A 29-year-old woman presented with a 2-day history of left-sided abdominal pain, urinary frequency, suprapubic pressure, dark urine, temperature of 37.8°C (100.1°F), and chills. She had no significant past medical history.
On physical examination, the patient was febrile (temperature, 38.6°C [101.5°F]). Her blood pressure was normal (102/64 mm Hg), and pulse rate was regular (80/min). Palpation revealed left costovertebral angle tenderness and mild tenderness of the suprapubic region. Results of laboratory studies indicated leukocytosis (white blood cell [WBC] count of 27,200/µL), and a serum creatinine level of 0.8 mg/dL. Urinalysis revealed the following: positive nitrites, a small amount of leukocyte esterase, 30 to 35 WBCs, 5 to10 red blood cells, and 3+ bacteria. A pregnancy test yielded a negative result.

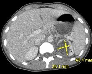
A 3.5 x 4-cm cyst in the upper pole of the left kidney was detected by renal ultrasonography. This raised concern for a possible renal abscess, given the patient’s clinical picture. A CT scan of the abdomen/pelvis with contrast revealed a left renal abscess (43.1 x 35.1 cm2) (Figure).
The patient was treated empirically with intravenous levofloxacin, 750 mg/d. A urine culture grew Klebsiella pneumoniae, which was pan sensitive. Blood cultures were negative for specific pathogens. Despite antibiotic treatment, the patient continued to have a fever (temperature, 38.5°C [101.3°F]).
The patient underwent CT-guided percutaneous drainage of the left renal abscess; 40 mL of purulent material was aspirated. After the procedure, the patient’s WBC count decreased and she no longer had fevers and her condition continued to improve. A retrograde nephrostogram was performed to evaluate the relationship between the left renal cyst and the left renal communicating system; it revealed that there was a connection. At this point, there was a small amount of clear yellow fluid draining from the nephrostomy tube; the fluid was no longer purulent. The nephrostomy tube was removed 5 days after the procedure. The patient continued levofloxacin therapy and completed a 14-day course without complications.
Discussion
Two major etiologies of renal abscesses described in the literature are ascending urinary tract infection (UTI) and hematogenous spread of highly metastatic bacteria, especially Staphylococcus aureus.1 Predisposing conditions include diabetes and anatomic defects in the urinary tract, such as renal stones, vesicoureteral reflux, obstructive tumor, renal cyst, and neurogenic bladder. Ascending UTI with obstructive pyelonephritis causes renal lobar necrosis, which leads to abscess formation. Renal abscess cannot be distinguished from severe acute pyelonephritis by the clinical presentation alone. The classic presentation is fever, chills, and abdominal or back pain with or without urinary symptoms following a primary infection, such as a skin infection.2 There should be a high index of suspicion for renal abscess in patients with acute UTI who have received appropriate treatment for 5 days with no improvement in their condition.
When renal abscess is suspected, CT with contrast is the preferred diagnostic test.3 Plain radiography has low diagnostic value. Also, ultrasonography has limited diagnostic use because it cannot distinguish pus, blood, and cystic fluid. In contrast to renal cortical abscesses that are caused by hematogenous spread of bacteria, renal abscesses that arise from complicated UTI can occur in the medulla, the cortex, or both sites.
Treatment of patients with renal abscess includes antibiotics and drainage. In a review of 52 cases of renal abscess, treatment with antibiotics alone was successful for abscesses that were smaller than 3 cm; however, abscesses that were larger than 5 cm required either percutaneous drainage or surgery for complete resolution.4 There is controversy over what treatment is most effective for 3- to 5-cm abscesses. A more recent study found that antibiotics alone are effective treatment for abscesses that are 5 cm or smaller.5 In addition to the size of the abscess, a nonresponding clinical course may indicate the need for drainage. In some cases, nephrectomy may be required. The initial choice of an antibiotic should cover common urinary tract pathogens, especially Escherichia coli and Kpneumoniae.6 Once the culture and sensitivity results are available, the antibiotic therapy should be modified to the most appropriate agent. The total course of treatment is usually 2 to 3 weeks.
K pneumoniae, the pathogen in our patient, is a primary cause of UTI, liver abscess, and pneumonia in otherwise healthy persons. Most infections are acquired in the hospital or occur in those who are debilitated by various underlying conditions.7K pneumoniae can cause UTI in persons with normal as well as abnormal urinary tracts and is second only to E coli as a cause of bacteremia resulting from UTI.8
For patients with renal abscesses, factors that are associated with a poor prognosis are age older than 65 years at presentation, lethargy, elevated blood urea nitrogen level, and pulmonary conditions. Because of the high mortality rate, patients with K pneumoniae renal abscesses should receive antibiotics and percutaneous drainage or aspiration; in patients with intractable disease, surgery may be necessary.
Teaching Points
• There should be a high index of suspicion for renal abscess in a patient who has an acute UTI and has received appropriate treatment for 5 days with no improvement.
• CT with contrast is the preferred diagnostic test when renal abscess is suspected.
• Factors that are associated with a poor prognosis are age older than 65 years, lethargy, elevated blood urea nitrogen level, and pulmonary conditions.
• K pneumoniae renal abscess is associated with a high mortality rate; patients should received antibiotics, percutaneous drainage or aspiration; surgery may be necessary in cases of intractable disesase.
References
1. Fowler JE Jr, Perkins T. Presentation, diagnosis and treatment of renal abscesses: 1972-1988. J Urol. 1994;151:847.
2. Dembry LM, Andriole VT. Renal and perirenal abscesses. Infect Dis Clin North Am. 1997;11:663-680.
3. Lim SK, Ng FC. Acute pyelonephritis and renal abscesses in adults-correlating clinical parameters with radiological (computer tomography) severity. Ann Acad Med Singapore. 2011;40:407-413.
4. Siegel JF, Smith A, Moldwin R. Minimally invasive treatment of renal abscess. J Urol. 1996;155:52-55.
5. Lee SH, Jung HJ, Mah SY, Chung BH. Renal abscesses measuring 5 cm or less: outcome of medical treatment without therapeutic drainage. Yonsei Med J. 2010;51:569-573.
6. Lin HS, Ye JJ, Huang TY, et al. Characteristics and factors influencing treatment outcome of renal and perinephric abscess-a 5-year experience at a tertiary teaching hospital in Taiwan. J Microbiol Immunol Infect. 2008;41:342-350.
7. Podschun R, Ullmann U. Klebsiella spp. as nosocomial pathogens: epidemiology, taxonomy, typing methods, and pathogenicity factors. Clin Microbiol Rev. 1998;11:589-603.
8. Bishara J, Leibovici L, Huminer D, et al. Five-year prospective study of bacteraemic urinary tract infection in a single institution. Eur J Clin Microbiol Infect Dis. 1997;16:563-567.