Images of allergic fungal rhinosinusitis, Wegener granulomatosis, interstitial lung disease, and other respiratory disorders show up in this photo essay.
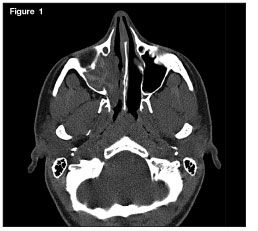
An 18-year-old woman with a history of allergic rhinitis and moderate persistent asthma presented with right-sided nasal congestion of 6 months’ duration. A CT scan showed complete opacification of the right maxillary sinus with increased attenuation of the mucin. Allergic fungal rhinosinusitis, the most common form of noninvasive fungal sinusitis, was the diagnosis.

Image courtesy of Joseph J. Sclafani, MD, Douglas Gottschalk, MD, and Kirk H. Waibel, MD.
Click here for the next image
A 56-year-old man presented to the ED after 4 days of hemoptysis and intermittent left chest pain. He said he had been treated for "pneumonia" twice during the previous month. Chest films revealed bilateral infiltrates (arrows). Renal biopsy found pauci-immune necrotizing glomerulonephritis with cellular crescent formation, consistent with Wegener granulomatosis, a multiorgan disease that most frequently affects the respiratory system and kidneys.

Image courtesy of Shital Patel, MD and Dean Gianakos, MD.
Click here for the next image
A woman presented with severe dyspnea, wheeze, and cough. She previously had been given a diagnosis of asthma. A low-power view of a biopsy specimen shows a terminal and a respiratory bronchiole surrounded by scar tissue and alveolar septal thickening. Brown pigmented macrophages abundant in the air space adjacent to the affected bronchioles led to a diagnosis of respiratory bronchiolitis interstitial lung disease.

Image courtesy of Nirav P. Patel, MD, MPH, and Scott Manaker MD PhD.
Click here for the next image
Right upper lobe consolidation is evident in this chest film from a 2-year-old girl who had an abrupt onset of fever, chills, productive cough, and right-sided abdominal pain. Based on the patient’s workup and response to therapy, the probable diagnosis was streptococcal pneumonia.

Image courtesy of Suzanne M. Lassieur, MD and Richard F. Jacobs, MD.
Click here for the next image
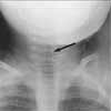
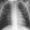
Neck radiographs may help confirm a diagnosis of croup and exclude other causes of the croup syndrome. The anteroposterior view may demonstrate subglottic narrowing-the classic "steeple sign" of croup (top, arrow). Chest radiographs often reveal airway abnormalities, including peribronchial cuffing, atelectasis, and hyperinflation (bottom).


Images courtesy of Stuart A. Bradin, DO.
Click here to return to the first image.