ABSTRACT: When a solitary lung nodule is detected, the key question is whether the lesion is malignant. The initial evaluation includes a careful history taking focused on risk factors for malignancy, a thorough physical examination, comparison of current chest films with previous ones, and CT scanning. Radiologic signs that suggest malignancy include lesion size greater than 2 cm in diameter, spiculated margins, lack of calcification, and change in size. Video-assisted thoracoscopic surgery or thoracotomy is the next step for patients with a suspected malignant lesion. If the results of the initial evaluation are equivocal, positron emission tomography (PET) scanning is the preferred follow-up.
Detection of a solitary lung nodule is a common clinical dilemma. Each year, an estimated 150,000 of these nodules are found incidentally on chest radiographs and CT scans in the United States.1
Many solitary lung nodules are benign; however, 30% to 40% are malignant.2,3 The incidence of malignant lesions is higher in patients with a history of cancer (Box). In fact, solitary lung nodules are assumed to be malignant in such patients unless proven otherwise. Of the benign lesions, 80% are infectious granulomas, 10% are hamartomas, and 10% are caused by various rare disorders.4,5
Prompt identification of malignant lesions is imperative to ensure optimal treatment. For example, the 5-year survival rate after resection of limited-stage bronchogenic carcinoma is 40% to 80%.1,6 On the other hand, if the nodule is benign, it is important to avoid the morbidity that is associated with invasive procedures.
Although tissue biopsy and histologic evaluation may be required to make the diagnosis in some patients, a systematic approach to the workup can help prevent unnecessary procedures in many others. In this article we describe such an approach, which includes a complete history focused on risk factors for malignancy, a thorough physical examination, a review of previous chest films, CT scanning, and judicious use of newer diagnostic tests.
INITIAL EVALUATION
History. Focus on risk factors most likely to be associated with malignancy. Pay particular attention to:
Also be alert for clues that point to pulmonary infection or mycosis, such as:

Figure 1

Figure 2
Physical examination. Look for signs of generalized inflammation, such as lymphadenopathy, and for the presence of malignancy. To identify the latter, examine the nasopharynx, breast, thyroid, skin, and rectum (to evaluate the prostate and to check for blood in the GI tract). Note any palpable masses.
Chest radiography. The goal of the initial radiologic evaluation of a solitary lung nodule is to differentiate benign from malignant lesions noninvasively and as accurately as possible.
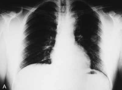
Chest radiography is the primary imaging modality for a solitary lung nodule (Figure 2A). Chest films can delineate nodule size, margin characteristics, calcification, and growth rate. All of these features can help predict the likelihood of malignancy.
Size. Solitary lung nodules are focal, spherical areas of increased opacity of less than 3 cm in diameter.8,9 (Larger lesions are typically referred to as pulmonary masses.)
Generally, the smaller the nodule, the more likely it is to be benign.10,11 However, small size alone does not exclude lung cancer; 15% of malignant nodules are less than 1 cm in diameter when first detected and 42% are less than 2 cm.
Margins. The margin characteristics can also indicate malignancy. Most benign nodules have smooth margins, while a nodule with spiculated margins ("sunburst" or "corona radiata" sign) is likely to be malignant.11-13 However, 21% of malignant lesions have well- defined, smooth margins.11
Calcification. A central pattern of calcification is typical of a granuloma; the classic "popcorn" pattern suggests a hamartoma. However, as with smooth margins, the presence of calcification is not always a sign that a lesion is benign.
Growth rate. Whenever possible, obtain all previous radiographs to determine the length of time the lesion has been present and whether there has been any change in size (Figure 2B). Keep in mind that some malignant lesions appear to be unchanged even after 2 years.11-13
CT. Chest CT scanning, which supplements chest films, is an integral part of the initial evaluation of a solitary lung nodule (Figure 2C). CT is more sensitive than plain radiography and can determine whether a nodule identified on a chest film is indeed solitary. CT also provides better visualization of the nodule, is more sensitive for calcification,14 and can be used to guide thoracic needle aspiration biopsies when indicated.
In addition, CT densitometry can quantify the density of the nodule (expressed in Hounsfield units [HU]). Nodules that demonstrate enhancement of more than 15 HU raise suspicion of malignancy, while those that demonstrate enhancement of less than 15 HU are more likely benign. In a prospective multicenter trial, high-resolution CT scanning with contrast enhancement had a sensitivity of 98%, a specificity of 58%, and an overall accuracy of 77%.15 This measurement may be helpful when considered along with other features. However, because many benign processes (such as hamartomas and active granulomas) may also produce enhancement, a high false-negative rate has been observed when CT densitometry is used alone.16
CLASSIFICATION OF NODULES
The combined results of the history, physical examination, chest film, and CT scan permit classification of a solitary lung nodule as "benign," "malignant," or "indeterminate."
