A 38-year-old man with a history of alcoholism, intravenous drug use, and cerebrovascular accident was referred for assessment of possible endocarditis, based on history, fever 39 °C (102.9 °F) and mildly elevated troponin level.
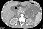
Figure 1

A large septated pseudocyst seen on abdominal CT (arrows outline diameter of the lesion)
A 38-year-old man with a history of alcoholism, intravenous drug use, and cerebrovascular accident was transferred from another hospital where he had presented for detoxification. Referral was for assessment of possible endocarditis, based on history, fever 39 °C (102.9 °F) and mildly elevated troponin level. On admission to the ED, his temperature was 38.6 °C (101.5 °F) and ECG results were normal. The patient was asymptomatic other than fever and weakness. A troponin level was elevated at 1.14 ng/mL. CK-MB level was within normal limits. Amylase and serum lipase levels were elevated at 239 U/L and 93 U/L, respectively. WBC was 16,500 μg/L (normal range, 4500 to 11,000/ μg/L). A subsequent troponin level was 0.89 ng/mL.
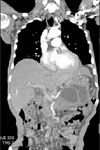
Figure 2

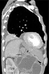
Figure 3

Transesophageal echocardiography showed no vegetations or valvular abnormalities.
Physical examination revealed bilateral foot drop and a palpable left upper quadrant mass. Abdominal CT scan (Figures 1-3) showed a pancreatic pseudocyst, a pancreatic pseudoaneurysm, and pancreatic inflammation that strongly suggested acute recurrent pancreatitis. The patient was admitted and treated for acute pancreatitis. Additional laboratory testing and serology found no infection. The fever resolved after several days and the patient was discharged to a rehabilitation facility.
One week later, the patient was transferred back to the hospital with fever and tachyardia. Blood cultures were positive for several organisms (including Staphylococcus hominis, Streptococcus parasanguinas, and Aggregatibacter segnis), consistent with an infected pseudocyst. Serology also was positive for hepatitis B infection.
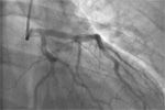
Broad spectrum antibiotic therapy was initiated pending a specific plan. After 3 weeks of treatment, CT angiography (CTA) revealed pancreatic pseudoaneurysms, which were treated with coil embolization. The day after this procedure, the patient experienced tachycardia and sudden abdominal pain without chest pain or dyspnea. An emergency ECG (Figure 4)showed ST segment elevations in the anterolateral leads that had not been seen on ECG at admission (Figure 5). Troponin level was 0.37 ng/mL and findings of a repeat abdominal CT scan were negative for any acute pathology. Electrolyte levels were normal. Cardiologists suspected ST-elevation myocardial infarction and proceeded with an emergency catheterization. Angiogram results showed a normal left ventricular ejection fraction without coronary artery disease (CAD) (Figures 6, 7). The catheterization report mentioned minor distal apical arterial malformations (Figure 8). A ventriculogram showed no wall motion abnormalities. A repeat troponin level measured 0.31 ng/mL, a modest, nonspecific elevation. ECG findings 3 weeks later (6 weeks after admission) showed normalization of ST segments (Figure 9).
Figure 4

Normal ECG on admission Figure 5

ECG with ST-segment ‘tombstoning’ in anterolateral leads
Retrospective review of the CTA revealed findings of polyarteritis nodosa (PAN). An aortogram (Figure 10) confirmed the diagnosis: it revealed arterial aneurysms and narrowing in several intra-abdominal arteries, including the superior mesenteric, celiac, and hepatic arteries. Clinical findings consistent with PAN included the positive hepatitis B serology, persistent fever, foot drop, and renal infarcts. In retrospect, the coronary arterial malformations seen during the cardiac catheterization procedure were likely manifestations of PAN.
Treatment of the underlying hepatitis B improved the patient’s condition and he was discharged back to the rehabilitation facility. He was prescribed a 6-week steroid taper and scheduled for follow-up appointments with infectious disease and gastroenterology in a month, with orders for a repeat CT scan.
Figure 6

Left coronary artery; no evidence of CAD Figure 7

Right coronary artery; no evidence of CAD
Discussion
Common causes of non-MI ST elevation (such as marked early repolarization pattern and coronary artery spasm) are familiar, but more unusual causes-such as pancreatitis and PAN-should also be considered in a differential diagnosis. ECG changes are seen in half of all patients with acute pancreatitis, most commonly in the form of nonspecific repolarization patterns.1 ECG changes mimicking MI are extremely rare.
The literature on ECG changes and pancreatitis is small and consists primarily of case reports. Among the approximately one dozen such reports recently reviewed, there were significant study limitations including lack of baseline ECG, evidence of coronary artery disease, lack of coronary angiography, and theories involving electrolyte abnormalities.1-8
The mechanism of ECG changes and specifically the significance of ST elevation in this population remains poorly understood. Theories center on myonecrosis secondary to proteolytic enzymes, cardio-biliary reflex, electrolyte disturbance, and coronary vasospasm.2,9
Although the heart and pancreas are supplied by distinct nerve supplies from different spinal levels, intermediate neurons connect them. This is termed the cardio-biliary reflex. Atropine and vagotomy have inhibited this reflex in rat studies.5 Large fluid shifts characteristic of pancreatitis also have been considered a factor predisposing an individual to coronary hypoperfusion.5
Figure 8

