Rashes, like children, come in all shapes and sizes, and they have a variety of causes, ranging from infection to allergic reaction. This week’s photo quiz tests your knowledge of skin conditions in younger patients.
Question 1:
A 16-year-old boy presented with an extremely pruritic rash on the elbows, at the wrists, and on the top of the hands. He was in good health and had never had skin problems before. The rash is actually composed of small, firm papules that coalesce into round arrays, classic for granuloma annulare.

For the discussion, click here.
Click here for the next question.
For the answers, click here.
Question 2:
This obese 18-year-old male has had a brown, scaly rash for 4 years that spread from his neck to his chest and back. He has no family history of similar skin changes or diabetes mellitus, but his obesity has been an issue since early childhood. The rash’s morphological similarity to acanthosis nigricans and the history of obesity suggested confluent and reticulated papillomatosis.

For the discussion, click here.
Click here for the next question.
For the answers, click here.
Question 3:
A 17-year-old girl presented with an “itchy rash”-circumscribed areas of swelling, erythema, oozing, and crusting-on both cheeks. Concerned about papulopustular acne, she applied an over-the-counter 5% benzoyl peroxide preparation.Twice-daily application of hydrocortisone 2.5% cream led to prompt resolution.

For the discussion, click here.
Click here for the next question.
For the answers, click here.
Question 4:
This erythematous, blanching papular rash developed on the trunk of a 20-month-old boy after he became ill with a low-grade fever and mild upper respiratory tract infection symptoms. The rash extended from the left axilla to the left groin. The lesions lacked a dermatomal pattern and did not cross the midline of the thorax. He had unilateral laterothoracic exanthem.

For the discussion, click here.
Click here for the next question.
For the answers, click here.
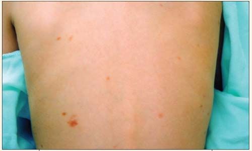
Question 5:
A 4-year-old boy presented with brownish patches on his torso and back that he had since early infancy and that decreased in size and number as he aged. The rash was intermittently pruritic. He had no systemic complaints. The parents denied any vomiting, failure to thrive, developmental concerns, or wheezing.

For the discussion, click here.
For the answers, click here.
ANSWER KEY:
Question 1. Answer: a
Question 2. Answer: a
Question 3. Answer: b
Question 4. Answer: d
Question 5. Answer: c