For 3 months, a 43-year-old Bolivian woman had worsening thoracic and lumbar pain associated with tingling and tightness in the anterior upper and lower abdominal area, and numbness in the lower extremities. Her symptoms also included difficulty in walking (with frequent falls from imbalance), occasional urinary incontinence for the past few weeks, occasional afternoon low-grade fevers, and poor appetite with an associated 10-lb weight loss within the past 4 months.
In this Photo Essay:
Introduction
Two cases: Peritoneal TB and Pott Disease
Pott Disease
For 3 months, a 43-year-old Bolivian woman had worsening thoracic and lumbar pain associated with tingling and tightness in the anterior upper and lower abdominal area, and numbness in the lower extremities. Her symptoms also included difficulty in walking (with frequent falls from imbalance), occasional urinary incontinence for the past few weeks, occasional afternoon low-grade fevers, and poor appetite with an associated 10-lb weight loss within the past 4 months. She had been in the United States for a few years and denied a history of TB or exposure to persons with TB.

Radiographs obtained 3 months earlier showed a slightly exaggerated curve in the lumbar spine, but findings were otherwise unremarkable. A subsequent MRI scan showed multiple disk bulges from L2 to S1, and she was referred for further evaluation.
On examination, the patient was noted to have an unsteady gait, tenderness of the upper thoracic spine, bilateral lower extremity hyperactive reflexes, increased tone, and positive Babinski and Romberg signs. An urgent MRI of the thoracic spine showed a soft tissue mass that extended from C7 to T4 and involved the prevertebral, paravertebral, and intraspinal spaces (A, arrow); this caused compression and posterior displacement of the spinal cord and an anterior T2 vertebrae compression fracture. Lymphoma and TB of the spine were considered. The patient was given intravenous dexamethasone tapered over 4 days. Results of HIV testing were negative.
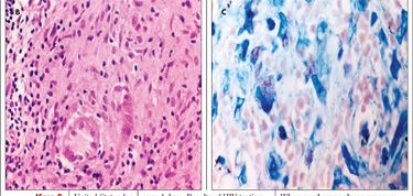
PPD test results were positive. An anti-TB regimen with pyrazinamide, rifampin, isoniazid, and ethambutol was started. The patient underwent decompressive laminectomy from C7 to T5 with drainage of the epidural abscess. Cytopathological results revealed granulomatous inflammation with central caseation (B) and were positive for AFB (C). After a month of intensive physical and occupational therapy, all neurological functions had returned to normal; the patient was able to ambulate with a rolling walker and was discharged home.
Spinal TB (Pott disease) of the upper thoracic and cervical regions is less common than that of the lumbar and lower thoracic areas and is potentially more disabling.1M tuberculosis infection of the spine may be primary or may spread from adjacent paravertebral lymph nodes. Spinal epidural abscess is a rare, late complication of spinal TB.2

Patients with Pott disease may present with symptoms that are commonly associated with TB (night sweats, chills, weight loss). When an abscess places pressure on neurological structures, symptoms may be similar to those of spinal cord myelopathy (pain and weakness).
Spinal TB is the most dangerous form of skeletal TB because of the potential for serious complications. 3,4 Of these sequelae, paraplegia is the most severe and is usually caused by an abscess or a lesion that compresses the spinal cord. Paraparesis from a large abscess is a medical emergency and requires abscess drainage.
REFERENCES:
1.
Sharma SK, Mohan A. Extrapulmonary tuberculosis.
Indian J Med Res.
2004;120:316-353.
2.
Metta H, Corti M, Redini L, et al. Spinal epidural abscess due to
Mycobacterium tuberculosis
in a patient with AIDS: case report and review of the literature.
Braz J Infect Dis.
2006;10:146-148.
3.
Moon MS, Ha KY, Sun DH, et al. Pott’s paraplegia- 67 cases.
Clin Orthop Relat Res.
1996;323: 122-128.
4.
Pattisson PR. Pott’s paraplegia: an account of the treatment of 89 consecutive patients.
Paraplegia.
1986;24:77-91.