Evidence of aneurysms in distal aspect of right coronary artery
PAN is a necrotizing vasculitis involving medium and small arteries. Since the introduction of the hepatitis B vaccine, the frequency of PAN associated with hepatitis B decreased from 36% in the 1970s to 7% in the 1990s.10 PAN produces gastrointestinal manifestations in up to one-third of cases but pancreatic involvement is rarely reported. PAN with coronary arteritis may lead to aneurysm formation and/or luminal narrowing of coronary arteries leading to pericarditis, myocarditis, and rarely MI. In a recent retrospective study, cardiac involvement was reported in 6 out 36 patients with PAN.11 Hypertension, heart failure, pericarditis, and myocarditis are the most common cardiac manifestations; MI is rarely reported. Patients with PAN are predisposed to vasospasticity, primarily Raynaud’s phenomenon, which in turn increases the risk of coronary vasospasm.9
Figure 9

ECG before discharge; ST segments normalized
Although coronary arterial malformations were not obvious in this patient, PAN was a likely diagnosis. MI was described in a patient with PAN whose coronary arteries were clear, suggesting coronary vasospasm as a cause.9 Vasospasm was less likely in our patient as ST elevations continued for several days without signs of infarction. Although the patient in this case had no arterial plaques (which precluded a nidus for potential coronary vasospasm), coronary vasculitis did provoke potentially atherogenic endothelial dysfunction. One case report describing acute pancreatitis with pseudocyst formation secondary to PAN12 may provide additional evidence for PAN-related vasculitis and even a rare cause of pancreatitis in this patient population.
Figure 10

Abdominal angiography revealing various aneurysms throughout the superior mesenteric and celiac arteries
Additional research in this population will increase patient safety, for example by establishing a contraindication for thrombolytic therapy in patients with possible hemorrhagic pancreatitis.2,6,13 An immediate bedside echocardiogram (ECHO) would be reasonable in patients with pancreatitis who exhibit ST elevations without delaying urgent catheterization as a negative ECHO may encourage consideration of other causes of ST elevations. One case report3 does present evidence of wall motion abnormalities secondary to pancreatitis without evidence of infarct. A myocardial stunning phenomenon, similar to that seen in sepsis, has also been reported in patients with pancreatitis.4
References:
1. Clementy N, Genee O, Fichet J, et al. Major ST-segment elevation hiding acute severe pancreatitis. American Journal of Emergency Medicine. 2010;28:116.e1â116.e3.
2. Low T, Lee L, Lee C. Deceived by acute pancreatitis masquerading as acute inferior myocardial infarction. Ann Acad Med. 2009;38:922-923.
3. Makaryus A, Adedeji O, Ali S. Acute pancreatitis presenting as acute inferior wall ST-segment elevations on electrocardiography. Am J Emerg Med. 2008;26:734.e1â734.e4.
4. Patel J, Movahed A, Reeves W. Electrocardiographic and segmental wall motion abnormalities in pancreatitis mimicking myocardial infarction. Clin Cardiol. 1994;17: 505-509.
5. Tejada J, Hernandez F, Chimeno J, et al. Acute pancreatitis mimicking acute inferior myocardial infarction. Angiology. 2008;59:365-367.
6. Albrecht C, Laws F. ST-segment elevation pattern of acute myocardial infarction induced by acute pancreatitis. Cardiol Rev. 2003;11:147â151.
7. Yu A, Rieger-Johnson D. A case of acute pancreatitis presenting with electrocardiographic signs of acute myocardial infarction. Pancreatology. 2003;3: 515-517.
8. Mautner R, Siegel L, Giles T, et al. Electrocardiographic changes in acute pancreatitis. South Med J. 1998;75:317-320.
9. Rajani R, Dalvi B, D’Silva S, et al. Acute myocardial infarction with normal coronary arteries in a case of polyarteritis nodosa: possible role of coronary artery spasm. Postgrad Med J. 1991;67:78-80.
10. Guillevin L, Lhote F. Polyarteritis nodosa related to hepatitis B virus: a prospective study with long-term observation of 41 patients. Medicine. 1995;74:238-253.
11. Agard C, Mouthon L, Mahr A, et al. Microscopic polyangiitis and polyarteritis nodosa: how and when do they start? Arthritis & Rheum. 2003;49:709â715.
12. Suresh E, Beadles W, Welsby P, et al. Acute pancreatitis with pseudocyst formation in a patient with polyarteritis nodosa. J Rheumatol. 2005;32:386-388.
13. Burge M, Chilvers E. Acute pancreatitis mimicking myocardial infarction: potential for inadvertent use of thrombolytic therapy. J R Army Med Corps. 1993;139:130-131.