A 63-year-old African American man presented with severe epigastric pain of 1 day's duration. The pain was sharp and continuous and radiated toward the left flank. There were no aggravating or relieving factors or previous similar episodes.
A 63-year-old African American man presented with severe epigastric pain of 1 day's duration. The pain was sharp and continuous and radiated toward the left flank. There were no aggravating or relieving factors or previous similar episodes. The patient denied fever, chills, urgency, frequent or painful urination, and gross hematuria. Earlier that day, he had taken an antacid for presumed gastritis and had a bout of emesis. The patient had a history of cocaine abuse and admitted that he had smoked one fourth of a bag of cocaine the day before presentation.
Blood pressure was 159/93 mm Hg; heart rate, 73 beats per minute; temperature, 36.9°C (98.4°F); respiration rate, 18 breaths per minute; and oxygen saturation, 98% on room air. The chest was clear. Cardiac findings were within normal limits. The abdomen was scaphoid, without scars, rashes, or lesions. There was severe epigastric tenderness and tenderness to percussion of left costovertebral angle, without guarding, spasm, or rebound; no masses or abnormal pulsations were noted. Genitourinary and rectal findings were normal; stool was guaiac-negative. Other physical findings were noncontributory.
The differential diagnosis included renal colic, pyelonephritis, acute gastritis, mesenteric ischemia, and renal infarction. Intravenous hydration with normal saline was started, pending the results of further investigations.
The white blood cell count was 17,300/µL, with 77.2% neutrophils; the hemoglobin level was 13.6 g/dL. Hematocrit was 40.2%; platelet count, 266,000/µL; blood urea nitrogen, 7 mg/dL; serum creatinine, 1.0 mg/dL; total protein, 6.1 g/dL; and serum albumin, 3.0 g/dL. Total bilirubin was 1.1 mg/dL; aspartate aminotransferase, 63 U/L; alanine aminotransferase, 41 U/L; alkaline phosphatase, 51 U/L; serum sodium, 135 mEq/L; potassium, 3.5 mEq/L; chloride, 104 mEq/L; carbon dioxide, 36.2 mEq/L; and lactate dehydrogenase, 341 U/L. A urinalysis showed trace proteinuria, 1 to 3 red blood cells per high-power field, and no white blood cells or casts. Urine toxicology confirmed the presence of cocaine.

Figure A

Figure B

Figure C

Figure D

Figure E
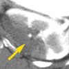
CT scans of the abdomen showed acute infarcts in the medial upper pole and lateral lower pole of the left kidney (Figure). There was no vascular disease in the abdominal aorta, celiac artery, or superior mesenteric arteries. No definite plaque lesions were seen in the right or left renal arteries.
Duplex ultrasonography showed normal blood flow in both renal arteries. Blood and urine cultures were negative. Screening for hypercoagulability (factor V Leiden, prothrombin gene, protein C, protein S, antithrombin III, antiphospholipid antibody, and homocysteine); collagen disease (rheumatoid factor and antinuclear antibody); and lipid disorders was negative for thromboembolic phenomena. A transesophageal echocardiogram showed no evidence of an intracardiac thrombus or valvular vegetations.
Cocaine-induced renal infarction was diagnosed by exclusion. The patient was given supportive therapy for 3 days and was discharged. His renal function was observed during the hospitalization, and renal failure did not occur. His serum creatinine level at the time of discharge was 1.1 mg/dL.
RENAL COMPLICATIONS OF COCAINE ABUSE
Cocaine abuse has reached epidemic proportions in United States.1 Cocaine use has deleterious effects on multiple organ systems. Common toxic effects on the vascular system include myocardial ischemia, mesenteric ischemia, and cerebrovascular accidents. Myocardial ischemia and cerebrovascular accidents are the most common causes of hospitalizations related to cocaine abuse. The annual cost of cocaine-related hospitalizations has exceeded $80 million.2
Renal injury. Renal complications of cocaine abuse are relatively rare. The pathophysiology of renal injury involves changes in renal hemodynamics, glomerular matrix synthesis, degradation, oxidative stress, and induction of renal atherogenesis. These changes may lead to both acute and chronic renal injury. There are several case reports of acute tubular necrosis caused by rhabdomyolysis after cocaine abuse.3 Acute renal failure with accelerated hypertension or malignant hypertension can be precipitated by cocaine use.4
Other renal complications include acid-base and electrolyte imbalance (with both acidemia and alkalemia), increased incidence of urinary tract infection in cocaine-exposed infants, and increased risk of chronic renal failure in patients with hypertension-especially in African Americans.
Renal infarction. Spontaneous renal infarction secondary to cocaine abuse is rare. Patients usually pre- sent with persistent flank or abdominal pain with or without fever, nausea, and vomiting. Of the reported cases of cocaine-induced renal infarction, most involved the right kidney. The predilection for the right kidney may be related to increased resis- tance to blood flow in the right renal artery, compared with the left renal artery, because of its longer course.5
Pathophysiology. The precise mechanism of cocaine-induced renal infarction is unclear. Platelet aggregation and endothelial and vasospastic injury secondary to thromboxane synthesis are possible causes.6 Renal biopsy findings may include arterial and venous thrombosis as well as obliterative arteriopathy. However, our observation in this case and a review of the literature suggest that renal infarction can occur without thrombosis in patients with a history of cocaine abuse.
Laboratory studies. Leukocytosis, hematuria, and elevated levels of lactate dehydrogenase are common but nonspecific findings in patients with renal infarction. These findings can also be seen in patients who have renal venous thrombosis, papillary necrosis, and nephrolithiasis.
Diagnosis. A CT scan of the abdomen is both sensitive and specific for the diagnosis of renal infarction. With the use of intravenous contrast, renal arteries can also be evaluated for plaques or clots. Sagittal reconstruction through the abdominal aorta can adequately demonstrate findings in the aorta, celiac trunk, and superior mesenteric arteries. Coronal reconstruction of the renal arteries is usually best.
The possibility of infarction secondary to an embolic phenomenon should be ruled out with hypercoagulability studies and transesophageal echocardiography.
Treatment and outcome. There is no consensus on the treatment of renal infarction. For this patient, supportive therapy was started early on admission. Because his renal function did not decline, no further treatment was warranted. He was referred to social services for treatment of cocaine abuse but was lost to follow-up.
KEY POINTS FOR YOUR PRACTICE
REFERENCES:
1.
Daras M, Tuchman AJ, Marks S. Central nervous system infarction related to cocaine abuse.
Stroke.
1991;22:1320-1325.
2.
Mochizuki Y, Zhang M, Golestaneh L, et al. Acute aortic thrombosis and renal infarction in acute cocaine intoxication: case report and review of the literature.
Clin Nephrol
. 2003;60:130-133.
3.
Nolte KB. Rhabdomyolysis associated with cocaine abuse.
Hum Pathol
. 1991;22:1141-1151.
4.
Singhal P, Horowitz B, Quinones MC, et al. Acute renal failure following cocaine abuse.
Nephron.
1989; 52:76-78.
5.
Bemanian S, Motallebi M, Nosrati SM. Cocaine-induced renal infarction: report of a case and review of the literature.
BMC Nephrol.
2005;6:10.
6.
Nzerue CM, Hewan-Lowe K, Riley LJ Jr. Cocaine and the kidney: a synthesis of pathophysiologic and clinical perspectives.
Am J Kidney Dis.
2000;35:783-795.