Lung herniation was first describedin the 15th century. A systemto classify hernias as cervical,thoracic, or diaphragmatic and as eithercongenital or acquired was developedin 1847.

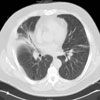
Figure 1

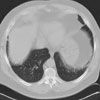
Figure 2
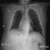
A 61-year-old man is admitted to thehospital with a 1-week history of severenonproductive cough and pleuriticchest pain. He also has a right posterolateralchest wall mass that appearedafter an episode of coughing5 days earlier. The patient reportsthat the mass enlarges when he coughs.He has had no fever, chills, nightsweats, change in weight, or hemoptysisduring the past week.Recent hospitalization. About2 weeks earlier, the patient was hospitalizedfor community-acquired pneumoniathat involved the right middlelobe. A chest CT scan obtained at thetime showed pneumonia but no otherabnormalities (Figure 1). After hereceived antimicrobial therapy, theradiographic appearance of the pneumoniaimproved and his leukocytosisdecreased. He was discharged after5 days; opioid therapy was prescribedto control his cough, which had diminishedduring his hospital stay.Current physical findings. Vitalsigns are normal. No hypoxia is notedwhile the patient is breathing roomair. Breath sounds are decreased overthe right lung base. The large soft tissuedefect of the chest wall increasesin size with expiration and moves inwardwith inspiration.Current CT findings. A CT scanof the chest (with scout film) revealsa right posterolateral splaying of theribs at T9 to T10 and a segment ofherniated lung that extends throughthe intercostal space (Figures 2 and3). These findings were not present onthe earlier CT scan (see Figure 1).
LUNG HERNIATION:AN OVERVIEW
Lung herniation was first describedin the 15th century. A systemto classify hernias as cervical,thoracic, or diaphragmatic and as eithercongenital or acquired was developedin 1847.1 Lung herniation isuncommon; it may develop aftertrauma or chest wall surgery, at thesite of the surgical incision. A fewcases of lung herniation secondaryto cough in patients with chronic obstructivepulmonary disease havebeen reported.2,3 To our knowledge,this is the first reported case of aspontaneous lung herniation resultingfrom an episode of acute coughin a patient with a recent history ofpneumonia.
Diagnosis. Confirmation of lungherniation typically requires chest imaging.A diagnosis can often be madebased on inspiratory and expiratorychest radiographs. In patients whoare candidates for surgical repair, achest CT scan can help ascertain theextent of the chest wall defect.3

Figure 3

Figure 4
Treatment. Thoracic lung herniasgenerally require surgical repair.Surgery is curative and shouldbe considered for patients whohave refractory pain, recurrent infections,hemoptysis, or symptomsthat interfere with daily activities.3
Palliative treatment, using acompression bandage or corset,may be preferred for asymptomaticpatients and for those in whomsurgical repair is contraindicated.Advise patients that this approachposes the risk of hernia incarceration.4 Those who opt for conservativetreatment require follow-upwith serial visual and auscultatoryexaminations; chest CT is warrantedif the physical findings change.
OUTCOME OF THIS CASE
The intercostal muscle tearprobably occurred during an initialbout of coughing associated with therespiratory tract infection. Althoughthe cough was better controlled afteropioid therapy was prescribed, thepatient still had some residualcough, which most likely worsenedthe tear. The cough probably thenbecame more severe because theherniation irritated the pleura.The patient elected to pursue aconservative strategy and is currentlydoing well.
REFERENCES:1. Morel-Lavelle A. Hernies du Poumon. Bull SocChir Paris. 1847;1:75.
2. Tack D. Spontaneous lung herniation after a singlecough. Eur Radiol. 2000;10:500-502.
3. Scullion DA, Negus R, al-Kutoubi A. Case report:extrathoracic herniation of the lung with a review ofthe literature. Br J Radiol. 1994;67:94-96.
4. Francois B, Desachy A, Cornu E, et al. Traumaticpulmonary hernia: surgical versus conse