"Benign" lesions include:
It is prudent to continue to monitor patients with a solitary lung nodule classified as benign because it has remained unchanged for 2 years. Evaluate such patients every 6 months for an additional 1 or 2 years-with CT if possible, otherwise with radiographs. Also, try to obtain CT scans or radiographs that were done before the lesion was first detected.
"Malignant" solitary lung nodules are those considered to have a very high probability of malignancy. An example would be a new, uncalcified lung mass in an older patient with a history of heavy smoking.Video-assisted thoracoscopic surgery (VATS) or thoracotomy is the next step for patients with a suspected malignant lesion.
Most solitary lung nodules (70% to 75%) are classified as radiologically "indeterminate" on the basis of a standard evaluation with a chest radiograph and a CT scan. Further management of indeterminate solitary lung nodules is controversial. The options include invasive diagnostic procedures, such as bronchoscopy or needle biopsy; positron emission tomography (PET); or thoracotomy.
ADJUNCTIVE TESTS
Biopsy. Bronchoscopy and transthoracic needle aspiration biopsy (TNAB) are the traditional options. Bronchoscopy may be useful if the lesion is 2 cm or more in diameter and can be accessed via a bronchus. In other settings, the false-negative rate is high; thus, in most patients bronchoscopy is of limited value and has a relatively low diagnostic yield.17
Consider TNAB if the solitary lung nodule is smaller than 2 cm. The diagnostic yield is high for peripheral lesions. A negative result on TNAB may reliably rule out pulmonary mycosis in patients who live in areas where the incidence of this infection is high.However, for patients in whom malignancy is strongly suspected, the false-negative rate will be too high for a negative result to exclude malignancy.18,19Also, only a small percentage of indeterminate nodules will be specifically identified as benign on the basis of needle biopsy.
Finally, keep in mind thatTNAB has higher complication rates than bronchoscopy.
Thoracotomy. Although thoracotomy is the most definitive way to establish a diagnosis in patients with a solitary lung nodule, operative mortality is 3% to 7%.20
VATS. This relatively new procedure offers the benefit of lower perioperative morbidity and a shorter hospital stay. However, conversion to open thoracotomy may be required in up to 25% of patients, depending on the operator and the institution.21 Conversion rates can be reduced by the use of pre-VATS localization techniques with methylene blue injections, wire localizations or CT-guided agar injection, or intra-operative ultrasonography.22
PET. This study uses uptake of 2-fluoro-deoxy-D-glucose (FDG) to measure glucose metabolism. The uptake of FDG by lung tumors is greater than that of normal lung parenchyma. In a patient with a solitary lung nodule, the sensitivity and specificity of PET for malignancy are 89% to 100% and 79% to 100%, respectively.23 However, with nodules less than 15 mm in diameter, PET is less reliable and produces a higher rate of false-negatives; with these smaller nodules, the sensitivity of PET is only 80%.24 PET is particularly useful in evaluating indeterminate lesions in patients who are a poor surgical risk (Figure 2D). Other benefits of PET scanning are detection of occult metastases and improved staging.




A CT-plus-PET strategy has been shown to be more cost-effective and also prevents more unnecessary thoracotomies than conventional approaches.
25,26
CT-plus-PET (or MRI-plus-PET) can demonstrate nodule enhancement. A recent meta-analysis showed this approach has a sensitivity of 96.8% and a specificity of 77.8% for malignancy.
27,28
However, the settings in which this combined mode of investigation works best have yet to be determined.
Thus, PET scanning is the preferred approach in patients who have a solitary lung nodule classified as "indeterminate" after the initial evaluation. If the PET scan is negative, follow-up with serial CT scans is appropriate. A positive PET scan indicates that malignancy is likely, thus justifying the risks associated with surgery.
REFERENCES:
1.
Shields TW. Surgical therapy for carcinoma ofthe lung. Clin Chest Med. 1993;14:121-147.
2.
Comstock GW, Vaughn RH, Montgomery G. Outcomeof solitary pulmonary nodules discovered in anx-ray screening program. N Engl J Med. 1956;254:1018-1022.
3.
Midthun DE, Swensen SJ, Jett JR. Approach tothe solitary pulmonary nodule. Mayo Clin Proc.1993;68:378-385.
4.
