
A 47-year-old woman was referred for evaluation of fever of unknown origin. Her symptoms included persistent daily fevers (temperature up to 38.8°C [102°F]), weight loss, and severe right flank pain of 3 months’ duration. Review of systems was notable for nausea, rigors, pruritus, and urticaria. The patient’s symptoms began shortly after she returned from a trip to India, Thailand, and New Zealand.
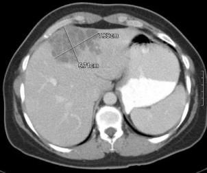
Laboratory test results revealed a microcytic anemia (hemoglobin level, 111 g/L; mean corpuscular volume, 75.1 fL) and a normal leukocyte count (5 x 106/L), with 17.5% eosinophils. Serum liver enzyme levels were normal. The patient’s erythrocyte sedimentation rate (ESR) was 105 mm/h, and her serum IgE level was 550 IU/mL (normal range, 0 to 100 IU/mL). A CT scan of the abdomen showed multiple cystic areas in the liver (Figure 1). Test results for hepatitis, malaria, and tuberculosis were negative. Results of a test for Toxocara canis IgG were negative.

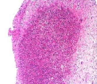
Trichrome staining of stool specimens showed no ova or parasites. Hematoxylin-eosin stain of a liver biopsy specimen revealed noncaseating granulomas with eosinophilic infiltrate (Figure 2). Eggs of Capillaria hepatica were also found in one of the biopsy specimens. Periodic acid–Schiff and acid-fast stains yielded negative results. The Armed Forces Institute of Pathology, which provided these results, reported eosinophilic abscess with necrosis and numerous Charcot-Leyden crystals.
What's Your Diagnosis?
Diagnosis: Eosinophilic granulomatous disease of the liver caused by C hepatica.
The patient was treated with albendazole 400 mg twice daily. At 1-month follow-up, she no longer had fever or abdominal pain. Her ESR decreased to 27 mm/h, and her serum IgE level decreased to162 IU/mL. After completing a 12-week course of albendazole, the patient remains asymptomatic. This case highlights the importance of obtaining a travel history from patients with fever of unknown origin.
Discussion
Capillaria is a nematode of the Trichinelloidea superfamily. More than 250 species exist, but only 4 of them-C hepatica, Capillaria aerophilia, Capillaria plica, and Capillaria philippinensis-infect humans.1C hepatica was first described by Bancroft2 in 1893. The usual host is the liver of rodents, while humans are accidental hosts.
The symptoms of infection with this nematode include painful hepatomegaly, fever, myalgias, and weight loss. Laboratory test findings include a marked eosinophilia and an elevated ESR. Liver enzyme levels may be mildly elevated.3 The diagnosis can be confirmed by liver biopsy. The biopsy specimen usually shows granuloma with eosinophilic infiltrate; finding the live worm or eggs is diagnostic. The finding of eggs on stool examination is not confirmatory of disease, because unfertilized eggs can pass in the stool without causing infection. The presence of eggs in the stool only indicates that the person consumed infected liver.4 Currently, serological testing is unavailable, but indirect immunofluorescence assay for detecting early disease and for screening is being studied.5
Infectious diseases in the differential diagnosis of eosinophilic granuloma of the liver include visceral larva migrans (caused by Toxocara species) and schistosomiasis; noninfectious diseases include Langerhans cell histiocytosis (eosinophilic granuloma), allergic granulomatous angiitis (Churg-Strauss syndrome), and hypereosinophilic syndrome. Drug-induced granulomas are typically noncaseating. Tuberculosis and sarcoidosis can cause granulomatous hepatitis, but without the presence of eosinophils.6
Only 28 cases of human Capillaria infection have been reported in the literature. Treatment consists of anthelmintic medications; concomitant use of corticosteroids is also recommended.3
REFERENCES
1. Cross JH. Intestinal capillariasis. Clin Microbiol Rev. 1992;5:120-129.2. Bancroft TL. On the whip-worm of the rat’s liver. J Proc R Soc N S W. 1893;27:86-90.3. Pereira VG, Mattosinho Franca LC. Successful treatment of Capillaria hepatica infection in an acutely ill adult. Am J Trop Med Hyg. 1983;32:1272-1274.4. Neafie RC, Connor DH, Cross JH. Capillariasis (intestinal and hepatic). In: Binford CH, Connor DH, eds. Pathology of Tropical and Extraordinary Diseases. Vol 2. Washington, DC: Armed Forces Institute of Pathology; 1976:481-492.5. Juncker-Voss M, Prosl H, Lussy H, et al. Serological detection of Capillaria hepatica by indirect immunofluorescence assay. J Clin Microbiol. 2000;38:431-433.6. McMaster KR 3rd, Hennigar GR. Drug-induced granulomatous hepatitis. Lab Invest. 1981;44:61-73.
No Rx Required for COVID-19 Vaccination But ACIP Calls for Better Informed Consent Process
September 22nd 2025The ACIP on September 19 narrowly voted against requiring a prescription to get the shot but urged more detailed discussion of vaccine risks during shared decision making conversations.