Spinal problems include epidural abscess, paravertebral muscle atrophy, Chiari I malformation, osteomyelitis/discitis, diastematomyelia, spinal compression, spinal tuberculosis.
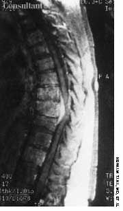
An obese woman presented with worsening midline back pain. This MRI scan shows a spinal epidural abscess (white arrow). Diabetes mellitus was her only risk factor. Her presentation, including an initial miss by her primary care physician, is fairly classic.

Image courtesy of Brady Pregerson, MD.
Click here for the next image
Atrophy of the paravertebral musculature-“the spine sign”-in this 64-year-old man offers clues to the genesis of the coronary artery disease for which he had undergone a coronary artery bypass graft and to the cause of his severe post-CABG anterior chest pain. An MRI scan found that the spinal cord was within normal limits, but electromyographic studies showed focal branch nerve injury to the paraspinal muscles.

Image courtesy of Michael Zeihan, MD.
Click here for the next image
A 29-year-old man presented with a 4-year history of headache and severe neck pain. No abnormalities were seen on a flexion-extension radiograph of the cervical spine. A cervical MRI scan without contrast revealed a Chiari I malformation with herniation of the cerebellar tonsils measuring up to 2.7 cm (arrow) and extensive syringomyelia (arrowheads).

Image courtesy of Jason J. Song, MD, PhD and Franklin E. Caldera, DO, MBA.
Click here for the next image
An HIV-positive 38-year-old man with a history of injection drug use presented with abdominal and back pain that worsened with motion. A lateral lumbar spine radiograph showed an abnormality at the L2-3 level, which suggested diskitis. Vertebral osteomyelitis/diskitis often is diagnosed late. Patients may have symptoms for months before plain films show evidence of bone inflammation or loss of disk height.

Image courtesy of D. Brady Pregerson, MD.
Click here for the next image
A 43-year-old woman had worsening thoracic and lumbar pain associated with tingling and tightness in the anterior upper and lower abdominal area. An urgent MRI of the thoracic spine showed a soft tissue mass that extended from C7 to T4 and involved the prevertebral, paravertebral, and intraspinal spaces (arrow); this caused compression and posterior displacement of the spinal cord and an anterior T2 vertebrae compression fracture. The patient had spinal tuberculosis (Pott disease).

Image courtesy of Hui Han, MD, Franklin E. Caldera, DO, Sumankumar Brahmbhatt, MD, and Rodica Alexandrescue, MD.
Click here for the next image
A 42-year-old woman had a “life-long” history of mild to moderate low back pain, without radiation, anesthesia, weakness, or incontinence. An MRI scan without contrast of the lumbar spine revealed a sagittal division of the spinal cord into 2 halves at the L2-3 level separated by a cartilaginous septum. She was given a diagnosis of diastematomyelia, a rare congenital neural-tube defect, in which a bony spicule or fibrous band from the body of one of the thoracic or lumbar vertebrae protrudes into the spinal canal, dividing the cord into halves.

Image courtesy of Millicent King Channell, DO, MA.
Click here for the next image
Back pain and weakness of both legs had bothered a 60-year-old woman for 1 week. Left breast cancer, stage 2, had been diagnosed 2 years before. An MRI scan of the thoracic spine demonstrates a lesion at T8 that compresses the spinal cord. Spinal cord compression secondary to metastic lesion follows brain metastasis as the most common neurological complication of malignancy.

Image courtesy of Hesham Taha, MD, Gamil Kostandy, MD, and David Dosik, MD.
Click here for the next image
Meningeal signs may be caused by conditions other than meningitis. A radiograph of a young woman with meningeal signs shows widening of the prevertebral soft tissues, a finding consistent with a retropharyngeal abscess. At first glance the soft tissues may appear normal, but there should be a step-off around C3-4, which is not noted in this film.

Image courtesy of Brady Pregerson, MD.
Click here to return to the first image.