The most appropriate choice is B. The history andphysical findings suggest that the patient may have afracture or contusion of the foot from trauma. There areno systemic signs that suggest an underlying infectious,chronic inflammatory, or oncologic process. A plain x-rayfilm of the foot is necessary to seewhether a fracture is present andwhether immobilization will be necessary.In the absence of fever and localerythema, infection appears unlikely,and a CBC count is unwarranted.

PATIENT PROFILE:
A 7-year-old boy is brought to the pediatrician's office by his mother. The child reportsa 1-day history of acute left foot pain. He had been playing with friends the previousday when he dropped a weight on his left foot. He was wearing shoes at the time. Thefoot has been tender for the past 24 hours, and it is now swollen (Figure 1). The childis not limping.
The patient's temperature is 36.6oC(97.80F); respiration rate is 20 breaths/min;pulse rate is 105 beats/min; and bloodpressure is 111/76 mm Hg.
WHAT WOULD YOU DO NOW?A. Observe the child for several days to see ifthe swelling and tenderness abate.
B. Order a plain x-ray film of the foot.
C. Order a complete blood cell (CBC) count.
D. Order plain x-ray films and a CBC count.

Figure 2

Figure 3
THE CONSULTANT'S CHOICE
The most appropriate choice is B. The history andphysical findings suggest that the patient may have afracture or contusion of the foot from trauma. There areno systemic signs that suggest an underlying infectious,chronic inflammatory, or oncologic process. A plain x-rayfilm of the foot is necessary to seewhether a fracture is present andwhether immobilization will be necessary.In the absence of fever and localerythema, infection appears unlikely,and a CBC count is unwarranted.
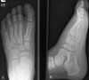
The x-ray films taken on the initialvisit are as shown (Figure 2). Theanteroposterior view (A) is normal;however, the lateral view (B) is abnormal.Minimal soft tissue swelling,consistent with a history of trauma, isnoted. There is no fracture or periostealelevation of the cuneiform ormetatarsal bones.
The pediatrician advises thischild's mother to give the boy anover-the-counter analgesic and to returnto the office if the swelling andpain fail to abate within 3 days. Ifan occult fracture is present, symptomswould persist and a follow-upx-ray film would be likely to demonstratea periosteal reaction at thefracture site.
The next visit. Four days later,the child and his mother return to thepediatrician's office. The child now contradicts his earliercomplaint of a 1-day history of foot pain; instead, he reportsthat he has had left foot pain for about 2 weeks. Hisfoot has become markedly tender, red, and swollen duringthe past 24 hours (Figure 3). The previous night, the patient'stemperature was 38C (100.4F). He now walkswith a limp.
The patient's temperature is currently 36.5C(97.6F); his respiration rate is 24 breaths/min; pulse rateis 125 beats/min; and his blood pressure has risen to131/80 mm Hg.
The differential diagnosis now includes cellulitis,pyomyositis, tenosynovitis, septic arthritis, viral arthritis,and osteomyelitis. Leukemia is a possibility for bone painand tenderness, yet the signs of fever, edema, and erythemasuggest localized infection (Table).
WHAT WOULD YOU DO NOW?A. Check the WBC count, hemoglobin,erythrocyte sedimentation rate (ESR) and/orC-reactive protein, and order blood cultures.
B. Order new plain x-ray films.
C. Choices A and B.
D. MRI of the foot plus choice A.
E. CT of the foot plus choice A.
F. Bone scan of the foot plus choice A.

