A 36-year-old man presents to the emergency department (ED) after a single tonic-clonic seizure. He has a history of numerous male sexual contacts. HIV infection was diagnosed 5 months earlier. At that time his CD4+ cell count was 66/μL and his HIV RNA level was 20,000 copies/mL.

A 36-year-old man presents to the emergency department (ED) after a single tonic-clonic seizure. He has a history of numerous male sexual contacts. HIV infection was diagnosed 5 months earlier. At that time his CD4+ cell count was 66/μL and his HIV RNA level was 20,000 copies/mL. A combination of efavirenz (600 mg/d), emtricitabine (200 mg/d), and tenofovir (300 mg/d) was started, along with atazanavir, 400 mg/d. A regimen for opportunistic infection prophylaxis was initiated as well; this consisted of trimethoprim/sulfamethoxazole (80/400 mg/d), fluconazole (200 mg/d), and azithromycin (1200 mg once a week). However, the patient has not been adherent to his therapy and is currently not taking any medication.
A week before coming to the ED, the patient began to have dull headaches, a fever (temperature, 38°C [100.5°F]), and difficulty in walking without support. He denies vision problems, weakness, paresthesias, syncope, bladder or bowel dysfunction, chills, night sweats, cough, hemoptysis, chest pain, dyspnea, and palpitations. He has no GI or urinary symptoms, rash, or weight change.
History. The patient smokes half a pack of cigarettes a day, does not drink alcohol, and denies use of illicit drugs. He has had no blood transfusions or tattoos and has not traveled outside the United States. He has a cat. His father has diabetes, and his mother has hypertension.
Examination. The patient is thin but appears well nourished. He is afebrile. Heart rate is 76 beats per minute and regular; respiration rate, 20 breaths per minute; and blood pressure, 120/70 mm Hg. His hydration status is good. There is no evidence of anemia, clubbing, or cyanosis. Head, ears, eyes, nose, and throat are normal. Cervical lymph nodes are slightly enlarged but freely mobile and nontender; no other adenopathy is detected. The thyroid gland is of normal size. Heart sounds and respiration sounds are normal, as are the abdomen and genitals. Ankles are not swollen.
A neurological examination reveals a normal skull and spine, a supple neck, and palpable carotids of equal intensity on both sides. The patient is awake, alert, and oriented to time and space. All cranial nerves are intact and fundi are normal. No motor or sensory deficit is evident, and deep tendon reflexes are normal. Meningeal and cerebellar signs are absent. Romberg sign is not present and gait is normal.
Laboratory studies. White blood cell count is 3070/μL, with 60% polymorphonuclear leukocytes, 38% lymphocytes, and 2% monocytes. Hemoglobin level is 12.7 g/dL, and platelet count is 180,000/μL. Erythrocyte sedimentation rate is 33 mm/h. Serum sodium level is 141 mEq/L; potassium level, 3.5 mEq/L; and chloride level, 100 mEq/L. Blood urea nitrogen level is 9 mg/dL, and creatinine level is 1.0 mg/dL. Conjugated bilirubin level is 0.6 mg/dL, and total bilirubin, 1.0 mg/dL. Aspartate aminotransferase level is 21 U/L; alanine aminotransferase, 25 U/L; and alkaline phosphatase, 75 U/L. Total protein level is 8.2 g/dL, and albumin level is 3.0 g/dL. CD4+ cell count is 60/μL, and HIV RNA level is 196,000 copies/mL. Urinalysis does not show any abnormalities. Results of a hepatitis panel are negative, as are results of a rapid plasma reagin test. Neither Toxoplasma antibodies nor Coccidioides antibodies are detected. Results of a tuberculin skin test are negative. Chest radiographs show no infiltrates, cavities, or nodules.
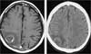
CT scanning of the brain is ordered, with and without contrast.
Based on the clinical picture and laboratory and CT findings, what is the most likely diagnosis?
A. Tuberculoma.
B. Coccidioidoma.
C. Toxoplasma abscess.
D. Lymphoma.
E. Pyogenic brain abscess.
(Answer and discussion on next page.)
WHAT’S WRONG:

The CT images-both with contrast (A) and without contrast (B)-show a ring-enhancing shadow. In a patient with subgroup C3 HIV infection and a single, thin-walled enhancing lesion in the brain, and in whom results of Toxoplasma serology are negative, lymphoma is the most likely diagnosis.
Patients with tuberculoma usually present with constitutional symptoms, a positive tuberculin skin test result, and pulmonary findings. In addition, the CT scan typically shows a nodular density. Findings in patients with coccidioidoma tend to be similar, except that the tuberculin skin test result is negative and Coccidioides serology is positive.
Patients with pyogenic brain abscess also typically present with constitutional symptoms; in addition, there is usually a predisposing condition. The CT scan usually shows multiple lesions.
The presentation and CT findings of toxoplasmosis are quite similar to those of lymphoma (there may be a single lesion or multiple lesions). The 2 entities are usually differentiated by the results of Toxoplasma serology or a response to empiric treatment with pyrimethamine and sulfadiazine. Empiric therapy should result in a 50% reduction in the size of the lesion by 6 weeks; if this is not the case, a brain biopsy is indicated to confirm CNS lymphoma.
Hospital course. A regimen was initiated that consisted of phenytoin, the same antiretroviral agents that had been prescribed previously, and prophylaxis for opportunistic infections. In addition, he was given sulfadiazine, 2 g q8h; pyrimethamine, 100 mg/d; and folic acid, 10 mg/d.
