A 37-year-old man with a 9-year history of HIV infection presented to the emergency department after 5 days of fever, chills, malaise, and a pruritic rash initially on his forehead and arms that spread to his scalp, neck, and legs.
A 37-year-old man with a 9-year history of HIV infection presented to the emergency department after 5 days of fever, chills, malaise, and a pruritic rash initially on his forehead and arms that spread to his scalp, neck, and legs. He denied conjunctivitis, arthralgias, or other associated symptoms. Eight months before presentation, he had started antiretroviral therapy with coformulated emtricitabine/tenofovir plus ritonavir-boosted atazanavir when his CD4+ T-lymphocyte count was at a nadir of 154/µL. His most recent CD4+ T-lymphocyte count was 530/µL, and his HIV RNA level was undetectable. He was also receiving prophylactic trimethoprim/sulfamethoxazole therapy for Pneumocystis jiroveci. His medical history included chronic hepatitis B with no detectable viremia, gonorrhea treated 5 months earlier with ceftriaxone and doxycycline, and varicella as a child.
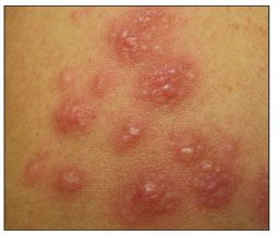
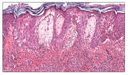
On admission, physical examination findings were notable for a temperature of 39.9°C (103.8°F) and pseudovesicular, mammillated, edematous plaques on his extremities and face (Figures 1 and 2). A complete blood cell count revealed the following: white blood cell count, 14,500/µL (normal, 4,000 to 11,000); hemoglobin level, 12.3 g/dL (normal, 14.0 to 18.0); and platelet count, 294,000/µL (normal, 150,000 to 440,000). A skin biopsy specimen demonstrated a neutrophil-rich upper dermal infiltrate with admixed histiocytes and lymphocytes and edema; no microorganisms were visualized and special stains yielded negative results (Figure 3). Rapid plasma reagin (RPR) testing was reactive (titer 1:128), and a particle agglutination test was positive for Treponema pallidum, consistent with secondary syphilitic infection, while clinical and histological features were characteristic of Sweet syndrome. After treatment with intramuscular penicillin and oral doxycycline, followed by treatment with corticosteroids, the rash resolved without scarring or residual pigmentation. An RPR test was nonreactive 4 months later.

Figure 1.Skin lesions on hospital day 2 on a 37-year-old HIV-infected man with Sweet syndrome.
Photography courtesy of Drs Peter Lio and April Armstrong, Beth Israel Deaconess Medical Center, Harvard Medical School, Boston.

Figure 2. Close-up view of skin lesions on hospital day 2.
Photography courtesy of Drs Peter Lio and April Armstrong, Beth Israel Deaconess Medical Center, Harvard Medical School, Boston.

