These lesions on the scrotum of an otherwise healthy 42-year-old man had gradually increased in size and quantity over the past 3 to 4 years. The firm, skin-colored papules and nodules ranged in size from 0.8 to 2 cm. The lesions caused occasional discomfort and itching. No inguinal rash or urethral discharge was noted. There was no sign of a hernia, and both testes were in the scrotum.

These lesions on the scrotum of an otherwise healthy 42-year-old man had gradually increased in size and quantity over the past 3 to 4 years. The firm, skin-colored papules and nodules ranged in size from 0.8 to 2 cm (A). The lesions caused occasional discomfort and itching. No inguinal rash or urethral discharge was noted. There was no sign of a hernia, and both testes were in the scrotum.
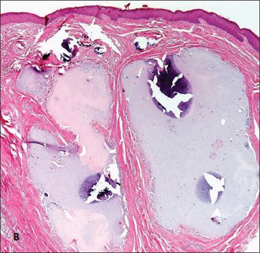
Examination of a biopsy specimen stained with hematoxylin and eosin (H & E) revealed several dilated epidermal cysts (B). These cysts exhibited calcification of their keratin contents, with little evidence of active inflammation. The calcified material stained deeply basophilic with H & E. Some cysts showed rupture of their epithelial walls surrounded by a fibrous capsule.
The pathogenesis of scrotal calcinosis largely remains unknown. It is a rare disorder of the scrotum that affects men between the ages of 20 and 40 years-only 123 cases have been reported in the literature.1 The disorder is characterized by the occurrence of a solitary painless nodule or multiple painless nodules on the scrotum.

Santos and Sarma2 proposed primary and secondary classifications of scrotal calcinosis. In primary scrotal calcinosis, there is no definite cause. In secondary scrotal calcinosis, the causes are identified as calcification of epidermal cysts, calcific degeneration of the dartos muscle, and dystrophic calcification of subcutaneous soft tissue secondary to chronic inflammation or infection.
Shah and Shet3 summarized the events leading to the formation of scrotal calcinosis. They examined 14 cases and concluded that scrotal calcinosis results from calcification of hair follicles and epidermal cysts.
Most patients with scrotal calcinosis are asymptomatic. Patients usually seek medical attention because of itching in the scrotal area or for cosmetic reasons. Reassure the patient that the condition is benign and is not associated with scrotal cancer. Surgical excision of the lesions helps confirm the diagnosis of scrotal calcinosis and is the mainstay of treatment for cosmesis.
REFERENCES:
1.
Saladi RN, Persaud AN, Phelps RG, Cohen SR. Scrotal calcinosis: is the cause still unknown?
J Am Acad Dermatol
. 2004;51(2 suppl):S97-S101.
2.
Santos EE, Sarma DP. Scrotal calcinosis: primary and secondary.
Pathol Int
. 2007;57(suppl 1):37-38.
3.
Shah V, Shet T. Scrotal calcinosis results from calcification of cysts derived from hair follicles: a series of 20 cases evaluating the spectrum of changes resulting in scrotal calcinosis.
Am J Dermatopathol
. 2007;29:172-175.