Results of polymerase chain reaction (PCR) testing for Cytomegalovirus were negative. Cerebrospinal fluid (CSF) evaluation revealed normal pressure; a protein level of 42 mg/dL; a glucose level of 88 mg/dL; and a white blood cell count of 1 per high-power field. Results of Gram staining for organisms were negative, and results of PCR testing for Epstein-Barr virus, Cytomegalovirus, and Toxoplasma were negative. CSF cytology did not reveal any malignant cells. An MRI scan of the brain showed a ring-enhancing lesion in the right occipital lobe.
The patient was not able to tolerate sulfadiazine or pyrimethamine; however, results of a second Toxoplasma serology were negative. These results ruled out toxoplasmosis. A brain biopsy revealed non-Hodgkin B-cell lymphoma, large cell type. He was referred to the oncology service, and radiotherapy was initiated
HIV-RELATED NEOPLASMS
Disorders associated with impaired cellular immunity predispose to the development of neoplasms. Thus, patients with HIV infection are at increased risk (65- to 165-fold) for malignancy compared with the general population. 1 The initial case definition of AIDS that was proposed by the CDC in 1982 included the following as AIDS defining neoplasms: CNS lymphomas (both Hodgkin disease and non-Hodgkin type) and Kaposi sarcoma. Later, invasive cervical carcinoma was added to this list.
EPIDEMIOLOGY OF NON-HODGKIN LYMPHOMA
A malignancy develops in about 25% to 40% of patients who are HIV-1–seropositive; in about 10% of these patients, the malignancy is non-Hodgkin lymphoma. The incidence of non-Hodgkin lymphoma increased from 2.3 cases per 1000 person-years before 1986 to 6.2 cases per 1000 person-years between 1992 and 1996. However, since the use of highly active antiretroviral therapy (HAART) became widespread, AIDS-related lymphoma has declined considerably-to 3.6 cases per 1000 personyears for non-Hodgkin lymphoma,1 and even more for primary CNS lymphoma (from 0.17% to 0.07%).2
Non-Hodgkin lymphoma is seen mainly in patients with advanced HIV infection in whom the CD4+ cell count is usually less than 100/μL.3 About 75% of cases of lymphoma in patients with HIV infection develop in those whose HIV infection is poorly controlled.3 The risk of lymphoma is higher in men than in women and increases with age, duration of HIV infection, and decline in immune competence.4
CLINICAL MANIFESTATIONS OF HIV-ASSOCIATED LYMPHOMA
The most prominent clinical feature of lymphoma in the setting of HIV infection is the frequent occurrence of extranodal disease. The most commonly involved sites include the GI tract; body cavities such as the pleural space, pericardium, and peritoneum (“primary effusion lymphoma”); the oral cavity; the CNS; and bone marrow.
Primary CNS lymphoma generally develops insidiously over weeks to months. The most common complaint is headache with focal or multifocal neurological deficits, such as hemiplegia, aphasia, cranial nerve palsies, seizures, confusion, lethargy, memory loss, or personality changes. A few patients may present with associated fever, night sweats, or unintentional weight loss.
Neuroradiological studies are usually sensitive for primary brain lymphomas but do not establish a definitive diagnosis. Characteristically, 1 or 2 lesions are visible on CT or MRI; lesions are located deep in the brain near the lateral ventricles, and they occur most often in the white matter rather than the gray matter. On CT, the lesions may enhance after administration of contrast. MRI scanning is more sensitive. However, definitive diagnosis requires brain biopsy.
DIAGNOSIS OF CNS LYMPHOMA
Diagnosis requires a high index of suspicion. The clinical manifestations and progression of CNS lymphoma are almost identical to those of CNS toxoplasmosis; however, in toxoplasmosis, a number of lesions are usually visible in radiological studies, and the Toxoplasma serology is invariably positive. Most patients in whom CNS lesions are detected on CT or MRI are given a 4- to 6- week therapeutic trial of sulfadiazine and pyrimethamine. If, after this period, there has been no reduction in the size of the lesions (as determined by CT or MRI scanning) or if the lesions have grown in size or number, a brain biopsy is needed to determine the diagnosis.
TREATMENT OF CNS LYMPHOMA
Untreated CNS lymphoma has a rapidly fatal course, with a survival of about 1 to 5 months from the time of diagnosis. However, the introduction of multiple therapeutic interventions during the past decade has led to a substantial improvement in survival time for treated patients.5
Primary CNS lymphoma is extremely sensitive to radiation therapy. Radiation and corticosteroids have been the mainstays of initial treatment, in conjunction with HAART. Patients usually respond rapidly. However, late complications of whole-brain radiotherapy, such as leukoencephalopathy and radiation necrosis, are emerging concerns. In an effort to limit radiotherapy, an alternative approach that uses high-dose methotrexate (3 g/m2 every 14 days) has been tried and has produced complete remission.
The role of surgical intervention in CNS lymphoma is typically limited to stereotactic biopsy for tissue diagnosis. Extensive resection is usually impractical because of the deep location and, often, multifocal nature of most of these tumors.
REFERENCES:
1
. Levine AM. AIDS-related malignancies.
Curr Opin Oncol.
1994;6:489-494.
2
. Aboulafia DM. AIDS-related non-Hodgkin lymphoma: evolving clinical issues in the HAART era.
Infect Med.
2007;24:445-451.
3
. Levine AM, Seneviratne L, Espina BM, et al. Evolving characteristics of AIDS-related lymphoma.
Blood.
2000;96:4084-4090.
4
. Biggar RJ. AIDS-related cancers in the era of highly active antiretroviral therapy.
Oncology
. 2001;15:439-449.
5
. DeAngelis LM. Primary central nervous system lymphoma: a curable brain tumor.
J Clin Oncol
. 2003;33:4471-4473.
FOR MORE INFORMATION:
•Galetto G, Levine A. AIDS-associated primary central nervous system lymphoma. Oncology Core Committee, AIDS Clinical Trials Group. JAMA.1993; 269:92-93.