Figure 3.Representative histopathology from a person with Sweet syndrome (not from present case) showing neutrophil-rich upper dermal infiltrate with marked superficial edema and spongiosis (hematoxylin-eosin stain, original magnification ×100). Special stains (Brown-Brenn, periodic acid-Schiff, acid-fast, Fite, and modified Warthin-Starry silver) are negative for microorganisms. These features are characteristic of Sweet syndrome.
This acute febrile neutrophilic dermatosis was initially described in 1964 by Robert Douglas Sweet.1 Diagnostic criteria for Sweet syndrome were later proposed and require major criteria and at least 2 minor criteria.2 Major criteria include abrupt onset of typical cutaneous lesions and consistent histopathology.2 Minor criteria include antecedent fever or infection; accompanying fever, arthralgias, conjunctivitis, or underlying malignancy; leukocytosis; and good response to systemic corticosteroids with no response to antibiotics.2
Lesions are initially tender, erythematous papules that coalesce into plaques with a mammillated surface. Marked edema within lesions confers a pseudovesicular appearance. Eruption may occur anywhere but is more likely on the head, neck, and upper extremities.3 Histopathology reveals a neutrophilic dermal infiltrate with occasional lymphocytes or histiocytes.3
Although the pathogenesis of Sweet syndrome remains unknown, a hypersensitivity reaction to a bacterial, viral, or tumor antigen has been proposed.4 Various illnesses, including infection, have been associated with Sweet syndrome, but few reports exist documenting Sweet syndrome in HIV-infected persons.5-9 Interestingly, a case of persistent neutrophilic dermatosis has been described in a child with primary T-cell immunodeficiency.10 In 1986, Jordaan and Cilliers described the only previously reported case, to our knowledge, of a person with Sweet syndrome whose serological test results were indicative of syphilis.11
The association of HIV or T pallidum infection with Sweet syndrome remains to be definitively established, and it may even be coincidence.4 However, this case serves as a reminder that syphilis and HIV infection should remain in the differential diagnosis of Sweet syndrome and other unexplained cutaneous lesions. The rate of primary and secondary syphilis in the United States increased to 3.0 cases per 100,000 persons in 2005 after reaching a low of 2.1 cases per 100,000 persons in 2000.12 It is estimated that in major US cities, 20% to 50% of men who have sex with men (MSM) with syphilis are also infected with HIV.12 It has been shown that persons with syphilis can more easily transmit and acquire HIV infection, with the presence of syphilis increasing the transmission of HIV 3- to 5-fold.13,14 To counteract this epidemic, clinicians must maintain a high index of suspicion for this great imitator, especially in the HIV-infected and MSM populations.15,16
Acknowledgment: We thank Dr Peter Lio for his assistance with photography of the skin lesions.
References1. Sweet RD. An acute febrile neutrophilic dermatosis. Br J Dermatol. 1964;76:349-356.
2. Su WP, Liu HN. Diagnostic criteria for Sweet’s syndrome. Cutis. 1986;37:167-174.
3. Cohen PR, Kurzrock R. Sweet’s syndrome revisited: a review of disease concepts. Int J Dermatol. 2003;42:761-778.
4. Cohen PR. Sweet’s syndrome-a comprehensive review of an acute febrile neutrophilic dermatosis. Orphanet J Rare Dis. 2007;2:34.
5. Bevilacqua S, Hermans P, Van Laethem Y, et al. Sweet’s syndrome in an HIV-infected patient. AIDS. 1999;13:728-739.
6. Berger TG, Dhar A, McCalmont TH. Neutrophilic dermatoses in HIV infection. J Am Acad Dermatol. 1994;31:1045-1047.
7. Brady RC, Morris J, Connelly BL, Boiko S. Sweet’s syndrome as an initial manifestation of pediatric human immunodeficiency virus infection. Pediatrics. 1999;104(5 pt 1):1142-1144.
8. Hilliquin P, Marre JP, Cormier C, et al. Sweet’s syndrome and monoarthritis in a human immunodeficiency virus-positive patient. Arthritis Rheum. 1992;35:484-486.
9. Kemmett D, Hunter JA. Sweet’s syndrome: a clinicopathologic review of twenty-nine cases. J Am Acad Dermatol. 1990;23(3 pt 1):503-507.
10. Lipp KE, Shenefelt PD, Nelson RP Jr, et al. Persistent Sweet’s syndrome occurring in a child with a primary immunodeficiency. J Am Acad Dermatol. 1999;40(5 pt 2):838-841.
11. Jordaan HF, Cilliers J. Secondary syphilis mimicking Sweet’s syndrome. Br J Dermatol. 1986;115:495-496.
12. Zetola NM, Klausner JD. Syphilis and HIV infection: an update. Clin Infect Dis. 2007;44:1222-1228.
13. Heffelfinger JD, Swint EB, Berman SM, Weinstock HS. Trends in primary and secondary syphilis among men who have sex with men in the United States. Am J Public Health. 2007;97:1076-1083.
14. Fleming DT, Wasserheit JN. From epidemiological synergy to public health policy and practice: the contribution of other sexually transmitted diseases to sexual transmission of HIV infection. Sex Transm Infect. 1999;75:3-17.
15. McNabb SJ, Jajosky RA, Hall-Baker PA, et al. Centers for Disease Control and Prevention. Summary of notifiable diseases-United States, 2005. MMWR. 2007;54:1-92.
16. Fitzgerald F. The great imitator, syphilis. West J Med.1981;134:424-432.
Phase 3 Data Support Oral Orforglipron for Weight Maintenance After GLP-1–Based Weight Loss
December 19th 2025Topline Phase 3 ATTAIN-MAINTAIN data show oral orforglipron met primary and key secondary endpoints for weight maintenance after prior GLP-1–based injectable therapy in adults with obesity.