Figure 4A

Figure 4B
THE CONSULTANT'S CHOICES
To narrow the differential, blood work and a new setof x-ray films are indicated (Option C). Leukocytosis andan elevated ESR and/or C-reactive protein level may confirmthe presence of bacterial infection in the soft and/orbony tissues. A plain x-ray film may reveal increased softtissue swelling (suggestive of cellulitis and/or tenosynovitis),periosteal elevation (suggestive of osteomyelitis), orcallus formation (suggestive of a healing fracture). NormalWBC cytology findings and hemoglobin will rule outleukemia.
Choice D is also correct, although more expensive.MRI is excellent for locating acute inflammation and earlytissue ischemia or destruction of the bone, tendons, jointcapsules, and soft tissue. CT is not as sensitive as MRI fordetection of early infection/inflammation. While a bonescan may demonstrate increased WBC activity, it will notdistinguish tenosynovitis from osteomyelitis, whereas theMRI will.
The patient's WBC count is 16.7 109/L, with adifferential count of 73% neutrophils, 18% lymphocytes,9% monocytes, and 1% basophils. His hemoglobin is12.4 g/dL; ESR is 57 mm/h (normal range, 0 to 20mm/h).
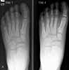
Figure 4 (A and B) shows the old and new x-rayfilms. Comparison of the lateral views reveals increasedsoft tissue swelling with a question of different soft tissuedensity along the periosteum of the metatarsal and cuneiformbones. There is no periosteal elevation. The roentgenographicchanges, coupled with the clinical picture,suggest a diagnosis of cellulitis or tenosynovitis. Osteomyelitisis a remote possibility.

Figure 5
In the hospital. The pediatrician makes a presumptivediagnosis of cellulitis, admits the patient to the hospital,and initiates therapy with intravenous cefazolin, 50 to100 mg/kg/d divided every 6 hours. Figure 5 shows thepatient's foot 36 hours after the start of antibiotic therapy.Examination reveals increased swelling and tendernessover the dorsal surface; no fluctuance is present. Althoughcellulitis may not respond clinically to intravenous antibiotictherapy for up to 48 hours after its initiation, the patient'sincreasing foot pain prompts repeated laboratoryexamination.
The patient's WBC count is now 15.7 109/L, with51% neutrophils, 1% bands, 36% lymphocytes, and 12%monocytes; his hemoglobin has dropped to 11 g/dL; andhis ESR has risen to 85 mm/h. The blood culture showsno growth thus far.
WHAT WOULD YOU DO NOW?A. Order a CT scan.
B. Request an MRI.
C. Order a bone scan.
D. Continue intravenous antibiotics and observe.
E. Consider needle aspiration.
THE CONSULTANT'S CHOICE
Option B is the best choice in this setting. The MRIwill demonstrate the presence of pus and whether it ispresent in the soft tissue, tendon sheaths, and/or bone.Again, CT is not as sensitive as MRI, and a bone scandoes not delineate pus location as well as MRI. Needle aspirationis a reasonable alternative, but where to aspirateis uncertain considering the absence of tissue fluctuancein this patient.

Figure 6A

Figure 6B
The T2-weighted MRI scan reveals increased signalin the second cuneiform body with breakthrough into thesurrounding dorsal tissue (Figure 6, A and B). The scanconfirms the diagnosis of osteomyelitis.
Arrangements are made for the patient to undergoincision and drainage of the left foot. During the procedure,15 mL of pus is removed; blood cultures growStaphylococcus aureus, which is sensitive to oxacillin. Antibiotictherapy is adjusted accordingly.
KEY POINTS
The key teaching point here: cellulitis may indicateunderlying deep tissue infection -whether pyomyositis,tenosynovitis, or osteomyelitis. Osteomyelitis can bedifficult to diagnose given that its manifestations overlapwith those of cellulitis. Because osteomyelitis can culminatein lifelong disability if it is not promptly and aggressivelydiagnosed and managed, a high index of suspicionis mandatory.
Several imaging techniques aid in the diagnosticworkup of a patient with symptoms of persistent or worseningcellulitis. Although plain x-ray films may reveal anunderlying foreign body or chronic osteomyelitis, they arenot an effective means of evaluating early signs of septicarthritis or osteomyelitis. Nuclear bone scanning, however,may show early evidence of these disorders-usually within24 to 48 hours of their onset. This test may help establishthe diagnosis if signs and symptoms are inconclusive.CT scanning may detect bone destruction secondary to infection,but it is not as sensitive in detecting early signs ofosteomyelitis compared with the bone scan or MRI.MRI offers the best means of visualizing bones,cartilage, and soft tissue structures without ionizing radiation.In osteomyelitis and septic arthritis, a T2-weightedMRI image shows enhanced signals of early inflammationin the periosteum and marrow and in synovium,respectively.
FOR MORE INFORMATION: