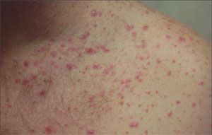
This worsening rash developed after a 40-year-old man was treated with amoxicillin for an upper respiratory tract infection. When the rash started, the amoxicillin was discontinued and azithromycin was prescribed; however, the rash has persisted. The patient has no history of allergies or rashes. He takes no other medications.
Case 1:
What caused this intensely pruritic eruption?
How do you explain this asymptomatic rash on a woman’s breast?
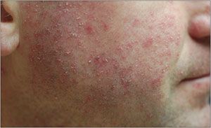
What clues in the history point to the cause of this itchy, scaly eruption?
This worsening rash developed after a 40-year-old man was treated with amoxicillin for an upper respiratory tract infection. When the rash started, the amoxicillin was discontinued and azithromycin was prescribed; however, the rash has persisted. The patient has no history of allergies or rashes. He takes no other medications.



What are you looking at here?
A. Guttate psoriasis.
B. Drug reaction to amoxicillin.
C. Erythema multiforme.
D. Asteatotic eczema.
E. Scabies
Case 1: Guttate psoriasis

This patient had guttate psoriasis, A, which was related to his streptococcal upper respiratory tract infection. He underwent a short course of cyclosporine, and the rash resolved uneventfully. Ultraviolet light therapy or a short course of methotrexate would also have been effective.
A drug reaction is a possibility, but such reactions do not feature as much scale as is seen here. The same is true of erythema multiforme. The distribution of this patient’s rash would be highly unusual for asteatotic eczema. Scabies typically does not involve the face or scalp.