A 75-year-old woman presented with complaints of nausea and lower abdominal pain of 5 days’ duration following a colonoscopy with polypectomy.
The colonoscopy had revealed benign adenomatous polyps; the diagnosis had been confirmed by pathology. The patient had tolerated the procedure well; there were no complications, and she was sent home in stable condition. Shortly thereafter she experienced generalized abdominal pain, nausea, and decreased appetite as well as intermittent fever and chills. She was hospitalized with a presumptive diagnosis of an ulcerative colitis exacerbation.
On admission, the patient appeared healthy and in no acute distress. Abdominal examination found decreased bowel sounds throughout, frank tenderness in all 4 quadrants, and no appreciable masses. There was guarding but no rebound tenderness. Her rectal examination was negative for guaiac blood, no palpable masses were detected, and sphincter tone was normal. There were no other notable physical or laboratory findings.

The patient had a history of atrial fibrillation, hypertension, ulcerative colitis, and a remote occurrence of ovarian cancer. She had undergone a total abdominal hysterectomy with salpingo-oophorectomy.
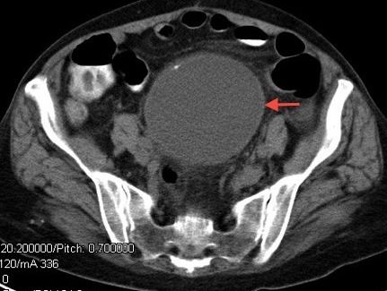
An abdominal series showed no free air and no fluid levels in the bowel. Contrast-enhanced CT scan of the abdomen and pelvis revealed no evidence of colonic inflammation or bowel abnormalities. However, there was a 9.4 x 8.7 x 10-cm cystic structure with punctate calcifications in the retroperitoneum arising from the outer curvature of the 3rd portion of the duodenum and extending to the aortic bifurcation (Figure 1). A diagnosis was made of a large retroperitoneal cyst and exploratory laparotomy was scheduled for the following day.

On exploration of the abdominal cavity, there were no findings other than the large cyst (Figure 2), which extended just below the umbilicus to the upper pelvis and retroperitoneum. The structure was enucleated and after excision was immediately sent to the pathology laboratory for frozen section. Preliminary examination revealed a benign cystic structure. Histopathologic study of the specimen showed a fibrous cyst wall without epithelial lining. There was acute and chronic inflammation with purulent exudate, but no evidence of malignancy. The diagnosis of benign pseudocyst was made. The patient’s recovery was uneventful. She was discharged in good condition on postoperative day 7 and was given a follow-up appointment with her PCP for the following week.
Discussion
Retroperitoneal cysts are rarely seen in clinical practice and are typically benign. Because the retroperitoneum is so large, cysts can grow to massive dimensions while eluding clinical detection. Cysts that lack an epithelial lining in the capsule wall, as seen in our patient, are classified as pseudocysts.1,2 These structures are most often associated with chronic pancreatitis and are pancreatic in origin; however, adrenal pseudocysts have also been reported.3
There are no pathognomonic signs or symptoms for the diagnosis of retroperitoneal cysts. Typically, patients will experience vague symptoms of abdominal pain, nausea, vomiting, and anorexia and the diagnosis is made by either exclusion or imaging studies.3 A cyst within the retroperitoneum can remain clinically undetected because of the capacity and frail areolar tissue of the retroperitoneal space and usually only become symptomatic because of compression, obstruction, infection, hemorrhage, or rupture.4,5 Differential diagnosis includes exacerbation of ulcerative colitis, perforated colon, and malignancy. The use of CT has increased the detection of retroperitoneal cysts and is ideal for assessment of retroperitoneal disease. Contrast-enhanced CT allows visualization of the retroperitoneal organs in cross-section for localization and gives the clinician an idea of mass density.1
Complete surgical enucleation is the treatment of choice for retroperitoneal cysts; however, they are often difficult to excise because of the proximity to blood vessels. A second option for surgical treatment is marsupialization, since partial excision or drainage leads to recurrence.2
Teaching Points
• Retroperitoneal pseudocysts are rare in clinical practice and are generally benign.
• Because symptoms are vague, retroperitoneal cysts are generally diagnosed with imaging studies.
• The preferred treatment for retroperitoneal cysts is complete excision; however, marsupialization can be considered as an alternative.
References
1. Yang DM, Jung DH, Kim H, et al. Retroperitoneal cystic masses: CT, clinical, and pathologic findings and literature review. Radiographics. 2004;24:1353-1365.
2. Smith VC, Edwards RA, Jorgensen JL, et al. Unilocular retroperitoneal cyst of mesothelial origin presenting as a renal mass. Arch Pathol Lab Med. 2000;124:766–769.
3. Adams JT. Abdominal wall, omentum, mesentery and retroperitoneum. In: Schwartz SI, Shires GT, Spencer FC, eds. Principles of Surgery. 7th ed. New York: McGraw-Hill Book; 1999:1551-1584.
4. Walker AR, Putnam TC. Omental, mesenteric, and retroperitoneal cysts: a clinical study of 33 new cases. Ann Surg. 1973;178:13-19.
5. Kar M, Pucci E, Brody F. Laparoscopic resection of an adrenal pseudocyst. J Laparoendosc Adv Surg Tech. 2006;16:478-481.