Higgins GA, Shields TW, Keehn RJ. The solitarypulmonary nodule: ten-year follow-up of VeteransAdministrationâArmed Forces Cooperative Study.Arch Surg. 1975;110:570-575.
5.
Ray JF 3rd, Lawton BR, Magnin GE, et al. Thecoin lesion story: update 1976: twenty years’ experiencewith thoracotomy for 179 suspected malignantcoin lesions. Chest. 1976;70:332-336.
6.
Williams DE, Pairolero PC, Davis CS, et al. Survivalof patients surgically treated for stage 1 lung cancer.J Thorac Cardiovasc Surg. 1981;82:70-76.
7.
Huston J 3rd, Muhm JR. Solitary pulmonary opacities:plain tomography. Radiology. 1987;163:481-485.
8.
Khouri NF, Meziane MA, Zerhouni EA, et al. Thesolitary pulmonary nodule. Chest. 1987;91:128-133.
9.
Viggiano RW, Swensen SJ, Rosenow EC. Evaluationand management of solitary and multiple pulmonarynodules. Clin Chest Med. 1992;13:83-95.
10.
Zwirewich CV, Vedal S, Miller RR, Muller NL. Solitarypulmonary nodule: high resolution CT and radiologic-pathologic correlation. Radiology. 1991;179:469-476.
11.
Gurney JW. Determining the likelihood of malignancyin solitary pulmonary nodules withBayesian analysis. Radiology. 1993;186:405-413.
12.
Zerhouni EA, Stitik FP, Siegelman SS, et al. CTof pulmonary nodule: a cooperative study. Radiology.1986;160:319-327.
13.
Theros EG. Varying manifestations of peripheralpulmonary neoplasms: a radiologic-pathologic correlativestudy. Am J Roentgenol. 1977;128:893-914.
14.
Berger WG, Erly WK, Krupinski EA, et al. Thesolitary pulmonary nodule on chest radiography: canwe tell if the nodule is calcified? Am J Roentgenol. 2001;176:201-204.
15.
Swensen SJ, Viggiano RW, Midthun DE, et al.Lung nodule enhancement at CT: multicenter study.Radiology. 2000;214:73-80.
16.
Swensen SJ, Harms GF, Morin RL, Myers JL.CT evaluation of solitary pulmonary nodules: valueof 185-H reference phantom. Am J Roentgenol.1991;156:925-929.
17.
Lillington GA, Caskey CI. Evaluation and managementof solitary and multiple pulmonary nodules.Clin Chest Med. 1993;14:111-118.
18.
Khouri NF, Stitik FP, Erozan YS, et al. Transthoracicneedle aspiration biopsy of benign and malignantlung lesions. Am J Roentgenol. 1985;144:281-288.
19.
Berquist TH, Bailey PB, Cortese DA, MellerWE. Transthoracic needle biopsy: accuracy andcomplications in relation to location and type of lesion.Mayo Clin Proc. 1980;55:475-481.
20.
Rusch VW. Pulmonary metastasectomy. Currentindications. Chest. 1995;107(suppl 6):322S-331S.
21.
Schwarz CD, Lenglinger F, Eckmayr J, et al. VATS(video-assisted thoracic surgery) of undefined pulmonarynodules: preoperative evaluation of videoendoscopicresectability. Chest. 1994;106:1570-1574.
22.
Suzuki K, Nagai K, Yoshida J, et al. Video-assistedthoracoscopic surgery for small indeterminatepulmonary nodules. Chest. 1999;115:563-568.
23.
Gupta NC, Frank AR, Dewan NA, et al. Solitarypulmonary nodules: detection of malignancy withPET with 2-[F-18]-fluoro-2-deoxy-D-glucose. Radiology.1992;184:441-444.
24.
Lowe VJ, Fletcher JW, Gobar L, et al. Prospectiveinvestigation of positron emission tomographyin lung nodules. J Clin Oncol. 1998;16:1075-1084.
25.
Dewan NA, Shehan CJ, Reeb SD, et al. Likelihoodof malignancy in a solitary pulmonary nodule:comparison of Bayesian analysis and result of FDGPETscan. Chest. 1997;112:416-422.
26.
Gambhir SS, Shepherd JE, Shah BD, et al. Analyticaldecision model for the cost-effective managementof solitary pulmonary nodules. J Clin Oncol.1998;16:2113-2125.
27.
Gould MK, MacLean CC, Kuschner WG, et al.Accuracy of PET for diagnosis of pulmonary nodulesand mass lesions: a meta-analysis. JAMA. 2001;285:914-924.
28.
Balk E, Lau J. PET scans and technology: déjà vu? JAMA. 2001;285:936-937.