An 86-year-old woman presented with a 1-week history of worsening dyspnea, wheezing, and orthopnea. She denied chest pain, cough, or fever. She did not smoke cigarettes. Her oxygen saturation was 86% on 2 L/min via nasal cannula.
An 86-year-old woman presented with a 1-week history of worsening dyspnea, wheezing, orthopnea, and paroxysmal nocturnal dyspnea. She denied chest pain, cough, or fever. She did not smoke cigarettes. Her past medical history included bioprosthetic aortic and mitral valve replacement for severe mitral stenosis and aortic regurgitation, paroxysmal atrial fibrillation, and rheumatoid arthritis. Her medications included methotrexate, valsartan, hydrochlorothiazide, and warfarin.
The patient was afebrile and and her blood pressure was normal (102/64 mm Hg). Her cardiovascular and pulmonary examinations revealed an irregularly irregular rhythm with heart rate of 60 beats/min, a diastolic murmur at the left parasternal border and apex, bibasilar rales, jugular vein distention, but no peripheral edema. Her oxygen saturation was 86% on 2 L/min via nasal cannula. Chest films showed small bilateral pleural effusions with bibasilar atelectasis and a lobulated mass in the right lower lobe. Transthoracic echocardiogram (TTE) found severe mitral stenosis (valve area, 0.88 cm2) and mild aortic regurgitation with moderate pulmonary hypertension. Left ventricular systolic function was normal. A diagnosis was made of acute congestive heart failure in the setting of severe mitral valve stenosis. Treatment was initiated with intravenous furosemide.

Although diuresis was effective, the patient’s oxygen requirement increased to 10 L/min, with an oxygen saturation of 90%. PaO2 was 56 mm Hg (normal range, 75 to 100 mm Hg), while the patient was breathing 100% oxygen. In addition, the alveolar-arterial gradient was elevated (605 mm Hg [normal, <10 mm Hg]). An intrapulmonary shunt was suspected and the shunt fraction was calculated to be 27% (normal, <5%).
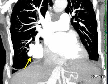
A CT scan of the chest with contrast revealed a right infrahilar large (4 cm) pulmonary arteriovenous malformation (PAVM) (Figure). A contrast echocardiogram (TTE with bubble study) revealed significant delay before bubbles appeared in the left atrium-a finding that confirmed the intrapulmonary shunt. The patient was transferred to another facility for embolization therapy.
Discussion
PAVMs-abnormal connections between the pulmonary arterial and venous systems-result in an extra-cardiac right-to-left shunt. The majority of PAVMs are associated with hereditary hemorrhagic telangiectasia (HHT), an unusual congenital autosomal dominant disease. PAVM has been reported as an acquired condition caused by hepatic cirrhosis, trauma, mitral stenosis, infection, Fanconi syndrome, metastatic thyroid carcinoma, and as a result of surgical procedures.1 In our case, PAVM was presumably related to the patient's severe mitral valve stenosis.
The presenting symptoms vary widely. Disease in asymptomatic patients may go undetected until the teenage years. Some PAVMs never produce symptoms. Pulmonary symptoms include dyspnea, fatigue, cyanosis, and orthodeoxia. The most serious complications-hemoptysis or massive hemothorax-can lead to life-threatening bleeding.1 Most patients become symptomatic during the third or fourth decade.2
PAVM is not a common clinical problem, but nonetheless should be included in the differential diagnosis for patients who present with an asymptomatic homogeneous lung nodule, hypoxemia with high A-a gradient, paradoxic stroke, brain abscess, hemoptysis, and life-threatening hemothorax.2
The majority of PAVMs are found in the lower lobes. They can manifest as single or multiple lesions and as unilateral or bilateral disease. PAVMs can also be categorized as simple (all feeding arteries arising from a single subsegmental artery with drainage through a single vein) or complex (perfused by more than one subsegmental artery with 2 or more draining veins). On chest films, PAVMs appear as oval, round, or occasionally bilobular pulmonary nodules. Diameter can range between a few millimeters to several centimeters.
Shunt fraction is elevated in nearly all patients with clinically significant PAVM.1 A shunt fraction <5% determined by the 100% oxygen method is deemed abnormal and warrants additional workup.1 Direct imaging studies provide the evidence required for a definitive diagnosis. Chest radiography will reveal some abnormality and chest CT with contrast discloses greater detail of the vascular anatomy than a plain chest film.
Contrast-enhanced echocardiography is a sensitive tool in the detection of small right-to-left shunts. Unlike a cardiac shunt, in the presence of a PAVM, there is a significant delay of 3 to 8 cardiac cycles (2 to 5 seconds) before contrast is visualized in the left atrium.3
Pulmonary angiography, although it is the most invasive tool for detection, remains the gold standard for confirming diagnosis of PAVM. It is usually required for patients who are candidates for resection or embolotherapy.
The goal of PAVM therapy is to prevent neurologic complications, progression of hypoxemia, high–output cardiac failure, and life-threatening hemoptysis. The mainstream treatment for PAVM is embolization. Surgical resection is reserved for patients who experience serious bleeding during or after embolotherapy; for patients in whom embolotherapy fails; for patients who are allergic to contrast medium; or for those who have lesions that are too extensive to be treated with embolization.4
References
1. Gossage JR, Kanj G. Pulmonary arteriovenous malformations. A state of the art review. Am J Respir Crit Care Med. 1998;158:643-661.
2. Swanson KL, Prakash UB, Stanson AW. Pulmonary arteriovenous fistulas: Mayo Clinic experience, 1982-1997. Mayo Clin Proc. 1999;74:671-680.
3. Barzilai B, Waggoner AD, Spessert C, et al. Two-dimensional contrast echocardiography in the detection and follow-up of congenital pulmonary arteriovenous malformations. Am J Cardiol. 1991;68:1507-1510.
4. Hsu CC, Kwan GN, Thompson SA, van Driel ML. Embolisation therapy for pulmonary arteriovenous malformations. Cochrane Database Syst Rev. 2010;12:CD008017.