A 29-year-old man with situs inversus, glucose-6-phosphate dehydrogenase deficiency, type 1 diabetes mellitus, and a recent history of pulmonary embolism was admitted after experiencing 3 days of fevers (temperatures up to 39oC [102.4oF]), vomiting, diarrhea, and a severe headache that became worse when he coughed. He denied any meningismus, rash, hematemesis, or melena. He had not traveled recently and none of his close contacts had been sick. His health had been good until 2 months before this event, when he was admitted with diabetic ketoacidosis. A deep venous thrombosis developed, which resulted in a pulmonary embolism. His current medications included warfarin, metformin, and diltiazem.

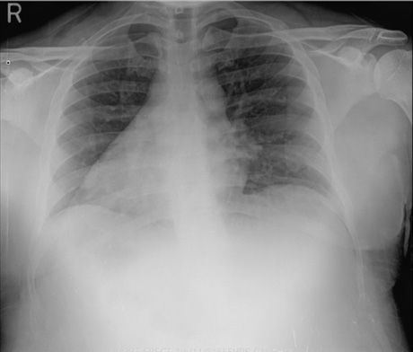
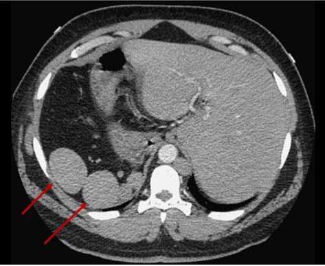
Physical examination revealed right upper quadrant abdominal tenderness, but no pallor, jaundice, or scleral icterus. No cardiac, respiratory, or neurologic abnormalities were found. Chest films and full body CT scans were significant for situs inversus totalis with polysplenia (multiple small spleens1). The chest radiograph, Figure at left, shows the dextrocardia that is characterisitc of situs inversus totalis. Polysplenia is seen (arrows) on the abdominal CT scan, Figure below. A white blood cell (WBC) count with differential revealed a slight leukocytosis (leukocyte count, 13 x 103/µL), but all other values were within normal limits. Following 2 days of supportive treatment, the patient’s temperature spiked, peaking at 41oC (106.1oF) despite interval increase in antipyretics and use of cooling blankets. The WBC count increased to 23 x 103/µL while the patient was receiving empiric antibiotic treatment with vancomycin, ceftriaxone, and metronidazole. Multiple blood cultures; tests for influenza A and B antigens, H1N1 antigen, and Clostridium difficile toxin; stool guaiac test; hepatitis panel; urine culture; and stool cultures for Giardia, Cryptosporidium, and ova and parasites all yielded negative results.

Autoimmune disease was considered, but ANA, p-ANCA, c-ANCA, and HIV titers also were all negative. A titer for IgM antibodies to Epstein Barr virus was positive, as was a stool culture for Pseudomonas aeruginosa. He was treated empirically with piperacillin-tazobactam for Pseudomonas enteritis. The patient’s fever, diarrhea, and headache resolved, and he was discharged home after finishing a short course of antibiotics. It was believed that the patient’s immunodeficiency was the result of inadequate splenic function and after discharge he was instructed to be vaccinated against encapsulated bacteria, specifically, Streptococcus pneumoniae and Neisseria meningitidis-the same vaccinations required of asplenic patients.
DiscussionPseudomonas enteritis is a poorly described intestinal tract infection caused by P aeruginosa. Systemic symptoms are similar to those seen with typhoid fever-persistent diarrhea, severe headache, and high fever.2 The pathogenicity of Pseudomonas in the intestinal tract, while exceedingly rare, has been previously demonstrated in patients with enteritis and stool cultures positive for Pseudomonas.3P aeruginosa is an opportunistic pathogen, and patients with impaired immunity are highly susceptible to infection.4 It is often the cause of infection in patients with AIDS and in patients who are neutropenic as a result of chemotherapy or hematologic malignancies. Our patient fell into none of these categories.
This patient’s impaired immunity was believed to be the result of functional asplenia, a condition secondary to polysplenia associated with situs inversus totalis.4 Functional asplenia renders the body susceptible to fulminant infection from specific pathogens.5 Infections with encapsulated organisms are most common, but Pseudomonas infections also occur frequently.6 In our patient, the diagnosis of Pseudomonas enteritis was supported by stool culture isolates, demonstrated physiologic predisposition, and rapid resolution of symptoms following administration of appropriate antimicrobials.
Teaching Points
• Pseudomonas should be considered as a rare etiology for gastroenteritis when appropriate workup is negative for other causes.
• Polysplenia, while sometimes benign, can lead to reduced splenic function and to the subsequent immunocompromised state.
References
1. Rose V, Izukawa T, Moes CAF. Syndromes of asplenia and polysplenia: a review of cardiac and non-cardiac malformations in 60 cases with special reference to diagnosis and prognosis. Br Heart J. 1975;37:840-852.
2. Altucci P, Abbate GF, Leonessa V, Alagia I. Classification of acute bacterial enteropathies. Minerva Med. 1977;68:2575.
3. Adlard PA, Kirov SM, Sanderson K, Cox GE. Pseudomonas aeruginosa as a cause of infectious diarrhoea. Epidemiol Infect. 1998;121:237-241.
4. Kumar V, Abbas AL, Fausto N. Robbins and Cotran Pathologic Basis of Disease. 7th ed. Philadelphia: Elsevier Inc; 2005.
5. Moffett SL. Overwhelming postsplenectomy infection: managing patients at risk. JAAPA. 2009;22:36-39, 45.
6. Nagel BHP, Williams H, Stewart L, et al. Splenic state in surviving patients with visceral heterotaxy. Cardiol Young. 2005;15:469-473.