Spontaneous pneumomediastinum with subcutaneous emphysema is rare. Alveolar rupture allows air to enter the pulmonary interstitium and penetrate the mediastinum.
An otherwise healthy 20-year-old man presented to the emergency department (ED) with acute shortness of breath and retrosternal chest and throat tightness. The symptoms began earlier that day after repeated bouts of cough. Over the past 2 months, the patient had had similar episodes of dyspnea and dry cough associated with some chest tightness; he was treated by his primary care physician with multiple courses of azithromycin and amoxicillin for presumed acute upper respiratory tract illness. His symptoms seemed to be getting better until the day he presented to ED.
On physical examination, he was afebrile, normotensive, tachycardic (heart rate, 110 beats/min), and hypoxic (oxygen saturation, 81% on room air). Subcutaneous emphysema was observed in the neck, over the shoulders, and on the anterior chest wall. Palpable crepitus was present in the same regions. Crunching sounds synchronous with heart sounds (Hamman sign) were heard on auscultation. The patient was administered supplemental oxygen via nasal cannula, an intravenous injection of 125 mg of methylprednisolone, and a one-time nebulizer treatment with albuterol/ipratropium. His oxygen saturation rose to 90%, and he reported feeling more comfortable.
White blood cell count was 8200/µL, with 68% neutrophils and 11% eosinophils. Electrolyte and creatinine levels were normal, and results of liver function tests were also normal. Analysis of arterial blood gas on room air revealed a pH of 7.49, PaCO2 of 33 mm Hg, PaO2 of 59 mm Hg, and HCO3 of 25 mEq/L.
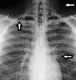
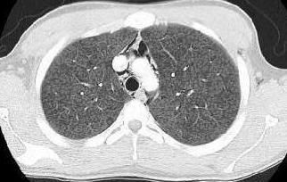
Chest x-ray films revealed diffuse parenchymal haziness and air tracking into the soft tissues of the neck, axilla, and the mediastinum (Figure 1). CT scan of the thorax revealed diffuse homogeneous distribution throughout both lungs of ground-glass opacities that suggested subacute hypersensitivity pneumonitis. Extensive pneumomediastinum (Figure 2a), and cervical emphysema (Figure 2b) were also noted on CT scan.

Figure 1
Bronchoalveolar lavage was performed and cellular analysis of the fluid revealed 79% neutrophils, 11% lymphocytes, 8% eosinophils, and 2% monocytes. There were no malignant cells, fungi, or Pneumocystis. AFB staining was negative per 300 fields. Final AFB culture showed no growth. Titers were negative for HIV, EBV, and Lyme disease. Thus, potential infectious and neoplastic causes were ruled out. Further inquiry revealed that the patient’s family had been keeping approximately 15 birds in the home for the past 3 to 4 months. On the basis of the history of exposure to birds, CT scan findings, and the ruling out of other possible causes on bronchial washings, it was concluded that patient had developed subacute hypersensitivity pneumonitis (also called extrinsic allergic alveolitis and, when specific to avian antigen response, “bird fancier’s lung”1), which resulted in the coughing bouts that subsequently caused spontaneous pneumomediastinum.


The patient was monitored for 3 days in the hospital. Chest films were taken daily to rule out pneumothorax. His supplemental oxygen requirements improved, and a tapering course of oral corticosteroids was started. Activities such as Valsalva maneuver and forceful breathing were avoided and antitussive and antihistaminic medications were given as needed to prevent bouts of excessive cough. The patient showed good progress with complete symptom resolution and a normal chest film on day 4, when he was discharged to home. An antihistamine and cough suppressant were prescribed to be used as needed, and he followed up with the pulmonologist 3 weeks after discharge. The family was told that exposure to the birds kept in the home was the cause of the patient’s symptoms and that avoidance of avian antigen exposure was the only effective treatment. The home was subsequently cleared and the patient has remained asymptomatic.
Discussion
Spontaneous pneumomediastinum with subcutaneous emphysema is a rare clinical entity, usually reported in young males.2,3 It develops after marginally situated alveoli rupture, causing air to enter the pulmonary interstitium and to penetrate toward the hila and into the mediastinum.2,3 Alveolar rupture is caused by markedly increased intra-alveolar pressure as might occur during violent cough, some viral pneumonias, acute bronchial asthma, and emesis.2 Spontaneous pneumomediastinum associated with farmer’s lung or summer-type hypersensitivity pneumonitis, 2 well-studied conditions with etiologies comparable to those in our patient, have been only rarely reported.2,4,5 The association with subacute hypersensitivity pneumonitis due to avian exposure is even more uncommon.
References:
1. Chan AL, Juarez MM, Leslie KO, et al. Bird fancier's lung: a state-of-the-art review. Clin Rev Allergy Immunol. 2011 Aug 26; [Epub ahead of print]. http://www.ncbi.nlm.nih.gov/pubmed/21870048. Accessed July 30, 2012.
2. Ichikawa Y, Tokunaga N, Kinoshita M, et al. Subcutaneous and mediastinal emphysema associated with hypersensitivity pneumonitis. Chest. 1991;99:759-761.
3. Cicak B, Verona E, Mihatov-Stefanovic I, Vrsalovic R. Spontaneous pneumomediastinum in a healthy adolescent. Acta Clin Croat. 2009;48:461-467.
4. Koschel D, Handzhiev S, Cardoso C, et al. Pneumomediastinum as a primary manifestation of chronic hypersensitivity pneumonitis. Med Sci Monit. 2011;17:CS152-CS155.
5. Fujiwara H, Arita K, Yoshimi T, et al. A case of summer-type hypersensitivity pneumonitis with mediastinal and subcutaneous emphysema. Nihon Kyobu Shikkan Gakkai Zasshi. 1988;26:1102-1106.