDS. 1993;7:43-49.
4. Holly E, Ralston ML, Darragh TM, et al. Prevalence and risk factors for anal squamous intraepithelial lesions in women. J Natl Cancer Inst. 2001;93:843-849.
5. Lacey H, Wilson G, Tilston P, et al. A study of anal intraepithelial neoplasia in HIV positive homosexual men. Sex Transm Infect. 1999;75:172-177.
6. Palefsky JM, Holly EA, Ralston ML, et al. High incidence of anal high-grade squamous intra-epithelial lesions among HIV-positive and HIV-negative homosexual and bisexual men. AIDS. 1998;12:495-503.
7. Palefsky J, Cranston R. Anal squamous intraepithelial lesions (ASIL): diagnosis, screening and treatment. http://www.uptodate.com/patients/content/topic.do?topicKey=tumorhiv/2317. Accessed May 31, 2008.
8. Sterne JA, Hernán MA, Ledergerber B, et al; Swiss HIV Cohort Study. Long-term effectiveness of potent antiretroviral therapy in preventing AIDS and death: a prospective cohort study. Lancet. 2005;366:378-384.
9. Palefsky JM, Holly EA, Ralston ML, et al. Effect of highly active antiretroviral therapy on the natural history of anal squamous intraepithelial lesions and anal human papillomavirus infection. J Aquir Immune Defic Syndr. 2001;28:422-428.
10. Piketty C, Darragh T, Heard I, et al. High prevalence of anal squamous intraepithelial lesions in HIV-positive men despite the use of highly active antiretroviral therapy. Sex Transm Dis. 2004;31:96-99.
11. Panther LA, Wagner K, Proper J, et al. High resolution anoscopy findings for men who have sex with men: inaccuracy of anal cytology as a predictor of histologic high-grade anal intraepithelial neoplasia and the impact of HIV serostatus. Clin Infect Dis. 2004;38:1490-1492.
12. Sobhani I, Walker F, Roudot-Thoraval F, et al. Anal carcinoma: incidence and effect of cumulative infections. AIDS. 2004;18:1561-1569.
13. Goldie SJ, Kuntz KM, Weinstein MC, et al. The clinical effectiveness and cost-effectiveness of screening for anal squamous intraepithelial lesions in homosexual and bisexual HIV-positive men. JAMA. 1999;281:1822-1829.
14. New York State Department of Health. Primary care approach to the HIV-infected patient. New York: New York State Department of Health; February 27, 2007.
15. Darragh TM, Winkler B. The ABCs of anal-rectal cytology. College of American Pathologists. CAP TODAY, May 2004. http://www.cap.org. Accessed April 21, 2009.
16. Wright TC Jr, Cox JT, Massad LS, et al; ASCCP-Sponsored Consensus Conference. 2001 Consensus Guideline for the management of women with cervical cytological abnormalities. JAMA. 2002;287:2120-2129.
17. Cranston RD, Hart SD, Gornbein JA, et al. The prevalence, and predictive value, of abnormal anal cytology to diagnose anal dysplasia in a population of HIV-positive men who have sex with men. Int J STD AIDS. 2007;18:77-80.
18. Chin-Hong PV, Berry JM, Cheng SC, et al. Comparison of patient- and clinician-collected anal cytology samples to screen for human papillomavirus-associated anal intraepithelial neoplasia in men who have sex with men. Ann Intern Med. 2008;149:300-306.
19. Goldstone SE, Kawalek AZ, Huyett JW. Infrared coagulator: a useful tool for treating anal squamous intraepithelial lesions. Dis Colon Rectum. 2005;48:1042-1054.
20. AIDS Malignancy Consortium Protocol 046. Phase II trial of cidofovir in HIV-infected patients with high-grade perianal dysplasia. http://pub.emmes.com/study/amc/public/protocols/protocols.htm. Accessed April 9, 2009.
21. AIDS Malignancy Consortium Protocol 052. Single-arm, open-label trial of the safety and immunogenicity of a quadrivalent human papillomavirus vaccine in HIV-1-infected men. http://pub.emmes.com/study/amc/public/protocols/protocols.htm. Accessed April 9, 2009.